作者:陈兢兢
肺真菌病是从“侵袭性肺部真菌感染(IPFI)”到“侵袭性肺真菌病(invasion pulmonary mycosis,IPM)”概念的切换。2006年《中华内科杂志》发表的《侵袭性肺部真菌感染的诊断标准与治疗原则(草案)》中对IPFI的定义不包括真菌寄生和过敏所致的支气管肺部真菌感染,这一概念更多描述的是病原菌与宿主的一种共存状态。2007年《中华结核和呼吸杂志》发表的《肺真菌病诊断和治疗专家共识》提出了“侵袭性肺真菌病”的概念,是指真菌直接侵犯(非寄生、过敏或中毒)肺或支气管引起的急/慢性组织结构病理损害所导致的疾病。“侵袭性肺真菌病”这一概念更能反映疾病的病理实质,体现了对疾病本质更深的认识。2007年刘又宁教授牵头进行的我国肺真菌病流行病学调查共收集了1998—2007年10个城市16家中心的所有满足诊断标准的474例肺真菌病患者,调查发现,在肺真菌病中,位居前5位的肺真菌病依次为肺曲霉病(180例,37.9%)、肺念珠菌病(162例,34.2%)、肺隐球菌病(74例,15.6%)、肺孢子菌病(23例,4.8%)及肺毛霉病(10例,2.1%),这一数据与临床工作中对肺真菌病的实际诊治情况基本符合。2021年叶枫教授团队通过人工智能对数据进行提取与分析,描述了近年来肺部真菌病的变化趋势。研究数据显示,肺部真菌感染患者比例逐年上升,住院患者比例从2013年的26.5/1000人上升为2019年的42.6/1000人,门诊患者比例从2013年的3.07/1000人上升为2019年的8.48/1000人。高危因素是临床诊断肺真菌病的重要线索,这些因素包括:外周血中性粒细胞缺乏,应用广谱抗生素或类固醇激素3周以上,器官移植及接受免疫抑制剂治疗,既往侵袭性感染或定植病史,烧伤或严重创伤,高龄,合并恶性肿瘤,糖尿病等基础疾病,营养不良,胃酸抑制。肺真菌病的症状和体征缺乏特异性,比较常见的症状体征包括:①持续发热>96 h,经积极的抗生素治疗无效;②咳嗽、咳黏稠或呈黏液胶质样痰、咯血、胸痛、喘息、呼吸困难;③念珠菌血症时可出现肝/脾多发性小脓肿、脉络膜视网膜炎、肝功能异常、不明原因的神志障碍以及低血压、休克等;④体征:口咽部可见鹅口疮或散在白膜,肺部可闻及干/湿啰音,口唇发绀,胸膜摩擦音。肺真菌病常见的影像学表现:①两肺散在斑片状影;②肺段或肺叶的实变;③多发结节状高密度影;④早期出现胸膜下密度增高的结节实变影;⑤晕轮征、空腔、新月体征;⑥新出现的肺部非特异性局部浸润影。其中,⑤是肺曲霉病比较有特异性的影像学表现。然而,上述临床特征仍然缺乏特异性,因此不能完全依据这些进行肺真菌病的诊断。肺真菌病的诊断级别分为确诊、临床诊断和拟诊,如表1所示。目前临床比较多见的真菌感染病原体是念珠菌、曲霉和毛霉,其形态学特点如表2所示。
组织病原学或病理学是肺真菌病确诊的“金标准”。判断患者是否为侵袭性肺真菌病,可以通过菌种的位置、排列、数目、宽度、分隔、分枝、染色、孢子等特征进行鉴别,尤其是念珠菌、曲霉和毛霉,并且提倡广泛开展经皮肺穿刺活检或经支气管镜黏膜活检和肺活检,直接取得肺组织标本做病理学检查和特殊染色以明确病原体。治疗方面,全身联合局部抗真菌治疗、气道介入联合血管介入,在治疗肺真菌病方面也取得了不错疗效。在临床中,有创活检及治疗操作遇到不少阻碍,例如患者高龄、基础状态差、难以接受有创操作、过度担忧、患者及家属不能获得知情同意。
(1)真菌直接镜检:怀疑真菌感染患者的BALF标本及无菌体液(除血液外),应行真菌直接镜检,同时进行真菌培养及血清学检查。非无菌部位标本(痰、尿、粪等),如行真菌培养,需要在培养的同时行真菌直接镜检。真菌直接镜检敏感性不高,多次送检能提高检出率。活检组织标本在进行组织病理和真菌培养检查的同时,应进行直接压片,荧光染色后进行真菌直接显微镜检查。
(2)真菌培养和鉴定:在送检真菌培养检查同时,应尽可能同时送检真菌直接镜检。组织标本进行组织病理检查时,同时应进行真菌培养检查。真菌培养所需时间长于细菌培养,一般需要7天,特殊情况需要2~4周以上,如果怀疑双相真菌感染(马尔尼菲篮状菌、组织胞浆菌等),应同时在28℃和37℃两个温度下培养。非无菌部位真菌培养阳性,存在污染菌或定植菌可能,需要对培养所获真菌进行判断,是否有临床意义(即致病真菌),需要结合真菌直接镜检、组织病理检查、患者临床表现以及真菌致病性等进行综合判断。
(3)血清学检:样本类型多为血清,部分检查可用于脑脊液、支气管肺泡灌洗液(BALF)或其他体液。常用方法为:曲霉半乳甘露聚糖抗原检测(GM试验)和真菌1,3-β-D葡聚糖检测(G试验)、隐球菌荚膜多糖抗原检测(CrAg)。GM试验适用于怀疑侵袭性曲霉病的患者,可以检测血清或BALF。阳性结果是侵袭性曲霉病临床诊断证据之一。还需要结合临床表现、其他真菌学检査以及影像学表现综合判断。G试验用于怀疑侵袭性真菌病(包括念珠菌病、曲霉病、肺孢子菌病等,不包括隐球菌病、毛霉病)的患者,其阴性结果排除真菌感染的意义更大。隐球菌荚膜多糖抗原检测用于诊断隐球菌病,脑脊液或血清抗原阳性是隐球菌病的确诊证据。抗体检测适用于无明显免疫抑制人群。慢性空洞性肺曲霉病可检测曲霉lgG抗体,变应性支气管肺曲霉病患者可检测曲霉特异性IgE抗体。
(4)分子生物学检查:国外有念珠菌T2磁共振(T2MR)结合PCR技术检测念珠菌血症的设备。荧光定量PCR方法在多种深部感染真菌(曲霉、肺孢子菌、念珠菌)检测中有应用前景。二代测序不作为常规检测推荐,疑难病例可开展对无菌组织、无菌体液或BALF的二代测序。
呼吸系统真菌感染常见的标本来源是痰、BALF、支气管刷片、血及肺活检组织。在2022年发布的《侵袭性真菌病实验室诊断方法临床应用专家共识》中,对于痰、BALF、支气管刷片标本,推荐的真菌检测方法有真菌镜检、真菌培养、GM试验、G试验、隐球菌抗原检测;对于血标本,推荐GM试验、G试验、隐球菌抗原检测、曲霉菌IgE和IgG抗体;对于肺活检组织标本,推荐真菌培养、组织病理[六胺银染色(GMS)或过碘酸希夫染色(PAS)]。
免疫抑制人群怀疑真菌感染时,应尽可能做组织活检。活检组织做病理学检查同时,应采集新鲜组织做组织真菌培养。HE染色不易发现真菌成分,应做针对真菌的特殊染色—GMS或PAS。免疫抑制人群,不能明确感染种类时,组织病理的特殊染色需包括针对真菌的GMS或PAS;针对分枝杆菌的抗酸染色;针对细菌的革兰染色。怀疑双相真菌中马尔尼菲篮状菌或组织胞浆菌感染时,骨髓穿刺液可做吉姆萨染色。
组织病理学检查是诊断侵袭性真菌病的确诊证据,意义重大。经真菌特殊染色,组织中更容易发现病原真菌。目前国内已经有针对组织样本中毛霉目病原菌的分子检测方法。对于侵袭性真菌病高危患者,及时进行活检取材及组织病理学检查可以提高侵袭性真菌病诊断的准确性,助力开展更加有效的靶向治疗。
真菌感染组织病理表现多为化脓性肉芽肿或结核样肉芽肿, 难以与结核、非结核分枝杆菌及某些寄生虫感染区分。组织病理学检查关键是发现真菌成分, 需要借助真菌特殊染色, 包括GMS或PAS。不同真菌在组织中表现有差异, 每种菌的具体表现与其在真菌直接镜检中的形态相同或类似。仅依靠组织中真菌形态差异往往难以确定菌种, 所以需要在病理检查同时做真菌培养。如果培养阴性, 但组织中存在真菌, 需要真菌专业人员帮助确认真菌类型, 还可以进一步做免疫组化或组织分子病理诊断等检查来明确菌种。
侵袭性真菌病的分子病理诊断技术在不断成熟。组织病理中可见真菌成分者,可对组织进行泛真菌PCR检测,这一方法已作为2020版EORTC/MSGERC诊断霉菌及酵母菌感染以及2017版ESCMID-ECMM-ERS侵袭性曲霉病诊疗指南中的确诊证据。荧光原位杂交技术(FISH技术)也用于组织中酵母菌的鉴定。分子病理可作为侵袭性真菌病病理诊断的辅助方法,对未能获得阳性真菌培养物的患者标本进行菌种确认。取样的方法有肺穿刺活检和经支气管镜肺活检(TBLB)。
经皮肺穿刺标本临床微生物检测是指CT引导经皮肺穿刺活检术时获得适量肺穿刺组织或血性渗出液标本,对获取的标本进行涂片、培养、体外药敏试验及基因检测等过程。肺穿刺组织病理学+微生物学检测适用于所有临床可疑肺部感染病灶、无穿刺禁忌证的无痰或痰液检查、气管镜刷片检查均未获得病原菌诊断依据者。检测内容主要包括:一般细菌、真菌、分枝杆菌等病原菌的涂片镜检、培养、体外药敏试验、免疫学方法和分子生物学检测等。肺穿刺标本检测标准化流程如图2所示。
图源:中华检验医学杂志, 2019, 42(1):21-25.
支气管镜采样对肺部感染进行病原学诊断主要适用于以下情况:①常规病原学检查阴性、经验性治疗效果不佳;②根据常规病原学检查阳性结果指导治疗,但疗效不佳;③免疫损害宿主;④病情较重,亟待病原学指导治疗。支气管镜取样手段有:①常规支气管镜包括刷检、活检、灌洗、保护性刷检(PSB);②其他活检包括TBLB、经支气管镜针吸活检术(TBNA)、经皮针吸活检(PCNA)等;③特殊技术包括冷冻活检、导航、胸腔镜等。支气管镜采样标本具有多样性,包括患者的分泌物、病灶中液体标本、BALF、细胞学标本及组织学标本。指南推荐对疑似侵袭性肺曲霉病患者给予经由气管镜的支气管肺泡灌洗(强推荐,中等证据等级)。支气管肺泡灌洗对于外周结节病灶的穿透率较低。因此,对于此类病灶应考虑给予经皮或经支气管肺活检。推荐标准化的BALF采集过程,并对BALF标本性非培养方法检测的同时进行常规的培养和细胞学检测(强推荐,中等证据等级)。
欧美于2019年和2021年开展了两项研究,一是针对普通患者,一是针对ICU患者,均提到了在临床诊断中,如果痰液、BALF、支气管毛刷或抽吸液中培养出任何霉菌,都可以作为微生物学诊断依据。在镜检时看到了真菌的成分,也可以作为微生物学诊断依据。对曲霉而言,尤其是痰、BALF、支气管毛刷、或抽吸液培养出曲霉很有意义。同样,在ICU,如果下呼吸道标本在细胞学诊断、直接镜检和/或培养中发现了曲霉菌属,都可作为诊断依据。
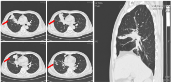
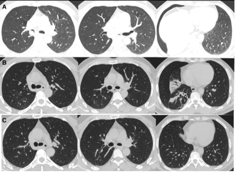
支气管镜在肺真菌病治疗中的应用主要有:①通畅气道:清除气道潴留物,解除机械阻塞。②冲洗引流:脓腔冲洗引流;液性病灶穿刺引流;炎症部位支气管冲洗;导管冲洗;穿刺引流。③局部用药:支气管冲洗、留置导管注药、药物缓释系统置入。病例:一名45岁男性因咳嗽、咳黄痰、呼吸困难持续5个月入院,患者胸部CT提示肿块引起的阻塞性肺不张(图3),但初步病理活检并未明确支持肿瘤诊断。这种不确定性可能与浅表取样有关,但不能完全排除肿瘤病变,使用硬质支气管镜检查缓解气道阻塞。术中见气道内白色肿块,该肿块松散地附着在支气管壁上(图4),镊子取出肿块时出血极少。肿块的组织学检查显示慢性化脓性炎症和肉芽肿形成、提示新型隐球菌感染。通过宏基因组二代测序证实了BALF中新生梭菌的存在。同时,血清隐球菌荚膜抗原检测结果呈阳性,氟康唑抗感染后痊愈。注:A:右主支气管和右中支气管有肿块,右下叶不张;B:右主支气管肿块消失,肺复张;C:右主支气管肿块完全消失和完全肺复张。图源:Medicine (Baltimore), 2024, 103(12):e37455.注:A:硬质支气管镜检查前软性支气管镜检查,显示右侧主支气管有肿块,导致闭塞;B:硬质支气管镜检查3天后软性支气管镜检查,证明成功从右侧主支气管中切除肿块。图源:Medicine (Baltimore), 2024, 103(12):e37455.隐球菌病胸部CT大部分表现为结节影,部分可有实变和坏死。支气管内隐球菌病导致的严重气道阻塞病例罕见,我们认为选择早期呼吸干预是一种理性的选择。首先,近一半的阻塞性支气管内隐球菌病患者对抗真菌药物反应不佳。其次,长期肺不张对肺复张构成挑战,可能导致永久性肺塌陷和肺功能受损,甚至最终导致肺实质感染和纤维化。软性支气管镜检查有助于区分内在性梗阻和外在压迫性,而硬质支气管镜检查可以更好地了解内在性梗阻性病变的性质,并提供一种气管内治疗手段。毛霉菌极易堵塞局部血管和支气管,病灶药物浓度低,单纯的全身药物治疗效果并不理想。近年来的研究发现两性霉素B局部给药,在抗真菌治疗方面会起到一定的辅助作用,包括雾化吸入、鞘内注射等,经支气管镜应用两性霉素B局部灌注对肺毛霉病可取得良好的效果。对于支气管被毛霉的菌丝体阻塞的患者,采用积极的介入治疗也可取得一定的效果,但应小心谨慎,防止出现大出血。各种介入治疗方法,包括两性霉素B局部灌注、冷冻治疗等,获得了不错的疗效。肺毛霉病的介入治疗必须具备全身麻醉、气管插管、预置球囊及有经验的呼吸内镜介入团队等。冷冻治疗建议在全麻气管插管方式下实施,出血风险高的患者还需要预置止血球囊。研究报道,10例肺毛霉病介入治疗患者均临床治愈,死亡0例。10例患者中应用冷冻探头冻取病灶8例,活检钳钳除病灶7例,套器套治疗2例,异物钳钳取病灶2例。介入和治疗经支气管镜直接局部灌注同步进行,1次/周,共1~6次。冷冻治疗的过程中3例患者预置球囊防止支气管内出血。10例患者中4级出血1例,3级出血2例,2级出血4例,3例患者无出血。支气管内出血均在5~10 min停止,术后少量痰中带血3~4天,术后气胸0例。牟向东教授团队在应用全身+局部治疗肺毛霉病的同时联合气管镜下介入技术清除阻塞气道和血管脓栓,并且在导航和超声定位下局部精准灌注两性霉素B,提高了肺组织内的药物浓度,降低了全身用药带来不良反应的概率,获得了显著的临床疗效,灌注后患者亦无明显不良反应(图5-图8)。注:右肺中叶和右肺下叶内基底段可见多发斑片影和片状肺内渗出实变影(箭头所示)。图源:https://www.btch.edu.cn/tszl/zbzx/fzjbzzzx/zb15blfx/91912.htm注:病理显示坏死组织内大量毛霉菌丝,并可见菌丝侵袭血管。
图源:https://www.btch.edu.cn/tszl/zbzx/fzjbzzzx/zb15blfx/91912.htm
注:采用冷冻等支气管镜介入技术取出脓栓,并应用两性霉素B进行局部灌注治疗。
图源:https://www.btch.edu.cn/tszl/zbzx/fzjbzzzx/zb15blfx/91912.htm
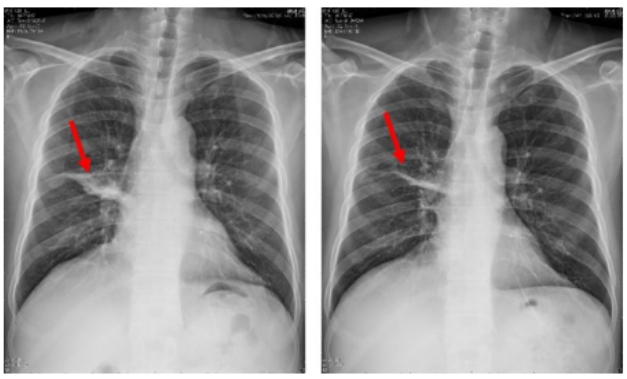
图8 患者治疗前后胸片对比
注:左图入院时胸片显示右肺病变;右图治疗1个月后复查胸片显示右肺病变明显吸收好转。图源:https://www.btch.edu.cn/tszl/zbzx/fzjbzzzx/zb15blfx/91912.htm若肺曲霉球表现为支气管内曲霉球(EBA),可尝试通过支气管镜直接钳除。EBA为肺曲霉球的一种罕见表现形式,常见于免疫功能低下、支气管结构改变(如支气管纵隔瘘、支气管异物、恶性肿瘤的患者。此操作目标性强、效率高,但易并发大咯血,有时需使用微波、电凝仪等设备,不适合基层医院广泛开展。曲霉球取出后建议口服抗真菌药物至少6个月。国外Yeo等报道了1例CT下酷似支气管结石的EBA,经支气管镜钳出化验后确诊,但此患者既往体健,病因不明。Stather等利用虚拟导航技术治疗了7例患者,有6例在随访9个月时病灶完全消失。张言斌等在气管镜下治疗了15例肺曲霉球患者(对支气管镜不能窥见或无法进入的空洞,采用反复微波电凝、钳夹扩大引流支气管开口,直至支气管镜可以完全进入),其中6例咯血量大的患者操作前行动脉栓塞治疗,镜下治疗时出血量显著减少。随访2~18个月(平均9.4个月),所有患者病灶均明显减少,症状无复发,部分患者肺空洞壁已被覆正常支气管黏膜上皮。图9为支气管内曲霉瘤的支气管镜检查结果, A和B所示为右主支气管几乎完全阻塞; C为氩气刀凝固后的右主支气管; D为介入支气管镜检查和抗真菌治疗后6个月右主支气管狭窄的改善。图源:Intern Med, 2022, 61(17):2643-2647.4. 支气管镜在真菌所致中央气道阻塞性感染(CAOI)中的治疗作用真菌所致CAOI的治疗性支气管镜检查在文献中没有明确描述,主要以零散的病例报告和系列研究的形式出现。CAOI的气道管理基本类似于恶性气道阻塞病例,包括支气管内减瘤术、球囊支气管成形术、支气管内激光治疗、冷冻疗法和气道支架置入术。软性支气管镜检查和硬性支气管镜检查都可用于治疗CAOI。其他技术,如使用抓镊、篮子和圈套器去除支气管内病变。接受支气管镜介入治疗的CAOI患者的结局取决于多种因素,这些因素包括患者的整体状况、症状的严重程度、免疫状态、特定的感染类型和感染部位、气道阻塞程度以及对药物治疗的反应。支气管镜检查的类型是否会影响结局仍有待确定。1. 《慢性肺曲霉病诊断与治疗指南》中对局部注药剂量和溶液浓度的规定可考虑在曲霉病灶腔内(即病灶中)注入抗真菌药。一些临床报告描述了当抗真菌药物全身使用无效或不良事件(副作用)不能耐受时,通过将抗真菌药物注入肺部空洞性病灶来缓解曲霉病灶。可通过支气管镜引导【潜在含义:常规选择,先被提及】支气管内导管注入,或经皮由胸穿针或置入曲霉病灶腔内的导管注入抗真菌药。建议将导管置于病灶腔内,可避免反复支气管镜操作。可用于注入的抗真菌药包括两性霉素B(作为胶浆或溶液),唑类(咪康唑,伊曲康唑)【潜在含义:伏立康唑等唑类药物也为可选药物】,化钠和制霉菌素(与两性霉素B共同制成胶浆)。文献报道短期反应率从70%到100%不等。并发症包括咳嗽、胸痛、气胸或支气管反流,这对呼吸储备极差的患者是个问题。如效果好,注入抗真菌药物可使咯血和疼痛停止,曲霉痰培养转阴,曲霉抗体滴度降低,曲霉病灶消散或部分消散。2. 经支气管镜给药—两性霉素B治疗呼吸道真菌感染的应用当全身应用抗真菌药物无效或不耐受并引起不良事件时,将抗真菌药物直接滴注到胸膜内病灶中,在治疗真菌感染病灶方面取得了有希望的临床效果。支气管肺泡灌洗已成为治疗严重肺部真菌感染的重要技术。与传统治疗相比,支气管肺泡灌洗可冲洗阻塞支气管的黏液及分泌物,将药物直接输送到感染的肺组织,并确保局部药物浓度在可有效杀灭病原体的范围内。在通过支气管镜鞘局部给药期间,应努力避免将药物输送到靶病变以外的未感染的支气管和肺组织中。三维重建CT扫描和虚拟或电磁导航支气管镜检查的应用可以完美地解决这一问题。文献报道了7例肺部真菌感染患者接受气管镜冲洗治疗,导航精确定位肺部病变,置入鞘管用于滴注药物。调整患者体位(病灶位于低位),避免药物直接渗漏到支气管树中(术后患者应尽可能长时间地保持该体位,以最大程度地将药物保留在病变部位)。靶向气管镜将两性霉素B滴入气管腔可增加局部药物浓度,减少坏死,增强疗效,缩短疗程。观察7例患者病情有所改善,无寒战、发热、皮疹、恶心、呕吐、低钾血症、肝肾功能损害,或静脉注射两性霉素B引起的任何常见不良反应。注:A:CT见左上叶形成脓肿;B:伏立康唑治疗2个月后,CT病灶进展;C:CT证明雾化两性霉素B和气管镜两性霉素B滴注1个月后改善;D:CT扫描显示患者在随访时已治愈。图源:BMC Infect Dis, 2024, 24(1):439.注:A:支气管镜检查显示左上叶支气管开口处有坏死组织;B:多次气管镜滴注两性霉素B后,左上叶支气管开口处的坏死组织逐渐减少,最终消失。图源:BMC Infect Dis, 2024, 24(1):439.对于空洞(单个或多个)、肺实变和通气不良区域的其他靶病灶患者, 应全身给予足量的有效抗真菌药物, 同时进行支气管镜滴注。支气管镜下滴注两性霉素B是一种安全有效的治疗形式。对多发性病变的效果较差,内窥镜药物注射为侵入性,患者在注射药物后会感到疼痛和依从性差,可能出现术中和术后出血。多个病例报告和病例系列都强调了抗真菌药物滴注在实现临床和放射学解决方案方面的功效,但缺乏高质量的研究,现有的知识存在许多空白。对于最佳浓度、药物剂量、疗程频率和治疗持续时间,尚未达成共识,以达到最佳反应。同样,在理想的镇静/镇痛模式(全身麻醉或局部麻醉)之间也没有达成共识,以确保更好的药物输送和防止溢出到其他部分。在全身麻醉期间手术中,患者不易咳嗽,并且可能具有更好的疗效。没有研究评估支气管封堵的作用,理论上可能导致更高的局部浓度。经气道治疗方式的另一个重要局限性是其侵入性,进行多次抗真菌滴注,从而增加不良事件。未来需要使用更大样本量的随机对照试验,以解决我们现有知识中的空白,设计抗真菌滴注的最佳方法,并将支气管内抗真菌治疗与全身治疗进行比较。曲霉菌属能在50℃生长, 温度超过70°C时会死亡, 故热消融技术是可能的根治性治疗手段。目前仅有数例消融治疗肺曲霉球的报道。热消融, 包括射频消融及微波消融均可能引起空腔, 空腔是肺曲霉球形成的危险因素。目前消融技术用于肺曲霉球治疗领域尚未有更充分的数据。Prasad和Ray报道2例肺曲霉球经栓塞治疗2周后在影像学上迅速消失的病例,一种观点认为可能是动脉栓塞切断了肺曲霉球的血供,致其萎缩和崩裂,但这种解剖关系与肺曲霉球的病理生理过程不符。2周时间内便消失,这一过程似乎过短、过快,肺曲霉球被咳出的可能性更大。肺真菌病患者往往存在免疫受损或免疫抑制,疗效欠佳,治疗棘手。在进行了充分、规范的全身抗真菌治疗,须注意肺部病灶的局部治疗。介入技术是肺真菌病的重要诊治手段,其在肺真菌病诊断方面日益成熟,但在肺病真菌感染治疗方面仍有许多值得我们去探索。[1] Li Z, Li Y, Chen Y, et al. Trends of pulmonary fungal infections from 2013 to 2019: an AI-based real-world observational study in Guangzhou, China[J]. Emerg Microbes Infect, 2021, 10(1):450-460. [2] 中国医药教育协会真菌病专业委员会, 国家皮肤与免疫疾病临床医学研究中心(北京大学第一医院), 国家血液疾病临床医学研究中心(北京大学人民医院). 侵袭性真菌病实验室诊断方法临床应用专家共识[J]. 中华内科杂志, 2022, 61(2):134-141.[3] 中国老年医学学会检验医学分会感染性疾病学组. 经皮肺穿刺标本临床微生物检测流程及质量控制专家共识[J]. 中华检验医学杂志, 2019, 42(1):21-25.[4] Li Q, Wen D, Chen Y, et al. Early respiratory interventional therapy combined with antifungal agent for endobronchial cryptococcosis: A case report and literature review[J]. Medicine (Baltimore), 2024, 103(12):e37455. [5] 季东翔, 沈斌, 施雪霏. 肺曲菌球的非手术局部治疗研究进展[J]. 中华结核和呼吸杂志, 2022, 45(6):602-608. [6] Komatsu M, Yasuo M, Wada Y, et al. Obstructive Pneumonia Associated with Endobronchial Aspergilloma: Successful Treatment with Interventional Bronchoscopy and Antifungals[J]. Intern Med, 2022, 61(17):2643-2647.[7] Denning DW, Cadranel J, Beigelman-Aubry C, et al. Chronic pulmonary aspergillosis: rationale and clinical guidelines for diagnosis and management[J]. Eur Respir J, 2016, 47(1):45-68. [8] Cui N, Zhao J. Application and evaluation of topical amphotericin B for the treatment of respiratory fungal infections[J]. BMC Infect Dis, 2024, 24(1):439.

陈兢兢
广东省人民医院呼吸与危重症医学科 副主任医师;广东省医师协会呼吸医师分会呼吸治疗组秘书,广东省医学会呼吸病学分会感染学组成员,广东省预防医学会呼吸病预防与控制专业委员会委员,中国老年学和老年医学学会老年睡眠科学与技术专业学组秘书,广东省健康管理学会胸部肿瘤及肺结节管理专委会委员,广州市结核病诊疗质量控制中心成员,广州市劳动能力鉴定医疗卫生专家库成员,参与多项国家级和省厅级课题。