登录方式

方式一:
PC端网页:www.rccrc.cn
输入账号密码登录,可将此网址收藏并保存密码方便下次登录

方式二:
手机端网页:www.rccrc.cn
输入账号密码登录,可将此网址添加至手机桌面并保存密码方便下次登录

方式三:
【重症肺言】微信公众号
输入账号密码登录

注:账号具有唯一性,即同一个账号不能在两个地方同时登录。

登录
方式

为重症救治赋能

为患者康复加速

当前位置: 首页 呼吸危重症菁英秀

一例多重耐药铜绿假单胞菌感染患者的诊治

杜秀伟 山东大学齐鲁医院德州医院呼吸与危重症医学科 发布于2025-06-12 浏览 4544 收藏

作者:杜秀伟

单位山东大学齐鲁医院德州医院呼吸与危重症医学科

图片

一、病情介绍

基本信息

患者,女性,60岁,农民。主诉:发热、咳嗽、咳痰1周。入院时间:2024年7月3日。

现病史

患者入院1周前无明显诱因出现发热,最高体温38.5℃,伴畏寒、寒战,间断咳嗽、咳大量白色黏痰,自服“环丙沙星、布洛芬”等药物治疗,效果欠佳,遂就诊于我院急诊,急诊完善血常规、C反应蛋白、降钙素原检查后予“盐酸莫西沙星、痰热清”等药物治疗后收入我科。

既往史及其他

脑出血10年,脑梗死病史5年,遗留右侧肢体偏瘫,言语不能、饮食呛咳;曾多次因肺部感染住院治疗,2024615626“肺炎”于我科住院,治疗期间痰培养提示铜绿假单胞菌感染(多重耐药)。个人史、家族史无特殊。

入院体格检查

体温36.6℃,脉搏88次/分,呼吸19次/分,血压145/80 mmHg,SpO2 83%(未吸氧);神志清,精神差,失语,查体欠合作。双肺呼吸音粗,闻及明显干/湿性啰音。心率88次/分,心音低钝,心律齐,各瓣膜听诊区未闻及病理性杂音。

急诊辅助检查(2024年7月2日)

  • 血常规白细胞计数17.65×109/L(↑),中性粒细胞计数16.62×109/L,中性粒细胞百分比94.2%,淋巴细胞计数0.34×109/L(淋巴细胞百分比1.9%↓)

  • 感染指标:C反应蛋白124.67 mg/L↑),降钙素原0.117 ng/ml(↑)。

初步诊断

吸入性肺炎铜绿假单胞菌感染呼吸衰竭脑梗死后遗症脑出血个人史

图片

二、治疗经过

入院后辅助检查(2024年7月4日)

  • 血常规白细胞计数5.20×109/L,中性粒细胞计数3.36×109/L,中性粒细胞百分比64.5%,淋巴细胞计数0.98×109/L(淋巴细胞百分比18.8%↓)

  • 感染指标:C反应蛋白78.66 mg/L↑),降钙素原0.075 ng/ml(↑)。

  • 生化:白蛋白27.1 g/L(),尿素氮2.0 mmol/L(),肌酐18 mmol/L(),钠139 mmol/L,氯99 mmol/L,钾3.9 mmol/L。

  • 胸部CT:右肺下叶为主的炎性病变(图1)

图片

1  患者入院后胸部CT(2024-07-04)

  • 气管镜下所见:经鼻腔进入,声门开放自如,会厌正常,有少许白色泡沫痰,气管内可见较多白色泡沫黏痰,予吸痰,后管腔通畅,隆突锐利,双肺下叶支气管少许白色黏痰,予吸痰,各支气管通畅,右肺下叶灌洗,生理盐水10 ml+阿米卡星0.2 g右下肺注入,操作顺利。

初始治疗

  • 抗感染头孢他啶阿维巴坦2.5 g q8h静脉滴注

  • 化痰及对症支持治疗吸入用乙酰半胱氨酸溶液3 ml bid雾化吸入。

疗效评价

患者入院第4天两次出现发热症状(图2),提示感染控制不佳。

图片

2  患者入院第1周体温变化情况

调整治疗方案

头孢他啶阿维巴坦2.5 g q8h静滴+阿米卡星0.8 g qd静滴。

疗效评价

调整治疗方案后患者咳嗽、咳痰症状较前减轻,体温逐渐恢复正常。但在7月11日,患者再次出现发热(图3),体温38.0℃,仍有咳嗽,咳痰量再次增多。

图片

3  患者入院第2周体温变化情况

7月8日痰培养回报:铜绿假单胞菌(多耐药),阿米卡星、妥布霉素、多黏菌素敏感。

tNGS回报:铜绿假单胞菌(序列数41800),嗜麦芽窄食单胞菌(序列数20934),纹带棒杆菌(序列数1630),肺炎克雷伯菌(序列数21),肺炎支原体(序列数15);白色念珠菌(序列数13)。

7月12日复查。血常规白细胞计数8.12×109/L,中性粒细胞计数5.97×109/L,中性粒细胞百分比73.5%,淋巴细胞计数1.19×109/L淋巴细胞百分比14.6%(↓)感染指标:C反应蛋白62.91 mg/L↑),降钙素原0.045 ng/ml。

治疗依据

2020年CHINET数据显示,肺炎克雷伯菌对碳青霉烯类耐药率仍接近25%,不动杆菌属、铜绿假单胞菌和克雷伯菌属对多黏菌素的耐药率最低(<2.3%)。

多黏菌素侧链氨基酸残基带正电作用于细菌外膜,竞争性替换掉Ca2+Mg2+,使细菌外膜变得不稳定,通透性增加,胞内磷酸盐、核苷酸等成分外漏,促使细菌死亡多黏菌素对生长静止期和繁殖期的细菌均有杀灭作用,是唯一具有抗内毒素活性的抗生素。该药适用于敏感革兰阴性杆菌引起的急性或慢性感染的治疗,特别是由铜绿假单胞菌及肺炎克雷伯菌等敏感株所致者;不适用于由变形杆菌或奈瑟菌属细菌所致感染的治疗。对于由产气肠杆菌、大肠埃希菌、肺炎克雷伯菌、铜绿假单胞菌等所致感染的临床有效性已经获得证实,亦可用于疑为革兰阴性杆菌所致严重感染的初始治疗和敏感革兰阴性杆菌感染的治疗。

对于广泛耐药的铜绿假单胞菌,指南推荐以多黏菌素为基础的两药或三药联合治疗。

1)两药联合方案:①多黏菌素+抗铜绿假单胞菌β-内酰胺类;②多黏菌素+环丙沙星;③多黏菌素+磷霉素;④多黏菌素+利福平。

2)三药联合方案:①多黏菌素+抗铜绿假单胞菌β-内酰胺类+环丙沙星;②多黏菌素+抗铜绿假单胞菌β-内酰胺类+磷霉素;③多黏菌素静脉滴注+碳青霉烯类+多黏菌素雾化吸入;④氨曲南+头孢他啶+阿米卡星。

再次调整治疗方案

菌素E甲磺酸钠150 mg q12h静注+左氧氟沙星注射液0.5 g qd静滴。

疗效评价

调整治疗后患者体温逐渐下降,7月14日出现体温短暂性升高,最高达38.4℃,但其后体温下并趋于稳定(图4)

图片

4  患者入院第3周体温变化情况

7月19日复查。血常规白细胞计数8.83×109/L,中性粒细胞计数5.59×109/L,中性粒细胞百分比63.3%,淋巴细胞计数1.89×109/L淋巴细胞百分比21.4%感染指标:C反应蛋白25.39 mg/L↑)【较前呈下降趋势】,降钙素原0.024 ng/ml。

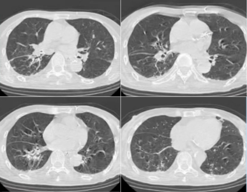
7月20日复查胸部CT:右肺下叶炎症较前明显吸收(图5)

图片

5  复查胸部CT(2024-07-20)

7月23日患者好转出院。

图片

三、病例小结

患者病程分为两个阶段:

第一阶段入院2024年710日),患者在此阶段存在铜绿假单胞菌感染,经抗感染治疗后体温一度下降,但在7月11日体温再次升高。

第二阶段(711-720日),患者痰病原学及NGS结果提示铜绿假单胞菌感染, 多重耐药, 调整抗感染药物为多黏菌素, 症状减轻。


    作者介绍    

图片
杜秀伟

山东大学齐鲁医院德州医院呼吸与危重症医学科,主治医师,硕士研究生;2020年在上海市肺科医院进修放射介入;目前主要从事呼吸系统常见疾病的诊治,肺血管疾病的介入治疗、肺癌的内科治疗;曾于核心期刊发表论文3篇。


声明:

本文仅用于学术内容的探讨和交流,不用于任何商业和推广,亦不作为最终的临床决策。临床实践需根据患者的具体情况选择适宜的处理措施。


全部评论 0
Copyright©2020-2026 北京医麦斯科技有限公司 版权所有 京ICP备2020034400号-1 京公网安备11010502043983号