登录方式

方式一:
PC端网页:www.rccrc.cn
输入账号密码登录,可将此网址收藏并保存密码方便下次登录

方式二:
手机端网页:www.rccrc.cn
输入账号密码登录,可将此网址添加至手机桌面并保存密码方便下次登录

方式三:
【重症肺言】微信公众号
输入账号密码登录

注:账号具有唯一性,即同一个账号不能在两个地方同时登录。

登录
方式

为重症救治赋能

为患者康复加速

当前位置: 首页 呼吸危重症菁英秀

一例肺癌合并重症肺炎患者的重生之路

潘建亮 潍坊市第二人民医院呼吸与危重症医学科 发布于2025-04-29 浏览 2937 收藏

作者:潘建亮

单位:潍坊市第二人民医院呼吸与危重症医学科

 病情介绍

基本信息

患者男性,60岁。入院时间:2024年2月16日。主诉:确诊肺恶性肿瘤3个月,拟行下一周期治疗。

现病史

患者于2023年11月16日查体发现肺部阴影,完善相关辅助检查,诊断为左肺下叶腺癌(T2bN1M0,IIB期)、肺门淋巴结继发恶性肿瘤,请胸外科医师会诊,建议行术前新辅助治疗,2~4周期后进一步评估是否具备手术指征。于2023年11月28日、2023年12月23日、2024年1月17日行卡瑞利珠单抗(200 mg,D1)+培美曲塞(0.8 g,D2)+卡铂(500 mg,D3)治疗3周期, 患者耐受可, 未诉明显不适。疗效评价部分缓解(PR)。为行下一周期治疗来诊。

既往史

既往有2型糖尿病病史10余年,在外口服阿卡波糖、皮下注射甘精胰岛素治疗,自诉血糖控制可;有糖尿病周围神经病变病史10余年;肺气肿病史10余年,未规律治疗;1年前因胸椎压缩性骨折于我院行手术治疗,术后恢复可

个人史及家族史

吸烟20余年,每日约40支,否认酗酒史。母亲健在,父亲已故(肺鳞癌)。

入院体格检查

体温36.3℃,脉搏78次/min,呼吸18次/min,血压126/80 mmHg。口唇无发绀,全身浅表淋巴结无肿大。胸部两侧对称,无畸形,呼吸动度两侧对称,触觉语颤正常,无皮下气肿,双肺呼吸音粗,未闻及干湿性啰音。叩诊心浊音界无扩大,听诊心率78次/分,心律规则,心音正常,A2>P2,各瓣膜听诊区未闻及病理性杂音,未闻及心包摩擦音。腹部查体(-)。双下肢无水肿。

 辅助检查及外治疗

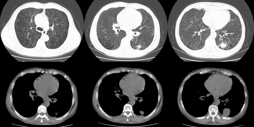
胸部增强CT(2023-11-18)

左肺下叶后基底段见肿块,大小约3.5 cm×4.8 cm,不均匀强化,考虑左肺下叶肺癌并左肺门淋巴结肿大,慢性支气管炎并双肺气肿(图1)

图片
图片

1  患者胸部CT(2023-11-18)

其他检查

左侧锁骨上Ⅳ区探及一低回声结节,大小约0.8 cm×0.3 cm,边界清,结构欠清楚。颅脑MRI心脏彩超、腹部彩超均未见明显转移灶及肿大淋巴结。

CT引导下经皮肺穿刺活检术

病理诊断:(左肺下叶肿物坏死内查见少量肿瘤细胞,结合免疫组化结果,倾向低分化癌,组织较小,不排除合并其类型。免疫组化TTF-1+NapsinA-CK5/6-P40-CK7+Syn-Ki-67约占65%CDX2-

复查胸部CT(2024-02-16)

左肺下叶后基底段见肿块,大小约3.2 cm×4.7 cm,不均匀强化,双肺门淋巴结肿大较前片2024-01-16变化不明显,慢性支气管炎并感染,双肺气肿

图片

2  复查胸部CT(2024-02-16)

实验室检查(2024-02-16)

  • 血常规:白细胞计数6.23×109/L红细胞计数4.3×1012/L血红蛋白浓度129 g/L,血小板452×109/L。

  • 血凝四项: 凝血酶原时间10.2 s国际标准化比值0.88活化部分凝血酶原时间32.2 s纤维蛋白原2.28 g/L, D-二聚体0.16 μg/ml。

  • PCT 0.047 ng/ml。

  • 生化:谷丙转氨酶12.9 U/L谷草转氨酶27.5 U/L碱性磷酸酶60 U/Lγ-谷氨酰转肽酶13.1 U/L总蛋白67.2 g/L白蛋白38.2 g/L尿素10.4 mmol/L肌酐125 μmol/L,尿酸303.8 mmol/L

  • HbA1c 10.7%。

肺功能2024-02-19

中度阻塞性通气功能障碍残总比升高弥散量、比弥散均降低

胸外科治疗

3周期治疗后患者病灶明显缩小,反复MDT讨论,考虑存在手术可行性,但患者肺功能差,风险高,患者本人及家属坚决要求手术治疗。2024223日于全麻下行VATS左肺下叶切除+胸膜连烙断+淋巴结清扫术,术后返回胸外科病房,患者自主咳痰能力差,氧合指数低,予储氧面罩高流量并雾化平喘治疗,行床旁胸片示右肺下叶大片影

 RICU诊断与治疗经过

患者于2024年224日转入ICU,予经鼻高流量湿化氧疗,氧合指数40~50 mmHg,PCT 2.626 ng/ml,N-端脑利肭肽前体111 pg/ml。

分析感染的可能原因吸入性肺炎?手术相关?机会性感染?病毒感染?

入科体格检查

体温36.5℃脉搏98次/min呼吸28次/min血压102/65mmHg,血氧饱和度78%(储氧面罩高流量吸氧FiO2 0.61)

老年男性,神志清,左侧胸壁见胸腔引流管,左侧颈部、胸部、腹部、阴囊等处皮肤触之呈握雪感。听诊双肺呼吸音低,可闻及干湿性啰音,心律规则,各瓣膜听诊区未闻及病理性杂音,腹平软,无压痛及反跳痛,肠鸣音正常。双下肢无水肿。

辅助检查

  • 2024-02-24】 血常规+PCT:血常规示白细胞计数7.7×109/L,中性粒细胞百分比90.6%。PCT 2.626 ng/ml。

  • 2024-02-24】 血生化:谷丙转氨酶8.8 U/L,谷草转氨酶29.8 U/L,白蛋白30.8 g/L,尿素8.0 mmol/L,肌酐96 μmol/L。

  • 2024-02-24】 血气分析(HFNC,FiO2 0.85):pH 7.41,PaO40 mmHg,PaCO41 mmHg,Lac 0.8 mmol/L,氧合指数47.06 mmHg。

  • 2024-02-24】 N-端脑利肭肽前体43.48 pg/ml。

  • 2024-02-25】 PCT 21.570 ng/ml。

  • 影像学:2月24日胸片提示右肺下叶病变,2月25日胸片可见病变范围迅速扩大(图3)

图片

3  复查胸片对比

诊断

①重症肺炎, ARDS, 脓毒症休克; ②左肺下叶腺癌(T2bN1M0,IIB期), 左肺下叶切除+胸膜黏连烙断+淋巴结清扫术后, 皮下气肿; ③慢性阻塞性肺疾病; ④2型糖尿病, 糖尿病肾病。

家属拒绝ECMO、拒绝有创呼吸机辅助呼吸。下一步如何治疗?

初始治疗方案

  • 莫西沙星+头孢哌酮舒巴坦经验性抗感染

  • 先诺特韦/利托那韦+磺胺覆盖病毒及少见病原体;

  • 经鼻高流量湿化氧疗+储氧面罩高流量吸氧、高侧卧位、气管镜吸痰;

  • 脓毒症休克集束化治疗;

  • 预防性抗凝、控制血糖、营养支持、纠正电解质紊乱。

疗效分析

患者感染指标呈升高趋势,脏器功能欠佳,出现谵妄,氧合指数极低(表1),呼吸窘迫,征得患者家属同意202422620:00行气管插管接有创呼吸机辅助呼吸

1  患者感染指标和脏器功能指标变化

图片

病原学

2024228mNGS结果回报:纹带棒状杆菌(序列数454),肺炎链球菌(序列数78),流感嗜血杆菌(序列数2550),卡他莫拉菌(序列数261),人疱疹病毒6型(序列数1416)。2024228日痰培养结果为白假丝酵母菌。

调整治疗方案

  • 利奈唑胺、比阿培南、伏立康唑抗感染

  • 气管插管接有创呼吸机辅助呼吸、俯卧位通气、规律气管镜吸痰;患者左胸腔引流管持续有气体溢出,气管镜下残端完整。

  • 去甲肾上腺素静脉泵入维持血压控制血糖、营养支持、纠正电解质紊乱。

疗效评价

调整治疗后,患者感染指标有下降趋势,氧合指数逐渐升高(表2)

2  患者感染指标和氧合指数变化

图片

病情变化

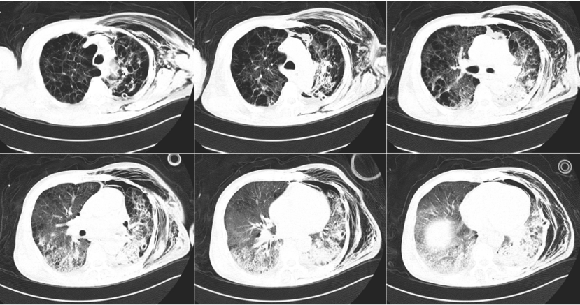
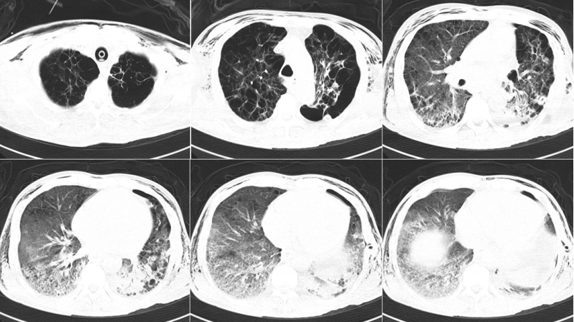
2024年3月3日BALF:鲍曼不动杆菌、白假丝酵母菌;PCT 7.614 ng/ml(↑),N-端脑利肭肽前体739.4 pg/ml。调整抗感染方案:多黏菌素E ivgtt+雾化、利奈唑胺、伏立康唑。3月3日复查胸部CT:左侧气胸,双层胸背部皮下气肿,双肺多发斑片影,左肺下叶切除术后,左侧少量胸腔积液,纵隔淋巴结肿大(图4)

图片

4  复查胸部CT(2024-03-03)

3月4日BALF培养药敏:CRAB,对多黏菌素、替加环素敏感。

加用多黏菌素后, 患者感染指标和氧合指数均有所好转, 呼吸机条件下降, 肾功能恶化(表3)

3  患者感染指标和脏器功能指标变化

图片

36调整抗感染方案为:多菌素E雾化+替加环素、利奈唑胺、伏立康唑。同时予有创呼吸机辅助呼吸,建议行气管切开。持续床旁CRRT,CVVH模式,行3次血液灌流治疗。去甲肾上腺素维持血压,出入量维持负平衡

37日痰培养:耐碳青霉烯类鲍曼不动杆菌CRAB,对多菌素、替加环素敏感PCT 5.668 ng/mlN-端脑利肭肽前体1009.00 pg/ml尿素27.3 mmol/L,肌酐406.1 μmol/L。

患者感染指标在3月10-11日再度升高(表4)

4  患者感染指标和脏器功能指标变化

图片

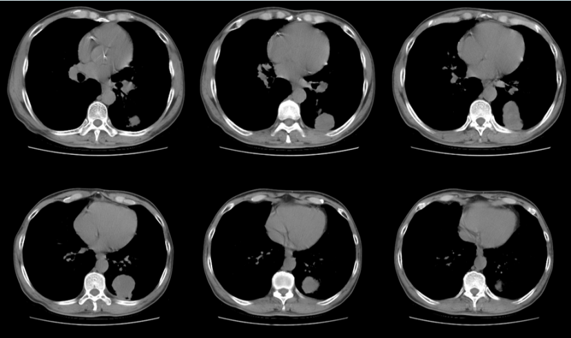
3月10日复查胸部CT:左侧气胸,双层胸背部皮下气肿,双肺多发斑片影,双肺多发斑片影,左肺下叶切除术后,左侧少量胸腔积液,纵隔淋巴结肿大(图5)

图片

5  复查胸部CT(2024-03-10)

一波未平一波又起,患者病情再次变化。2024年3月12日5时41分突然出现心率迅速下降并停跳,立即行胸外心脏按压,并药物抢救,5时45分患者心脏复跳,心率121次/分,有创压185/106 mmHg上下,调整血管活性药物静脉泵速,5时55分许患者昏迷状态,双侧瞳孔直径约4 mm,对光反射消失,有创压在126/77 mmHg上下。同时急查行血气分析示:Lac 5.5 mmol/L(↑),pH 7.07(↓),PaCO79 mmHg(↑),PaO193 mmHg(↑),剩余碱-7.2 mmol/L(↓),标准碳酸氢盐19.1 mmol/L(↓),钾4.50 mmol/L,钠140.00 mmol/L,调整呼吸机参数。

3月12日患者发热,Tmax 38.5℃,留取血培养,予物理降温,更换血管导管。同时完善相关检查:

  • 血常规:白细胞计数10.73×109/L,红细胞计数2.56×1012/L,血红蛋白80 g/L,血小板51×109/L,中性粒细胞百分比74.3%。

  • 血凝四项:凝血酶原时间14.1 s,国际标准化比值1.23,活化部分凝血酶原时间89.7 s,凝血酶时间19.2 s,纤维蛋白原0.83 g/L。

  • 血生化:谷丙转氨酶21.0 U/L,谷草转氨酶54.7 U/L,白蛋白34.6 g/L,总胆红素21.4 μmol/L,尿素27.1 mmol/L,肌酐301.9 μmol/L。

  • PCT 16.350 ng/ml,N-端脑利肭肽前体4505.00 pg/ml。

  • 真菌培养及鉴定阴性。

  • 痰培养:产气克雷伯菌、铜绿假单胞菌、反硝化无色杆菌。

  • 痰培养:铜绿假单胞菌、CRAB。

  • 血培养、导管培养均阴性。

调整治疗方案

  • 菌素E ivgtt+雾化、哌拉西林他唑巴坦抗感染治疗

  • 气管插管接有创呼吸机辅助呼吸、规律气管镜吸痰

  • 去甲肾上腺素1.356 μg/kg·min维持血压,持续CRRT治疗,CVVH模式。

  • 输血纠正凝血功能。

  • 控制血糖、营养支持、纠正电解质紊乱

疗效分析

通过调整治疗方案,患者感染指标再次下降,脏器功能指标有所好转(表5)。患者血管活性药物用量逐渐下调,神志转清。

5  患者感染指标和脏器功能指标变化

图片

后续治疗

3月15日拔除左侧胸腔闭式引流管。3月18日患者家属同意行气管切开,呼吸康复训练、营养支持。

3月13日痰培养:铜绿假单胞菌、反硝化/木糖氧化无色杆菌。3月14日痰培养:木糖氧化无色杆菌。3月19日痰培养:铜绿假单胞菌、产气克雷伯杆菌、反硝化/木糖氧化无色杆菌。反复多次痰培养均未检出CRAB。

3月24日调整抗感染治疗,改为多西环素+头孢他啶抗感染治疗。3月31日复查胸部CT较前好转,间断脱机行呼吸功能锻炼。复查患者感染指标整体呈下降趋势,脏器功能指标得到一定程度的改善(表6)

6  患者感染指标和脏器功能指标变化

图片

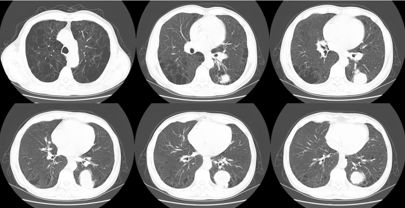
3月31日复查胸部CT:双肺多发斑片影,左肺下叶切除术后,左侧少量胸腔积液,纵隔淋巴结肿大(图6)

图片

6  复查胸部CT(2024-03-31)

积极行呼吸康复锻炼,4月3日气管切开套管接经鼻高流量湿化氧疗。4月7日拔除气管切开套管转普通科室继续治疗。4月20日复查胸片,可见病变较前明显吸收(图7)

图片

7  患者胸片变化情况

患者病程中抗感染治疗如图8所示。

图片

8  患者病程中的抗感染方案

小结及体会

该患者基础肺功能差,糖尿病肾病,血糖控制欠佳,规律化疗后,处于免疫抑制状态。患者术后出现肺部感染根据病原学及药敏及时调整抗感染药物,适时降阶梯治疗,通过床旁支气管镜、及时气管切开及俯卧位通气策略积极做好痰液引流。患者术后皮下气肿明显,左胸腔闭式引流持续漏气,多次行床旁气管镜检查显示残端完整,无气管胸膜瘘发生。入住RICU期间严格手卫生,实施床旁接触隔离,患者管路多,持续行CRRT治疗,治疗期间无血流、导管及泌尿系感染发生。后期患者积极配合行呼吸康复锻炼,经过科室团队密切协作,患者最终成功转入普通病房继续治疗。


    作者介绍    

图片

潘建亮

潍坊市第二人民医院呼吸与危重症医学科三部主任,硕士研究生导师,山东省优秀医师,潍坊名医,潍坊市“五一劳动奖章”获得者,曾在北京协和医院进修学习1年,兼任中华医学会结核病学分会重症专业委员会委员,中国康复医学会呼吸康复专委会青年委员会委员,山东预防医学会睡眠与呼吸支持专业委员会副主任委员,山东省防痨协会危重症专业委员会副主任委员,山东中医药协会重症专业委员会常委,山东省疼痛医学会呼吸与危重症医学会常务委员,山东省康复医学会休克与脓毒症分会常务委员,山东省医师协会呼吸医师分会委员,潍坊市呼吸质控中心副主任委员;擅长呼吸危重症、呼吸感染及肺部弥漫性疾病的诊断与治疗,发表学术论文10余篇,主持省市级课题3项。获山东省医学科技创新三等奖1项,潍坊市科技进步二等奖1项。

  • 本文根据“呼吸危重症菁英秀”第七十八期专题视频整理,感谢潘建亮教授予以审核


全部评论 0
Copyright©2020-2026 北京医麦斯科技有限公司 版权所有 京ICP备2020034400号-1 京公网安备11010502043983号