作者:王琳琳
单位:苏州大学附属太仓医院呼吸与危重症医学科
患者,男性,69岁,因“反复咳喘10余年,意识不清3小时”于2024年1月21日22时入院。患者于10年前始出现反复咳喘,曾在我院诊断为慢性阻塞性肺疾病,平时使用“布地格福吸入气雾剂“+家庭氧疗,病情反复多次加重。入院前1周受凉后出现咳喘加重,伴有少量白黏痰,无发热,入院当天19时家属发现患者嗜睡,测脉氧饱和度为30%,120急送我院急诊,予紧急气管插管,有创呼吸机辅助通气。既往有“自发性气胸,右肺结节”病史,未手术。吸烟大于400年支,已戒烟10年。
T 36.5℃,P 109次/分,R 16次/分,BP 123/84 mmHg;消瘦貌,RASS评分-2分,呼吸机潮气量(VT)80 ml左右,桶状胸,两肺叩诊过清音,两肺听诊呼吸音低,可闻及散在哮鸣音,未闻及湿啰音,双下肢无浮肿。
- 血常规+超敏C反应蛋白(hs-CRP):白细胞(WBC)6.1×109/L,中性粒细胞比例(NEU%)62.2%,血红蛋白(Hb)147 g/L,血小板(PLT)181×109/L,hs-CRP 6.94 mg/L。
- 肝肾电解质:白蛋白(Alb)38.5 g/L,谷丙转氨酶(ALT)25 U/L,谷草转氨酶(AST)33 U/L,尿素5.7 mmol/L,肌酐40 μmol/L,钾3.87 mmol/L,钠142.2 mmol/L。
- 血气分析(吸氧后):pH 7.161,PaCO2 116 mmHg,PaO2 51.8 mmHg,氧合指数157 mmHg,乳酸0.6 mmol/L。
- 高敏肌钙蛋白(hs-cTn)291.7 ng/L,脑利尿钠肽(BNP)31.2 pg/ml,降钙素原(PCT)0.091 ng/ml,白介素-6(IL-6)20.12 pg/ml。
- 肿瘤标志物:癌胚抗原(CEA)5.2 ng/ml,神经元特异性烯醇化酶(NSE)、细胞角质蛋白19片段抗原21-1(Cyfra21-1)正常。
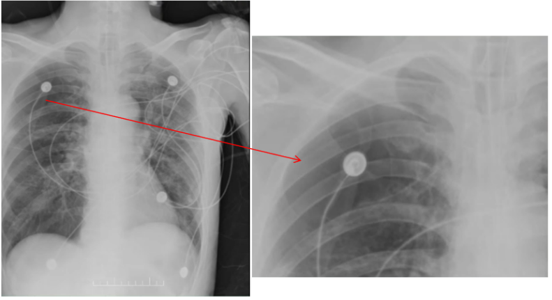
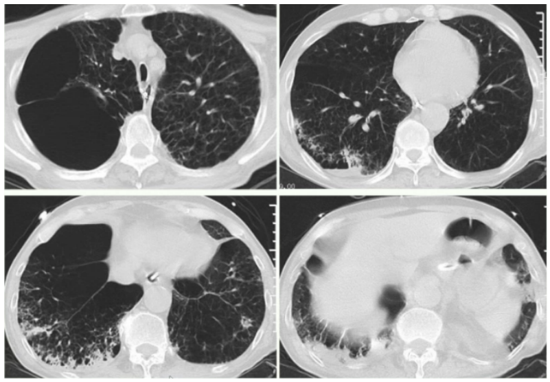
- 胸部CT:左侧气胸,肺气肿,肺大泡,两肺结节较前相仿(图1)。
慢性阻塞性肺疾病(急性加重期,极重度);肺性脑病;Ⅱ型呼吸衰竭;呼吸性酸中毒;左侧自发性气胸(肺压缩15%);肺诊断性影像学异常。
有创呼吸机辅助通气,呼吸机模式:SIMV+PSV,FiO2 60%,PEEP 5 cmH2O,PCV/PSV 13 cmH2O,f 15次/min,VT 150 ml左右,MV 3.4~5.2 L/min。
予哌拉西林他唑巴坦4.5 g q8h抗感染。布地奈德2 mg q12h+福莫特罗2 ml q12h雾化吸入。甲泼尼龙40 mg qd解痉平喘;氨溴索化痰;咪达唑仑、瑞芬太尼镇静镇痛。留置胃管鼻饲营养液,维持出入量、电解质、酸碱平衡。
动态复查血气分析。入院后30 min血气:pH 7.273,PaCO2 82 mmHg,PaO2 200 mmHg,乳酸0.5 mmol/L,下调吸氧浓度至40%。入院后4 h血气分析:pH 7.286,PaCO2 78 mmHg,PaO2 99 mmHg,氧合指数248 mmHg,乳酸0.6 mmol/L。入院后8 h血气分析:pH 7.296,PaCO2 74.7 mmHg,PaO2 82.6 mmHg,氧合指数206 mmHg,乳酸0.8 mmol/L。
2024年1月22日,患者入院后10 h,出现明显的人机不协调,气道峰压最高可达39 cmH2O,呼吸机模式:SIMV+PSV,FiO2 40%,PEEP 5 cmH2O,PCV/PSV 14 cmH2O,f 15次/min,VT 0~350 ml,查体:体温36.7℃,血压122/78 mmHg,脉氧饱和度98%,RASS评分-3分,气道内少量白色分泌物,右肺呼吸音低,左肺呼吸音粗,可闻及明显哮鸣音,呼气相延长。
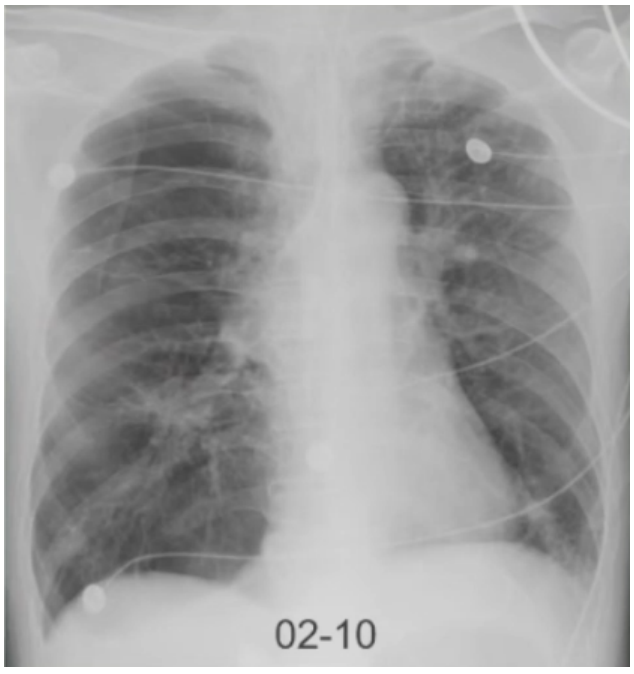
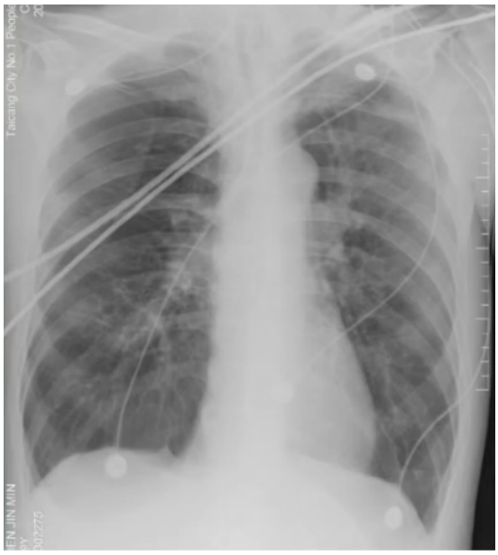
床旁胸片示:右侧弧形向内的透亮影【考虑可能是肺大疱的位置】,两肺散在模糊影,左侧少量气胸已显示不清,无明显右气侧气胸迹象(图2)。
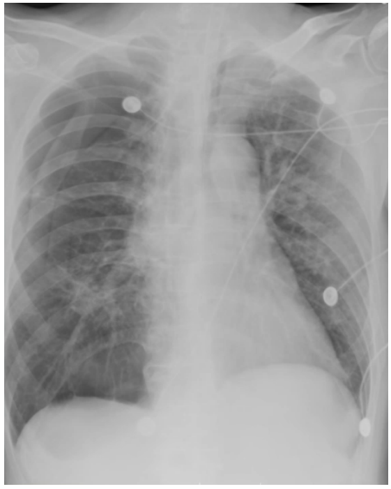
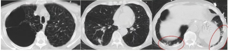
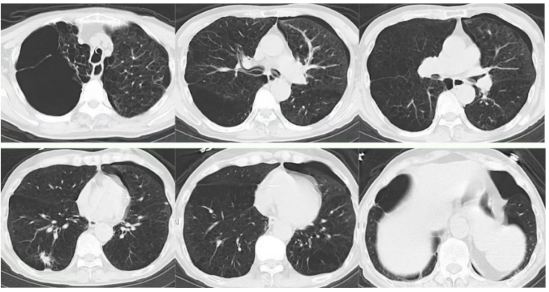
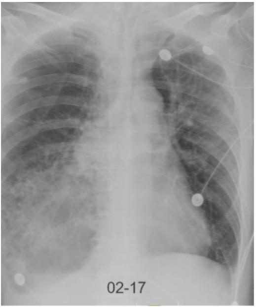
床旁支气管镜:隆突锐利,左右各叶支气管可见少量黏稠白色分泌物,予充分吸引,未见明显痰栓,各叶段予生理盐水肺泡灌洗,回收灌洗液(BALF),送检微生物培养。D-二聚体0.98 mg/L(胃内容物隐血阳性,预防性抗凝暂未实施,物理预防VTE)。考虑出现人机不协调可能是气道痉挛所致。调整呼吸机参数,更换为容量控制+压力支持模式,设定VT 为350 ml;加用阿曲库铵肌松;气道雾化治疗频率更换为q4h;甲泼尼龙剂量调整为40 mg q12h。调整后气道峰压下降至22 cmH2O。复查血气分析:pH 7.343,PaCO2 64.5 mmHg,PaO2 152 mmHg,氧合指数381 mmHg,乳酸1.5 mmol/L。患者呼气相延长好转,气促症状改善。2024年1月23日20:07,患者入院46 h,气促较前加重,哮鸣音明显,RASS评分-1分。复查血气分析:pH 7.206,PaCO2 104 mmHg,PaO2 59 mmHg,HCO3- 41.4 mmol/L,乳酸0.8 mmol/L。复查胸片:未见右侧新发气胸,左侧气胸未见进一步吸收,炎症不明显(图3)。予加深镇静镇痛。调整呼吸机参数为SIMV+PSV。1月23日22:04血气分析:pH 7.276,PaCO2 86.8 mmHg,PaO2 71.7 mmHg,HCO3- 40.4 mmol/L,乳酸1.3 mmol/L。1月24日09:34血气分析:pH 7.335,PaCO2 80 mmHg,PaO2 67.7 mmHg,HCO3- 40.1 mmol/L,乳酸1.3 mmol/L。(1)患者二氧化碳潴留反复加重的原因是什么?气道痉挛缓解困难的原因是什么?(2)并发气胸加重?——复查胸片可以排除这种可能。(3)并发肺栓塞?——D-二聚体基本正常,临床表现也无明显证据。1月24日BALF培养结果提示为烟曲霉。是否是致病菌?该患者危险因素符合:①慢性病基础(慢阻肺);②糖皮质激素应用史;③广谱抗生素应用史。不符合之处:①体温正常;②炎症指标正常;③胸部影像学未见新发感染征象;④外周血G试验/GM试验正常。1月24日加用伏立康唑片剂0.2 g q12h鼻饲,复查胃内容物隐血阴性,VTE评分5分(高危),根据体重调整剂量后加用依诺肝素3000 U预防性抗凝治疗。甲泼尼龙减量至40 mg qd,雾化减至q12h。继续有创呼吸机辅助通气,动态调整呼吸机参数,镇静镇痛,肌松。完善lgE、过敏原检测;动态复查胸片、血气分析、炎症指标。检查结果回示:IgE 37 lU/ml;吸入物+食入物过敏原阴性。1月26日复查血常规+hs-CRP:WBC 6.4×109/L,NEU% 92.0%,EOS% 0.0%,Hb 124 g/L,PLT 201×109/L,hs-CRP 9.24 mg/L。呼吸机参数:SIMV+PSV, PCV/PSV 20 cmH2O, PEEP 10 cmH2O, VT 200~500 ml。1月25日血气分析:pH 7.402,PaCO2 70.1 mmHg,PaO2 94.4 mmHg,氧合指数270 mmHg,乳酸1.1 mmol/L。1月26日血气分析:pH 7.431,PaCO2 67.7 mmHg,PaO2 80.5 mmHg,氧合指数230 mmHg,乳酸1.4 mmol/L。1月27日血气分析:pH 7.462,PaCO2 60.8 mmHg,PaO2 88.2 mmHg,氧合指数252 mmHg,乳酸1.6 mmol/L。1月27日复查胸片:与1月24日胸片对比,气胸未进一步加重,亦未见新发感染病灶(图4)。患者气道痉挛仍然存在,1月27日试停肌松后气道痉挛加重,人机不协调,脱机困难,1月29日出现发热(图5),气道内分泌物未见增多。抗感染药物已经覆盖了烟曲霉,患者为何出现发热症状——口服伏立康唑血药浓度不足?合并其他微生物感染?出现脓毒血症?寻找依据:查伏立康唑血药浓度为5.26 μg/ml(正常范围)。1月29日复查血常规:WBC 6.7×109/L,NEU% 89.3%,EOS% 0.0%,Hb 127 g/L,PLT 260×109/L,hs-CRP 3.66 mg/L。PCT、IL-6均正常,完善血培养【5~7天,等待结果】。经验性加强抗感染,停用哌拉西林他唑巴坦,更换为美罗培南。BALF送检NGS进一步明确致病菌。1月31日复查胸片:没有明显的新发感染迹象(图6)。送检BALF NGS 1天后结果回报:烟曲霉(序列数2272),乙型流感病毒(序列数47)。伏立康唑改为针剂0.2 g q12h,联合卡泊芬净50 mg qd(首剂70 mg),联合两性霉素B脂质体50 mg biw雾化;加用玛巴洛沙韦抗病毒。患者气道痉挛明显,气胸风险大,床边备胸膜切开包。复查血常规+hs-CRP:WBC 7.8×109/L,NEU% 86.6%,Hb 130 g/L,PLT 198×109/L,hs-CRP 1.0 mg/L。血培养回报阴性(双瓶双侧)【脓毒血症依据不足】。经过上述治疗,患者体温较前下降,支气管镜下气道分泌物较前减少,气道痉挛部分缓解,呼吸机参数改善,试停肌松。1月31日血气分析:pH 7.423,PaCO2 59.9 mmHg,PaO2 75 mmHg。2月1日血气分析:pH 7.420,PaCO2 58.6 mmHg,PaO2 81.2 mmHg。2月4日患者再次出现发热,体温最高38.1℃,气道痉挛加重,血气分析提示二氧化碳潴留加重,PaCO2 71.6 mmHg。复查炎症指标:WBC 12.2×109/L,NEU% 93.2%,hs-CRP 32.97 mg/L,PCT 0.068 ng/ml,IL-6 19.8 pg/ml。复查胸片提示两肺炎症改变,右肺下野团片影(图7)。复查BALF细菌培养:纹带棒状杆菌>103CFU/ml。真菌培养:无真菌生长。复测伏立康唑血药浓度3.03 μg/ml。纹带棒状杆菌是定植,还是致病?2月4日复查胸部CT:与入院时CT相比,出现两下肺斑片渗出影(图8)。考虑患者合并细菌感染。
图8 复查胸部CT(2024-02-04)
加用利奈唑胺0.6 g q12h治疗;由于患者短期内脱机困难,与家属充分沟通后,拟行支气管镜直视下气管旋切术;针对患者的低蛋白血症,输注人血白蛋白加强营养支持治疗;肝功能指标轻度升高,加用保肝治疗;保留三联抗曲霉、美罗培南抗革兰阴性菌治疗。经过治疗,患者体温逐步将至正常(图9),复查血常规:WBC 7.2×109/L,NEU% 87.3%,Hb 117 g/L,PLT 172×109/L,hs-CRP 12.35 mg/L。复查血气分析:pH 7.45,PaCO2 48.3 mmHg,PaO2 162 mmHg。复查胸片提示两肺炎症较前明显吸收好转(图10)。2月10日脱机,抗生素降阶梯,美罗培南改为拉氧头孢。2月10日血气分析:pH 7.485,PaCO2 40.9 mmHg,PaO2 81.2 mmHg。2月11日血气分析:pH 7.462,PaCO2 44.8 mmHg,PaO2 70 mmHg。复查血气:pH 7.149,PaCO2 107 mmHg,PaO2 62.7 mmHg,氧合指数125 mmHg。再次予呼吸机辅助通气。复查血常规+hs-CRP:WBC 3.3×109/L,NEU% 92.3%,Hb 107 g/L,PLT 64×109/L,hs-CRP 200 mg/L,PCT 1.471 ng/ml,IL-6 6.4.15 pg/ml。复查新冠核酸阴性,甲流/乙流抗原阴性,复查尿常规阴性,复查血培养,结果待回报。复查胸片提示两肺炎症明显进展(图11)。床边支气管镜提示右侧支气管腔内大量脓性分泌物。BALF细菌培养提示耐碳青霉烯类鲍曼不动杆菌(CRAB)>10万CFU/ml(双瓶);BALF真菌培养阴性。由于患者存在明显的鲍曼不动杆菌感染危险因素(长时间机械通气、广谱抗生素使用),考虑鲍曼不动杆菌致病。停用利奈唑胺(血小板下降考虑药物相关);停用美罗培南;停用伏立康唑、卡泊芬净;加用多黏菌素E甲磺酸钠(静脉+雾化)+替加环素联合抗感染。加强气道痰液引流、营养支持及脏器功能支持和保护。复查血常规+hs-CRP:WBC 7.2×109/L,NEU% 87.3%,Hb 115 g/L,PLT 91×109/L,hs-CRP 41.65 mg/L。复查血气分析:pH 7.414,PaCO2 55.3 mmHg,PaO2 93.7 mmHg,氧合指数187 mmHg。
2月26日复查胸部CT示炎症较前进一步改善(图12)。
该患者救治期间经历了重重波折,对于基层医院,气胸合并呼吸衰竭插管患者的呼吸机设置本身就具有很大的挑战。而且患者在住院期间先后出现纹带棒状杆菌、CRAB感染,考虑属于院感,是否治疗过程中存在不当?如何避免?患者病程中气道痉挛严重,无哮喘基础,是否考虑真菌致敏所致?如何把控糖皮质激素用量?患者出现了严重的人机不协调,呼吸机参数调节一度非常困难,如何把握肌松药物使用和停药指征?
太仓第一人民医院呼吸与危重症医学科副主任,副主任医师,硕士研究生;中国医药教育协会呼吸病康复基层分会委员,苏州市预防医学会呼吸系统疾病预防与控制专业委员会委员,苏州市中西医结合学会呼吸系统专业委员会青年委员,苏州市康复医学会呼吸康复专业委员会委员,太仓市医学会呼吸学专业委员会副主任委员,太仓医学会感染病分会委员。
- 本文根据“呼吸危重症菁英秀”第八十二期专题视频整理,感谢王琳琳医师予以审核。