登录方式

方式一:
PC端网页:www.rccrc.cn
输入账号密码登录,可将此网址收藏并保存密码方便下次登录

方式二:
手机端网页:www.rccrc.cn
输入账号密码登录,可将此网址添加至手机桌面并保存密码方便下次登录

方式三:
【重症肺言】微信公众号
输入账号密码登录

注:账号具有唯一性,即同一个账号不能在两个地方同时登录。

登录
方式

为重症救治赋能

为患者康复加速

当前位置: 首页 呼吸危重症菁英秀

支气管胸膜瘘的诊治策略

陈晔锋 绍兴市人民医院呼吸内科 发布于2025-07-29 浏览 2916 收藏

作者:陈晔锋

单位绍兴市人民医院呼吸内科

图片

支气管胸膜瘘是呼吸介入领域备受关注的复杂问题,其诊治涉及多学科协作与个体化策略。本文结合临床实践,从定义、分型、病因危险因素、诊断方法、治疗策略及典型病例等方面,系统阐述支气管胸膜瘘的诊治要点。

图片

一、定义与分型

1. 定义

支气管胸膜瘘是气管、主支气管、叶支气管、段支气管、细支气管、肺泡管等各级支气管与胸膜腔交通形成的异常窦道的统称,是气管与胸膜腔之间的病理性连接

2. 分型

支气管胸膜瘘主要有以下分型方式:

(1)按位置分型: 中央型(瘘口位于段以上支气管, 与中央型肺癌分型标准一致); 外周型(瘘口位于段以下支气管)。

(2)瘘口大小分型:大瘘多数定义为瘘口直径5 mm,也有部分学者认为瘘口直径≥3 mm。大瘘口常为中央型,愈合较困难,优先尝试经支气管镜介入治疗,若无效则转行外科手术;部分病例可能通过气管镜介入治疗痊愈,但多数为姑息性介入治疗(尤其是当瘘口直径>5 mm时)。②小瘘(瘘口直径5 mm或3 mm)小瘘可中央或外周,预后相对较好。

图片

二、危险因素及分类

1. 高危因素

1)手术因素:肺切除程度、支气管残端肿瘤残留或复发、术前放疗史。

2)感染因素:尤其是真菌感染,持续感染会显著增加瘘的处理难度,是影响预后的关键因素。

3)基础状况:营养不良、低蛋白血症、糖尿病、慢阻肺、长期激素应用等,可降低组织修复能力,加重病情。

4)其他:持续术后机械通气、成人呼吸窘迫综合征。

2. 外科手术相关支气管胸膜瘘按术后时间分类

1)早期(1周内):早期瘘口的形成主要是外科手术技术问题。早期瘘口形成的危险因素有:①过度的纵隔淋巴结清扫;②支气管残端直径>25 mm;③较长的支气管残端;④支气管边缘残余肿瘤组织;⑤吻合过紧所致残端缺血。

2)中期(7~30 d)。

3)晚期(30 d后):晚期瘘口发生的相关因素有:①年龄>60岁;②营养不良;③肺部和胸膜腔感染进展;④恶性肿瘤复发。

支气管胸膜瘘发病率从0.5%到20%不等,而死亡率可达70%;术后一旦发生支气管胸膜瘘,处理起来较为棘手。

图片

三、临床表现与诊断

1. 临床表现

局部症状:活动后气促、闭式引流可见大量气体漏出、咳嗽及咳大量分泌物合并感染时可出现反复高热、多量脓痰。

全身症状:消瘦、乏力、严重纳差、全身状况差

2. 诊断方法

支气管胸膜瘘的确诊依赖于病史与胸部CT。

1)病史采集:重点关注手术史、肺部疾病史及感染史。

2)影像学检查:胸部CT是重要手段,可显示瘘口位置、脓腔范围及周围组织情况

3)内镜检查: 支气管镜可直接观察中央型瘘口, 结合球囊探查等技术可定位外周型瘘口。

图片

四、治疗策略

支气管胸膜瘘的治疗目前尚无统一指南及共识,治疗策略制定主要取决因素包括患者一般情况、年龄、瘘口大小、瘘口形态、发病时间、合并感染情况、营养状况等。需遵循“消除瘘口、封堵脓腔”的总体原则,结合患者具体情况制定个体化方案,必要时开展多学科协作(MDT),涉及呼吸科、胸外科、麻醉科等。影响支气管胸膜瘘治疗决策的因素主要是病变的性质。对于恶性瘘口,主要采取姑息治疗,尤其是禁用促增生的方法。对于良性瘘口,则力争治愈,积极尝试促增生方法。支气管胸膜瘘常见两种处理方法是呼吸内镜下介入治疗和外科手术治疗。

1. 支气管胸膜瘘的处理基本流程

1)首先针对病因或诱因治疗、营养支持治疗等,根据具体情况选择粗的胸管进行胸腔闭式引流、抗感染治疗等。

2)瘘口评估:主要采用胸部CT影像结合支气管镜检查,对瘘口的位置和大小等进行详细检查,评估责任引流支气管。

3)全身情况评估:包括重要脏器功能、营养状况等,以了解患者能耐受何种有创治疗。

4)术前多学科讨论(MDT):建议包括呼吸内科、胸外科、麻醉科等多学科参与讨论,评估采用内科介入治疗或外科治疗。一般来说,外科手术治疗(包括胸腔镜)主要适用于瘘口直径>5 mm或经内科介入治疗无效者。

5)介入治疗:可分为封堵剂及封堵器两类。封堵剂包括自体血、凝血酶、纤维蛋白胶、OB胶等,适合于瘘口直径<3~5 mm者。临床采用封堵剂封堵的成功率为82.4%,若失败可改用封堵器。封堵器主要有支气管塞、单向活瓣、填塞球囊、膨胀海绵、油性纱条等,常用于瘘口直径>3~5 mm者。大部分介入治疗经支气管腔进行,有时可结合内科胸腔镜从脏层胸膜侧进行封堵。

6)外科治疗:主要方法包括残端直接关闭、带血管蒂的软组织瓣(如心包和胸肌等)覆盖支气管残端、肺切除、外科胸腔镜治疗和/或胸廓改形术等。

2. 经气道介入治疗

无论是中央型支气管胸膜瘘(包括大瘘口和小瘘口),还是外周型支气管胸膜瘘,经气道介入治疗都占有重要地位。大瘘口首选经支气管镜介入治疗,在介入无效的情况下,选择外科手术。而小瘘口则选择经支气管镜介入。

经气道腔内介入治疗是目前临床常用手段,尤具体方法包括:

1)机械封堵:①封堵剂:外周瘘使用较多。②封堵器:包括支架侧封堵、支架残端封堵、支气管塞、单向活瓣等。

2)粘合剂:适用于小瘘口的封堵。

3)促增生修复:包括APC等理化刺激(小瘘口)以及干细胞治疗等。

3. 支气管胸膜瘘如何进行责任引流支气管定位?

责任引流支气管是指通向胸膜瘘口所属的肺叶或肺段的支气管。

中央型支气管瘘的定位较容易, 大瘘口甚至可经常规薄层CT发现, 但更直接和准确的方法是气管镜检查, 大部分可以快速找到瘘口。

外周型支气管胸膜瘘定位相对较难,较常用的定位方法包括经支气管镜球囊探查、经支气管镜呼气末CO2探查、肺侧支/旁路通气评估法(Chartis系统),经支气管镜注射亚甲蓝法等定位责任引流支气管。经支气管镜球囊探查因简便、有效、经济、安全等优点而更具实用性,即使在机械通气情况下也可安全地使用小球囊进行引流支气管探查,所以国内专家建议首选球囊探查法定位责任引流支气管,若球囊探查失败再考虑其他方法。

4. 经气管镜瘘口生物胶注射

瘘口直径<3 mm,可做首选。瘘口直径>8 mm,封堵成功率大大降低。

常见的生物胶包括聚二醇基凝胶、丙烯酸胶、凝胶泡沫、金属弹簧圈、脱钙后小牛骨等。

5. 刺激瘘口肉芽肿生长

利用Nd:YAG激光、电凝术、APC等操作,在瘘口部位诱导产生瘢痕组织,也可利用一些化学物质,如硝酸银、石炭酸、无水乙醇和乙氧硬化醇等物质刺激形成肉芽肿。

6. 植入支架或封堵器

全肺切除后发生的支气管胸膜瘘,呼吸内镜下植入支架或封堵器治疗可作为首选治疗。可选用的支架包括自膨胀覆膜金属支架、远端封闭的部分覆膜镍钦合金支架、蘑菇伞形双碟封堵器、支气管腔内单向活瓣(endobronchial valves,EBV)、Y型硅酮支架加工等。

7. 支气管胸膜瘘支气管镜下介入治疗的疗效预估

1)外周型瘘:首选支气管介入,以治愈为目标,根据情况选择封堵器或封堵剂。治愈率高,大多无需外科手术治疗。

2)中央型瘘:首选支气管镜介入,次选手术治疗。多采用封堵器,小瘘口可尝试封堵剂。小瘘口介入治愈可能性大,大瘘口介入治愈率降低。

3)生物治疗:仍在探索中,主要包括干细胞、PRP局部使用等。初步临床观察表明一些病例可得到治愈,不适合于肿瘤侵袭引起的瘘。

图片

五、典型病例分享

1. 病史情况

患者男性,75岁,因“咳嗽咳痰2周"于2023年5月5日入院

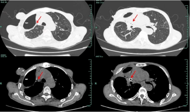
既往有右肺恶性肿瘤手术史15年前,病理类型为低分化非小细胞肺癌,肿块大小4.2 cm×3.3 cm,免疫组化:CEA部分+P53+),Ki-67 45%+TTF-1+EGFR-NSE-,不定期复查胸部CT2018年6月12日胸部CT:右上肺残腔以及少量积液1

图片

1  患者既往胸部CT(2018-06-12)

患者2周前受凉后出现咳嗽,咳白色黏痰,伴有痰血,活动后感胸闷气促,期间外伤后出现胸痛,NRS评分2分,自行服用头孢等抗生素,未见明显好转。4天前查体胸部CT提示右上肺切除术后改变,右中上肺包裹性积液/气,与前胸壁相通。来院急诊,予胸腔闭式引流,予抗感染、抗炎、平喘等治疗,经我科会诊,拟“支气管胸膜瘘、液气胸”收住我科。

2. 入院查体

体温37.0℃, 脉搏66次/min, 呼吸20次/min, 血压104/57 mmHg, 血氧饱和度96%; 神志清楚, 两侧瞳孔等大等圆, 直径3 mm, 对光反射存在; 颈软, 咽部充血, 扁桃体无肿大; 右上肺呼吸音低, 右下肺闻及湿啰音; 心律齐, 未闻及病理性杂音; 无结膜充血, 无皮肤瘀斑瘀点。

3. 辅助检查

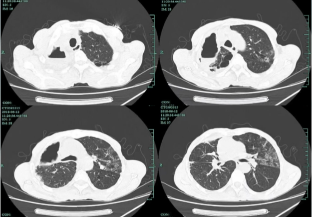
  • PCT 0.82 ng/mlCRP 215.15 mg/L

  • 胸部CT右侧肺癌术后,右上包裹性液气胸引流术后改变,胸膜瘘;肺气肿,两肺散在炎性病变,部分间质性改变,合并多处支气管轻度扩张。脓腔范围较前增大,右侧胸壁支撑有断裂置入引流管(图2)

  • 心电图: 阵发性室上性心动过速, ST段改变。


图片

2 患者入院胸部CT(2023-05-04)

4. 初步诊断和治疗

支气管胸膜瘘;右上液气胸;肺炎;肺恶性肿瘤术后(右上肺癌T2NxMx);阵发性室上性心动过速;肺气肿。

哌拉西林他唑巴坦4.5g q8h+莫西沙星0.4 g qd静脉滴注抗感染;氨溴索化痰;胸腔闭式引流,引流管可见较多气泡溢出,少量脓性胸水;白蛋白针加强营养等治疗。

5. 完善检查

  • 肿瘤指标组合:总前列腺特异抗原5.144 ng/ml,前列腺抗原比值0.056。

  • 血常规:WBC 5.91×109/L,NEU% 78.6%,Hb 114 g/L,PLT 425×109/L。

  • 生化组合:IgG 17.03 g/L,CRP 37.68 mg/L,LDH 112.5 U/L,ALB 23.8 g/L,eGFR 83.9 ml/min。

  • 凝血功能:凝血酶原时间13.6秒,凝血酶原时间活度69.8%,纤维蛋白原5.41 g/L,国际标准化比值1.2。

  • 血浆D-二聚体测定1.59 mg/L。

  • 甲状腺功能、肌钙蛋白、脑利尿钠肽、术前传染病、乙肝三系、涂片抗酸染色检查无特殊。

  • 心脏超声、腹部B超、下肢深静脉彩超、心电图均无特殊。

  • 颈部淋巴结B超:右侧锁骨上淋巴结肿大(16 mm×9 mm,皮髓分界不清);双侧颈部及左侧锁骨上未探及明显肿大淋巴结。

  • 超声引导下右锁骨上淋巴结针吸病理:散在炎症细胞,未见癌细胞。

  • 胸部增强CT(2023-05-07):红箭头所示为瘘口胸膜残腔相通3

图片

3  胸部增强CT(2023-05-07)

6. 介入治疗

2023年5月8日行气管镜检查:右上叶术后残端改变右中叶支气管炎性改变COOK球囊封堵探查支气管胸膜瘘责任支气管术4

图片

4  气管镜检查(2023-05-08)

5月11日行气管镜右中叶支气管内活瓣置入术(EBV-TS 5.5)5

图片

5  右中叶支气管内活瓣置入术(2023-05-11)

7. 疗效分析

患者体温升高, 加强抗感染治疗将哌拉西林他唑巴坦+莫西沙星调整为头孢哌酮舒巴坦+利奈唑胺, 随后体温逐渐下降并维持正常(6)

图片

6  置入EBV后患者体温变化及抗感染方案调整

5月19日患者引流管有气泡溢出,气泡较前稍增多。5月20日胸部CT:右上叶腔与胸腔相通EBV在位良好7

图片

7  复查胸部CT(2023-05-20)

8. 残端瘘处理

5月22日气管镜检查EBV在位,气道内有少量黏痰。柔性导丝探查,确认残端处有瘘,考虑可能与感染有关8予内镜下氩离子束凝固术(APC)。

图片

8  复查气管镜下所见

术后胸腔引流管水柱波动,咳嗽时有少许气泡溢出;继续头孢哌酮舒巴坦针联合利奈唑胺抗感染,加强营养治疗。

9. 临床转归

5月27日出院,出院后继续头孢他美酯抗感染治疗。

6月13日患者不慎引流管脱出,至我院急诊,胸部CT示残腔较前变小,中叶有复张趋势,EBV未取出9

图片

9  急诊胸部CT(2023-06-13)

6月16日气管镜:APC处理后的瘘口增生良好,基本已经闭合EBV在位良好10

图片

10  气管镜检查(2023-06-16)

通常EBV放置6~8周后需取出,如放置时间过长,可能出现肉芽组织增生,取出时可能发生明显出血。于是在7月10日取出EBV。7月11日复查胸部CT可见较前明显好转,中叶复张,无感染病灶11。基本治愈。

图片

11  复查胸部CT

10. 患者个性化分析

1)瘘口位置及大小:右肺中叶外侧段,贴近胸膜,瘘口大小镜下未见;右肺上叶术后残端微小瘘。

2)并发症情况:包裹性液气胸,脓胸。

3)一般情况:老年男性,营养状况差,一般情况欠佳。

4)其他情况:与家属充分沟通以及家庭经济状况等。

图片

六、总结

支气管胸膜瘘的诊治是一项系统工程。精准评估分型是前提,控制感染与营养支持是基石,介入封堵技术是核心武器,多学科协作是成功保障。对于外周瘘及中央小瘘,介入治疗可实现治愈;复杂大瘘需个体化评估介入与外科的序贯治疗。随着封堵材料与技术进步(如生物可降解材料、干细胞局部应用探索),支气管胸膜瘘的介入治愈率有望进一步提高。临床医生需建立分层决策思维,结合患者具体情况,选择最优的治疗路径。

图片
图片
图片


   参考文献    

上下滑动阅览

[1] Patterson TF, Thompson GR 3rd, Denning DW, et al. Practice Guidelines for the Diagnosis and Management of Aspergillosis: 2016 Update by the Infectious Diseases Society of America[J]. Clin Infect Dis, 2016, 63(4):e1-e60. 

[2] Garcia-Vidal C, Alastruey-Izquierdo A, Aguilar-Guisado M, et al. Executive summary of clinical practice guideline for the management of invasive diseases caused by Aspergillus: 2018 Update by the GEMICOMED-SEIMC/REIPI[J]. Enferm Infecc Microbiol Clin (Engl Ed), 2019, 37(8):535-541.

[3] Cornely OA, Alastruey-Izquierdo A, Arenz D, et al. Global guideline for the diagnosis and management of mucormycosis: an initiative of the European Confederation of Medical Mycology in cooperation with the Mycoses Study Group Education and Research Consortiump[J]. Lancet Infect Dis, 2019, 19(12):e405-e421.

[4] 中国医药教育协会真菌病专业委员会. 两性霉素B不同剂型临床合理应用多学科专家共识(2024版)[J]. 中华内科杂志, 2024, 63(3):230-257.

[5] 两性霉素B脱氧胆酸盐临床合理应用专家共识编写组, 中国医药教育协会感染疾病专业委员会, 中华医学会细菌感染与耐药防控专业委员会. 两性霉素B脱氧胆酸盐临床合理应用专家共识(2022)[J]. 中华医学杂志, 2023, 103(16):1173-1183.


    作者介绍    

图片
陈晔锋

绍兴市人民医院呼吸与危重症医学科副主任主任医师硕士研究生导师浙江省预防医学会呼吸病预防与控制专业委员会委员浙江省中西医结合学会职业病专业委员会委员浙江省抗癌协会呼吸系统肿瘤介入诊疗专业委员会委员浙江省医师协会呼吸医师分会介入学组委员绍兴市医学会呼吸病学专业委员会副主任委员绍兴市医学会呼吸内镜和介入学专业委员会副主任委员绍兴市生物医学工程学会呼吸与危重症专业委员会副主任委员绍兴市中西医结合学会呼吸专业委员会常委

本文仅用于学术内容的探讨和交流,不用于任何商业和推广,亦不作为最终的临床决策。临床实践需根据患者的具体情况选择适宜的处理措施。

全部评论 0
Copyright©2020-2026 北京医麦斯科技有限公司 版权所有 京ICP备2020034400号-1 京公网安备11010502043983号