登录方式

方式一:
PC端网页:www.rccrc.cn
输入账号密码登录,可将此网址收藏并保存密码方便下次登录

方式二:
手机端网页:www.rccrc.cn
输入账号密码登录,可将此网址添加至手机桌面并保存密码方便下次登录

方式三:
【重症肺言】微信公众号
输入账号密码登录

注:账号具有唯一性,即同一个账号不能在两个地方同时登录。

登录
方式

为重症救治赋能

为患者康复加速

当前位置: 首页 呼吸危重症菁英秀

脓毒性休克患者救治经验分享

高山 蚌埠医科大学第一附属医院呼吸与危重症医学科 发布于2025-05-29 浏览 765 收藏

作者:高山

单位蚌埠医科大学第一附属医院呼吸与危重症医学科


图片

病例1


基本信息

患者男性,54岁,自由职业。入院时间:2022年4月18日。主诉:上腹部不适2天,胸闷、气喘1天。

现病史

2天前患者上腹部不适出现反酸、恶心、呕吐症状,咳嗽,无明显咳痰,胸闷、气喘,发热,体温最高38.2℃。

既往史及其他

否认高血压病、糖尿病病史;否认结核、肝炎等传染病病史;否认手术、外伤史。

入院体格检查

体温36.2℃,脉搏139次/分,呼吸45次/分,血压117/76 mmHg。患者神志模糊,呼吸急促,平车推入病房,营养中等,去甲肾上腺素0.6 μg/(kg·min),双侧瞳孔等大等圆,对光反射灵敏;胸廓正常,心界正常;双肺呼吸音粗,可闻及干/湿性啰音;心率139次/分,心律齐,未闻及杂音。腹部平软,全腹未及压痛和反跳痛;肠鸣音3次/分,移动性浊音阴性;双下肢无水肿,生理反射存在,病理反射未引出。

辅助检查(外院,2022-04-18)

  • 血常规WBC 13.27×109/L,NEU% 91.8%,LYM% 2%,HGB 163 g/L,PLT 145×109/L。

  • 生化常规:CK-MB 15 U/L,Cr 78.3 μmol/L,K+ 3.31 mmol/L,Na+ 125.4 mmol/L,Cl- 87 mmol/L,cTnI 0.09 ng/ml,BNP 477.05 pg/ml。

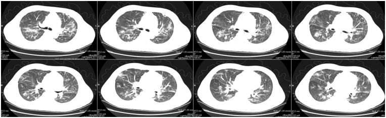
  • 胸部CT:双肺渗出性病变,双侧胸腔积液(图1)


图片
图片
图片


1  患者胸部CT(2022-04-18)

辅助检查(入院后)

  • 血常规WBC 20.12×109/L,NEU 19.04×109/L,NEU% 94.7%,LYM% 2%,HGB 189 g/L,PLT 190×109/L。

  • 生化常规:ALT 57 U/L,AST 53 U/L,ALB 33.8 g/L,Scr 96 μmol/L,BUN 8.20 mmol/L,K+ 3.56 mmol/L,Na+ 128 mmol/L,CK-MB 25 U/L,cTnI 0.51 μg/L,CRP>90 mg/L。

  • 凝血功能:PT 16.1 s,APTT 29.5 s,Fib 5.7 g/L,D-Dimmer 4.185 mg/L。

  • N端-脑钠肽:9140 pg/ml,PCT 3.24 ng/ml。

血气分析及肾功能评估

血气(2022-04-19 15:37 FiO2 0.8):pH 7.28,PaCO2 44 mmHg,PaO2 45 mmHg,SpO2 74%,HCO3- 20.7 mmol/L,K+ 3.5 mmol/L,Lac 2.1 mmol/L,P/F 56 mmHg。

肾功能:尿量0.17 ml/(kg·h)。

超声心动检查

少量心包积液,心室舒张末期容积(EDV)119 ml,心室收缩末期容积(ESV)51 ml,每搏量(SV)68 ml,心排血量(CO)4.8 L/min,左室射血分数(LVEF)57%。

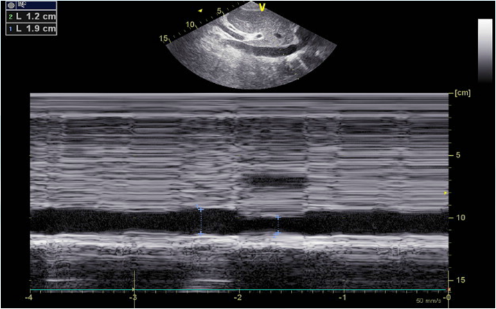
超声容量评估

剑突下切面下腔静脉直径1219 mm(图2)


图片


2  超声容量评估

营养评估

改良危重症营养风险评分mNUTRIC8分,存在高营养风险

入院诊断

重症肺炎并发脓毒性休克多脏器功能衰竭呼吸衰竭Ⅰ型急性肾损伤3级凝血功能异常高营养风险

初始治疗

  • 气管插管机械通气:Pi 16 cmH2O,PEEP 4 cmH2O,FiO2 40%~60%。

  • 连续性静脉-静脉血液透析滤过(CVVHDF)30~40 ml/(kg·h),脱水量300 ml/h。

  • 去甲肾上腺素0.6 μg/(kg·min)。

  • 营养支持:肠内营养乳剂(TPF)20~30 ml/h。


重新认识肠道功能


人类肠道微生物种类有1000种,这些微生物质量约为1000克,数量是人体细胞总数的10倍,其中细菌占比99%,肠道微生物约占全身菌群总数80%,并且结肠中微生物密度最高。因此,在病理状态下,肠道就像一个未被引流的大脓腔。

肠道具有抵抗微生物入侵的屏障功能, 其中上皮细胞构成机械屏障, 免疫细胞构成免疫屏障, 共生细菌构成生物屏障, 消化液则构成了化学屏障。世界著名外科专家埃默里大学医学院Craig M Coopersmith教授提出, 肠道屏障功能、免疫细胞、菌群的共同改变与互动形成了重症疾病发生的"发动机"。

肠黏膜的营养70%来源于直接吸收,30%来源于血供。肠内营养能够增加内脏血流量,维持肠黏膜的完整性,增强肠道相关淋巴组织的功能,维持肠道固有菌群的正常生长。

Arabi等研究认为,对于积极复苏、血流动力学不稳定的患者应延迟肠内营养直至血流动力学稳定;对于接受低至中剂量血管升压药物的患者,应启动低速率的肠内营养并逐渐增加,同时监测胃肠不耐受症状。


治疗方案

患者入院后予美罗培南+利奈唑胺抗感染,同时予滋养型肠内营养支持以及脂肪乳氨基酸(17)葡萄糖(11%)注射液肠外营养支持(图3)4~6小时监测患者膀胱内压力及胃肠道功能。


图片


3  患者入院后治疗方案

完善检查

  • 双侧双瓶血培养阴性

  • 尿常规:隐血+++),微量白蛋白±),红细胞53个/μl

  •  血管炎三项:MPO阴性PR3阴性GBM阴性

  • 出血热抗体:EHF-IgM阴性EHF-IgG阴性

  • BALF涂片查见少量革兰阳性球菌培养结果为耐甲氧西林凝固酶阴性葡萄球菌

  • 气管镜检查+mNGS2022-04-19):4月20日BALF-mNGS回报惠普尔养障体(序列数13577,相对丰度59.63%)。

调整治疗方案

根据病原学结果, 停用利奈唑胺, 加用复方磺胺甲噁唑。患者血流动力学逐渐稳定, 胃肠道监测未见异常, 停肠外营养, 将肠内营养调至1500 ml。下调机械通气参数; 患者尿量稳定后停CRRT; 去甲肾上腺素剂量逐渐减低(图4)


图片


4  调整治疗方案

PiCCO监测

通过PiCCO持续监测患者肺水及心功能的情况。42210:39D4经肺热稀释去甲肾上腺素0.3 μg/(kg·min),白蛋白(ALB)34.8 g/L,血管外肺水指数(ELWI)11.4 ml/kg,全心舒张末期容积指数GEDVI)790 ml/m2,外周血管阻力指数(iSVRI)1675 dyne-s-m²/cm⁵,24小时尿量0.15 ml/(kg·h)(图5)


图片


5  经肺热稀释法监测42210:39

营养支持方案和液体管理

肠内营养乳剂(TPF)20 kcal/kg·d滋养型肠内营养葡萄糖脂肪乳1000 kcal/d(4:6)肠外供能氨基酸1.5 g/kg·d提供氮源人血白蛋白30 g/d维持胶体渗透压脱水量160 ml/h。患者的出入量基本维持在负平衡状态(图6)


图片


6  患者液体管理情况

PiCCO监测

4月24日23:09(D6)经肺热稀释法再校准:去甲肾上腺素0.μg/(kg·min),ELWI 9.8 ml/kg,GEDI 645 ml/m2iSVRI 1701 dyne-s-m²/cm⁵,24小时尿量2.2 ml/(kg·h)(图7)


图片


7  经肺热稀释再校准424日23:09

疗效评估

治疗过程中持续监测患者的心功能,心指数维持在3.5~5.1 L/min之间(图8)GEDVI维持在相对稳定的范围(图9)去甲肾上腺素剂量逐渐下调,但iSVRI未见明显下降(图10)在肠内+肠外营养支持下,患者ALB维持在相对较好的水平(图11)。经过抗感染治疗,患者体温呈下降趋势(图12)WBC和NEU整体呈下降趋势,HGB也逐渐降至正常(图13)。随着治疗的进展,患者氧合指数逐渐升高(图14)


图片


8  患者心指数变化


图片


9  患者全心舒张末容积变化


图片


10  患者外周血管阻力指数变化


图片


11  患者ALB变化情况


图片


12  患者体温变化情况


图片
图片


13  患者WBC、NEUT和HGB变化情况


图片


14  患者氧合指数变化情况

预后及转归

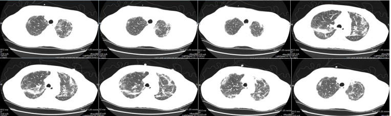
2022年4月25日(D7),患者尿量恢复,撤离CRRT。4月26日(D8),撤机拔管,序贯高流量氧疗。4月27日复查胸部HRCT示:病灶较前明显吸收(图15)4月30日(D12),病情好转出院。嘱托:口服复方磺胺甲噁唑0.96 g q8h维持治疗1年。


图片
图片
图片


15  复查胸部HRCT(2022-04-27)

出院诊断

重症肺炎(惠普尔养障体肺炎),并发脓毒性休克、多脏器功能衰竭—呼吸衰竭Ⅰ型,急性肾损伤3级,凝血功能异常;高营养风险。

小结

脓毒症/脓毒性休克治疗必须严格遵循科学、规范的指南。在实际诊疗过程中,具体可从以下几个关键方面着手:①早期筛查与精准治疗:早期识别并干预是改善患者预后的关键。临床需运用评分标准等工具进行早期筛查,通过血培养、痰培养、尿培养等传统培养手段,结合mNGS技术,能够快速、准确地明确病原体。明确病原体后,依据药敏试验结果,选择针对性的抗菌药物进行目标化抗感染治疗②血流动力学的精细化管理:治疗过程中,血流动力学管理是维持患者生命体征稳定的核心。在液体管理方面,需动态评估患者容量状态,避免补液不足或过度补液。当常规液体复苏效果不佳时,应及时使用血管活性药物。对于合并急性肾损伤的患者,肾脏替代治疗(CRRT)可调节容量负荷、维持电解质及酸碱平衡,改善患者的内环境稳定③机械通气的肺保护策略:对于存在呼吸功能障碍的患者,机械通气是重要的支持手段。采用小潮气量肺保护性通气策略,配合肺复张手法和呼气末正压(PEEP),可减少呼吸机相关性肺损伤,保护患者肺功能。此外,营养干预应在患者确诊脓毒症/脓毒性休克后的72小时内早期启动。早期肠内营养不仅能维持肠道黏膜屏障功能,减少细菌移位,还能为机体提供代谢所需的能量和营养底物,增强免疫力,促进患者康复。


图片

病例2


基本信息

患者男,45岁,承包工程,可能会接触污水;主诉:咳嗽、咳痰、发热2天,胸闷气喘1天。入院时间:2024年7月11日。

现病史

患者2天前咳嗽。少量咳痰,白痰,无黄脓痰,发热,体温最高38.9℃。1天前出现胸闷、气喘,影响日常活动。

既往史及其他

有高血压病、吲达帕胺应用史,否认糖尿病病史;否认结核、肝炎等传染病病史;否认手术、外伤史。

体格检查

体温36.0℃,脉搏134次/分,呼吸44次/分,血压108/78 mmHg。神志清楚,呼吸促,平车推入病房,营养中等;双侧瞳孔等大等圆,对光反射灵敏;胸廓正常,心界正常;双肺呼吸音粗,可闻及湿性啰音;心率134次/分,心律齐,未闻及杂音;腹部膨隆,全腹部未及压痛和反跳痛;肠鸣音3次/分,移动性浊音阴性;双下肢无水肿,生理反射存在,病理反射未引出。

入院后辅助检查

  • 血常规:WBC 2.41×109/L,NEU 0.41×109/L,LYM% 52.5%,HGB 204 g/L,PLT 90×109/L。

  • 生化:CK-MB 10 U/L,Cr 101 umol/L,K+ 2.53 mmol/L,Na+ 141 mmol/L,Cl- 100 mmol/L,cTnI 0.01 ng/ml,BNP 220 pg/ml。

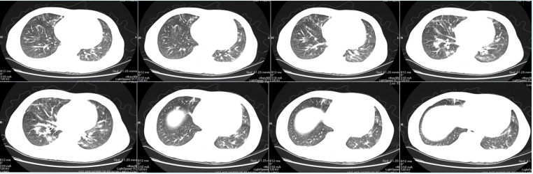
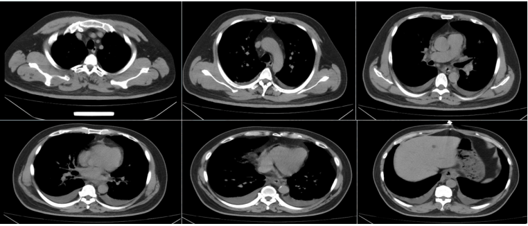
  • 外院胸部CT(2024-07-11):两肺弥漫斑片状模糊影,双侧少量胸腔积液(图16)


图片
图片


16  患者外院胸部CT(2024-07-11)

血气分析(2024-07-11)

  • 上午09:39,面罩吸氧5 L/min,PaO2 47 mmHg。

  • 下午15:01, 机械通气,PI 20 cmH2O,PEEP 10 cmH2O,P/F 37 mmHg。

  • 下午15:53,机械通气,PI 20 cmH2O,PEEP 10 cmH2O,P/F 18 mmHg,PaCO2 77 mmHg。

心脏彩超(2024-07-11)

左室偏小CO 4.4 L/minSV 29 ml

治疗措施

71117:00,呼吸机无法维持,出现心跳骤停,紧急行体外心肺复苏,予机械通气+ECMO+CRRT治疗。

莫西沙星+头孢哌酮舒巴坦调整为万古霉素+亚胺培南西司他丁抗感染治疗。

患者在体外心肺复苏期间出现瞳孔散大,脑功能受损,第二天患者家属办理出院。

后续回报的病原学结果

  • 7月11日回报:新冠病毒核酸检测阴性。

  • 7月12日回报:BALF涂片未查见真菌和细菌,低倍镜检鳞状上皮细胞<10,低倍镜检白细胞<10。

  • 7月14日回报:痰培养阴性。

  • 7月11气管镜检查,送检BALF mNGS,结果回报:惠普尔养障体(序列数527,置信度99%)。

考虑诊断

重症肺炎(惠普尔养障体肺炎)脓毒性休克毛细血管渗漏综合征心搏骤停E-CPR复苏后Ⅱ型呼吸衰竭急性肾损伤


惠普尔养障体


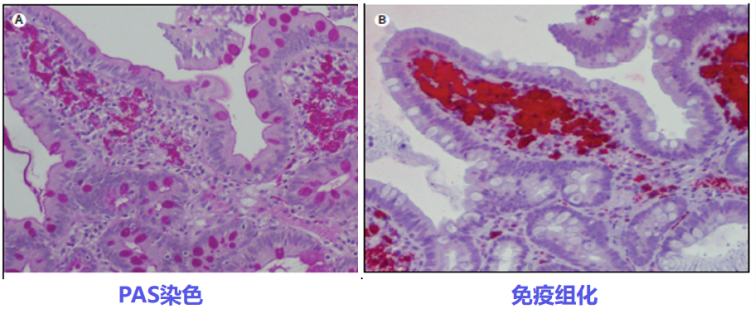
美国病理学家George Whipple在1907年首次报告了惠普尔养障体(Tropheryma whipple),其属于放线菌门放线菌纲放线菌目纤维素单胞菌科,为革兰氏阳性菌,呈杆状或丝状(图17)。惠普尔养障体革兰染色着色不良,抗酸染色呈阴性,倍增时间长达18天,培养不适宜作为诊断的常规方法。取肠道标本进行活检,PAS染色和免疫组化可有阳性表现(图18)

图片

17  惠普尔养障体在电镜下的表现

图片

18  惠普尔养障体PAS染色和免疫组化表现

模型研究显示:惠普尔养障体主要在幼儿时期经口感染,处于无症状携带状态,表现为自限性胃肠炎、发热或咳嗽,可产生保护性体液免疫和细胞免疫反应。在易感者中,可能多年后仍持续存在并蔓延至全身,交替活化的巨噬细胞浸润固有层,不能有效杀死惠普尔养障体,导致经典的惠普尔病。

国外研究人员收集了2001年至2016年期间所有惠普尔养障体PCR阳性患者的临床和微生物学数据,22例已证实或可能的惠普尔病患者的临床特征的相对流行率,对阳性患者的临床资料进行汇总后发现,惠普尔病常表现为:体重减轻(16/22),关节疼痛(15/22),消化功能紊乱(14/22),肺炎(6/22),发热(6/22)。

我国学者于2019年9月和11月收集了2例重症肺炎患者,均出现发热、咳嗽和进行性呼吸困难,无胃肠道症状、免疫缺陷疾病或使用免疫抑制剂史,经常规检查和治疗后效果不理想。对2例患者BALF进行mNGS检测,检出惠普尔养障体和念珠菌。

惠普尔养障体可引起急性肺炎。2013年1月至2014年12月,研究人员对法国马赛的1438个BALF进行惠普尔养障体PCR检测,其中88例(6.1%)BALF检出惠普尔养障体阳性,58例存在肺炎;64例患者为男性,平均年龄50.5岁。惠普尔养障体通常与吸入性肺炎相关,并在9例病例中被检测出是唯一的病原体。

2017年, Dolmans等发表文章综述了惠普尔养障体感染的流行病学、发病机制、临床表现、诊断和治疗方面的见解, 文中提出惠普尔养障体感染的主要表现有胃肠道症状腹痛肺炎发热治疗药物有美罗培南、复方磺胺甲噁唑、多西环素头孢曲松

2012年法国学者发表的一篇文章描述了一名40岁男性于2001年5月出现间歇性发热2002年3月出现干咳症状。随后开始出现间歇性关节炎。2004年10月CT检查显示存在多个实质结节,主要位于胸膜下。BALF中淋巴细胞含量为4×10⁴个/ml(占比27%),其中74%为CD4细胞。经支气管活检标本检查结果无特异性。2007年4月十二指肠活检发现PAS染色阳性巨噬细胞。十二指肠活检标本、粪便、唾液和脑脊液标本中检测到惠普尔养障体PCR结果均呈阳性。该患者接受了多西环素、甲氧苄啶-磺胺甲唑和羟氯喹联合治疗,疗程为2年。治疗15天后症状消失。在长达4.6年的随访期内,该患者未再出现发热、关节痛或咳嗽症状。

2024年发表的《呼吸道样本中检出惠普尔养障体病例诊断的华西建议》对惠普尔养障体病例给出了分级判断流程(图19),可供临床参考。该建议主要基于四川大学华西医院现有病例而产生的初步推荐,还需要更多临床病例和进一步临床研究予以验证和优化。

图片

19  检出惠普尔养障体病例分级判断流程图

注:*疗效除有效和无效外,还有疗效无法判断的情况,此处将此类情况归类在无(即未使用);其他治疗指除了对惠普尔养障体有明确抗菌作用的治疗外的治疗,其中也有可能含对惠普尔养障体可能有效的药物。


   参考文献    

上下滑动阅览

[1] Rahman A, Hasan RM, Agarwala R, et al. Identifying critically-ill patients who will benefit most from nutritional therapy: Further validation of the "modified NUTRIC" nutritional risk assessment tool[J]. Clin Nutr, 2016, 35(1):158-162. 

[2] Clark JA, Coopersmith CM. Intestinal crosstalk: a new paradigm for understanding the gut as the "motor" of critical illness[J]. Shock, 2007, 28(4):384-393. 

[3] Klingensmith NJ, Coopersmith CM. The Gut as the Motor of Multiple Organ Dysfunction in Critical Illness[J]. Crit Care Clin, 2016, 32(2):203-212.

[4] 吕永慧, 舒建昌, 宋卫兵. 肠黏膜屏障与肠内营养[M]. 西安:第四军医大学出版社, 2008:71-74.

[5] Arabi YM, McClave SA. Enteral Nutrition Should Not Be Given to Patients on Vasopressor Agents[J]. Crit Care Med, 2020, 48(1):119-121.

[6] 亚洲急危重症协会中国腹腔重症协作组. 重症病人胃肠功能障碍肠内营养专家共识(2021版)[J]. 中华消化外科杂志, 2021, 20(11):1123-1136. 

[7] Evans L, Rhodes A, Alhazzani W, et al. Surviving sepsis campaign: international guidelines for management of sepsis and septic shock 2021[J]. Intensive Care Med, 2021, 47(11):1181-1247. 

[8] Marth T, Moos V, Müller C, et al. Tropheryma whipplei infection and Whipple's disease[J]. Lancet Infect Dis, 2016, 16(3):e13-22.

[9] Duss FR, Jaton K, Vollenweider P, et al. Whipple disease: a 15-year retrospective study on 36 patients with positive polymerase chain reaction for Tropheryma whipplei[J]. Clin Microbiol Infect, 2021, 27(6):910.e9-910.e13. 

[10] Li W, Zhang Q, Xu Y, et al. Severe pneumonia in adults caused by Tropheryma whipplei and Candida sp. infection: a 2019 case series[J]. BMC Pulm Med, 2021, 21(1):29. 

[11] Lagier JC, Papazian L, Fenollar F, et al. Tropheryma whipplei DNA in bronchoalveolar lavage samples: a case control study[J]. Clin Microbiol Infect, 2016, 22(10):875-879. 

[12] Urbanski G, Rivereau P, Artru L, et al. Whipple disease revealed by lung involvement: a case report and literature review[J]. Chest, 2012, 141(6):1595-1598. 

[13] Dolmans RA, Boel CH, Lacle MM, et al. Clinical Manifestations, Treatment, and Diagnosis of Tropheryma whipplei Infections[J]. Clin Microbiol Rev, 2017, 30(2):529-555. 

[14] 胡娅, 唐光敏, 毕红霞, 等. 呼吸道样本中检出惠普尔养障体病例诊断的华西建议[J]. 华西医学, 2024, 39(3):338-343.





    作者介绍    

图片

高山

蚌埠医科大学第一附属医院呼吸与危重症医学科,主治医师,医学硕士。从事呼吸科临床工作10余年,在呼吸危重症救治领域具有丰富的临床经验,尤其关注呼吸危重症、血流动力学监测、呼吸系统感染性疾病、多脏器功能障碍等。



全部评论 0
Copyright©2020-2026 北京医麦斯科技有限公司 版权所有 京ICP备2020034400号-1 京公网安备11010502043983号