登录方式

方式一:
PC端网页:www.rccrc.cn
输入账号密码登录,可将此网址收藏并保存密码方便下次登录

方式二:
手机端网页:www.rccrc.cn
输入账号密码登录,可将此网址添加至手机桌面并保存密码方便下次登录

方式三:
【重症肺言】微信公众号
输入账号密码登录

注:账号具有唯一性,即同一个账号不能在两个地方同时登录。

登录
方式

为重症救治赋能

为患者康复加速

当前位置: 首页 呼吸危重症菁英秀

曲霉与毛霉混合感染的救治策略

刘瑞云 莱西市人民医院呼吸与危重症医学科 发布于2025-08-06 浏览 3149 收藏

作者:刘瑞云

单位莱西市人民医院呼吸与危重症医学科

图片

一、病情介绍

1. 一般情况

患者女性,56岁体重50 kg“发热、咳嗽1月余”于2024年1月17日13:20收入院

2. 既往史

类风湿关节炎19年,长期口服硫酸羟氯喹片和来氟米特片,11年前开始服用醋酸泼尼松,初始10 mg qd,目前8.3 mg qd;肺间质纤维化10余年,口服百令胶囊;高血压病史半年,自服硝苯地平控释片治疗,平时血压控制可。无糖尿病、冠心病病史,无结核病史及密切接触史;有复方新诺明过敏史(具体不详);无遗传病、传染病病史。

3. 现病史

患者1月余前出现发热,体温高达38.5℃,阵发性咳嗽,咳少量黄痰,喘憋,活动后加重,夜间可平卧入眠,发热时头痛、全身痛,无头晕,无咽痛、流涕,无胸痛、盗汗、咯血,无胸闷、恶心、呕吐、腹痛、腹泻,无意识障碍。20余天前至当地医院输液治疗(具体用药及剂量不详),咳嗽、咳痰减轻,仍有反复发热,遂来诊。门诊完善胸部CT,拟“间质性肺炎”收入我科。患者自发病以来,神志清,精神不振,进食及睡眠欠佳,大小便如常,体重无明显减轻。

4. 体格检查

体温36.3℃, 脉搏92次/min, 呼吸20次/min, 血压132/79 mmHg, 神志清, 咽部无充血, 锁骨上淋巴结未及肿大, 双肺呼吸音低, 可闻及Velcro啰音, 心率92次/minn, 律齐, 各瓣膜听诊区未闻及病理性杂音, 腹软, 无压痛、反跳痛,肝脾未及, 肝肾区无叩痛, 双下肢无水肿。

5. 辅助检查(2024-01-16)

  • 血沉23 mm/h,白细胞介素6(IL-6)35.40 pg/ml。

  • 血常规+CRP:WBC 13.16×109/L,NEU 11.63×109/L,LYM 0.88×109/L,NEU% 88.4%CRP 82 mg/L

  • 胸部CT(图1)考虑间质性肺炎肺气肿,肺大泡冠状血管钙化,主动脉壁钙化

图片

1  患者胸部CT

6. 入院诊断

间质性肺炎;类风湿关节炎;肺气肿肺大疱;高血压病,1级,中危。

图片

二、诊疗经过

1. 诊疗计划

1)持续低流量吸氧。

2)哌拉西林他唑巴坦经验性抗感染,二羟丙茶碱平喘、祛痰止咳等治疗。

3)完善相关辅助检查: 血气分析, 血尿便常规, 生化, 心肌酶, 痰培养, 心电图等。

4)静脉血栓栓塞(VTE)风险评估(Padua评分)分级:低危,予基础预防。

5)择期行支气管镜检查协助诊疗。

2. 辅助检查(2024-01-17)

  • 降钙素原<0.04 ng/ml。

  • 血生化:钾3.90 mmol/L,氯106.0 mmol/L,钠143 mmol/L,葡萄糖5.7 mmol/L,肌酐48 μmol/L,尿素7.7 mmol/L,尿酸121 μmol/L,间接胆红素3.4 μmol/L,谷丙转氨酶20 U/L,总胆红素7.8 μmol/L,谷草转氨酶26 U/L,肾小球滤过率105 ml/(min·1.73m2),直接胆红素4.4 μmol/L。

  • 血管炎五项+ENA酶谱:抗核抗体核均质型(1:320),核颗粒型(1:160),抗循环瓜氨酸肽抗体215.16 RU/ml,抗SSA阳性(+),抗中性粒细胞胞浆抗体p阳性(+),抗Ro-52抗体阳性(+),余阴性。

3. 支气管镜检查(2024-01-18)

镜下:左侧声带见一息肉;双侧各级支气管管腔见较多白痰,以右肺上叶及左肺各叶段著,充分吸引后管腔通畅,膜光滑,未见新生物、出血自右肺上叶各段及左肺上叶、舌叶各段给予生理盐水灌洗,留取灌洗液进行细菌培养、涂片找真菌、结核菌、tNGS病原检测。诊断提示:声带息肉,肺部感染。

3. 病原学结果

2024年1月19日呼吸道多种病原体靶向测序结果:①细菌:流感嗜血杆菌(序列数86),铜绿假单胞菌(序列数31);②真菌:黄曲霉复合群(序列数38),米根霉(序列数30),白念珠菌(序列数24325),克柔念珠菌(序列数736);③病毒列表:人偏肺病毒(序列数44)。

1月19日涂片检测霉菌结果提示真菌孢子和菌丝均阴性。涂片查抗酸杆菌未见。

1月20日灌洗液曲霉菌抗原检测(GM试验)2.75 μg/L,灌洗液细菌培养、鉴定、药敏培养48小时无致病菌生长。

4. 危险因素

侵袭性曲霉病与侵袭性毛霉病高危因素存在重叠,这些重叠的危险因素有:中性粒细胞缺乏,接受糖皮质激素治疗,异基因造血干细胞移植,实体器官移植,血液恶性肿瘤,HIV,创伤或烧伤,自身免疫性疾病/接受T细胞或B细胞靶向治疗,重症流感/COVID-19。尽管在多数研究中将糖尿病纳入到毛霉病危险因素中,但也有研究显示在罹患侵袭性曲霉病人群中糖尿病发病率高于对照人群(脓毒症)。侵袭性霉菌感染流行病学研究显示,霉菌感染和霉菌混合感染患者中接受皮质类固醇治疗和糖尿病基础疾病伴随较高的比率。

5. 治疗方案调整

根据tNGS及GM试验结果调整治疗方案:在原有抗感染方案联合两性霉素B胆固醇硫酸酯复合物,加强抗曲霉及毛霉治疗。两性霉素B胆固醇硫酸酯复合物具体疗程:50 mg qd(1 mg/kg)【1月21日】→ 100 mg qd(2 mg/kg)【1月22日】→ 150 mg qd(3 mg/kg)【1月23-25日】→ 200 mg qd(4 mg/kg)【1月26-29日】。

初始予外周静脉注射,患者皮肤出现红肿,遂予地塞米松和利多卡因局部封闭,第2天改为深静脉置管。

6. 辅助检查(2024-01-24)

  • 血气分析:pH 7.427,PaCO2 39.9 mmHg,PaO2 120.9 mmHg,HCO3- 25.7 mmol/L,BE -1.3 mmol/L,氧合指数417 mmHg。

  • 血常规:白细胞4.37×109/L,中性粒细胞百分比71.00%,淋巴细胞计数0.73×109/L,C反应蛋白2.40 mg/L。

  • IL-6 4.917 pg/ml,血沉2 mm/h。

7. 治疗方案调整

抗感染治疗1周后,患者体温、呼吸道症状及炎症指标较前改善2024124停用哌拉西林他唑巴坦抗感染,单用两性霉素B胆固醇硫酸酯复合物抗霉菌治疗

8. 复查相关指标(2024-01-27)

  • 血生化:钾3.10 mmol/L,氯107.0 mmol/L,钠147 mmol/L,葡萄糖3.8 mmol/L,肌酐56 μmol/L,尿素7.7 mmol/L,尿酸204 μmol/L,间接胆红素3.5 μmol/L,谷丙转氨酶16 U/L,总胆红素7.1 μmol/L,谷草转氨酶22 U/L,估算肾小球滤过率100.41 ml/(min·1.73m2),直接胆红素3.6 μmol/L。

  • 肺癌标志物:癌胚抗原1.15 ng/ml,磷癌抗原0.857 ng/ml,细胞角蛋白19片段测定3.260 ng/ml,神经元特异性烯醇化酶测定14.270 ng/ml,胃泌素释放肽前体47.200 pg/ml。

  • 心肌标志物:肌钙蛋白I<0.025 ng/ml,肌红蛋白7.508 ng/mI,肌酸激酶同工酶1.250 ng/ml。

9. 胸部CT2024-01-26

胸廓基本对称,双肺内示片状及网格样高密度影116片未见明显改变,各主支气管开口通畅,双肺内散在低密度影纵隔内未见明显肿大淋巴结(图2)

图片

2  患者胸部CT对比

10. 临床转归

患者咳嗽、喘憋减轻, 无咳痰、发热、胸痛查体: 体温36.5℃脉搏82次/min, 呼吸17次/min, 血压148/82 mmHg, 神志清, 双肺呼吸音, 闻及Velcro啰音, 心率82次/min, 律齐, 无杂音, 腹软, 无压痛及反跳痛, 双下肢无浮肿。患者于2024129出院

出院带药:百令胶囊(基药)4粒口服,每日3次。硫酸艾沙康唑胶囊,前48 h 200 mg口服,每日3次,之后12~24 h内开始200 mg口服,每日1次。

11. 出院诊断

肺曲霉病肺毛霉病米根霉);流感嗜血杆菌感染铜绿假单胞菌感染肺间质纤维化结缔组织病肺气肿肺大疱声带息肉

12. 临床随诊

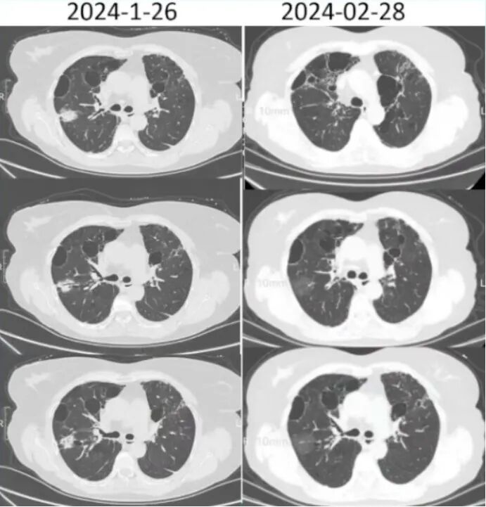
【出院后2天】患者出院后每日发热,体温高达38℃,咳嗽不著,无明显咳痰,轻微胸闷、腹胀。2024年2月1日至我院随诊,体格检査:神志清,双肺呼吸音粗,闻及Velcro啰音。CRP 60.99 mg/L。血清淀粉样蛋白A测定167.92 mg/L,其余无异常。嘱继续口服艾沙康唑治疗。合并急性上呼吸道感染,予对症治疗。

【出院后1个月】2024年2月28日,查CRP 34.42 mg/L。胸部CT(图3):胸廓基本对称,双肺内片见状及网格样高密度影,右肺部分病变较前密度减低,各主支气管开口通畅,双肺内示散在低密度影;纵隔内未见明显肿大淋巴结,前纵隔内示约0.9 cm×0.5 cm结节影,边界清晰,密度均匀。

图片

3  患者随诊胸部CT与之前对比

【出院后40天】患者因发热2天来我院就诊,体温最高38.0℃,全身酸痛,无咽痛、咳嗽、胸闷胸痛,无腹痛腹泻,伴恶心,服用连花清瘟及新癀片后症状有所减轻。体格检査:神志清,精神可,双肺呼吸音低,闻及Velcro啰音,心律齐,各瓣膜听诊区未闻及杂音,腹软,无压痛、反跳痛,肝脾未及,双下肢无水肿。2024年3月9日查CRP 113.72 mg/L,余无异常;肝肾功能无异常。予左氧氟沙星片0.5 g qd,嘱继续口服艾沙康唑,治疗2周后复查肝肾功能及血常规、CRP、胸部CT。

【出院后2个月】2024年3月27日,CRP 2.04 mg/L。胸部CT(图4):胸廓基本对称,双肺网格样高密度影,双肺内散在低密度影;各主支气管开口通畅,纵隔内未见明显肿大淋巴结,前纵隔内示约0.9 cm×0.5 cm结节影,边界清晰,密度均匀。嘱继续口服艾沙康唑治疗。

图片

4  患者随诊胸部CT对比

【出院后3个月】2024年4月24日常规随诊:CRP 15.46 mg/L,WBC 6.01×109/L,NEU 3.53×109/L,EOS 0.33×109/L,EOS% 5.40%,PLT 332×109/L。嘱继续口服艾沙康唑治疗。

【出院4个月】2024年5月22日常规随诊,复查血常规,CRP 15.86 mg/L,其余无异常。胸部CT(图5):考虑双肺间质纤维化可能性大;肺气肿,肺大疱;双肺小结节;前纵隔结节;双侧胸膜增厚。患者艾沙康唑已服用4个月,肺部病灶吸收可,暂停用观察半月,如有不适,及时复查,3个复查胸部CT。

图片

5  患者胸部CT变化

图片

三、侵袭性霉菌感染的药物选择

抗真菌药物在临床感染性疾病治疗中占据重要地位,尤其对于免疫功能低下、长期使用广谱抗生素等高危人群,其合理应用直接关系到感染控制效果。目前临床常用的抗真菌药物主要包括三唑类、棘白菌素类和多烯类,各类药物在作用机制、药代动力学、抗菌谱及特殊人群应用中均存在显著差异。

1. 三唑类药物

三唑类药物是临床应用最广泛的抗真菌药物之一,其核心作用机制是抑制真菌CYP14-α去甲基化酶,从而阻断真菌细胞膜中麦角固醇的合成。麦角固醇是真菌细胞膜的关键组成成分,其合成受阻会导致细胞膜结构紊乱、通透性异常,最终抑制真菌生长繁殖。

临床常用的三唑类药物包括伊曲康唑、伏立康唑、泊沙康唑及艾沙康唑。其中,艾沙康唑因特殊的化学结构,能更紧密结合真菌CYP51蛋白的结合囊,不仅拓宽了抗菌谱,还对其他三唑类耐药(如伊曲康唑、伏立康唑耐药菌)的真菌具有活性。

1  三唑类药物药代动力学比较

图片

2  三唑类药物在特殊人群中的应用

图片

2. 多烯类药物

多烯类药物以两性霉素B及其脂质体为代表,其作用机制具有双重性:一方面与真菌细胞膜上的麦角固醇结合,增加细胞膜通透性;另一方面诱导细胞膜发生脂质过氧化损伤,最终导致真菌死亡。由于两性霉素B对真菌细胞膜的选择性较高,抗真菌活性强,但同时也可能影响人体细胞膜中的胆固醇,导致肾毒性等不良反应,其脂质体制剂可降低毒性。

3  多烯类药物与艾沙康唑比较

图片

3. 常用抗真菌药物的抗菌谱和抗菌活性

不同抗真菌药物的抗菌谱各有侧重,临床需根据感染病原菌选择药物。

曲霉属: 艾沙康唑、伏立康唑、泊沙康唑对烟曲霉、黄曲霉、土曲霉有较好活性; 两性霉素B对黄曲霉活性稍弱; 卡泊芬净对曲霉属活性中等。

毛霉目(根霉属、毛霉属等):艾沙康唑、泊沙康唑和两性霉素B对毛霉目活性较强,而伏立康唑对毛霉目基本无活性。

4  常用抗真菌药物的抗菌谱和抗菌活性

图片

4. 侵袭性曲霉病的药物选择

首选药物:伏立康唑(负荷剂量400 mg q12h,维持剂量200 mg q12h)或艾沙康唑(负荷剂量200 mg q8h×48 h,维持剂量200 mg qd)。

备选药物:泊沙康唑(静脉制剂或肠溶片,负荷剂量300 mg q12h,维持剂量300 mg qd)或两性霉素B脂质体/两性霉素B胆固醇硫酸酯复合物/两性霉素B脱氧胆酸盐。

联合治疗可选用卡泊芬净(首剂70 mg qd,维持50 mg qd)或米卡芬净(100~150 mg qd)。

5. 侵袭性毛霉病的药物选择

线药物两性霉素B脂质体用法可考虑直接目标剂量参考2019年欧洲指南疗程建议至少3~6个月,其中静脉给药4~6周

备选药物:艾沙康唑或泊沙康唑或两性霉素B胆固醇硫酸酯复合物联合治疗缺乏临床研究

浓度监测常规泊沙康唑目标>1 mg/L);②非常规艾沙康唑

6. 混合霉菌治疗药物选择

艾沙康唑和两性霉素B具备覆盖曲霉菌属和毛霉菌属抗真菌活性。在体外和临床感染中对下列的微生物的大多数菌株具有活性:烟曲霉、黄曲霉、黑曲霉和毛霉目(如米根霉和毛霉属)。

图片

四、总结

在侵袭性霉菌感染的临床管理中,高危因素识别、早期诊断与规范治疗至关重要。其中,免疫抑制基础状态是混合型霉菌感染的核心高危因素,这类人群因免疫防御机制受损,更易遭受曲霉、毛霉等多种霉菌的联合侵袭,需重点监测。早期病原学诊断对于侵袭性霉菌感染的治疗至关重要,其核心价值在于明确感染的病原菌种类,为精准选择抗真菌药物提供依据。对于曲霉和毛霉感染,“早期、足量、足疗程”的治疗原则是改善预后的核心,而药物选择需基于病原菌种类、患者基础状况及药物特性综合判断。其中,两性霉素B脂质体与艾沙康唑是目前公认的治疗基石,两者在抗菌谱、药代动力学及安全性方面各具优势。


    作者介绍    

图片
刘瑞云

青岛市立医院莱西市医疗集团呼吸中心常务副主任兼人民医院呼吸与危重症医学科主任,主任医师山东省医学会呼吸病分会基层委员会委员山东省医学会细菌感染与耐药防治分会基层学组副组长山东省医师协会呼吸医师分会基层委员会委员山东省医师协会呼吸疑难罕见病医师分会委员山东省医师协会呼吸疾病介入医师分会委员中国健康促进与教育协会县域呼吸专业委员会委员山东省转化医学会呼吸慢病管理分会副主任委员山东省防痨协会呼吸内镜专业委员会委员青岛市老年医学学会呼吸病学专业委员会副主任委员青岛市五一劳动奖章获得者,第一届“莱西名医”


声明:

本文仅用于学术内容的探讨和交流,不用于任何商业和推广,亦不作为最终的临床决策。临床实践需根据患者的具体情况选择适宜的处理措施。


全部评论 0
Copyright©2020-2026 北京医麦斯科技有限公司 版权所有 京ICP备2020034400号-1 京公网安备11010502043983号