登录方式

方式一:
PC端网页:www.rccrc.cn
输入账号密码登录,可将此网址收藏并保存密码方便下次登录

方式二:
手机端网页:www.rccrc.cn
输入账号密码登录,可将此网址添加至手机桌面并保存密码方便下次登录

方式三:
【重症肺言】微信公众号
输入账号密码登录

注:账号具有唯一性,即同一个账号不能在两个地方同时登录。

登录
方式

为重症救治赋能

为患者康复加速

当前位置: 首页 呼吸危重症菁英秀

ECMO重燃生命希望,康复点亮生命之光

方萍 西安交通大学第二附属医院呼吸与危重症医学科 发布于2025-02-24 浏览 2026 收藏

作者:方萍

单位:西安交通大学第二附属医院呼吸与危重症医学科

 病情介绍

基本信息

患者,男性,71岁,主诉:咳嗽、气短、发热1周。入院时间:2023年9月26日。

现病史

1周前患者无明显诱因出现咳嗽、咳痰,痰呈黄色泡沫状,不易咳出,痰中带血丝,伴发热,最高体温41℃,伴有气短、全身酸痛,活动后明显,无鼻塞、流涕、腹痛、腹胀、心悸、胸闷、胸痛。就诊于外院,9月21日检查,血细胞分析+五分类:WBC 6.51×109/L,NEUT% 87.6%,LYM 0.53×109/L;电解质:钠132.7 mmol/L,钾3.1 mmol/L;口服阿莫西林,仍发热,体温最高40℃,住院治疗。9月22日复查,血常规:WBC 12.74×109/L,NEUT% 92.8%,LYM 0.54×109/L;新冠病毒核酸检测阴性,肺炎支原体抗体阴性;谷草转氨酶68 U/L,白蛋白27.8 g/L;PCT 5.5 ng/ml;CRP>200 mg/L,hs-CRP>5.0 mg/L。给予头孢哌酮舒巴坦、左氧氟沙星、血必净、西维来司他钠、多索茶碱、氨溴索治疗。9月25日复查胸部CT,可见右肺下叶炎症范围较9月22日增大,新发左肺炎症,双侧胸膜腔及右侧叶间裂积液增多。9月26日复查肝功能:谷丙转氨酶501 U/L,谷草转氨酶365 U/L, 白蛋白19.9 g/L。为进一步诊治来我院,门诊以"重症肺炎"收住。患者自发病以来, 神志清, 精神差, 大小便正常。

既往史及个人史

近8月余有口干、多饮、多尿,体重下降5 kg,未诊治,余无特殊。个人史无特殊。吸烟史:40年,10支/日,无饮酒等不良嗜好。婚育史、家族史均无特殊。

入院查体

体温38.3℃,脉搏95次/分,呼吸26次/分,血压175/82 mmHg。端坐位,呼吸急促,双侧呼吸动度一致,频率26次/分,节律整齐。胸骨无压痛,双侧触觉语颤相等,无胸膜摩擦感,双肺呼吸音粗,可闻及散在湿啰音,未闻及胸膜摩擦音。

9月26日血气分析(FiO2 0.45):pH 7.465,PaO2 57.6 mmHg,PaCO2 24.8 mmHg,SaO2 91.2%,cHCO3- 20.8 mmol/L。

病例特点

  • 老年男性,急性起病,发热、咳嗽、气短;

  • 冠心病,高血压;

  • WBC升高, PCT高, 转氨酶升高, 低钠血症;

  • 影像学提示:双肺片状阴影,进展迅速。

初步诊断
①重症肺炎,急性呼吸衰竭(Ⅰ型);②冠状动脉粥样硬化性心脏病;③高血压病3级(很高危)。

 ECMO支持前的治疗情况

初步治疗

  • 抗感染:美罗培南+多西环素;

  • 无创机械通气、俯卧位、化痰、保肝降酶、人血白蛋白、纠正内环境等治疗。

辅助检查

  • 血常规:WBC 17.84×109/L,NEUT% 97%,LYM 0.32×109/L。

  • 凝血:D-dimmer 4640 ng/ml。

  • 生化:总胆红素31.1 μmol/L,ALT 477.4 U/L,AST 345.8 U/L,白蛋白23.5 g/L,LDH 480 U/L,Na 136 mmol/L。

  • BNP 95.95 pg/ml;心肌损伤标志物:肌红蛋白195.79 ng/ml,高敏肌钙蛋白I 25.4 pg/ml。

  • 抗中性粒细胞抗体、自身抗体、风湿系列均阴性;体液免疫正常。

  • NSE 9.23 ng/ml,CA125 86.9 U/ml,PSA 9.1 ng/ml,铁蛋白720 ng/ml。

  • PCT 1.07 ng/ml;G试验、GM试验均阴性;EB病毒定量阳性;CMV-DNA阴性。

  • ESR 61 mm/h;呼吸道病原体核酸检测阴性;新型冠状病毒核酸检测阴性。

  • 细胞因子:IL-6 38.65 pg/ml。

  • 呼吸道病原体IgM八项均阴性;GENE-Xpert阴性。

支气管镜检查并诊断性灌洗

  • BALF细胞学分类:中性粒细胞75%。

  • BALF涂片及培养:白假丝酵母菌(+++)。

  • BLAF mNGS:嗜肺军团菌(序列数4079),肺炎克雷伯菌(序列数10)。

  • BALF G试验、GM试验、X-pert、呼吸道病原体核酸均阴性。

予美罗培南+多西环素抗感染治疗无创机械通气、俯卧位、化痰、保肝降酶、人血白蛋白、纠正内环境等治疗。
病情变化

经上述治疗,患者气短症状无缓解,仍呈加重趋势,自主呼吸驱动强,10月10日病情进一步加重。上调无创呼吸机参数(S/T模式 IPAP 18 cmH2O;EPAP 10 cmH2O;FiO2 100%)。

生命体征:呼吸38次/分,心率122次/分,血氧饱和度78%~82%,血压165/95 mmHg。

血气分析:pH 7.474,PaO2 35.8 mmHg,PaCO2 38.7 mmHg,HCO3- 28.4 mmol/L,GLU 6.7 mmol/L,氧合指数35.80 mmHg。

10月10日复查床旁胸片:两肺间质性肺炎并感染,病变范围较10月9日变化不大,右侧新增气胸(肺组织压缩40%)。立即予胸腔闭式引流术+气管镜引导下经鼻气管插管。

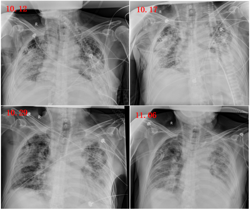
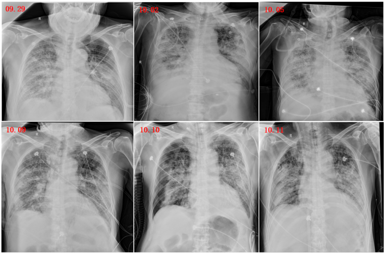
图片
图1  患者入院后胸片变化
图2所示为患者入院后氧合指数变化情况。在入院时,患者氧合指数为128 mmHg,属于中度ARDS;10月10日患者氧合指数降至35.8 mmHg。
图片

图2  患者上ECMO之前氧合指数变化情况

 ECMO治疗阶段

至2023年10月11日凌晨,夜间多次复查血气分析提示氧合指数<80 mmHg及PaCO2 >60 mmHg超过6小时,有创呼吸机参数调整后血气分析各项指标仍难以纠正。于10月11日11时建立VV-ECMO。监测凝血,关注APTT、D-dimmer、ATⅢ,指导肝素调整。

阶段问题1:参数设置?

ECMO参数:转速2935 r/min,血流3.75 L/min左右,气流5.5 L/min,氧浓度100%。呼吸机:V-A/C模式,Vt 200 ml,PEEP 6 cmH2O,FiO2 0.3。

存在的疑惑:①与既往我们管理的ECMO患者不同,该患者ECMO气流需求显著高于血流,常规气流:血流比1:1似乎不能满足临床需求,需要更大的气流来维持稳定的二氧化碳水平。②患者在ECMO上机前已经出现了气压伤(气胸),自主呼吸驱动过强,呼吸机参数尤其是PEEP设置不宜过高。

氧合指数变化情况

表1所示为ECMO上机后,呼吸机参数调整及患者氧合指数的变化。10月10日-10月29日,患者氧合指数改善并不理想,之后患者病情似乎有好转趋势。11月6日,氧合指数上升至141 mmHg;11月10日ECMO下机时,患者的氧合指数已经达到190 mmHg。

表1  患者ECMO上机后参数调整及氧合指数变化情况
图片
主要病原学结果
9月27日BALF-mNGS:嗜肺军团菌(序列数4079),肺炎克雷伯菌(序列数10)。
9月29日BALF培养:白假丝酵母菌(+/+++)。
10月11日BALF-mNGS:鲍曼不动杆菌(序列数495),铜绿假单胞菌(序列数58),嗜麦芽窄食单胞菌(序列数10),白色念珠菌(序列数3),人类疱疹病毒Ⅰ型(序列数2)。
10月16日BALF培养:鲍曼不动杆菌(黏菌素、替加环素敏感,米诺环素中介,余耐药)。
10月28日BALF-mNGS:铜绿假单胞菌(序列数6611),鲍曼不动杆菌(序列数323),嗜麦芽窄食单胞菌(序列数247)。
10月28日胸腔引流液mNGS:脆弱拟杆菌(序列数3)。
10月28日血mNGS:铜绿假单胞菌(序列数4)。
11月5日BALF培养:铜绿假单胞菌。
抗感染治疗
患者从入院后一直到ECMO下机前始终有发热症状。入院初期检出嗜肺军团菌,并予针对性治疗。初始予多西环素,治疗数日后,体温并未下降,调整为奥马环素。患者发热症状未缓解,氧合差。10月11日再次行气管镜检查,发现一些其他革兰阴性杆菌,虽然序列数不高,但结合患者的临床情况,不能完全除外此类病原体感染。据此调整抗感染方案。
10月28日再次复查,BALF-mNGS结果回报铜绿假单胞菌、鲍曼不动杆菌、嗜麦芽窄食单胞菌。此时需要区分哪种病原体为致病菌,哪种处于定植状态。结合之前的检查结果以及治疗效果,最终判定铜绿假单胞菌为主要的责任病原体,并将抗感染药物调整为头孢他啶阿维巴坦(图3)
图片
图3  患者入院后用药情况
容量管理
患者既往有高血压、冠心病病史,对液体容量的耐受性较差,需结合血压、肺部听诊、水肿情况、无创心排、检验结果等综合评估管理(图4, 图5)
图片
图4  患者每搏量变异度(SVV)变化趋势
图片
图5  患者出入量情况
其他管理

  • 初期予深镇静镇痛策略(瑞芬太尼+咪达唑仑+丙泊酚+右美托咪定);

  • 肠道管理:抑酸、促动、肠道菌群调节、中药灌肠促进排便;

  • 药物副作用监测:间断复查心电图,监测有无QT间期延长;

  • 气胸:胸腔闭式引流换药、统计引流量等;

  • 监测:瞳孔、出血等表现。

膈肌功能评估
11月8日评估患者的膈肌活动度为1.81 cm,呼气末膈肌厚度为0.18 cm,吸气末膈肌厚度为0.24 cm,膈肌增厚率为33%。
通气状态评估
定期复查床旁胸片, 监测力学参数, 并通过电阻抗断层成像技术(EIT)判断肺复张情况。
相关指标变化趋势(图6)
尽管患者白细胞和中性粒细胞比例均较前下降,但仍有反复发热,每日需使用少量解热镇痛药物对症处理。随着病情好转,患者转氨酶及总胆红素水平总体呈下降趋势。肾功能状态良好,心脏有轻度损伤,高敏肌钙蛋白、肌红蛋白及BNP曾有一过性轻度升高,治疗后得以恢复。乳酸脱氢酶(LDH)前期最高达到458 mmol/L,后期逐渐下降。此外,患者的营养状态也逐渐改善,白蛋白、前白蛋白水平均逐渐升高。经过一段时间的治疗,患者白介素-6及血清淀粉样蛋白A整体呈下降趋势,PCT水平下降并趋于正常,但发热症状一直未能缓解。
图片
图片
图片
图片
图片
图片
图6  患者各项指标变化情况
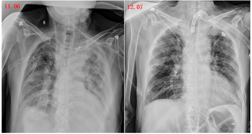
影像变化趋势
图7所示为患者ECMO(10月10日-11月10日)治疗期间影像学检查结果。患者氧合状况明显改善,肺部阴影有所吸收,但仍可见部分渗出影。鉴于影像学改变往往具有一定滞后性,因此拟行脱机试验。
图片
图7  患者影像学变化情况
阶段问题2:发热的原因是什么?撤机计划如何实施?
该患者体温居高不下的原因,首先应考虑肺部感染,其次考虑有无导管相关感染,包括中长导管以及ECMO置管感染。此外,除了感染因素,也要考虑非感染因素是否参与其中。尽管先后采取了多种抗感染方案,但患者体温并未得到理想控制。最终根据患者的临床表现和各项检查结果等判断导管相关感染所致发热的可能性大,并于11月7日拔除原中长导管,更换置管部位,继续观察体温情况。

11月6日计划撤机。参数:①ECMO:转速3200 r/min,血流4 L/min左右,气流5~5.5 L/min,氧浓度45%;呼吸机:V-A/C模式,Vt 380 ml,PEEP 6 cmH2O,FiO0.5。逐步降低支持参数,11月10日指数稳定,ECMO下机。调整有创机械通气参数(P-A/C模式,FiO2 50%,PEEP 6 cmH2O,Pi 15 cmH2O)。该患者ECMO上机31天。期间抗凝管理较好,并未因血栓等并发症更换膜肺。

 ECMO撤机后治疗

经过多学科会诊讨论,认为不能排除ECMO管路感染的可能。11月10日撤离ECMO后,患者体温并没有得到明显改善。调整抗生素治疗方案(图8),12月1日起患者体温正常,抗感染逐步降级。
图片
图8  ECMO撤机后患者体温变化情况
由于患者住院时间较长,肌肉萎缩,呼吸肌力丧失,于1月15日行气管切开,镇静镇痛逐步减量,降低呼吸支持力度,同时采取措施促进胃肠功能恢复,并积极进行康复锻炼。12月7日复查胸片,可见肺部阴影进一步吸收(图9)
图片

图9  复查胸片(2023-12-07)

 康复评估及康复策略

早期康复评估(2023-11-15)

  • 生命体征:呼吸28次/分,心率98次/分,血压153/84 mmHg,氧饱和度99%。
  • 吞咽能力:留置胃管。
  • 肌力评分:左上肢/右上肢:2-级;左下肢/右下肢:1级。
  • 咳嗽评估:0级。
  • RASS:-2分(轻度镇静)。
  • 意识评估:GCS 7T=E3+VT+M4。

早期康复策略

(1)呼吸肌力训练: 体外膈肌起搏, 每次30 min, 每日2次; 辅助呼吸肌被动牵拉和松解。

(2)被动活动:被动活动各个关节,每日1次,每次45 min。

(3)预防VTE:气压治疗,每日2次;被动踝泵运动;活动下肢。

(4)体位改变: 调整床头高度, 改变体位。

(5)气道廓清:排痰背心振动排痰,每次20 min,每日2次;定时手动拍背。

(6)专人陪护:提高患者依从性;减少院感发生。

中期康复评估(2023-12-05)

  • 生命体征:呼吸20次/分,心率84次/分,血压154/76 mmHg,氧饱和度99%。
  • RASS:0分。
  • 肌力评定:左上肢/右上肢:3级;左下肢/右下肢:3级。
  • 咳嗽评估:2级。
  • 平衡能力:坐位平衡2级。
  • S5Q:5(完全配合)。

中期康复策略

(1)呼吸肌力训练: 体外膈肌起搏, 每次30 min, 每日2次; 上肢主动活动牵拉辅助呼吸肌。

(2)主动活动: 肢体抗阻训练, 每日2次, 每次30 min; 核心力量训练; 床上主动坐起。

(3)预防VTE:主动踝泵运动;主动活动下肢;气压治疗,每日2次。

(4)体位改变:床上-床边坐位;床边-床下坐位。

(5)气道廓清:排痰背心动排痰,每次20 min,每日2次;定时手动拍背。

(6)吞咽能力:使用酸、冰棉棒刺激口腔;对舌面部肌肉进行训练。

后期康复评估(2023-12-25)

  • 生命体征:呼吸23次/分,心率74次/分,血压141/84 mmHg,氧饱和度100%。

  • RPE量表:15(费力)。

  • 肌力评定:左上肢/右上肢:4级;左下肢/右下肢:4级。

  • 咳嗽评估:3级。

  • 平衡能力:站位平衡1级。

  • 洼田饮水试验:3级(中)。

后期康复策略

(1)呼吸肌力训练:体外膈肌起搏,每次30 min,每日2次;加强上肢抗阻训练;呼吸训练器训练。

(2)运动处方:①运动强度:安全心率90次/分;②运动频率:每周3~5天;③运动时间:30~60 min;④运动方式:床下站立,床旁行走,短距离步行。

(3)预防VTE:主动踝泵运动;主动活动下肢;气压治疗,每日2次。

(4)专人陪护:提高患者依从性;减少院感发生。

(5)吞咽功能训练:对舌面部肌肉进行训练;自主吞咽训练;小口量试验性半流食进食。

(6)家庭康复健康教育指导宣教:指导患者关注生命体征监测;指导运动训练强度;营养指导;门诊慢病随访。

出院康复评估

  • 肌力评定:左上肢/右上肢:4+级;左下肢/右下肢:4+级。
  • RPE量表:13(稍累)。
  • Barthel指数:60分。
  • 咳嗽评估:4级。
  • 平衡能力:站位平衡2级。
  • 洼田饮水试验:1级(优)。

预后

患者出院4个月后随访,康复状况理想,生活能够自理。


    作者介绍    

图片

方萍

西安交通大学第二附属医院呼吸与危重症医学科副主任,医学博士,主任医师,硕士生导师;美国约翰·霍普金斯大学医学院访问学者;中华医学会呼吸病学分会呼吸危重症学组委员,中国老年医学学会呼吸病学分会委员,中国康复医学会呼吸康复专委会呼吸治疗学组委员,中国研究型医院学会睡眠医学专委会委员,陕西省呼吸结核分会重症学组委员,陕西省医师协会重症医师分会委员,陕西省医师协会急危重症超声专委会常委,陕西省保健学会过敏性疾病防治专委会主任委员及重症专业委员会常委。

  • 本文根据“呼吸危重症菁英秀”第七十五期专题视频整理感谢方萍教授予以审核。


全部评论 0
Copyright©2020-2026 北京医麦斯科技有限公司 版权所有 京ICP备2020034400号-1 京公网安备11010502043983号