登录方式

方式一:
PC端网页:www.rccrc.cn
输入账号密码登录,可将此网址收藏并保存密码方便下次登录

方式二:
手机端网页:www.rccrc.cn
输入账号密码登录,可将此网址添加至手机桌面并保存密码方便下次登录

方式三:
【重症肺言】微信公众号
输入账号密码登录

注:账号具有唯一性,即同一个账号不能在两个地方同时登录。

登录
方式

为重症救治赋能

为患者康复加速

当前位置: 首页 呼吸危重症菁英秀

一例发热患者病原学探索之路

李勤 连云港市第一人民医院呼吸与危重症医学科 发布于2025-06-06 浏览 2747 收藏

作者:李勤

单位:连云港市第一人民医院呼吸与危重症医学科


图片

一、病情介绍

基本信息

患者,女,85岁,因“咳嗽、咳痰伴发热半月余”于2024年4月11日入住我院老年科。

现病史

患者半月前受    凉后出现咳嗽,咳少量黄白痰,伴发热,中热为主,无畏寒、寒战,在我院急诊内科住院治疗,2024年4月6日肺胸部CT平扫示:双肺感染,双侧胸腔积液。给予哌拉西林他巴坦4.5 g q12h+左氧氟沙星0.5 g qd抗感染,氨溴索化痰等治疗。于2024年4月8日出院。出院时仍间断低热,患者进食呛咳,4月10日体温38.6℃,4月11日至我院呼吸科门诊就诊,全血血常规(含CRP)(2024-04-11):白细胞22.90×109/L(↑),中性粒细胞百分比88.3%(↑),中性粒细胞绝对值20.22×109/L(↑),血红蛋白89 g/L(↓),红细胞2.91×1012/L(↓),红细胞压积26.6%(↓),C反应蛋白69.83 mg/L(↑)。为进一步治疗,门诊拟“肺部感染”收入老年科。病程中患者无咯血、盗汗、乏力, 无夜间端坐呼吸, 无进行性体重下降。患者目前精神淡漠, 进食呛咳, 睡眠一般, 小便量少, 大便糊状, 次数增多。

既往史及其他

1个月前患者因心肌梗死、心源性休克、消化道出血、不完全肠梗阻、呼吸衰竭在我院EICU住院治疗。2024年3月20日好转出院。

入院体格检查

血压95/57 mmHg,神志淡漠,问话不答,口唇无发绀,颈静脉未见怒张,浅表淋巴结未触及肿大;气管居中,胸廓对称,无胸膜摩擦感,双肺呼吸音粗,双下肺可闻及湿啰音,心率约89次/分,律齐,各瓣膜听诊区未闻及病理性杂音,腹平软,肝脾肋下未及,双下肢不肿;四肢肌力及肌张力查体不配合,病理征未引出。

辅助检查(外院,2022-04-18)

  • 胸部CT平扫2024-04-11,我院):右肺炎症,两侧胸腔积液脊柱侧弯畸形,胸椎多发椎体陈旧性压缩改变食管裂孔疝,肝囊肿、左肾囊肿可能,肝右叶钙化灶,动脉粥样硬化。

  • 全血血常规CRP(2024-04-11,我院):白细胞22.90×109/L(↑),中性粒细胞百分比88.3%,中性粒细胞绝对值20.22×109/L(↑)单核细胞绝对值0.77×109/L(↑),血红蛋白89 g/L,红细胞2.91×1012/L(↓),红细胞压积26.6%↓),平均血小板体积7.2 fLC反应蛋白69.83 mg/L↑)

  • 胸部CT:可见渗出性改变,部分区域有实变影,胸腔积液右侧为主)(图1)

图片

1  患者入院胸部CT(2024-04-11)

初步诊断

肺部感染胸腔积液陈旧性心肌梗死腹泻贫血

初始治疗方案

  • 呼吸支持鼻导管吸氧

  • 抗感染比阿培南0.3 g q6h

  • 辅助治疗化痰、护胃、肠内营养、补液等对症治疗

图片

二、入ICU后治疗经过

病情演变(第1天)

患者仍有发热伴有明显寒战血压下降,经积极补液治疗血压上升不明显,需血管活性药物维持血气分析示乳酸升高1.8→ 4.5 → 2.2 mmol/L)考虑感染性休克可能,2024年4月12日转入我院RICU

入科后进一步检查(2024-04-13)

  • 血常规(含CRP)+降钙素原:白细胞16.54×109/L(↑),中性粒细胞百分比89.8%↑),中性粒细胞绝对值14.85×109/L(↑)淋巴细胞百分比6.8%(↓),单核细胞绝对值0.55×109/L,血红蛋白72 g/L,红细胞2.39×1012/L(↓),红细胞压积22.0%↓)C反应蛋白72.45 mg/L↑)降钙素原1.92 ng/ml(↑)。

  • 床旁超声:主动脉瓣少量反流,二/三尖瓣少量反流。

  • 心肌酶谱+B型钠尿肽:磷酸肌酸激酶74 U/L,肌酸激酶同工酶3.7 ng/ml,肌红蛋白45.1 ng/ml,高敏肌钙蛋白I 18.7 pg/ml(↑)。B型钠尿肽249 pg/ml(↑)。

  • 粪便常规检查:粪便钙卫蛋白405.45 μg/g(↑);粪便细菌杆球比例杆菌<球菌。

  • 腹部平片:肠腔内扩张积气,中下腹部多发钙化灶(图2)

图片

2  患者腹部平片(2024-04-13)

诊疗思路及计划

患者出现发热,考虑:①非感染性发热?②感染性发热?——感染病灶在哪里可能的病原体是什么?

诊疗计划:完善自身抗体谱等检查完善炎症细胞因子检测完善肿瘤标志物等检测NGS检测

入科后修正诊断

脓毒性休克细菌性肠道感染可能肺部感染胸腔积液陈旧性心肌梗死

病情变化(第2~6天)

患者反复高热,伴有明显畏寒寒战。两次查血培养均为阴性。考虑存在球菌感染可能,4月13日经验性加用万古霉素0.5 g ivgtt q12h。

2天NGS结果回报:屎肠球菌(序列数4),细环病毒(序列数3),巨细胞病毒(序列数91),EB病毒(序列数3)。

加用万古霉素后患者仍有发热。4月15日复查粪便,艰难梭菌谷氨酸脱氢酶抗原阳性(+),艰难梭菌毒素阳性(+)。考虑患者合并艰难梭菌感染。

调整治疗方案(第7天)

  • 呼吸支持鼻导管吸氧

  • 抗感染比阿培南0.3 g q6h ivgtt+万古霉素0.5 g q6h po+甲硝唑0.6 g tid po

  • 辅助治疗化痰、护胃、肠内营养、调整肠道菌群紊乱等对症治疗

疗效分析(第7~14天)

调整治疗方案后患者体温逐渐下降并恢复正常(图3)。白细胞、C反应蛋白和降钙素原在病程中虽有一度升高表现,但整体呈下降趋势(图4)

图片

3  患者第1~3周体温变化情况

图片
图片

4  患者感染指标变化情况

422复查粪便相关指标:粪便细菌杆球比例为杆菌>球菌,粪便钙卫蛋白降至正常范围,艰难梭菌谷氨酸脱氢酶抗原阴性,艰难梭菌毒素阴性。

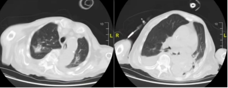
423日复查胸部CT:肺部病灶较前无明显变化(图5)

图片

5  复查胸部CT(2024-04-23)

非感染性疾病

住院期间评估非感染性疾病相关指标,肿瘤七项、类风湿关节炎三项及自身免疫抗体等均为阴性。考虑非感染性疾病可能性小。

临床转归及后续

2024年4月26日患者转入老年科进一步巩固治疗,5月7日病情好转出院。

患者出院后1周再次出现腹泻,发热,门诊复查粪便提示艰难梭菌及毒素均阳性,至南京某医院行粪便移植治疗。

图片

三、病例小结

本例患者为高龄人群,曾因心肌梗死、消化道出血于我院ICU住院治疗。因既往长期应用抗生素,引发肠道菌群失调,导致肠黏膜屏障亦受损。初始经验性用药未能取得理想效果,患者病情逐渐加重,反复发热,并出现脓毒性休克。血培养结果呈阴性,而血NGS检测提示病原体为屎肠球菌。予以静脉输注万古霉素治疗,效果不佳。粪便检测显示艰难梭菌毒素及抗原呈阳性,遂采用口服万古霉素联合甲硝唑治疗,此后病情得到有效控制,休克症状得到纠正,最终患者好转出院。

图片

四、拓展学习—艰难梭菌感染
危险因素
对于医院获得性感染患者,肠道艰难梭菌感染的危险因素主要有:医疗环境接触;高龄(≥65岁);使用抗生素。而在社区获得性感染人群中,肠道艰难梭菌感染的危险因素主要包括白种人、心脏病、慢性肾脏病和炎症性肠病。

诊断标准

在诊断方面,需要判断是否为艰难梭菌活动性感染。只有活动性艰难梭菌感染症状的个体才应进行检测(24小时内3次或更多未成形的粪便)。2013年关于艰难梭菌感染的指南建议仅对“腹泻”患者进行检测,没有进一步的定义;建议直肠拭子进行聚合酶链反应(PCR)可能对肠梗阻患者有用。2017年美国感染病协会/美国医疗保健流行病学学会(IDSA/SHEA)指南建议在24小时内对“不明原因和新发”腹泻患者进行未形成粪便检测。

艰难梭菌的定植定义为在没有症状的情况下检测到艰难梭菌。欧洲指南建议两步算法是我们的首选检测方法。首先使用高灵敏度的核酸扩增试验(NAAT)检测,第二次检测是更特异的毒素酶免疫测定(EIA)。如果两者均为阳性, 则可以可靠地进行艰难梭菌感染的诊断。如果两者均阴性, 则不太可能是艰难梭菌感染。当NAAT或谷氨酸脱氢酶呈阳性而毒素EIA呈阴性时, 结果不一致, 需要进行临床评估并考虑定植的可能性, 或患者的艰难梭菌水平低于检测极值。

治疗方案

1)对于不严重的艰难梭菌感染:①推荐口服万古霉素125 mg,每日4次,连续10天,用于治疗非严重艰难梭菌感染的初始发作(强烈推荐,证据质量低);②推荐口服非达索米星200 mg,每日2次,连续10天,用于治疗非严重艰难梭菌感染的初始发作(强烈推荐,证据质量中等);③口服甲硝唑500 mg,每日3次,连续10天,可考虑用于治疗低风险患者的初始非严重的艰难梭菌感染(强烈推荐,证据质量中等)。

2)对于暴发性艰难梭菌感染:①患者应在最初48~72小时内接受药物治疗,包括充分的容量复苏和每天每6小时口服500 mg万古霉素(强烈推荐,证据质量极低)。可考虑联合静脉注射甲硝唑每8小时500 mg治疗(有条件推荐,证据质量极低)。②对于肠梗阻患者,加用万古霉素灌肠剂(每6小时500 mg)可能有益(有条件推荐,证据质量极低)。

3)外科手术治疗:对于需要手术干预的患者,根据临床情况、患者对手术的估计耐受性和外科医生的最佳判断,采用全结肠切除术并未端回肠造口和吻合器直肠残端或转流袢回肠造口合并结肠灌洗和腔内万古霉素。

4)粪便微生物群移植治疗严重和暴发性艰难梭菌感染:建议对抗生素治疗难治的严重暴发性艰难梭菌感染患者考虑肠道菌群移植,特别是当患者被认为是较差的手术候选人时(强烈推荐,证据质量低)。

5)复发性艰难梭菌感染:①建议在非达霉素、万古霉素或甲硝唑初始疗程后出现首次复发的患者减量/脉冲剂量万古霉素(强烈推荐,证据质量极低)。②推荐在万古霉素或甲硝唑初始疗程后首次复发的患者使用非达霉素(强烈推荐,证据质量中等)。

6)肠道菌群移植治疗复发性艰难梭菌感染:①建议第二次或进一步艰难梭菌感染复发的患者接受肠道菌群移植治疗,以防止再次复发(强烈推荐,证据质量中等)。②建议肠道菌群移植通过结肠镜检查(强烈推荐, 证据质量中等)或胶囊(强烈推荐, 证据质量中等)治疗复发性艰难梭菌感染; 如果没有其他方法, 建议通过灌肠给药(有条件推荐, 证据质量低)。③建议对初次肠道菌群移植后8周内艰难梭菌感染复发的患者重复移植(有条件推荐, 证据质量很低)。


    作者介绍    

图片

李勤

连云港市第一人民医院呼吸与危重症医学科,副主任医师;江苏省医师协会睡眠呼吸障碍学组委员,江苏省中西医结合学会睡眠医学专业委员会委员,连云港市医学会呼吸病学分会青年委员,连云港市保健协会呼吸专业委员会委员;擅长肺部感染、睡眠障碍及呼吸危重症的诊治。

本文仅用于学术内容的探讨和交流,不用于任何商业和推广,亦不作为最终的临床决策。临床实践需根据患者的具体情况选择适宜的处理措施。

全部评论 0
Copyright©2020-2026 北京医麦斯科技有限公司 版权所有 京ICP备2020034400号-1 京公网安备11010502043983号