登录方式

方式一:
PC端网页:www.rccrc.cn
输入账号密码登录,可将此网址收藏并保存密码方便下次登录

方式二:
手机端网页:www.rccrc.cn
输入账号密码登录,可将此网址添加至手机桌面并保存密码方便下次登录

方式三:
【重症肺言】微信公众号
输入账号密码登录

注:账号具有唯一性,即同一个账号不能在两个地方同时登录。

登录
方式

为重症救治赋能

为患者康复加速

当前位置: 首页 呼吸危重症菁英秀

高级生命支持下的内镜介入治疗

胡斯明 苏州市立医院呼吸与危重症医学科 发布于2025-08-06 浏览 1536 收藏

作者:胡斯明

单位:苏州市立医院呼吸与危重症医学科

图片

机械通气、连续性肾脏替代治疗(continuous renal replacement therapy, CRRT)、体外膜肺氧合(extracorporeal membrane oxygenation, ECMO)是重症医学领域最重要的三种生命支持技术。ECMO俗称“人工肺”,它能够替代心肺功能,减轻患者心肺负担,为医护人员争取更多的救治时间,还能够辅助呼吸与循环,被称为ICU里的“终极武器”。ECMO主要有VV和VA两种模式。对于呼吸科而言,由于更多地需要替代肺功能,因此VV模式的应用更为广泛。在治疗方面,气管镜的作用同样显著。临床医生可以在气管镜下进行球囊扩张、热消融、冷冻等操作,对于气道狭患者,还能进行气管支架置入,打通气道,改善患者的呼吸状况。无论是诊断还是治疗,气管镜都为呼吸科医生提供了强大的技术支持。

图片

一、病例分享

1. 病史介绍

患者性,66岁“胸闷气急8小时”于2021427日凌晨3:00来我院急诊

现病史:患者2021426日19:00自觉胸闷气急,伴呼吸困难呈张口呼吸无胸痛、发热、意识障碍,至我院急诊。

既往史:20205月因“食管癌”于我院东区行手术治疗,术后行4次化疗

2. 体格检查

体温37.0℃,脉搏125次/min,呼吸25次/min,血压127/68 mmHgSpO2 80%6 L/min),神清平车入院唇绀左肺呼吸音低,少许干啰音心率96次/min,律齐腹部体征阴性,四肢活动可

3. 辅助检查

  • 血常规+CRP:WBC 11.23×109/L,NEU% 75.2%Hb 147 g/LPLT 87×109/L,CRP 4.93 mg/L

  • 生化肝肾功能正常,钾3.36 mmol/L。

  • 凝血功能+心功能:D-二聚体0.36 mg/L,NT-proBNP 306 pg/mlCTnI正常

  • 血气分析:pH 7.5PaO2 49 mmHgPaCO2 30 mmHgLac 1.4 mmol/L

  • 心电图窦性心动过速,室性期前收缩,电轴右偏,ST段改变

4. 初步诊断及治疗

急诊诊断为肺部感染、呼吸衰竭,转入RICU。入科后予以吸氧、甲强龙抗炎平喘、经验性头孢唑肟+左氧氟沙星抗感染等治疗。

5. 病情演变

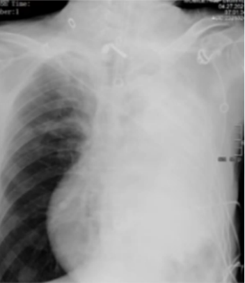
42705:00,患者症状加重,SpO2降至70%血气分析示:pH 7.4PaO2 42 mmHgPaCO2 41 mmHgLac 1.4 mmol/L。当天07:00床旁胸片示:左侧呈“白肺”改变,考虑左肺不张、大量胸腔积液待排(图1)。紧急气管插管接呼吸机支持。插管后完善心脏超声检查:射血分数63%,室间隔基底段增厚,三尖瓣中度反流,轻度肺动脉高压,少量心包积液。

图片

1  患者床旁胸片

4月27日08:00镇静镇痛、肌松、呼吸支持(FiO2 100%,PEEP 12 cmH2O),监护:HR 150次/min,BP 125/80 mmHg[去甲肾上腺素0.8 μg/(kg·min)],SpO2 50%~60%。

6. 启动ECMO

患者插管后氧合无法维持,生命体征不稳,左肺功能丧失,与家属充分沟通后,启动VV-ECMO支持,FiO2 60%,血流量4 L/min,转速3000 rpm。监测活化凝血时间(ACT),将其目标值控制在150~160 s。同时监测有创动脉压,维持循环稳定。

呼吸机:V/C模式,FiO2 35%,PEEP 10 cmH2O,R 10次/分,VT 320 ml。

CRRT:连续性静脉-静脉血液滤过透析(CVVH)维持内环境稳定,超滤率(UFR)200 ml/h。

追问病史:患者4月25日从我院东区出院时仍感胸闷气急,身上有多处导管(气管插管、静脉置管、动脉置管、导尿管),因此需要警惕院内获得性感染的发生。

7. 综合治疗措施

  • 镇静、镇痛、肌松。

  • ECMO(呼吸替代、维持氧合)。

  • 呼吸机(低支持条件、加强气道管理)。

  • CRRT(清除代谢物, 维持内环境, 液体管理)。

  • 血管活性药维持(血压, 乳酸), 抗心律失常。

  • 抗感染:亚胺培南西司他丁1.0 g q8h+万古霉素1.0 g q8h。

  • 纠正贫血、低蛋白血症,输注血浆改善凝血功能。

  • 营养支持:禁食→滋养型喂养→足量喂养

  • 保护脏器功能, 监控血糖, 维持内环境稳定。

8. 寻找病因

ECMO支持下,通过气管插管进行气管镜检查,镜下可见左主支气管内新生物堵塞气道,伴活动性出血,镜下止血困难。

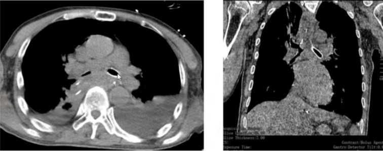
追溯患者既往病史:4月16日胸部CT显示左主支气管狭窄(图2)5月7日病理提示非小细胞癌。考虑可能是肿瘤加重导致的气道阻塞。

图片

2  患者既往胸部CT(2021-04-16)

9. 病情恶化

4月28日13:00, 患者气道出血加重, 听诊两肺呼吸音消失, 同时呼吸机报警提示"窒息"。SpO2降至78%, 血压呈下降趋势。紧急调节ECMO参数、改善氧合。同时纠正贫血, 输注血浆改善凝血功能, 扩容, 升压, 止血, 气道管理。

10. 解除病因

治疗团队认识到解除气道梗阻是挽救生命的关键。但受到ECMO、呼吸机等设备的限制,转运至介入手术室行支架置入风险极高。因此决定在床旁ECMO支持下,利用支气管镜介入技术行支架置入术。

4月28日下午3:00在ECMO支持下成功实施床旁气管镜引导下左主支气管支架置入术。支架置入后,患者SpO2及血气指标迅速得到改善(SpO2 95%~100%;pH 7.52,PaO2 95 mmHg,PaCO2 30 mmHg)。

术后影像学: 左肺复张, 通气恢复(图3, 图4)

图片

3  支架置入术前后患者胸片变化

图片

4  支架置入术后患者影像学(2021-04-29)

11. 病情转归与康复

支架置入后,患者生命体征明显改善,继续抗感染治疗,WBC、CRP和PCT也逐渐下降(图5)。在使用亚胺培南西司他丁+万古霉素抗感染过程中动态监测血药浓度,并及时进行调整。5月2日降级为哌拉西林他唑巴坦1.5 g q8h抗感染治疗。

图片

5  支架置入术后患者生命体征及感染指标变化情况

营养支持方面,4月29日予鼻饲葡萄糖盐水,4月30日予肠内营养混悬液(SP)500 ml。5月1日予肠内营养混悬液(SP)1000 ml。5月3日恢复自主进食。康复期间予翻身拍背、气道管理、心理疏导、预防DVT等措施。

12. 转归

4月27日急诊,随后气管插管→ECMO;4月29日撤离ECMO;5月2日脱机拔管,序贯经鼻高流量氧疗(HFNC);5月6日(入院后第9天)康复出院。出院时嘱其定期复诊进行后续肿瘤治疗。

图片

二、总结

本病例充分体现了呼吸危重症救治中生命支持技术与专科介入技术结合的重要性,以ECMO为代表的高级生命支持技术与以气管镜介入为代表的呼吸专科技术相结合的巨大潜力。ECMO为危重患者提供了宝贵的“时间窗”,而呼吸介入技术则能在床旁精准地诊断并解决导致危重症的根本病因,同时ECMO也为呼吸介入技术保驾护航,大大提高术中的安全性。这种“支持”与“干预”的紧密结合,辅以重症综合管理和多学科协作,是成功救治此类危重患者的关键,也是呼吸危重症学科核心竞争力的体现。同时,呼吸科与重症医学科的紧密结合,能够充分发挥ICU的生命支持优势和呼吸科的介入治疗优势,提高重症患者的救治效果。在整个治疗过程中,强大的护理团队以及医护之间的紧密合作也是确保治疗成功的关键因素。在呼吸危重症救治领域,技术的不断创新与协同应用,以及多学科团队的紧密配合,将为更多患者带来希望。


    作者介绍    

图片

胡斯明

苏州市立医院呼吸与危重症医学科副主任,医学博士,副主任医师;江苏省医学会呼吸病学分会青年委员江苏省中西医结合学会变态反应专业委员会委员苏州市医学会呼吸病学分会青年委员苏州市防痨协会重症分会委员


声明:

本文仅用于学术内容的探讨和交流,不用于任何商业和推广,亦不作为最终的临床决策。临床实践需根据患者的具体情况选择适宜的处理措施。


全部评论 0
Copyright©2020-2026 北京医麦斯科技有限公司 版权所有 京ICP备2020034400号-1 京公网安备11010502043983号