登录方式

方式一:
PC端网页:www.rccrc.cn
输入账号密码登录,可将此网址收藏并保存密码方便下次登录

方式二:
手机端网页:www.rccrc.cn
输入账号密码登录,可将此网址添加至手机桌面并保存密码方便下次登录

方式三:
【重症肺言】微信公众号
输入账号密码登录

注:账号具有唯一性,即同一个账号不能在两个地方同时登录。

登录
方式

为重症救治赋能

为患者康复加速

当前位置: 首页 呼吸危重症菁英秀

急性发生的双肺弥漫性病变一例

陈碧 徐州医科大学附属医院呼吸与危重症医学科 发布于2025-07-01 浏览 1793 收藏

作者:陈碧

单位徐州医科大学附属医院呼吸与危重症医学科

图片

一、病情介绍

1. 基本信息

患者,女性,68岁,农民。因“发热5天,憋喘2天”于2022年12月23日入住RICU。

2. 现病史

患者5天出现发热,体温最高39.5℃,热前有畏寒寒战,伴有四肢、背部酸痛,服用布洛芬后体温可降至正常,但维持不到24 h再次升高。3天前查新冠病毒核酸阳性(CT值25.4)。2天前体温降至正常后出现胸闷憋喘,步行10米即喘。1天前至当地某医院就诊,查胸部CT提示两肺广泛磨玻璃影,以“重症肺炎”收治入院,入院后予“头孢哌酮舒巴坦”抗感染,气喘加重,120转入我院,入住RICU。

3. 既往史及其他

高血压病史2年,口服苯磺酸氨氯地平,血压控制尚可。否认吸烟及饮酒史,既往接种新冠疫苗2针。家族史无特殊。

4. 体格检查

T 36.8℃,HR 95次/分,R 23次/分,BP 145/82 mmHg。神志清楚,精神差,憋喘貌,颜面部、眼睑、颈部、胸前区均无皮疹、红斑,颈静脉无怒张,气管居中;两肺呼吸音低,中下肺可闻及细湿啰音;无口眼干燥,无双手雷诺现象,无杵状指,双手皮肤无粗糙、脱屑,肘踝关节无皮疹破溃,双下肢无水肿。

5. 辅助检查

  • 外院胸部CT:两肺广泛玻璃影1

图片

1  患者外院胸部CT(2022-12-22)

  • 血常规:WBC 8.9×109/L,NEU% 93.9%(↑),LYM 0.4×109/L(↓),PLT 167×109/L。

  • 炎症指标:CRP 141.8 mg/L(↑),PCT 0.35 ng/ml(↑)。

  • 生化:乳酸脱氢酶780 U/L(↑),钾3.24 mmol/L(↓),肌钙蛋白37 ng/L,脑钠肽无异常。

  • D-二聚体2.53 μg/ml(↑)。

  • T 细胞相关细胞因子12项阴性。

  • 血气分析:pH 7.5,PaO2 62 mmHg,PaCO2 28 mmHg,P/F 155 mmHg(↓)。

6. 入院诊断

新型冠状病毒肺炎(重型);Ⅰ型呼吸衰竭;高血压。

图片

二、治疗经过

1. 初始治疗

1)呼吸支持: 高流量氧疗, 俯卧位通气。

2)抗炎:甲泼尼龙40 mg q12h。

3)抗病毒:利托那韦100 mg/奈玛特韦300 mg q12h。

4)其他:抗凝、抑酸、营养支持等。

2. 病情进展

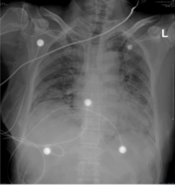
患者于RICU治疗5天, 气喘缓解不明显, 呼吸频率>30次/分, 氧合指数较前明显下降(124 mmHg)。床旁胸片可见双肺广泛渗出(2)

图片

2  患者床旁胸片(2022-12-27)

分析患者病情进展的原因:①本身病毒感染的进展?还是病毒感染后炎症风暴?②合并其他问题(继发感染?鉴别诊断?)

3. 相关实验室检查回报

  • 风湿全套Jo-1抗体+++),Ro-52抗体+++)。

  • KL-6 637 U/ml;铁蛋白316 ng/ml;T细胞因子全阴性

  • 呼吸道病原学检测、CMV-DNA、EBV-DNA真菌D-葡聚糖和曲霉菌抗原检测、军团菌抗体γ-干扰素、隐球菌膜抗原、痰培养+药敏等均阴性。

  • 肌炎抗体17项:Jo-1抗体IgG(+++),抗PL-7抗体IgG(+),抗TIF1γ抗补体IgG(+),抗Ro-52抗体(+++)。

  • 痰液NGS星座链球菌(序列数5633),咽峡炎链球菌(序列数4486),密歇根克雷伯菌(序列数2471),肺炎克雷伯菌(序列数889),屎肠球菌(序列数132),粪肠球菌(序列数69),金黄色葡萄球菌(序列数225),人类疱疹病毒6B型(序列数10240)。

4. 修正诊断

继发性间质性肺病,抗合成酶抗体综合征,新型冠状病毒肺炎,Ⅰ型呼吸衰竭,高血压。

对于抗合成酶抗体综合征继发的快速间质性肺疾病(ASS-RP-ILD),《特发性炎性肌病相关间质性肺疾病诊断和治疗中国专家共识》推荐:①初始大剂量激素或采用静脉冲击剂量联合免疫抑制剂(环磷酰胺、霉酚酸酯、环孢素、他克莫司等);②糖皮质激素联合免疫抑制无反应或复发,可以考虑以下替代方案,即现有方案再加上一种免疫抑制剂或生物制剂(环磷酰胺、利妥昔单抗、托法替布、巴利昔单抗、托珠单抗等;③抢救及支持治疗:多黏菌素B血液灌流及血浆置换,静脉注射免疫球蛋白,ECMO、肺移植。

本例患者比较特殊,处于新冠肺炎急性期,同时又存在基础的结缔组织病(CTD)。针对CTD-ILD的治疗需要激素联合免疫抑制剂。但免疫抑制剂的使用存在一些潜在的风险,包括可能会延迟对病毒的清除,增加继发或合并感染风险;还可能与抗病毒药物产生相互作用,增加肝肾损害风险。因此,对于CTD-ILD合并COVID-19患者,何时启动免疫抑制剂治疗也是困扰临床医生的一个难题。相关循证医学证据尚不充分,更多是基于专家建议:对于尚未使用免疫抑制剂的COVID-19患者,若短期ILD进展的可能性小,可适当延迟启动免疫抑制剂/生物制剂治疗至COVID-19急性期后。对于已接受免疫抑制剂的ILD患者,有专家认为可以维持原治疗,也有专家认为可以减量使用免疫抑制剂,或者暂停免疫抑制剂。临床上应权衡停药后原发病加重的风险与停止治疗的获益。国内专家更倾向于COVID-19急性期暂停免疫抑制剂,除非停用免疫抑制剂后原发病加风险大于停药获益。

5. 调整治疗方案(2022-12-28)

1)呼吸支持: 吸氧, 无创呼吸机辅助通气。

2)抗炎:甲泼尼龙240 mg qd×3 d→120 mg×2 d→80 mg×2 d→60 mg×4 d→40 mg×4 d。

3)抗感染:比阿培南0.6 g q12h ivgtt,利奈唑胺0.6 g q12h ivgtt,复方磺胺甲噁唑2片qd po。

4)其他:丙球20 g qd ivgtt×5 d,抗凝、抑酸、营养支持等。

请风湿免疫科会诊后,权衡免疫抑制剂应用利弊暂不启动免疫抑制剂治疗

6. 疗效评估

患者咳嗽、气喘症状逐渐减轻,活动耐力改善,氧合逐渐好转淋巴细胞逐渐恢复正常(图3)患者病情整体呈好转趋势。

图片

3  病程中患者氧合指数和淋巴细胞变化情况

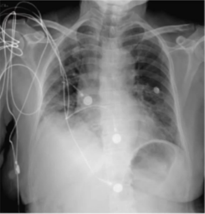
调整治疗1周后(2023-01-04)复查床旁胸片:两肺渗出较前有所吸收(图4)。复查胸部CT(2023-01-05): 两肺的磨玻璃影和渗出影较外院片显著吸收, 病变范围明显缩小(图5)

图片

4  复查床旁胸片(2023-01-04)

图片

5  治疗前后胸部CT对比

7. 结局

2023年1月10日患者出院。

出院医嘱:口服醋酸泼尼松片30 mg/d,嘱门诊复诊,调整激素剂量。

8. 随访

患者出院2周门诊复诊,气喘减轻,血常规、生化均未见明显异常。胸部CT:两肺磨玻璃影较前明显吸收(图6)

图片

6  随访胸部CT

9. 后续治疗方案

醋酸泼尼松片25 mg/d×3周→20 mg/d×6周→吗替麦考酚酯0.5 g bid→醋酸泼尼松片15 mg/d;吗替麦考酚酯0.5 g bid。

2023年4月4日复查胸部CT:两肺渗出大部分吸收(图7)

图片

7  患者胸部CT变化

图片

三、治疗体会

呼吸科就诊的ILD相关性炎性肌病患者往往缺乏典型的皮疹和肌炎表现,临床需提高鉴别诊断意识,重视肌炎特异性自身抗体的检测。CTD-ILD急性起病时与新冠肺炎患者在呼吸道症状、体征、胸部CT表现等方面相似,新冠感染往往会掩盖原发病的表现,容易漏诊。CTD-ILD合并COVID-19患者,何时启动免疫抑制剂,需与风湿免疫科医师共同商讨、权衡利弊,制定个体化治疗方案。

图片
图片
图片


   参考文献    

上下滑动阅览

[1] 中国研究型医院学会呼吸病学专业委员会. 特发性炎性肌病相关间质性肺疾病诊断和治疗中国专家共识[J]. 中华结核和呼吸杂志, 2022, 45(7):635-650.

[2] Wong AW, Fidler L, Marcoux V, et al. Practical Considerations for the Diagnosis and Treatment of Fibrotic Interstitial Lung Disease During the Coronavirus Disease 2019 Pandemic[J]. Chest, 2020, 158(3):1069-1078. 

[3] National Institute for Health and Care Excellence. COVID-19 rapid guideline: interstitial lung disease. London; NationalInstitute for Health and Care Excellence (NICE) Copyright © NICE 2020.


    作者介绍    

图片
陈碧

徐州医科大学附属医院呼吸与危重症医学科主任,医学博士,主任医师、教授、博士生导师,中国医师协会呼吸医师分会委员及间质性肺疾病工作委员会委员,中国研究型医院学会呼吸病专业委员会委员及间质性肺疾病多学科诊治专委会委员,江苏省医师协会呼吸医师分会常委、内科医师分会常委及间质性肺疾病学组副组长,江苏省医学会呼吸病学分会委员及肺间质病学组成员,徐州市医学会呼吸病学专业委员会候任主委,淮海间质性肺疾病专科联盟负责人,全国间质性肺疾病规范诊疗中心建设评审专家,江苏省“六大人才高峰”高层次人才,江苏省“333工程”高层次人才,江苏省科教强卫工程“青年医学重点人才”,徐州市医学重点人才。

本文仅用于学术内容的探讨和交流,不用于任何商业和推广,亦不作为最终的临床决策。临床实践需根据患者的具体情况选择适宜的处理措施

全部评论 0
Copyright©2020-2026 北京医麦斯科技有限公司 版权所有 京ICP备2020034400号-1 京公网安备11010502043983号