登录方式

方式一:
PC端网页:www.rccrc.cn
输入账号密码登录,可将此网址收藏并保存密码方便下次登录

方式二:
手机端网页:www.rccrc.cn
输入账号密码登录,可将此网址添加至手机桌面并保存密码方便下次登录

方式三:
【重症肺言】微信公众号
输入账号密码登录

注:账号具有唯一性,即同一个账号不能在两个地方同时登录。

登录
方式

为重症救治赋能

为患者康复加速

当前位置: 首页 呼吸危重症菁英秀

从濒危到康复:一例终末期肺泡蛋白沉积症患者的救治

张春玲 商丘市第一人民医院呼吸与危重症医学科 发布于2025-04-07 浏览 1967 收藏

作者:张春玲

单位:商丘市第一人民医院呼吸与危重症医学科

 肺泡蛋白沉积症概述

肺泡蛋白沉积症(PAP)是肺泡表面活性物质代谢失衡引起的综合征,以巨噬细胞功能障碍和肺泡表面活性物质在肺泡腔内积聚为特征,其症状和体征缺乏特异性,明确诊断依赖于组织病理检查。
PAP可分为三型:①先天性PAP:抗粒细胞-巨噬细胞集落刺激因子(GM-CSF)抗体阴性,存在GM-CSF受体α链或β链缺陷,约占1%。②继发性PAP:抗GM-CSF抗体阴性,不存在GM-CSF受体α链或β链缺陷,且有其他系统性疾病的确诊依据,占9%~10%。③自身免疫性PAP:血清中抗GM-CSF抗体阳性,约占90%。
在诊断方面,PAP需与多种疾病相鉴别,例如:感染,肺水肿,类脂性肺炎,药物反应,机化性肺炎,间质性肺炎等,利用临床表现、影像学、肺泡灌洗检查进行区分。可通过暴发性呼吸衰竭、弥漫性肺泡影,心源性标志物和超声心动图评估,协助鉴别心源性和非心源性肺水肿。急性起病、发热和微生物学检查结果有助于区分弥漫性肺部感染和急性呼吸窘迫综合征(ARDS)与PAP。依据肺底的特殊影像学特征和肺泡灌洗液中富含脂质的巨细胞,帮助识别类脂性肺炎。
PAP的治疗方法主要包括以下几种:①全肺灌洗治疗:中重度PAP患者常用,需全身麻醉,通过大量生理盐水反复灌洗直至灌洗液清澈;②GM-CSF吸入/注射:对于不能耐受全肺灌洗或效果不佳的患者,补充GM-CSF可作为首选,吸入型效果更优;③利妥昔单抗治疗:作为单克隆抗体,通过减少B淋巴细胞,降低抗GM-CSF抗体,适用于免疫性PAP患者;④血浆置换:有效性及安全性不确定;⑤基因治疗与肺移植:有待进一步研究,肺移植考虑因素包括疾病控制和复发风险。

 病例分享

病史资料

患者,男性,34岁,居住地:商丘。主诉:咳嗽、胸闷半年,加重半月。

现病史

患者半年前无明显诱因出现胸闷、咳嗽、咳痰,偶有发热,无胸痛、咯血、腹痛、腹泻等伴随症状。就诊于郑州大学附属第一医院,诊断为“肺泡蛋白沉积症”,给予反复肺泡灌洗及药物治疗2月余(具体不详),症状好转后出院。期间上述症状时轻时重,多次就诊于某中医院,服用中药及西药治疗(具体不详)。半月前上述症状再次加重,再次就诊于某中医院,住院期间胸闷症状进行性加重,10天前转入ICU,予气管插管有创通气,反复肺泡灌洗等综合治疗,胸闷进行性加重,血氧饱和度不能维持,家属决定自行出院。后经120急救车转入我院,家属拒绝检查,急诊以“呼吸衰蝎、肺部感染、昏迷”于2024年4月12日收入我科。

既往史

平素体健;无高血压、糖尿病、冠心病病史;无肝炎、结核等传染病病史;无手术、外伤史;无输血、献血史;无食物及药物过敏史;预防接种随社会进行。

个人史

生于原籍;无外地长期居住史;无疫水、疫区接触史;无毒物、射线接触史;退伍军人;无烟酒等不良生活嗜好。

家族史

父母体健;2弟1妹均体健;2女身体均健康;否认家族性遗传病及传染病病史。

入院查体

体温36.6℃,脉搏114次/分,呼吸27次/分,血压121/76 mmHg。带入气管插管接有创呼吸机辅助通气(SIMV模式,PSV 15 cmH2O,PEEP 6 cmH2O,氧浓度100%),氧饱和度80%左右,留置胃管、尿管、中心静脉管均在位通畅,镇静状态,胸壁多发斑丘疹,全身皮肤黏膜发绀,呼吸急促,气管插管内吸出大量灰黄色稀薄液体,胸廓对称,两肺叩诊呈浊实音,听诊呼吸音粗,可闻及弥漫性湿啰音。心律齐,各瓣膜听诊区未闻及病理性杂音。双下肢轻度压陷性水肿。

辅助检查

  • 生化:谷草转氨酶(AST)138 U/L,谷丙转氨酶(ALT)76 U/L(带入2024-04-12);
  • 腹腔超声:腹水(带入2024-04-12);
  • 下肢血管超声:双下肢静脉血栓(带入2024-04-12);
  • 入科动脉血气分析:(氧浓度100%):pH 7.43,PaCO2 57 mmHg,PaO2 34 mmHg,cLac 1.4 mmol/L。

初步诊断
Ⅱ型呼吸衰竭;肺部感染;肺泡蛋白沉积症;成人型呼吸窘迫综合征(ARDS);腹水;下肢静脉血栓;转氨酶升高。

 治疗经过

初始治疗(2024-04-12

哌拉西林他唑巴坦4.5 g q8h抗感染;呋塞米20 mg bid静推减轻水肿;低分子抗凝;侧卧位吸痰。

进一步检查(2024-04-13)

  • 血常规:白细胞11.62×109/L,中性粒细胞百分比90.51%,红细胞6.67×1012/L,血红蛋白178 g/L,红细胞压积57.60%,血小板119×109/L。
  • 超敏C反应蛋白(hs-CRP)88.73 mg/L。
  • 凝血常规:凝血酶原时间18.90 s,凝血酶原时间活动度42.70%,凝血酶原时间比率1.55,国际标准化比值1.61,部分凝血酶原时间51.90 s,纤维蛋白原5.35 g/L。
  • 发光免疫:降钙素原(PCT)1.44 ng/ml。

治疗措施

4月13日患者发热,体温38.0℃,镇静状态,气管插管接有创呼吸机辅助通气(氧浓度100%),胃管内引流出咖啡色血性液体,予以禁食、胃肠减压、质子泵抑制剂等治疗;静脉营养;因患者痰液较多,故取侧卧位,并反复、持续吸痰。

4月15日患者仍有发热,体温38.0℃左右,胃出血停止,气管插管接有创呼吸机辅助通气(氧浓度70%)。血气分析: pH 7.45, PaCO2 44 mmHg, PaO2 62 mmHg, Na+ 135 mmol/L, K+ 3.3 mmol/L, Lac 1.2 mmol/L。心电监护示: 呼吸24次/分, 脉搏118次/分, 血压128/91 mmHg, 血氧饱和度96%。

完善检查(2024-04-15)

痰培养回示多重耐药鲍曼不动杆菌(MDR-AB)。药敏结果显示:对黏菌素、多西环素、妥布霉素敏感,替加环素、头孢他啶舒巴坦中介,其他药物均为耐药。

痰PCR结果显示:肺炎克雷伯菌和耐甲氧西林金黄色葡萄球菌(MRSA)。

患者情况稍好转后行胸部X线检查:双肺弥漫密度增高影,肺透亮度较差图1

图片
图1  胸部X线片(2024-04-15)
调整治疗方案
4月16日:调整抗菌治疗方案为多黏菌素0.15 g q12h+头孢哌酮舒巴坦3.0 g q8h治疗。家属外购粒细胞-巨噬细胞集落刺激因子吸入治疗,每日2次;同时进行心理疏导。患者各项指标有好转趋势。
4月17日:患者体温正常,呼吸衰竭减轻,呼吸道分泌物减少,精神好转,有创机械通气(氧浓度40%)。心电监护:呼吸21次/分,脉搏90次/分,血压113/79 mmHg,血氧饱和度93%。血气分析:pH 7.42,PaCO2 45 mmHg,PaO2 79 mmHg,Na+ 137 mmol/L,K+ 2.9 mmol/L,Lac 1.0 mmol/L。发光免疫:PCT 0.172 ng/ml。生化:AST 75.9 U/L,总蛋白58.50 g/L,白蛋白27.2 g/L。补充氯化钾。
患者无发热,痰液减少,胸闷好转。试脱机成功,于4月17日下午14:39拔除气管插管,改为高流量氧疗。
4月20日,痰培养回报肺炎克雷伯菌。4月21日查hs-CRP 13.54 mg/L,PCT 0.223 ng/ml。生化:AST 56.0 U/L,总蛋白55.3 g/L,白蛋白26.7 g/L。D-二聚体测定3.84 μg/ml。
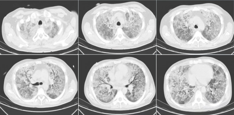
4月22日,患者胸闷减轻,咳嗽有痰,为白痰,精神较前好转,高流量氧疗(氧浓度45%),心电监护示一般生命体征在正常范围内。体格检査:胸壁多发斑丘疹,双肺湿啰音较前减少。胸部CT示:两肺弥漫性密度增高影,大面积实变影,铺路石征(图2)
图片
图2  患者胸部CT(2024-04-22)
4月24日,患者胸闷减轻,咳嗽有痰,为白痰,流量氧疗(氧浓度40%),心电监护示一般生命体征在正常范围内。体格检査:全身皮肤无明显发绀,两肺可闻及少量湿啰音。发光免疫: PCT 0.132 ng/ml; 血常规: 白细胞9.79×109/L, 中性粒细胞计数6.66×109/L, hs-CRP 4.98 mg/L。生化: ALT 66.8 U/L, AST 64.8 U/L, 总蛋白62.10 g/L, 白蛋白31.1 g/L。
4月25日,血气分析:p7.47,PaCO2 33 mmHg,PaO2 101 mmHg,Na+ 136 mmol/L,K+ 3.3 mmol/L,Lac 1.1 mmol/L。心电监护:呼吸26次/分,脉搏93次/分,血压105/74 mmHg,血氧饱和度995%。转至普通病房,鼻导管吸氧,停用多黏菌素针,保留头孢哌酮舒巴坦抗感染治疗。
4月26日,细菌培养结果提示克柔念珠菌。患者体温正常,无明显胸闷,痰不多,吸氧浓度不高,停高流量吸氧,改为鼻导管吸氧。克柔念珠菌,考虑污染定植可能,暂不加用抗真菌药物,沿用原治疗方案。
4月30日,患者好转出院,院外继续吸入粒细胞-巨噬细胞集落刺激因子治疗4周。
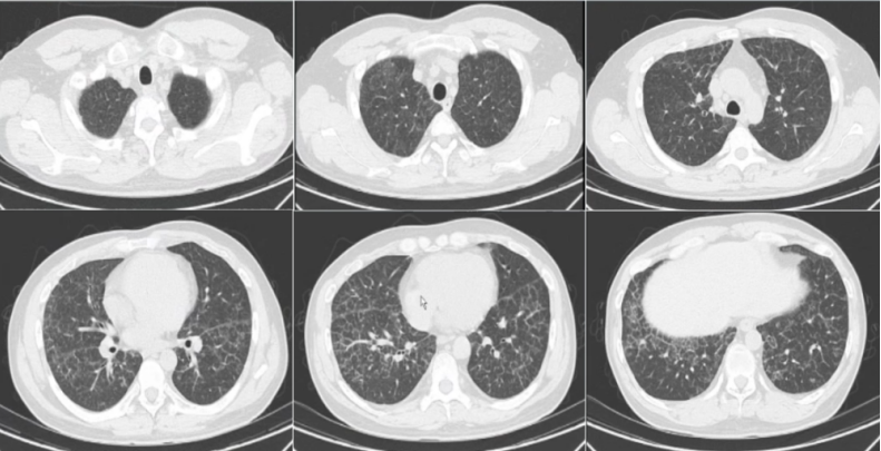
7月15日复查胸部CT:双肺渗出及磨玻璃影较前明显吸收(图3)。患者精神状态及生活质量均得到明显改善。
图片
图3  随访胸部CT(2024-07-15)
气管镜治疗是一把双刃剑,一定要把握其适应证。回溯该患者入院时病情危重,但经过十余天的治疗,患者总体预后较为理想。
图片

  • 本文根据“呼吸危重症菁英秀”第八十一期专题视频整理


全部评论 0
Copyright©2020-2026 北京医麦斯科技有限公司 版权所有 京ICP备2020034400号-1 京公网安备11010502043983号