作者:贺航咏
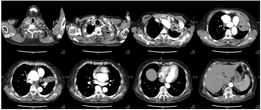
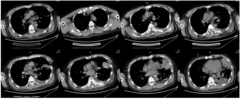
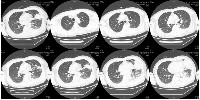
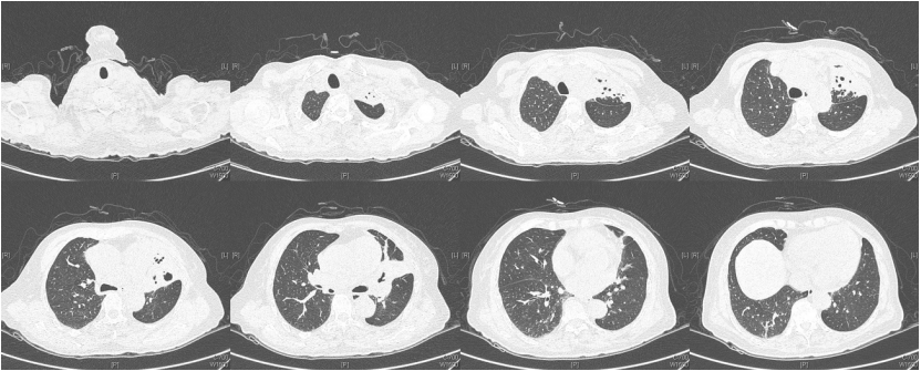
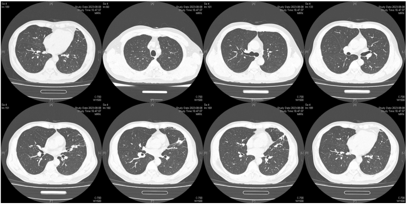
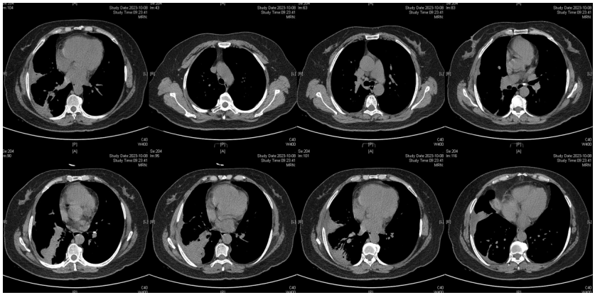
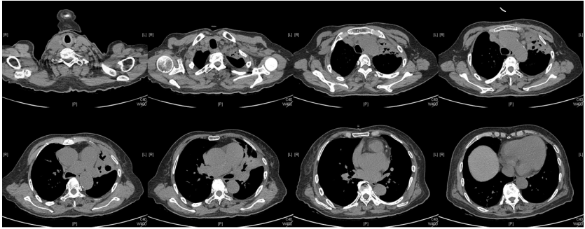
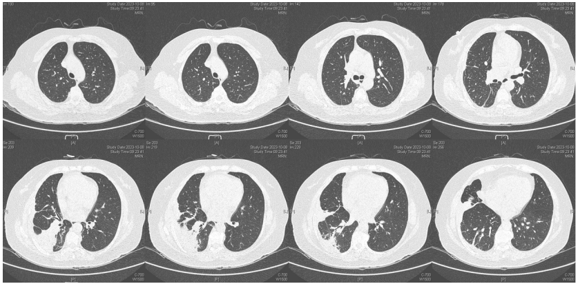
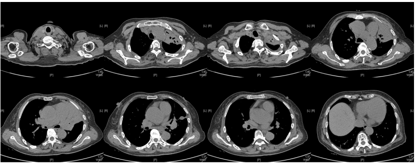
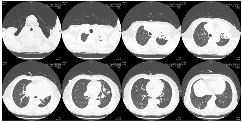
由于厌氧菌培养非常困难,既往我们对厌氧菌的认知仅限于在消化道定植,对其致病机制以及何种情况下致病并不非常清楚。厌氧菌定植于皮肤黏膜,是一种内源性微生物,感染发生率高,可导致严重、致死性感染。由于标本采集和转运的特殊性,使厌氧菌难以分离;加之其培养困难,体外生长慢,所以既往很难识别。厌氧菌在治疗方面存在一定挑战,如往往混合多重感染,且易产生耐药,也会因治疗延迟导致治疗失败。随着近10年来NGS技术的应用和普及,我们对厌氧菌的认识得以提升。常见的致病厌氧菌分为革兰阳性球菌、革兰阴性球菌、革兰阳性非芽孢杆菌、革兰阳性芽孢杆菌以及革兰阴性杆菌(表1)。革兰阳性非芽孢杆菌中可能致病的是放线菌,例如龋齿放线菌参与龋齿的发病过程。革兰阳性芽孢杆菌往往具有致病性,其中产气荚膜杆菌、艰难梭菌/难辨梭状芽孢杆菌、肉毒杆菌/肉毒梭菌、破伤风梭菌/杆菌具有强致病性。革兰阴性杆菌中的拟杆菌属对青霉素类药物具有很强的耐药性,易致青霉素治疗失败。临床中我们与厌氧菌的接触逐渐增多,对其特点也会愈发熟悉,对于临床诊断和治疗也会有所帮助。在NGS报告中通常会将检出的厌氧菌列为“C类”,定义为致病性C类—呼吸道正常微生态菌群,一般不导致感染。但当患者存在误吸风险时,需关注厌氧菌引起肺脓肿的可能。此时就需要针对患者的危险因素、临床表现、影像学、病原学以及气管镜下特点等进行综合分析。微小单胞菌最早是通过培养进行鉴定。瑞士2015—2022年132例病例报告的培养鉴定结果显示,血液中检出微小单胞菌37例(28%),肺内(肺脓肿、脓胸)检出29例(22%),总体病死率较低(5.3%)。国内周华教授团队开展的一项回顾性研究分析了2019年1月至2020年7月经病理活检和mNGS诊断的5例与微小单胞菌相关的慢性肺脓肿患者。患者的平均病程为6.5个月,共同特征是口腔卫生差,有酗酒史,且CT表现为边界不规则的高密度团块状实变影,并且在病灶中间可见液化性坏死,但没有发现气液平面或空腔,所以前期易被误诊为肺癌。下图1是该研究报告中病例3的肺部CT表现。时间点1:首次就诊时,左下叶可见团块状肺不张,伴周围磨玻璃样渗出病变,中心坏死不明显,可见细小空气囊泡影。时间点2:发病8个月时,可见大面积肺实变,增强CT示病灶内有液化坏死和小空洞。时间点3:经过3个月的有效抗厌氧菌治疗,病灶明显缩小,遗留空洞和纤维增殖病灶。图2是病例4的肺部CT表现。时间点1:患者首次就诊时,右上叶可见肿块样肺部实变影。时间点2:发病8个月时增强CT,可见实变明显增大,病灶内出现液化坏死。时间点3:经过3个月的有效治疗,病灶明显缩小,有残留空洞和纤维瘢痕样病变。由于通过影像学鉴别该病与肺癌具有挑战性,所以5例患者都接受了支气管镜检查和CT引导下经皮肺活检。5例患者经组织活检或支气管肺泡灌洗液(BALF)标本mNGS检测到微小单胞菌。病例: 女性, 67岁, 主诉"咳嗽咳痰2个月"。现病史:2个月前,患者家属感染新冠病毒(家属新冠抗原阳性)之后,患者出现咳嗽咳黄脓痰,无痰中带血及痰液拉丝,痰无臭味,无胸闷气短及胸痛,无咽痛咽痒,无鼻塞流涕。6月9日于当地市医院住院,住院期间出现发热,体温最高38.6℃,无寒战,查新冠病毒核酸阳性,予先诺特韦/利托那韦片口服治疗。查胸部CT见左肺上叶软组织影,左肺上叶炎症。诊断肺脓肿,予头孢唑肟联合莫西沙星,治疗后复查胸部CT(6月26日)病灶较6月9日明显吸收好转。6月14日气管镜检査见左肺上叶支气管开口狭窄,见大量脓性痰液堵塞支气管开口(病原学结果家属无法提供)。6月30日办理出院后仍有咳黄脓痰,无发热畏寒,口服止咳化痰药物,未使用抗生素。7月30日复诊胸部CT见左肺上叶异常密度较前增大。8月2日再次于当地市人民医院住院。8月4日气管镜检查: 左肺上叶黏膜肿胀肥厚, 管腔狭窄, 见大量白色干酪样分泌物涌出, 支气管镜不能进入。内科予莫西沙星静滴治疗10天, 外科予莫西沙星联合哌拉西林他唑巴坦静滴9天。复查胸部CT见病灶较前进展, 且右肺出现新发感染病灶。病程中患者饮食可, 睡眠差, 二便正常, 体重减轻5 kg。既往对阿莫西林过敏, 表现为口服阿莫西林后全身皮疹。否认嗜酒史及吸烟史。入院后胸部增强CT可见病灶内液化坏死,同时伴有小的空气囊泡影(图3)。患者有胸痛症状。气管镜检查发现气道内有痰栓或黏液栓阻塞征象(图4)。灌洗液tNGS结果回示:微小单胞菌(序列数2762),巨细胞病毒(序列数171),副流感病毒(序列数79),EB病毒(序列数61)。考虑病毒不会导致气道内如此改变,但由于微小单胞菌属于常见口腔定植菌,此时也不能完全确定微小单胞菌是否为引起感染的主要责任病原体。8月24日起予莫西沙星0.4 g qd ivgtt+哌拉西林他唑巴坦4.5 g q8h ivgtt。经过上述治疗,患者局部病灶有所吸收,但整个肺叶并无明显改善(图5)。气管镜检查仍然发现气道内有较黏稠的黏液栓阻塞气道开口(图6)。治疗经过:气管镜下予以局部冲洗,再次送检tNGS。9月7日结果回示:微小单胞菌(序列数6464),较前明显增多;副流感病毒(序列数998),EB病毒(序列数331)。9月9日起调整治疗方案为美罗培南1 g q8h。9月12日复查患者胸部CT,可见肺通气部分改善,肺组织内实变较前吸收(图7)。第三次气管镜检查仍可见少量痰栓嵌塞在远端支气管开口(图8)。患者此后转入医联体医院继续抗感染治疗。病例2:女性,54岁。主诉:咳嗽咳痰2个月,发热1周。现病史:入院2个月前,患者在西南地区旅游时感冒,出现咳嗽咳痰,白痰为主,量多,无胸痛,无发热,无痰中带血,咳时气短。于河北某诊所间断输液治疗14天(具体不详),期间口服中药治疗,症状未缓解。入院3周前(2023-09-07)就诊于当地县医院,查胸部CT提示右肺炎症,静脉滴注氨曲南、左氧氟沙星、氨溴索治疗1周,症状未缓解。2023年9月14日复查胸部CT显示右肺炎症较前加重,于当地中心医院住院。动脉血气分析:pH 7.43,PaCO2 38.4 mmHg,PaO2 67 mmHg,SaO2 94.2%;血沉90 mm/h;生化:白蛋白35.3 g/L;CRP 82.7 mg/L;血常规:WBC 9.75×109/L,NEU 6.83×109/L,HGB 104 g/L。静脉滴注莫西沙星。入院10天前,行肺穿刺活检,病理回报为少量肺组织及纤维结缔组织,炭末沉积,较多中性白粒细胞、淋巴细胞及浆细胞浸润,伴脓肿形成;肺穿刺mNGS结果回报:微小单孢菌(序列数2650),鲍曼不动杆菌(序列数17),人类疱疹病毒4型(序列数60),人类疱疹病毒7型(序列数5),文氏密螺旋体(序列数4337),解卵磷脂密螺旋体(序列数1121),齿垢密螺旋体(序列数698)。调整抗生素为头孢哌酮舒巴坦2 g q12h。入院1周前,出现发热,体温最高38.5℃,不伴寒战,咳嗽咳痰无加重,无咯血;复查血常规、PCT、CRP均明显增高(未见报告单);复查胸部X线提示右肺炎症范围增大,右侧胸腔积液。更换抗生素为哌拉西林他唑巴坦4.5 g q8h。4天前,支气管镜下见右肺下叶背段支气管略狭窄,黏膜水肿,可见脓性分泌物溢出。BALF革兰染色查见革兰阴性杆菌,抗酸染色、霉菌未见异常,培养未回报。患者体温逐渐降至正常,咳嗽咳痰有所减轻,复查胸部CT提示右肺高密度影,右侧胸腔积液较前增多。为求进一步诊治来我院就诊被收入院。既往甲状腺功能减退病史5年,目前口服优甲乐治疗,监测甲状腺功能指标在正常范围。20年前因宫外孕行手术治疗。2023年10月8日胸部CT示胸膜下斑片状坏死,纵隔窗可见微小空气囊泡影及密度不均匀液化坏死(图9)。治疗:9月28日至10月13日莫西沙星0.4 g qd ivgtt+哌拉西林他唑巴坦钠4.5 g q8h ivgtt。最终患者病灶吸收好转并顺利出院。患者男性,42岁。主因间断咳嗽、咳痰1月余,左侧胸痛、气短2天入院。现病史:入院前1月余(2022-07-19),患者无明显诱因出现咳嗽,咳白痰,痰中有少量鲜红色血丝,左侧胸痛(为钝痛),深吸气后加重,就诊于当地医院。完善肺动脉CTPA:示左上肺动脉舌段分支局部管腔可见线条样低密度充盈缺损,考虑肺栓塞;左肺上叶实性病变伴不均匀强化,性质待定,部分为肺梗死改变可能,纵隔多发稍大淋巴结,性质待定;右肺下叶后基底段可见一不规则实性结节,边缘可见多发毛刺,直径约0.7 cm。当地医院考虑肺栓塞不除外,肺部感染?右肺下叶结节,予莫西沙星抗感染,低分子肝素抗凝,乙酰半胱氨酸化痰。完善CT引导下肺穿刺活检,病理示:肺泡腔扩张伴上皮轻度增生,肺泡间隔纤维组织增生伴散在炎细胞浸润,未见恶性病变。院外规律应用甲磺酸艾多沙班60 mg bid抗凝,先后间断应用左氧氟沙星0.5 g qd、头孢类抗生素(具体药物、剂量不详)抗感染。患者仍有间渐咳黄白痰,量不多,痰中有少量鲜红色血丝;无畏寒、发热、胸痛、夜间阵发性呼吸困难症状,无尿少、双下肢水肿,无口干、咽干,无牙齿成片脱落,无晨僵、关节肿痛,周身无皮疹,无盗汗乏力。2天前(2022-09-16)患者无明显诱因再次出现左侧胸痛,疼痛剧烈,深吸气、咳嗽及改变体位时加重,伴气短,就诊于我院急诊。完善肺动脉CTPA:肺动脉主干及其各叶段分支未见明显充盈缺损,左肺上叶舌段团块影,最大截面约7.6 cm×5.3 cm,边界不清,周围可见晕征;增强扫描不均匀强化,邻近胸膜增厚,性质待定,建议穿刺活检;纵隔及左肺门多发淋巴结显影。血细胞分析:WBC 11.09×109/L,NEU% 80.8%,NEU 8.95×109/L;CRP 54 mg/L,PCT 0.07 ng/ml。患者自发病以来,精神状、食欲及睡眠均一般,大小便正常,体重下降5 kg。2022年9月14日外院胸部增强CT:胸膜下楔形的影像学表现可见少量小气泡囊以及液化坏死病灶(图10)。初始考虑肺部肿瘤及肺栓塞。经过初步抗感染及抗凝治疗,患者病情无缓解,2022年9月27日患者突发胸痛,下肺影像加重并且出现脓胸(图11)。行胸腔穿刺并将脓液送检mNGS,结果回报:牙龈卟啉单胞菌(序列数3)。尽管序列数很低,但考虑是脓肿穿刺结果,因此考虑该菌致病可能。抗厌氧菌治疗:9月16-28日莫西沙星0.4 g qd ivgtt,9月23日-10月12日美罗培南1 g q12h ivgtt,9月28日-10月8日万古霉素1 g q12h ivgtt,10月13-18日莫西沙星0.4 g qd ivgtt+甲硝唑0.5 g tid ivgtt。患者肺脓肿的整体治疗时间约为3个月,病灶逐渐吸收,最终形成一些纤维索条影(图12,图13)。1年后复查病灶基本吸收(图14)。图14 1年后复查胸部CT(2023-08-08)微小单胞菌和卟啉单胞菌这两种厌氧菌在临床中需要引起重视,它们容易引起肺脓肿/脓胸。2024年国内学者Li Yao等在Diagn Microbiol Infect Dis 杂志发表了一篇牙髓卟啉单胞菌感染所致肺脓肿的病例报告,文章也提到在胸水或肺组织活检中,通过mNGS同时检出了微小单胞菌和卟啉单胞菌感染引起的肺脓肿。文章还回顾总结了既往发表的厌氧菌感染引起肺脓肿的病例,2010年报道的是1例脑脓肿患者,2019年报道1例脑炎患者,2022年报道1例脓胸伴呼吸衰竭患者。3例患者预后都比较好,可见厌氧菌亦可导致肺外多部位感染。对于厌氧菌所致肺脓肿的诊断及其引起的脓胸,目前的文献报道仍然较少,我们对它们的认知也有限,因此也提醒大家关注相关疾病的诊断和治疗。我们也已将本研究小组8例微小单胞菌所致肺脓肿的系列病例的研究结果发表(Front Cell Infect Microbiol, 2024, 14: 1416884),可供需要的同行参考。对于厌氧菌感染,我们需要提高警惕。厌氧菌往往在口咽部定植,其引起的脓肿/感染往往多为亚急性或慢性起病。患者通常有发热、胸痛症状,脓肿会逐渐进展。由于厌氧菌与人体本身是一种长期共生的关系,人体对厌氧菌的免疫识别可能处于较低的防御反应状态,所以会形成一个亚急性或慢性的发病过程。通常情况下,因厌氧菌的菌群发生了移位,从卫生条件不好的口腔扩展到相对无菌的肺内,同时开始增殖,由此可能导致感染。因此,对于酗酒以及口腔卫生非常差的人群,我们要重视对其风险因素和病史的排查。患者就诊时可能病情并不重,有胸痛或咯血,很容易误诊为肺部肿瘤,往往在这种情况下进行肺穿刺或气管镜检查,mNGS可以发现较大序列数的厌氧菌。但在mNGS检出厌氧菌后的诊断过程中又容易形成误判——究竟是致病菌,还是定植菌?此时结合患者其他病史和影像学特点(有脓肿/痰栓形成,微小空气气囊泡影),可能提示厌氧菌感染。然而,厌氧菌感染在病原学和影像学诊断方面仍然存在诸多困难,极易漏诊和误诊。微小单胞菌感染患者在气管镜下可以看到典型的脓性分泌物嵌塞气道,导致气道阻塞,也会造成远端气道和肺泡引流障碍。所以,及时处理气道内痰栓,改善引流,可能是使患者获得良好预后的关键。厌氧菌肺脓肿的吸收比较缓慢,抗感染的疗程也比较长,需要在后期诊疗过程中密切随访和观察患者对治疗的反应以及耐药等问题,及时调整治疗方案,适当延长疗程。
[1] Piccinini D, Bernasconi E, Carelli M, et al. Parvimonas micra a new potential pathogen in hospitalized patients: a case series from 2015-2022[J]. Eur J Clin Microbiol Infect Dis, 2023, 42(7):903-906.[2] Zhang Y, Song P, Zhang R, et al. Clinical Characteristics of Chronic Lung Abscess Associated with Parvimonas micra Diagnosed Using Metagenomic Next-Generation Sequencing[J]. Infect Drug Resist, 2021, 14:1191-1198. [3] Li Y, Shi P, Zhu R. A pulmonary abscess caused by Porphyromonas endodontalis infection:A case report and literature review[J]. Diagn Microbiol Infect Dis, 2024, 108(1):116126. [4] Zhang D, Fan B, Yang Y, Jiang C, An L, Wang X, He H. Target next-generation sequencing for the accurate diagnosis of Parvimonas micra lung abscess: a case series and literature review[J]. Front Cell Infect Microbiol. 2024. 14: 1416884.
中日友好医院呼吸与危重症医学科,主任医师、副教授、硕士研究生导师,美国西北大学访问学者;主要研究方向为呼吸重症感染、呼吸支持技术;中国医师协会呼吸医师分会青年委员,中国老年医学学会呼吸病学分会委员;作为项目负责人承担国家自然科学基金青年基金1项,西藏自治区科技计划联合资助项目1项;作为第一作者或通讯作者发表SCI论文35篇,Thorax 中文版编委。