登录方式

方式一:
PC端网页:www.rccrc.cn
输入账号密码登录,可将此网址收藏并保存密码方便下次登录

方式二:
手机端网页:www.rccrc.cn
输入账号密码登录,可将此网址添加至手机桌面并保存密码方便下次登录

方式三:
【重症肺言】微信公众号
输入账号密码登录

注:账号具有唯一性,即同一个账号不能在两个地方同时登录。

登录
方式

为重症救治赋能

为患者康复加速

当前位置: 首页 呼吸危重症菁英秀

从临床病例看侵袭性肺真菌病的诊治

桑琳莉 苏北人民医院呼吸与危重症医学科 发布于2025-07-22 浏览 2364 收藏

作者:桑琳莉

单位苏北人民医院呼吸与危重症医学科

图片

侵袭性肺真菌病作为一种严重的肺部感染性疾病,近年来发病率呈上升趋势,尤其在免疫功能受损患者中更为常见。本文将通过两个典型临床病例,深入剖析侵袭性肺真菌病的诊断要点、治疗策略及个体化管理经验,为临床实践提供参考。

图片

一、病例1

1. 基本资料

患者男性,66岁,体重52 kg,主诉:咳嗽咳痰伴发热3天,于2022年8月9日入院。高血压病史(控制良好),近期有带状疱疹病史。

2. 现病史

患者3天前无明显诱因出现咳嗽咳痰, 痰带血丝, 伴发热, 时有气喘, 就诊于当地医院, 胸部CT示两肺多发炎症, 予对症治疗后(具体不详)效果不佳, 未见明显好转, 为求进一步诊治入我院急诊科就诊, 体温最高39.5℃, 查胸部CT提示两肺多发结节样高密度影, 部分伴空洞; 两肺多发炎症、渗出; 肺气肿, 慢性支气管炎。血气分析提示Ⅰ型呼吸衰竭, 急诊收治入院。

3. 既往史

既往有“高血压”病史40余年,平素规律服用苯磺酸氨氯地平片1片qd,自诉血压控制尚可;有“带状疱疹”病史半月余,目前服用甲钴胺治疗;有“阑尾切除”手术病史20余年;否认“糖尿病、冠心病”等病史。

4. 入院查体

神志清楚,精神欠佳,口唇无发绀,胸廓无畸形,触诊语颤正常,叩诊两肺清音,听诊两肺呼吸音粗,可闻及湿啰音。双下肢无水肿,杵状指阴性。

5. 辅助检查

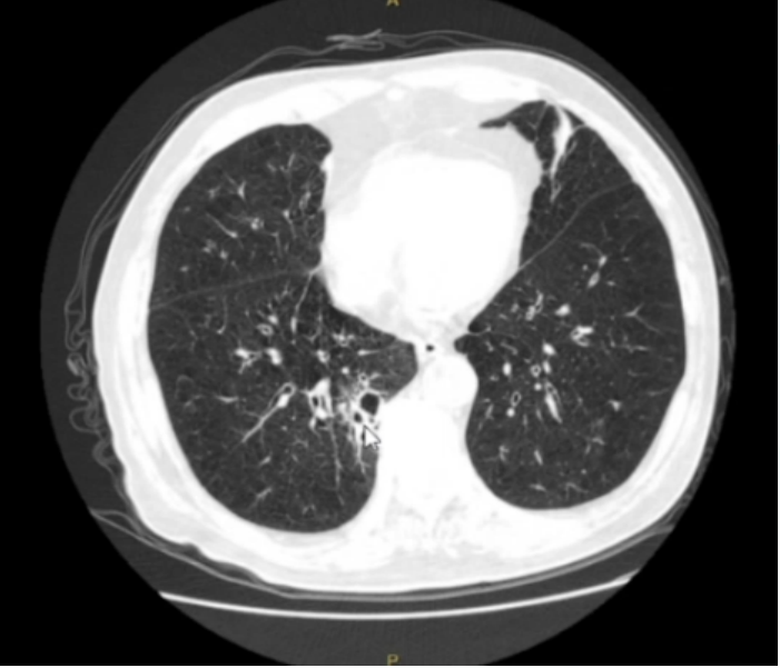
  • 胸部CT(2022-08-07):两肺多发结节样高密度影,部分伴空洞,感染性病灶可能,肿瘤性病灶可能,建议进步诊治;两肺多发炎症、渗出;肺气肿,慢性支气管炎;纵隔内多发肿大淋巴结;两侧胸膜增厚(图1)

图片

1  患者胸部CT(2022-08-07)

  • 入院后胸部增强CT(2022-08-10)肺部结节样病变和空洞样病变较前明显进展(图2)

图片

2  患者胸部增强CT(2022-08-10)

  • CT全腹部平扫:胆囊壁稍增厚;副脾可能;左侧肾上腺增粗;前列腺钙化灶。

  • 常规心电图:窦性心律;完全性右束支传导阻滞。

  • 血气分析:pH 7.436,PaO2 54.5 mmHg,PaCO2 28.3 mmHg,Na+ 130.8 mmol/L,Ca2+ 1.084 mmol/L,Glu 17.6 mmol/L,BE -4.4 mmol/L,血浆中碳酸氢盐浓度18.6 mmol/L。

  • N端脑钠肽前体371.00 pg/ml。

  • 血浆D-二聚体测定1.26 mg/L。

  • 肝肾功能电解质:总蛋白55.80 g/L,白蛋白25.50 g/L,球蛋白30.30 g/L,总胆红素33.60 μmol/L,非结合胆红素31.00 μmol/L,碱性磷酸酶134.00 U/L,γ-谷氨酰转移酶209.00 U/L,尿素9.30 mmol/L,钙1.94 mmol/L。

  • 凝血常规:血浆纤维蛋白原测定8.16 g/L,血浆凝血酶原时间测定16.80 s,PT国际标准化比值1.47。

  • 心肌损伤标志物未见异常。

6. 初步诊断

Ⅰ型呼吸衰竭,肺部感染,慢性支气管炎,肺气肿。

7. 治疗经过

初始治疗:哌拉西林他唑巴坦4.5 g q8h抗感染,甲泼尼龙40 mg qd抗炎平喘。

8月10日经验性予伏立康唑300 mg q12h,8月11日予伏立康唑200 mg q12h。

8月11日痰培养发现有烟曲霉生长,GM试验阳性,支气管肺泡灌洗液(BALF)mNGS回报曲霉序列数超过10000。明确患者为曲霉感染。

伏立康唑使用2天后,患者出现肝损伤,停用伏立康唑,改为卡泊芬净首剂70 mg,50 mg qd序贯,同时加用两性霉素B雾化治疗。治疗期间,患者体温相对平稳。治疗10天后将甲泼尼龙减量为20 mg qd(图3)

图片

3  患者入院后药物治疗及体温变化情况

后续通过保肝治疗,患者肝功能恢复正常。调整为伏立康唑200 mg q12h+两性霉素B 5 mg bid雾化吸入(图4),同时继续保肝治疗。患者在治疗过程中仍反复低热(图4,图5)但临床症状逍遥。由于患者家庭经济原因准予出院。出院后伏立康唑200 mg q12h口服,两性霉素B雾化吸入。体温38℃左右,自服布洛芬可退热,咳喘症状明显缓解。

图片

4  患者入院第34周治疗及体温变化

图片

5  患者入院第56周治疗及体温变化

8月19日复查胸部CT可见双肺空洞样改变和下肺渗出性病变较前缓慢吸收(6)9月5日胸部CT发现肺部病变较前进一步吸收(7)9月12日(出院前)胸部CT可见病变吸收更明显(8)。患者除偶尔发热,整体情况较好。

图片

6  复查胸部CT(2022-08-19)

图片

7  复查胸部CT(2022-09-05)

图片

8  复查胸部CT(2022-09-12)

7. 复发

2022年9月24日(出院约10天):患者突发高热、胸闷、气喘加重再次入院。查血常规:Hb 104 g/L,WBC 1.94×109/L,NEU 0.05×109/L,PLT 381×109/L;血气分析:pH 7.450,PaO2 81.1 mmHg,PaCO2 28.4 mmHg,血浆中碳酸氢盐浓度19.3 mmol/L,Glu 7.6 mmol/L,Lac 1.5 mmol/L。9月26日胸部CT:两肺多发感染,特异性感染不除外,较前片(2022-09-12)部分病灶范围稍缩小,部分病灶内空洞缩小,余变化不明显9;肺气肿,慢性支气管炎;纵隔内多发肿大淋巴结,较前大致相仿;心影增大;心包少许积液,较前新增,两侧胸膜增厚。

图片

9  患者再次入院胸部CT(2022-09-26)

8. 再次治疗与长期管理

调整方案(2022年9月底):考虑伏立康唑(集采药)及雾化治疗可能未能完全清除真菌或存在突破感染。予两性霉素B胆固醇硫酸酯复合物(ABCD)静脉治疗。10月8日复查胸部CT,病变较9月26日进一步吸收(图10)

图片

10  复查胸部CT(2022-10-08)

针对患者粒缺,使用粒细胞集落刺激因子300 μg qd。患者持续高热,予地塞米松预处理后,ABCD逐渐爬坡至1500 mg qd。由于患者之前外周静脉使用ABCD时出现明显的静脉刺激症状,因此后续通过深静脉置管给药。整个治疗过程中,病情相对平稳11

图片

11  患者再次入院药物治疗及体温变化

患者出院后因经济原因再次将药物调整为伏立康200 mg q12h口服。长期随访, 坚持抗真菌治疗1年。

2023年9月20日复查胸部CT示肺部病灶基本吸收,仅残留纤维条索影(图12)。停用抗真菌药,后续患者状态良好。

图片

12  随访胸部CT(2023-09-20)

图片

二、病例2

1. 患者资料

患者男性,74岁,老年男性。主诉:反复咳嗽、咳痰、气喘10余年,加重1个月,于2023年4月21日入院。

2. 现病史

患者10年前开始反复出现咳嗽、咳痰、气喘症状,在外院诊断为慢性支气管炎、肺气肿,目前布地格福治疗。1个月前患者症状加重,咳嗽、咳痰、气喘明显,痰色灰白,不易咳出,伴发热,轻微活动后胸闷、心悸、气短症状明显,休息后可缓解,无明显胸痛咯血,无头晕头痛,自觉腹部发胀,无腹痛腹泻,于外院就诊,查胸部CT:肺气肿、肺大疱;右下肺感染可能,较前(2023年4月6日)新增,建议复查;右肺结节,较前大致相仿;主动脉及冠脉钙化;肝脏及左肾低密度灶。腹部CT:肝内及左肾低密度影;后腹膜小淋巴结;胆囊体积增大,密度欠均匀;脾门结节,十二指肠憩室可能;血吸虫肠病,右侧髋臼囊性病灶。血、痰细菌培养均正常,痰NGS提示嗜麦芽窄食单胞菌、产气克雷伯菌、大肠埃希菌、人类疱疹病毒1型、EB病毒、人疱疹病毒5型、甲流H1N1、耶氏肺孢子菌,外院予激素抗炎、哌拉西林他唑巴坦+亚胺培南抗细菌、伏立康唑米卡芬净抗真菌等处置后,患者症状未见明显缓解,影像学提示病灶进展,收治我科住院诊治。

3. 既往史

既往有“冠心病”4个月,并行支架植入,目前自服“阿司匹林1qd、替格瑞洛1bid、美托洛尔47.5 mg qd+普伐他汀1qd、地尔硫卓1qd、雷贝拉唑钠肠溶片1qd”治疗有前列腺增生病史5年余,10余年前有阑尾炎切除史否认高血压、糖尿病等慢性病血吸虫病史40余年

4. 入院查体及检查

神志清楚,精神一般,桶状胸,触觉语颤减低,叩诊呈过清音,听诊双肺呼吸音粗,可闻及两肺散在湿啰音,双下肢不肿。胸部CT:下肺出现空洞样病变似有新月征表现(图13)

图片

13  患者入院时胸部CT(2023-04-21)

5. 初步诊断

慢性阻塞性肺病急性加重(AECOPD)肺部感染肺大疱肺部其他疾患肺结节);冠状动脉粥样硬化性心脏病冠状动脉支架植入后状态前列腺增生

6. 初始治疗

根据患者的临床病史,经验性予伏立康唑复方新诺明左氧氟沙星抗真菌治疗,以及针对冠心病的治疗和无创通气等支持治疗。

7. 病情进展

4月26日患者病情进一步加重,胸闷气喘非常明显。胸部CT:原有空洞样病变进一步加重,右肺和左肺也出现新的空洞样病变(图14)

图片

14  患者入院前胸部CT(2023-04-26)

实验室检查:血清GM试验、G试验阴性;痰培养:丝状真菌生长。BALF mNGS提示嗜麦芽窄食单胞菌,肺孢子菌以及微小根霉。因此考虑患者可能为肺孢子菌合并毛霉感染。

8. 调整治疗与转归

2023年4月28日起:硫酸艾沙康唑200 mg q8h×2天,序贯200 mg qd;复方新诺明2片q6h,两性霉素B 5 mg雾化吸入bid;同时予解痉平喘、营养支持、对症治疗等。

患者于6月21日出院,出院后继续口服艾沙康唑胶囊200 mg qd维持治疗。

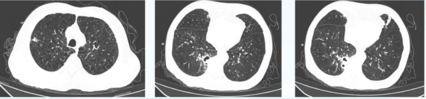
5月8日复查胸部CT可见空洞样病变较前有所吸收; 6月9日复查病灶进一步吸收10月9日随访胸部CT见病灶基本完全吸收(图15)

图片

15  患者病程中胸部CT对比

图片

三、侵袭性肺真菌病的诊断

1. 常见肺部真菌感染类型与特点

常见的肺部真菌感染病原体包括以下几种:①念珠菌属:为条件致病菌,常寄生于人体皮肤、口腔、胃肠道等部位,在机体抵抗力降低时引发感染。②肺孢子菌:主要寄生于肺泡上皮细胞内,在人体免疫力低下时可大量繁殖并引发感染,是艾滋病患者常见的机会性感染之一。③曲霉属:主要通过吸入空气中的曲霉孢子引起感染,曲霉在肺部可形成菌丝团块,导致组织坏死和出血。④隐球菌属:新型隐球菌是常见的致病菌,主要通过鸽粪等鸟类粪便传播,感染后可引起隐球菌性肺炎和隐球菌性脑膜炎。⑤接合菌(毛霉):主要通过吸入空气中的孢子引起感染,毛霉在肺部可迅速繁殖并侵犯血管,导致组织坏死和出血。

2. 危险因素识别

1基础疾病:长期患有慢性阻塞性肺疾病、支气管扩张等慢性肺部疾病以及糖尿病、恶性肿瘤等全身性疾病,均可增加侵袭性肺部真菌病的感染风险。

2)免疫功能受损:免疫功能低下或缺陷,如长期使用免疫抑制剂、接受放化疗等,使得机体对真菌的抵抗力降低,易引发感染。

3)医源性因素:长时间使用广谱抗生素、糖皮质激素等药物,以及接受机械通气、中心静脉置管等医疗操作,也可能导致肺部真菌感染。

3. 诊断方法

1)传统诊断方法。①临床表现分析: 统诊断方法首先依赖于对患者临床表现的详细分析, 包括症状、体征、病史等, 为初步判断提供线索。常规实验室检查: 通过血/尿常规、生化检查等常规实验室检测, 评估患者的整体状况, 辅助诊断。微生物学检查: 采集患者呼吸道样本, 进行真菌直接镜检, 培养、鉴定及药敏试验, 以明确感染真菌的种类和药物敏感性。

2)新型生物标志物在诊断中应用①真菌抗原检测:利用酶联免疫吸附试验(ELISA)等技术检测血清或呼吸道样本中的真菌抗原,如半乳甘露聚糖(GM试验)、1,3-β-D葡聚糖(G试验)、隐球菌荚膜抗原(CrAg)等,提高诊断敏感性。②真菌抗体检测:通过检测患者血清中的特异性真菌抗体,辅助诊断侵袭性肺部真菌感染,并评估治疗效果。例如,慢性空洞型肺曲霉病可检测曲霉lgG抗体,ABPA可检测曲霉特异性IgE抗体。③分子生物学技术:应用聚合酶链式反应(PCR)等分子生物学技术,快速检测呼吸道样本中的真菌DNA,实现早期诊断。二代测序不作为常规推荐,疑难病例可对无菌组织、无菌体液或BALF进行检测。④组织学检查:通过特殊染色(六胺银染色、过碘酸西夫染色、吉姆萨染色等)获取病原学线索。

3)影像学检查技术优化。①胸部X线检查:虽然X线检查对早期侵袭性肺部真菌病的敏感性有限,但仍有助于发现肺部炎症、结节等异常表现,为进一步检查提供依据。②胸部CT检查:CT检查具有更高的分辨率,能够更准确地显示肺部病变的形态、位置和范围,对侵袭性肺部真菌病的诊断具有重要价值。③核磁共振(MRI)检查:MRI检查在评估肺部病变的累及范围、与周围组织的毗邻关系以及鉴别诊断方面有一定优势,适用于对碘造影剂过敏或肾功能不全的患者。

4)支气管镜检查和活检术改进。①支气管镜直视下活检:通过支气管镜直视下观察气道和肺部病变,并采集病变组织进行病理学检查,以提高诊断准确性。②支气管肺泡灌洗(BAL):BAL技术可用于收集肺泡表面的细胞和液体样本,进行真菌培养、细胞学检查和生物标志物检测等,为侵袭性肺部真菌病的诊断提供有力支持。③经支气管镜肺活检(TBLB):TBLB技术能够获取更深部的肺组织样本,有助于发现早期或隐匿性的侵袭性肺部真菌病病灶,提高诊断阳性率。

图片

四、抗真菌药物选择与联合治疗策略

1. 常用抗真菌药物分类及作用机制

1三唑类药物氟康唑、伊曲康唑、伏立康唑、泊沙康唑通过抑制真菌细胞膜麦角固醇的生物合成,影响通透性从而达到治疗目的。此类药物对浅表真菌和深部真菌均有抗菌作用。

2)棘白菌素类:卡泊芬净、米卡芬净。此类药物影响真菌细胞壁合成(抑制真菌细胞壁成分β-(1,3)-D-葡聚糖合成,使真菌细胞溶解。

3)多烯类抗生素:两性霉素B及其类似物(两性霉素B去氧胆酸盐和3种含脂制剂)。通过与真菌细胞膜上的麦角固醇结合,形成孔道,改变细胞膜的通透性,使细胞内的物质外渗,导致真菌死亡。

4嘧啶类5-氟胞嘧啶。抑制DNA/RNA合成酶

2. 不同真菌的治疗推荐

国内外指南对不同真菌感染的治疗推荐如表1所示。

1  国内外指南对不同真菌感染的治疗推荐

图片

3. 联合治疗的应用

单药治疗侵袭性真菌病存在较多缺陷: 对于特殊部位感染, 单一药物局部浓度有限单药抗菌谱窄, 经验性用药抗菌覆盖面小当感染过于严重时, 单一用药较难控制对于复杂感染, 单药治疗的效果不佳存在诱导真菌耐药的问题

侵袭性真菌病联合治疗具有明显优势①两药靶位互补抗菌谱互补PK/PD特点互补耐药突变预防浓度MPC互补抗真菌效应增强更高效广谱覆盖组织分布广泛,提高PK/PD靶值达标概率PTA);减少耐药,缩小突变选择窗MSW)。

联合用药可能通过协同作用提高杀菌效果,产生比单独使用一种药物更大的治疗效果和更广泛的活性并且可以降低每种药物的剂量,缩短治疗时间,减少对宿主的毒性通过迅速减少病原体数量,药物联合可以延迟甚至预防真菌耐药的发生和发展,因为真菌通常需要较多突变积累才能产生对种药物的耐药。但需要注意的是,联合用药有增加药物相互作用的风险,可能导致药物毒性增加和成本增加。

抗真菌联合治疗药物选择原则①抗菌谱互补:在选择抗真菌药物进行联合治疗时,应考虑不同药物的抗菌谱,选择具有互补作用的药物,以拓宽治疗范围,提高治疗效果。②作用机制协同:选择作用机制不同的抗真菌药物进行联合,可以产生协同作用,增强杀菌效果,减少不良反应的发生。③避免拮抗作用:在药物搭配时,应注意避免选择具有拮抗作用的药物组合,以免降低治疗效果或增加毒副作用。

4. 联合治疗的指南推荐

2016年美国感染病学会(IDSA)曲霉病诊断和管理指南指出,根据体外及临床前试验结果,多烯类或唑类药物与棘白菌素联合用药,可发挥药物协同或加强作用(较弱推荐;证据级别低)。侵袭性肺曲霉病初始治疗不推荐联合用药,仅对于已经确诊进展性侵袭性曲霉病的部分患者可选用伏立康唑联合棘白菌素类治疗。侵袭性肺曲霉病复发或进展治疗可在当前方案中添加其他抗真菌药,或联合使用与初始方案类别不同的抗真菌药。

2018年西班牙临床微生物和传染病学会(SEIMC)曲霉引起的侵袭性疾病的管理指南推荐,血液病患者中的侵袭性曲霉病,三唑类和棘白菌素类是最常推荐的联合治疗方案,伏立康唑和阿尼芬净是最佳治疗方案;对于中枢神经系统曲霉病,伏立康唑联合两性霉素B脂质体治疗优于其他联合或单药治疗;对于唑类耐药菌株引起的曲霉感染,对伏立康唑(MIC>2 mg/L)耐药的菌株推荐使用两性霉素B或伏立康唑与棘白菌素联合治疗。

2019年ECMM毛霉病的诊断和管理全球指南建议,对于侵袭性毛霉感染的挽救性治疗可选棘白菌素与两性霉素B联合使用,如果不能耐受两性霉素B时,推荐棘白菌素联合泊沙康唑治疗,联合治疗比两性霉素B或泊沙康唑单药治疗临床结果更佳,尤其在挽救性治疗时更为明显,但目前临床试验的病例较少。

两性霉素B不同剂型临床合理应用多学科专家共识(2024版)推荐,对于单药治疗失败、多部位感染或耐药IA高危患者,可考虑采用两种药物联合治疗以改善疗效和生存率,如L-AmB+棘白菌素类药物、L-AmB+伏立康唑等三唑类抗曲霉药物(包括伏立康唑等三唑类抗曲霉药物+棘白菌素类联合治疗)。不建议常规采用基于AmB脂质剂型或AmBD的联合抗真菌方案治疗毛霉病。对于病情危重的毛霉病患者或一线足剂量单药抗真菌治疗效果欠佳的重症毛霉病患者,可以考虑试用AmB脂质剂型或AmBD+泊沙康唑或艾沙康唑。

《两性霉素B脱氧胆酸盐临床合理应用专家共识(2022)》建议,雾化吸入AmBD具有较高的局部浓度和很低的全身暴露量。对于曲霉、毛霉等引起的侵袭性气道感染、伴支气管胸膜瘘的肺部感染、慢性肺部感染等难治性肺曲霉病或毛霉病可联合AmBD气道局部治疗。特定高风险患者如恶性肿瘤放疗、粒细胞缺乏、造血干细胞移植和心肺移植受者,可使用AmBD经气道局部用药预防肺曲霉或毛霉等感染。

图片

五、总结

侵袭性肺真菌病诊治复杂,临床医生需高度警惕高危人群,结合临床表现、特征性影像学改变、及时规范的病原学检查等尽早诊断。治疗应遵循“初始恰当、足疗程治疗”原则。根据患者的具体病情、病原菌种类及药物敏感性等因素,制定个体化的联合治疗方案,以提高治疗效果。同时根据患者的病情改善情况和药物的药代动力学特点,合理优化联合治疗的疗程和药物剂量,以减少不良反应的发生,提高患者的耐受性。在治疗过程中,应密切监测患者的疗效和不良反应情况,根据实际情况及时调整治疗方案,确保治疗的有效性和安全性。

图片
图片
图片


   参考文献    

上下滑动阅览

[1] Patterson TF, Thompson GR 3rd, Denning DW, et al. Practice Guidelines for the Diagnosis and Management of Aspergillosis: 2016 Update by the Infectious Diseases Society of America[J]. Clin Infect Dis, 2016, 63(4):e1-e60. 

[2] Garcia-Vidal C, Alastruey-Izquierdo A, Aguilar-Guisado M, et al. Executive summary of clinical practice guideline for the management of invasive diseases caused by Aspergillus: 2018 Update by the GEMICOMED-SEIMC/REIPI[J]. Enferm Infecc Microbiol Clin (Engl Ed), 2019, 37(8):535-541.

[3] Cornely OA, Alastruey-Izquierdo A, Arenz D, et al. Global guideline for the diagnosis and management of mucormycosis: an initiative of the European Confederation of Medical Mycology in cooperation with the Mycoses Study Group Education and Research Consortiump[J]. Lancet Infect Dis, 2019, 19(12):e405-e421.

[4] 中国医药教育协会真菌病专业委员会. 两性霉素B不同剂型临床合理应用多学科专家共识(2024版)[J]. 中华内科杂志, 2024, 63(3):230-257.

[5] 两性霉素B脱氧胆酸盐临床合理应用专家共识编写组, 中国医药教育协会感染疾病专业委员会, 中华医学会细菌感染与耐药防控专业委员会. 两性霉素B脱氧胆酸盐临床合理应用专家共识(2022)[J]. 中华医学杂志, 2023, 103(16):1173-1183.


    作者介绍    

图片
桑琳莉

苏北人民医院呼吸与危重症医学科RICU主任,硕士,副主任医师,硕士生导师,江苏省医师协会呼吸医师分会重症学组委员,苏北医院集团呼吸病与呼吸内镜联盟委员。

声明:

本文仅用于学术内容的探讨和交流,不用于任何商业和推广,亦不作为最终的临床决策。临床实践需根据患者的具体情况选择适宜的处理措施。


全部评论 0
Copyright©2020-2026 北京医麦斯科技有限公司 版权所有 京ICP备2020034400号-1 京公网安备11010502043983号