作者:刘红梅
患者81岁女性。主诉: 间断咳嗽3个月, 活动后喘息1周。入院时间: 2024年7月30日入院。
3个月内反复咳嗽,肺部CT示:双肺异常密度影,左肺为著,抗感染治疗效果差。6月17日CT引导下肺穿刺活检,诊断为左肺腺癌并肺内转移,EGFR基因21外显子突变,T4N0M1aⅣA期,6月26日予伏美替尼口服抗肿瘤靶向治疗、抗感染、增强免疫等治疗后出院。1周前咳嗽、咳少量痰,夜间较重,伴活动后气喘,不吸氧情况下指脉氧饱和度为80%,无发热等症状,为求进一步诊疗来我院,门诊以“肺恶性肿瘤”为诊断收入呼吸内科。
2024年5月14日PET/CT:双肺多发不均匀实变,左侧著,代谢显著增高,首先可疑弥漫性肺癌。术后病理回示: (左下肺占位)肺泡上皮异型增生,结合免疫组化,符合腺癌;免疫组化(靶细胞)结果显示:CgA(-),CK7(+),Ki67(约8%+),Napsin A(部分+),P40(-),CK5/6(-), SYN(灶+)TTF-1(+), BRG1(+), INI-1(+), PD-L1(22C3)(TPS约5%)。基因检测回示:EGFR基因21外显子突变。
冠心病病史3年余,陈旧下壁心肌梗死,于郑州市中心医院行“药物球囊扩张术”,平素口服“参松养心胶囊、美托洛尔缓释片”治疗。否认吸烟史,否认饮酒史,无冶游史。
体温36.7℃,脉搏95次/分,呼吸21次/分,血压135/79 mmHg;皮肤巩膜无明显黄染,全身浅表淋巴结未触及肿大;双肺可闻及湿啰音,无胸膜摩擦音;心前区无隆起,心尖搏动正常,心浊音界正常;腹部皮下水肿,无明显包块,肝脏未触及,Murphy氏征阴性,无移动性浊音。
- 血常规:CRP 160.4 mg/L(↑)。余指标基本正常。
- 生化:ALB 27.52 g/L(↓),白球比0.9(↓),LDH 344.4 U/L(↑)。余指标基本正常。
- 肿瘤标志物:CEA 104.6 ng/ml(↑),CA-724 23.6 U/ml(↑),CYFRA21-1 10.4 ng/ml(↑)。
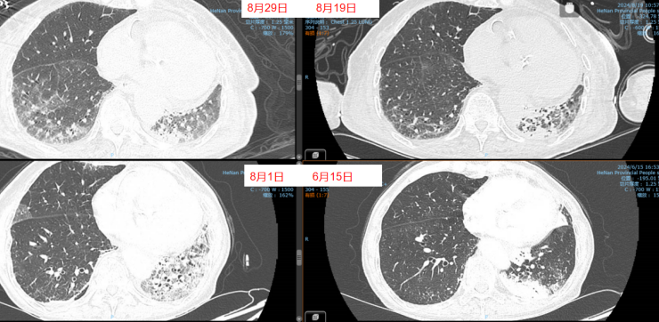
- 胸部CT(2024-06-13):左肺舌段和左下叶斑片实变影,右肺下叶可见斑片状阴影,肺中叶散在病变(图1)。
予多西环素0.2 g qd抗感染治疗。入院后患者鼻导管吸氧3~5 L/min,氧饱和度波动于85%~95%,患者呼吸困难进行性加重,氧饱和度持续下降。指脉氧波动于70%左右,予高流量吸氧(氧浓度70%,氧流量40 L/min),氧饱和度波动在79%~92%。2024年8月3日因呼吸困难加重转入RICU。
- 血常规:WBC 17.01×109/L(↑),NEU 15.72×109/L(↑),NEU% 92.4%(↑),CRP 35.47 mg/L(↑)。
- 心肌标志物:高敏肌钙蛋白I 121.7 ng/L(↑),NT-BNP 1550 pg/ml(↑)。
- 凝血功能:D-二聚体0.71 μg/ml,PT 14.5 s,INR 1.3,FBG 5.31 g/L。
- 生化:AST 54.1 U/L,ALT 17.6 U/L,LDH 602.7 U/L(↑)。
- PCT 0.26 ng/ml(↑);IL-6 296.37 pg/ml(↑)。
8月3日患者转入我科后呼吸困难较重,建议气管插管。患者1年前有入住ICU病史,拒绝插管,予无创机械通气。8月4日予无创呼吸机辅助通气,IPAP 15 cmH2O,EPAP 5 cmH2O,吸氧浓度100%,氧饱和度难以维持,予气管插管+呼吸机辅助通气,同时予俯卧位通气,氧饱和度波动在80%~85%,血压低,予大剂量去甲肾上腺素及特利加压素维持,后于2024年8月4日中午启动VV-ECMO治疗。气管镜检查未发现气道内有脓性分泌物。微生物室回报灌洗液内极少量肺炎克雷伯菌和鲍曼不动杆菌。8月4日tNGS结果回报:鲍曼不动杆菌(序列数64918),肺炎克雷伯菌(序列数14950),白念珠菌(序列数885)。耐药基因检测结果为OXA-23和KPC。患者ECMO上机前床旁超声提示:三尖瓣重度反流,,二尖瓣中度反流,主动脉瓣及肺动脉瓣轻度反流,肺动脉高压(轻度)。主动脉瓣退行性变,前向血流稍增快;心包少量积液;双侧小腿段肌间静脉回声,考虑血栓形成。
- 美罗培南1 g q8h静滴, 多黏菌素E甲磺酸钠150 mg q12h静滴(多黏菌素E甲磺酸钠75 mg q12h压缩雾化吸入), 注射用头孢他啶阿维巴坦2.5 g q8h静滴, 伏立康唑200 mg q12h静滴, 万古霉素1 g q12h静滴。
- 甲强龙40 mg q12h;氢化可的松200 mg,24小时泵入。
经过上述治疗,患者WBC、CRP、LDH、PCT均逐渐下降,肌酐正常。8月10日检查:WBC 9.1×109/L,CRP 6.8 mg/L,PCT 0.04 ng/ml,LDH 406 U/L。8月3-10日期间,患者心率持续变快,需要两种血管活性药物控制血压,无法进行俯卧位通气。ECMO上机前,患者右肺渗出性病变明显加重(图3)。
图3 患者床旁胸片变化情况
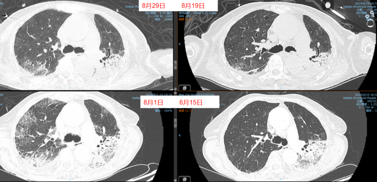
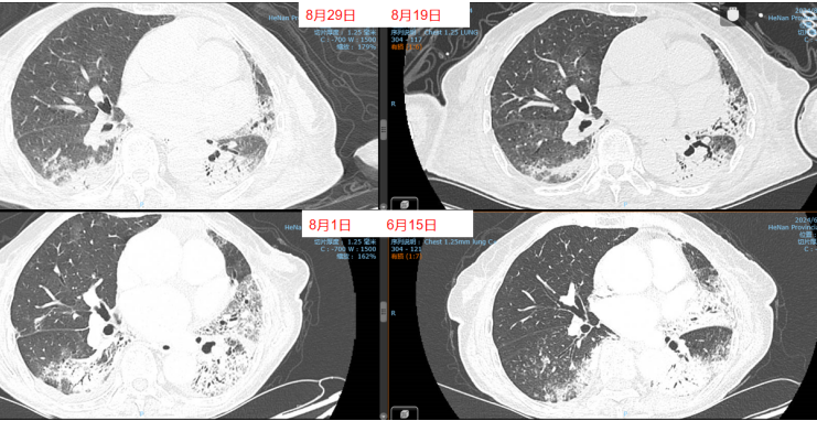
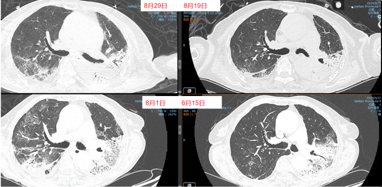
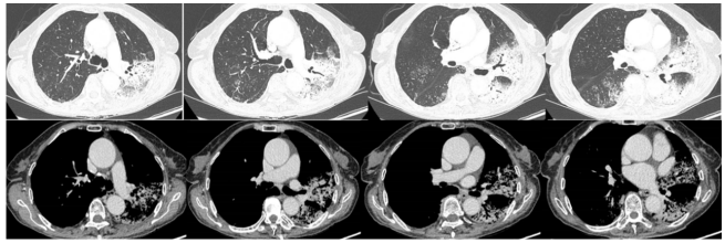
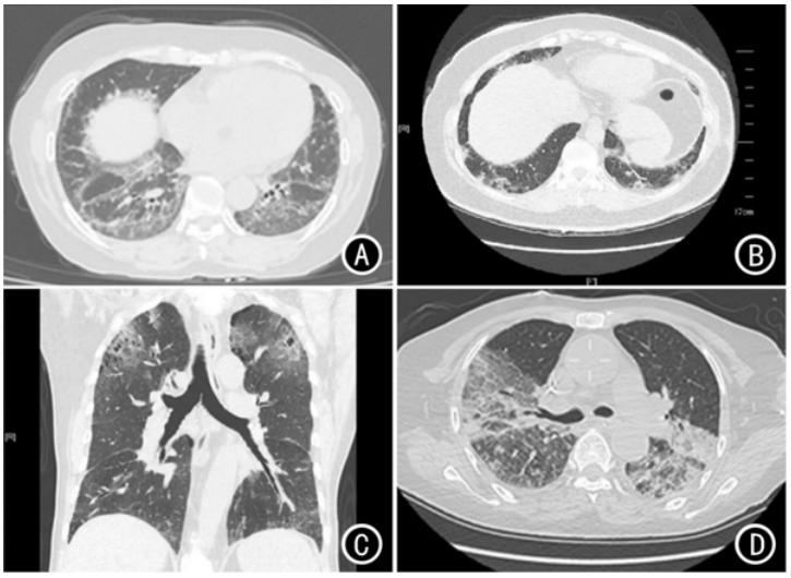
8月11日呼吸机吸氧浓度40%,ECMO气浓度约为80%,持续3天,激素减量氧合恶化,因心脏问题不能俯卧位通气(心率快,应用艾司洛尔及胺碘酮控制心室率)。气道分泌物不多,炎症指标正常。心脏问题,快速性心律失常,请心内科专家会诊,考虑舒张功能障碍,建议盐酸地尔硫卓联合胺碘酮控制心室率,血压低考虑可能血管张力问题,为减轻去甲肾上腺素对心脏的刺激,调整间羟胺维持血压。6月26日用抗肿瘤靶向药物后,8月1日肺部CT,双肺病变明显加重,肿瘤进展还是感染诱发?或是肿瘤靶向药物引起的免疫相关性肺损伤?下一步怎么办?肿瘤靶向药物还能用吗?8月11日请詹庆元教授会诊,考虑肿瘤靶向药物引起间质性肺炎可能性大,甲强龙80 mg q12h;心内科建议倍他乐克6.25 mg q12h口服联合盐酸地尔硫卓控制心室率;间羟胺替换去甲肾上腺素。8月12日心率65~85次/分,俯卧位8小时,白天ECMO 80%下调60%。患者氧合持续好转,随着病情好转,抗生素降阶梯治疗。8月13日,BALF涂片发现大量白细胞,以及多种形态阴性杆菌,像洋葱伯克霍尔德菌和伊丽莎白菌。8月14日,tNGS结果回报按蚊伊丽莎白菌、洋葱伯克霍尔德菌和脓肿分枝杆菌。据此调整抗感染药物:磺胺2片tid,多黏菌素E,美罗培南,利奈唑胺,伏立康唑。8月20日撤离ECMO。8月21日,病原学提示脓肿分枝杆菌进行性增多,加用左氧氟沙星。8月26-28日尝试甲强龙减量(60 mg→40 mg),患者再次再次出现氧合变化,未能成功转换为无创通气,有创通气PS降至8 cmH2O,PEEP 5 cmH2O。复查胸部CT,发现右肺渗出性病变再次出现。8月29-30日,甲强龙剂量调整为80 mg。8月31至9月3日,甲强龙剂量调整为60 mg。8月27日复测tNGS,回报木糖氧化无色杆菌(序列数47605),人类疱疹病毒1型(序列数176998),按蚊伊丽莎白菌、洋葱伯克霍尔德菌和脓肿分枝杆菌序列数较前减少。细菌室回报木糖氧化无色杆菌。患者出现了一些不良反应,包括骨髓抑制,纤维蛋白原、血小板、血红蛋白、白细胞、淋巴细胞数都在降低。考虑可能是磺胺药物和利奈唑胺引起,所以停用这两种药物。调整抗感染药物:阿米卡星雾化,左氧氟沙星,多西环素,伏立康唑,阿昔洛韦。之后由于不良反应,8月31日停用了左氧氟沙星和多西环素。9月3日查血,患者血小板升高。如下图所示,6月15日为抗肿瘤药物使用前,8月1日为抗肿瘤药物使用后,8月19日第一次复查CT,激素减量后,8月29日再次复查CT,右肺渗出性病变较前明显增多(图4)。
图4 患者影像学变化
患者存在两大问题,一是撤机困难,二是肌无力。后续复查影像学发现右肺斑片渗出逐渐好转,积极进行四肢肌力和膈肌的康复治疗。
药物引起的肺损伤是药物在呼吸系统包括气道、肺实质、肺血管以及胸膜等部位出现的不良反应的总称。药物性肺损伤的临床表现和累及部位多种多样,其中最常见的药物性肺损伤是药物引起的间质性肺疾病(drug-induced interstitial lung disease, DILD)。1880年加拿大医师首次在尸检中发现过量海洛因可导致急性肺水肿,这是最早报道的与药物相关的肺部损伤。2002年7月在日本首次上市的癌症药物吉非替尼引起的肺损伤发生率很高。目前已知有超过1300种药物与肺部疾病的发生有关,其中抗肿瘤药物是导致DILD的常见药物。不同类别抗肿瘤药物所致ILD的发生率如表1所示。
表1 不同类别抗肿瘤药物所致ILD的发生率
注:TKI:酪氨酸激酶抑制剂;mTOR:哺乳动物雷帕霉素靶蛋白;ICI:免疫检查点抑制剂;ADC:抗体药物偶联化合物。
抗血管生成药物可作用于肿瘤微环境,使现有肿瘤血管退化,抑制肿瘤新生血管生成。与其他非小细胞肺癌(NSCLC)系统治疗药物(包括化疗、小分子靶向治疗、免疫治疗)联合使用可发挥更好的抗肿瘤作用。NSCLC的抗血管生成治疗主要包括三大类:①靶向血管内皮细胞生长因子(VEGF)及其受体(VEGFR)的大分子单克隆抗体,例如:贝伐珠单抗、雷莫芦单抗;②靶点VEGFR的多靶点小分子TKI,除了VEGF/VEGFR以外,血小板源性生长因子/受体(PDGF/PDGFR)、成纤维细胞生长因子/受体(FGF/FGFR)及c-Kit等均是这类药物的作用靶点。③重组人血管内皮抑制素。抗血管生成药物3级及以上不良事件包括高血压、蛋白尿、出血和血栓栓塞事件等。第一代EGFR-TKIs包括吉非替尼、埃克替尼和厄洛替尼;第二代EGFR-TKIs包括阿法替尼和达可替尼;第三代EGFR-TKIs包括奥希替尼、阿美替尼、伏美替尼和贝福替尼、瑞齐替尼、利厄替尼、奥瑞替尼。国内指南也推荐,对具有EGFR基因经典突变的Ⅳ期NSCLC患者一线治疗推荐的药物优先选择第三代EGFR-TKIs。抗肿瘤药物相关ILD的发病机制尚未完全明确,目前认为可能的机制主要包括直接细胞不良反应作用和免疫介导的损伤。细胞毒性药物可以直接损伤Ⅰ型肺泡上皮细胞、毛细血管内皮细胞或气道上皮细胞;药物可作为半抗原或模仿宿主自身抗原来激活免疫细胞,从而引起一系列免疫反应。这两种机制可能受到多种宿主和环境因素的影响,包括年龄、肺部基础疾病、药物代谢或免疫相关基因的遗传易感性等,最终综合参与DILD的发病过程。不同类型抗肿瘤药物相关ILD的疾病进程差异较大,可在用药后短时间内出现,如数日到数周,也可缓慢发生,如用药后数月。抗肿瘤药物相关ILD缺乏特异性的临床表现,轻症患者可无明显临床症状(一般通过影像学检査发现),随着病情进展,可能出现干咳、逐渐加重的劳力性呼吸困难,有些患者可出现乏力、发热、皮疹等全身症状。抗肿瘤药物相关ILD亦缺乏特异性体征,可能的体征包括呼吸频率增快、口唇发绀等。肺部听诊通常正常,部分患者可闻及湿啰音或Velcro啰音等。对既往有肺部基础疾病的患者,在使用抗肿瘤药物过程中,若出现原有呼吸系统症状/体征加重,需排查抗肿瘤药物相关ILD。抗肿瘤药物相关ILD的影像学和病理学检查均无特异性,主要为间质性病变表现,具体见图5和表2。DILD的其他实验室检查包括血液学检查、血气分析、肺功能检查(表3)。如果患者的实验室检查和影像学表现不能明确特定的肺损伤类型,或者根据鉴别诊断不同,需要给予明显不同的治疗策略(如DILD与肺部感染或恶性肿瘤进展),可能需要进行肺活检。对于高度怀疑肿瘤进展的患者,病理活检是非常重要的诊断依据。
图5 药物引起的间质性肺病胸部高分辨率CT表现
注:A:非特异性间质性肺炎样改变;B:机化性肺炎样改变;C:过敏性肺炎样改变;D:弥漫性肺泡损伤样改变。
图源:中华肿瘤杂志, 2022, 44(7):693-702.图源:中华肿瘤杂志, 2022, 44(7):693-702.图源:中华肿瘤杂志, 2022, 44(7):693-702.Fleischer学会在总结既往DILD诊断标准之后,提出如下诊断标准:①影像学检查提示肺部新发病变;②肺部病变与药物治疗在时间上呈正相关;③除外其他引起肺部病变的病因。此外,还应注意与其他疾病进行鉴别诊断,例如细菌性肺炎、病毒性肺炎、真菌性肺炎、放射性肺炎等(表4)。图源:中华肿瘤杂志, 2022, 44(7):693-702.(1)高危人群的识别:非特异性危险因素包括年龄(年龄>60岁与儿童)、吸烟史、职业暴露史、基线期存在肺部病变(尤其是间质性肺炎)、肺部手术史、呼吸功能下降、肺部放射线暴露史、肾功能损害(药物清除减少导致血药浓度升高)、美国东部肿瘤协作组体能状态评分≥2分、低体表面积等。抗肿瘤药物联合治疗可能增加肺不良反应的发生率。联合治疗所致DILD往往比单药治疗更严重、恢复期更长。联合放疗也可能导致肺不良反应的增加。(2)DILD的分级:临床实践中常采用如下两种标准进行分级。①美国临床肿瘤协会(ASCO)免疫治疗相关不良事件中的肺不良反应(肺炎)分级(表5);②美国国立癌症研究所通用不良事件术语第5.0版(NCI-CTCAE V5.0—肺炎分级(表6)。在这两种分级中,肺不良反应或肺炎的定义均为肺实质出现局灶性或弥漫性的炎症;前一种分级方式主要侧重于肺部不良反应所影响肺叶的程度,后一种分级临床易用性更高。表5 ASCO免疫相关不良事件肺不良反应(肺炎)分级(3)DILD分级管理原则:DILD分级管理的总体原则一般为无症状(即G1级)患者无需停药,密切监测病情;若病情恶化或出现新的症状(即G2级),应立即停止抗肿瘤药物,并予以激素治疗;若症状严重或危及生命(即G3~G4级),应永久停止抗肿瘤药物,并予以激素治疗,如需要可考虑其他辅助治疗。糖皮质激素需要在停止抗肿瘤药物治疗的基础上使用,常用于DILD患者以改善症状和促进肺损伤的修复,尤其是中、重度DILD以及DILD急性发作时。在抗肿瘤药物治疗的临床实践中,可参考DILD分级管理原则,根据患者的基础疾病、合并症、不良反应严重程度以及激素耐受情况进行个体化治疗,以降低产生潜在并发症的风险。除激素以外的疗法:当对激素不敏感或伴有其他基础疾病限制激素使用时,可以选择其他药物进行替代治疗。①免疫抑制剂或生物制剂;②支持治疗,包括吸氧、机械通气、镇静、解痉等;③抗纤维化治疗:纤维化是慢性DILD的重要表现,目前临床中较常使用的抗纤维化制剂包括尼达尼布和吡非尼酮;④中医治疗;⑤基础疾病的治疗。此外,还有肺功能的康复训练。抗肿瘤药物相关间质性肺病管理流程见图6。图源:中华肿瘤杂志, 2022, 44(7):693-702.研究显示,一代、二代的和三代EGFR-TKI都有ILD的发生。EGFR-TKI相关性ILD的发生机制,可能是因为肺泡Ⅱ型上皮细胞表达EGFR,参与肺泡壁的修复,而EGFR-TKI和抗EGFR单抗二者在抑制肿瘤生长的同时,也抑制了支气管上皮细胞的生长和损伤的修复而加重肺损害。此外,EGFR-TKI可能引起肺泡和支气管上皮损伤及慢性炎症,二者均刺激成纤维细胞迁移、增生、产生细胞外基质,引起肺纤维化,导致ILD的形成。另外,部分ILD可能是由于机体对EGFR-TKI的免疫介导的过敏反应所导致。本文报道的患者使用了伏美替尼160 mg治疗。既往研究发现,350例患者接受伏美替尼80 mg治疗,1例(0.4%)出现3级间质性肺病,因呼吸衰竭而死亡。查阅文献发现,在三代EGFR-TKI中,伏美替尼ILD的发病率最低,约为0.5%。也有文献报道,伏美替尼基本不会发生3级不良事件。抗肿瘤治疗中密切关注药物引起不良反应发生,特别是老年患者及肺部基础疾病,联合抗肿瘤治疗患者。间质性肺损伤,需要明确病因,采取多种方法进行鉴别诊断,必要时肺活检。老年ECMO患者的治疗需要特殊关注,避免镇静肌松药物引起肌无力的发生,导致撤机困难;合理应用抗生素,避免抗生素相关不良反应。

[1] 抗肿瘤药物相关间质性肺病诊治专家共识专家委员会. 抗肿瘤药物相关间质性肺病诊治专家共识[J]. 中华肿瘤杂志, 2022, 44(7):693-702. [2] 中国临床肿瘤学会血管靶向治疗专家委员会, 中国临床肿瘤学会非小细胞肺癌专家委员会, 中国临床肿瘤学会非小细胞肺癌抗血管生成药物治疗专家组. 晚期非小细胞肺癌抗血管生成药物治疗中国专家共识(2022版)[J]. 中华医学杂志, 2022, 102(48):3819-3835.[3] 中国医疗保健国际交流促进会肿瘤内科学分会, 中国医师协会肿瘤医师分会. Ⅳ期非小细胞肺癌表皮生长因子受体酪氨酸激酶抑制剂中国治疗指南(2023版)[J]. 中华医学杂志, 2023, 103(40):3160-3173.[4] Ding J, Ding X, Zeng J, et al. Furmonertinib for EGFR-mutant advanced non-small cell lung cancer: a glittering diamond in the rough of EGFR-TKI[J]. Front Pharmacol, 2024, 15:1357913. [5] Yan N, Guo S, Huang S, et al. The efficacy of furmonertinib in untreated advanced NSCLC patients with sensitive EGFR mutations in a real-world setting: a single institutional experience[J]. Front Oncol, 2024, 14:1331128. 
河南省人民医院 呼吸与危重症医学科 呼吸ICU 主任医师;2007年博士毕业于华中科技大学同济医学院,在河南省人民医院工作至今。2014年-2015年多伦多总医院访问学者;2016年北京中日友好医院呼吸重症病区进修。研究方向呼吸重症、重症康复,呼吸衰竭疾病诊治,重症感染、肺移植术后管理、机械通气技术等相关技术。参加完成河南省卫生厅、科技厅课题8项,国内多中心临床研究多项,发表国家级核心论文30余篇。获河南省科技成果奖5项,并得到很好的临床推广。
河南省呼吸病学分会常委;呼吸重症学组副组长;中国研究型医院学会科普专业委员会常委;中国研究型医院学会危重医学专业委员会委员;老年医学会呼吸分会危重症委员会委员;河南省医院协会重症医学分会常委;河南省医院协会抗菌药物合理应用管理分会常委;河南省康复医学会肺康复分会副主任委员兼秘书重症康复学组组长;中国康复医学会呼吸康复专业委员会危重症康复学组委员;河南省微生物学会理事;2020年河南省新冠肺炎专家组成员,荣获“抗疫先锋”称号;2018年荣获河南省康复医学会“年度优秀医师”奖;中华实用诊断与治疗杂志编辑委员会委员;Thorax中文版编委。