登录方式

方式一:
PC端网页:www.rccrc.cn
输入账号密码登录,可将此网址收藏并保存密码方便下次登录

方式二:
手机端网页:www.rccrc.cn
输入账号密码登录,可将此网址添加至手机桌面并保存密码方便下次登录

方式三:
【重症肺言】微信公众号
输入账号密码登录

注:账号具有唯一性,即同一个账号不能在两个地方同时登录。

登录
方式

为重症救治赋能

为患者康复加速

当前位置: 首页 呼吸危重症菁英秀

79岁患者生命逆转—支气管扩张伴呼吸衰竭患者的"重生"之路

江庆 阜阳市人民医院呼吸与危重症医学科 发布于2025-03-12 浏览 1510 收藏

作者:江庆

单位:阜阳市人民医院呼吸与危重症医学科

 病情介绍

基本情况
患者,女性,79岁。主诉:(代)反复咳痰喘20余年,加重10余天。急诊入院时间:2024年5月2日21:25。
现病史
患者在20年前开始出现咳嗽、咳痰,多在冬春季节或受凉感冒后发作加重,咳嗽为阵发性,多为白色泡沫样痰,晨起明显,伴有活动时胸闷气喘。1年前因支气管扩张大咯血就诊于我科RICU,保守治疗后好转。后分别于2023年7月、2024年4月再次因闷喘加重就诊于我科,完善检查,诊断“支气管扩张伴感染、Ⅱ型呼吸衰竭、慢性阻塞性肺疾病伴急性加重、心功能不全”。治疗好转后长期应用茚达特罗格隆溴铵吸入粉剂改善肺功能,长期家庭氧疗及无创呼吸机交替使用。患者10天前出现胸闷、气喘加重,咳嗽、咳黄痰,有发热,体温最高38.2℃,有双下肢水肿,夜间不能平卧,无胸痛、咯血,无恶心、呕吐,当地诊所输液治疗无好转,自行来我院,途中突发呼吸困难加重,张口呼吸,后出现意识不清,就诊于我院急诊科,急诊血气分析:pH 7.094,PaCO2 86.0 mmHg,PaO2 34.3 mmHg,Lac 12.3 mmol/L;急诊BNP 2287.70 pg/ml。立即予气管插管辅助通气、镇静、抗炎、告病重等对症处理,拟“急性呼吸衰竭、肺性脑病”收入我科。
既往史
高血压病史10年,最高血压达180/?mmHg,近1年血压正常,已自行停药;11年前于外院行甲状腺癌手术。
入院查体
T 36.9℃,P 75次/min,R 15次/min,BP 85/60 mmHg,卧床。查体:镇静中,气管插管接有创呼吸机,皮肤巩膜无黄染,双侧瞳孔等大等圆,直径约3 mm,对光反射迟钝,两肺呼吸音低,两肺可闻及干/湿啰音,语音传导正常,无胸膜摩擦音。心律齐,未闻及病理性杂音,腹平软,四肢刺激反应差,双下肢不肿。
辅助检查
患者入科后继续经口接有创呼吸机治疗,PC模式,PC 23 cmH2O,PEEP 5 cmH2O,氧浓度60%。血气分析:pH 7.269,PaCO2 76.2 mmHg,PaO2 105 mmHg,Lac 2.7 mmol/L。RASS评分-2分。
生化:总胆红素92 μmol/L,结合胆红素8.3 μmol/L,白蛋白36.8 g/L,尿素氮10.1 mmol/L,肌酐82.1 μmol/L,尿酸554 μmol/L,余无明显异常。
感染指标:CRP 71.01 mg/L,WBC 13.65×109/L,PCT 11.12 ng/ml。
凝血功能:PT 20.6 s,INR 1.74,APTT 46.2 s,FDP 14.3 μg/ml,D-二聚体4.33 mg/L。
心功能:cTnI 0.114 ng/ml,NT-proBNP 20100 pg/ml。
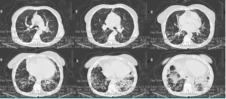
胸部CT:两下肺支气管扩张明显,左下肺大量痰液堵塞(图1)
图片
图1  患者入院后胸部CT
5月3日晨起血气分析:pH 7.528,PaCO2 43.6 mmHg,PaO2 113 mmHg,Lac 1.4 mmol/L。
监护:心率61次/min,血压113/63 mmHg,氧饱和度97%,去甲肾上腺素泵入,24小时入量1170 ml,出量1500 ml。
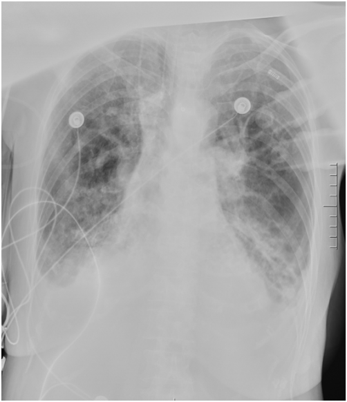
5月4日胸片示:双肺透亮度低,两下肺为甚(图2)
图片
图2  患者入科后胸片(2024-05-04)
初步诊断

  • 肺性脑病,脓毒性休克,Ⅱ型呼吸衰竭,支气管扩张伴感染;

  • 急性心力衰竭,高血压;

  • 高胆红素血症,电解质紊乱,凝血功能障碍,肾功能异常;

  • 甲状腺癌术后。

 治疗经过

抗感染治疗及呼吸支持
患者上次住院药敏结果(2024-04-05):铜绿假单胞菌(图3)。予比阿培南+阿米卡星治疗。
图片
图3  患者上次住院药敏结果(2024-04-05)
治疗4天后复查相关指标:①感染指标:CRP 16.98 mg/L,WBC 8.46×109/L,PCT 2.55 ng/ml。IL-6 10.40 pg/ml,血清淀粉样蛋白A(SAA)226.10 mg/L。②凝血功能:PT 14 s,INR 1.06,APTT 32.9 s,TT 23.9 s,FDP 5.48 μg/ml,D-二聚体1.28 mg/L。③生化:总胆红素22.3 μmol/L,结合胆红素1.0 μmol/L,白蛋白27.4 g/L,尿素氮8.5 mmol/L,肌酐60.2 μmol/L,尿酸129.8 μmol/L。④NT-proBNP 885 pg/ml。
降阶梯使用抗生素:停用比阿培南,改为哌拉西林钠他唑巴坦+左氧氟沙星。
停用镇静后现患者神志清楚,氧浓度为40%,血氧饱和度为92%~95%,调整呼吸机模式为PSV模式,氧浓度30%,PEEP 5 cmH2O,PC 11 cmH2O;患者潮气量350~500 ml,观察半小时,患者无明显躁动,血压、心率未见明显升高,考虑有拔管指征。2024年5月6日撤机拔管序贯无创呼吸机。
5月7日下午,无创呼吸机参数:氧浓度60%,潮气量300~500 ml,IPAP 16 cmH2O,EPAP 6 cmH2O。复查血气分析:pH 7.478,PaCO2 67.0 mmHg,PaO2 93.2 mmHg,氧饱和度98%。当日17:30,患者心率190~200次/分,血压73/54 mmHg,听诊湿啰音,无发热,完善心电图检查,提示室上性心动过速、广泛导联ST段改变。予5% GS 20 ml+胺碘酮1支静脉推注(>5 min)转复治疗,后以5% GS 46 ml+胺碘酮2支静脉泵入(10 ml/h),恢复正常心脏节律。
再次气管插管
5月8日凌晨3:00,患者出现意识障碍,不能对答及配合查体,口角咬伤,鲜红色血液流出,双眼向右侧凝视,四肢抽动,且右侧肢体抽搐强直明显,期间有缓解,意识仍不清,反复肢体抽搐,考虑癫痫持续状态。监护示心率120~130次/分,血氧饱和度96%(无创呼吸机应用,吸氧5 L/min),血压190/103 mmHg。血气分析提示pH 7.178,PaCO2 117 mmHg,PaO2 94.6 mmHg,Lac 3.1 mmol/L。再次行气管插管有创通气。急诊完善头颅CT未见出血,考虑癫痫持续状态。
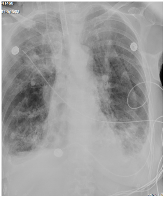
5月8日晨交班:患者镇静、镇痛状态,经口气管插管接有创通气,去甲肾上腺素维持血压,呼吸机压力控制模式,氧浓度45%,PEEP 5 cmH2O,呼吸频率18次/min,PC 16 cmH2O。心电监护示:脉搏75次/min,呼吸18次/min,血氧饱和度94%,血压93/59 mmHg。晨起血气分析:pH 7.412,PaO71.1 mmHg,PaCO2 75.4 mmHg,Lac 1.7 mmol/L。复查床旁胸片示:两肺透亮度较前明显好转,尤其是双下肺(图4)
图片
图4  患者床旁胸片(2024-05-08)
感染指标较前升高
复查:①感染指标:WBC 24.01×109/L,NEU% 89.2%,CRP 60.94 mg/L,IL-6 310.7 pg/ml,SAA>300 mg/L。②心功能:NT-proBNP 8440 pg/ml,CK-MB 31.5 U/L,cTnI 0.526 ng/ml。
5月9日和10日分别送检两次痰培养,结果提示多重耐药鲍曼不动杆菌(图5)。考虑呼吸机相关肺炎可能。
图片
图5  5月9日和10日两次痰培养结果
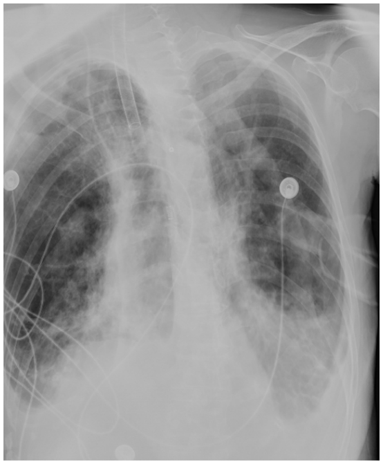
5月11日复查胸片示两下肺感染加重(图6)
图片
图6  复查胸片(2024-05-11)
5月12日复查:①感染指标:WBC 11.96×109/L,NEU% 84.6%,CRP>200 mg/L,PCT 5.5 ng/ml,IL-6 320.1 pg/ml,SAA>300 mg/L。②凝血功能:PT 14 s,INR 1.06,APTT 32.9 s,TT 23.9 s,FDP 5.48 μg/ml,D-二聚体1.28 mg/L。③生化:总胆红素98.1 μmol/L,结合胆红素13.1 μmol/L,ALT 40.4 U/L,AST 49.7 U/L。④NT-proBNP 885 pg/ml。
升级抗感染治疗
5月12日停用哌拉西林他唑巴坦+左氧氟沙星,改为多黏菌素E甲磺酸钠150 mg q12h联合头孢哌酮舒巴坦,联合多黏菌素E甲磺酸钠75 mg q12h雾化吸入。经过治疗,患者感染指标逐明显下降,心功能指标有好转(图7)
图片
图片

图7  患者感染及心功能相关指标变化情况

再次脱机拔管
患者治疗期间反复发作性室上性心动过速;胺碘酮静脉应用后予胺碘酮口服。
5月20日脱机后序贯无创呼吸机辅助呼吸,ST模式,IPAP 15 cmH2O,EPAP 5 cmH2O,氧浓度40%,即时心电监护示:心率69次/min,氧饱和度96%,血压135/63 mmHg,呼吸17次/min。复查血气:pH 7.388,PaO2 87.6 mmHg,PaCO2 66.1 mmHg,Lac 1.5 mmol/L。转普通病房,出院前予呼吸功能锻炼及床旁康复。
患者于5月28日出院,长期家庭氧疗及无创呼吸机治疗。


    作者介绍    

图片

江庆
阜阳市人民医院呼吸与危重症医学科,副主任医师,硕士,在职博士,安徽省全科医学会呼吸专委会委员,阜阳市医学会呼吸病学分会委员兼秘书、青年委员会委员兼秘书,阜阳市医学会结核病学分会委员,主持校级课题一项,中日友好医院呼吸科RICU进修,上海市胸科医院肿瘤科进修。

  • 本文根据“呼吸危重症菁英秀”第八十三期专题视频整理,感谢江庆医师予以审核。


全部评论 0
Copyright©2020-2026 北京医麦斯科技有限公司 版权所有 京ICP备2020034400号-1 京公网安备11010502043983号