登录方式

方式一:
PC端网页:www.rccrc.cn
输入账号密码登录,可将此网址收藏并保存密码方便下次登录

方式二:
手机端网页:www.rccrc.cn
输入账号密码登录,可将此网址添加至手机桌面并保存密码方便下次登录

方式三:
【重症肺言】微信公众号
输入账号密码登录

注:账号具有唯一性,即同一个账号不能在两个地方同时登录。

登录
方式

为重症救治赋能

为患者康复加速

当前位置: 首页 呼吸危重症菁英秀

一例高位气管切开术后气道狭窄患者的治疗

张鸿博 上饶市人民医院 发布于2024-06-18 浏览 3325 收藏

作者:张鸿博

单位:上饶市人民医院呼吸内镜介入科

病情介绍

一般情况


患者,女性,53岁,因“脑出血行气管切开术后7月余,气切后拔管困难5月余“于2021年10月18日就诊于我科。


现病史


2021年4月20日因“突发右侧肢体运动障碍”就诊于当地医院,诊断脑干出血。4月21日就诊于上海瑞金医院,考虑颅内出血量少(约15 ml),未行手术治疗,予以气管切开术、呼吸机辅助呼吸、降压、防治脑水肿等保守治疗。5月起在当地中医院康复科行康复治疗,行运动疗法、关节松动、吞咽障碍冷疗、吞咽电刺激、肺康复低频、神经功能康复。7月评估气管切开套管拔管困难。患者气管切开术后2月余多次经过半封闭或全部封闭气切套管评估无法拔除气切套管,考虑存在大气道狭窄,2021年10月18日就诊于我院呼吸与危重症医学科。


既往史及其他


既往有糖尿病病史5年,现口服阿卡波糖、二甲双胍降糖;高血压病史10年余,目前口服硝苯地平缓释片、厄贝沙坦氢氯噻嗪片降压;代诉血压、血糖控制可。


入院查体


体温36.5℃,脉搏88次/分,呼吸22次/分,血压124/80 mmHg。嗓音质量分级3级(重度)。神志清楚,营养状况一般,外观精神欠佳。双肺呼吸音清,未闻及明显干/湿啰音。


辅助检查


床旁心电图正常。

床旁心脏彩超:左室舒张及收缩功能减弱,左室射血分数50%。

痰培养:铜绿假单胞菌。

血常规及生化:WBC 14.83×109/L,NEU% 91.9%,Hb 127 g/L;ALB 23 g/L。

PCT:0.75 ng/ml。

凝血功能和心梗两项:未见明显异常。

入院时颈部CT:整个气道大部分堵塞(图1)


图片
图1  患者入院时胸部CT
初步诊断


气管切开术后拔管困难;大气道狭窄;脑干出血后遗症;2型糖尿病,高血压3级(极高危组)。


 入院诊疗

2021年10月19日,气管镜检查提示气切口上端(声门下)肉芽组织完全堵塞管腔。行冻融+冻切治疗清理管腔,术后气管镜检查见管腔通畅,效果较满意(图2)。继续其他姑息治疗方案。
图片
图2  冻融+冻切前后气管镜下表现(2021-10-19)
2021年11月30日气管镜下见肉芽组织再次出现,并完全堵塞主气道,肉芽组织反复生长。


2021年12月10日植入安全T管后见T管上支仅余5 mm情况下(上支前高后低斜面状态)仍抵近声门,容易刺激肉芽生长,不利于发音且不稳定,易滑脱(图3),遂取出安全T管,继续冷冻治疗,留置金属气切导管。


图片
图3  气管镜下所见(2021-12-10)
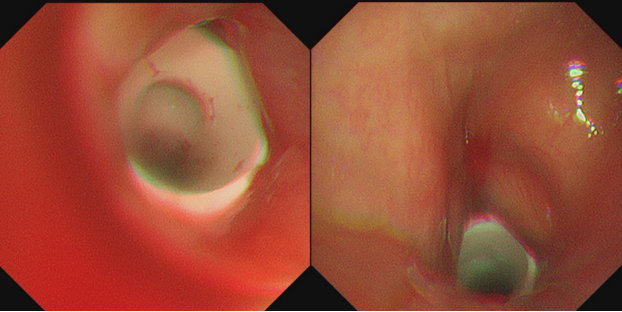
2022年6月14日患者再入院发现气道内肉芽组织瘢痕增生,遂予冷冻治疗。手术成功,但术后一段时间依然反复出现肉芽组织增生(图4)。后续分别于2022年7月22日和8月16日行激光消融+曲安奈德黏膜下注射(图5)。经过多次气道综合介入治疗,气管镜下表现仍不满意。2022年10月27日行气管镜检查仍见肉芽生长(图6),予冻融、冻切。
图片
图4  气管镜表现(2022年6月14日)
图片
图5  治疗前后气管镜下所见
图片
图6  气管镜检查(2022年10月27日)
思考:下一步如何治疗:①锥型安全T管跨过声门?可能无法解决吞咽障碍和发音问题。②继续予消融肉芽组织?可能后续仍会反复出现肉芽组织增生。③硅酮支架植入?抵近声门,而且容易滑脱。④继续留置金属气切导管,姑息治疗?
经过多次分析讨论,2022年11月3日再次新生物消融并实施二次气管切开术,气管镜下可见气道瘢痕及增生较前改善,但气道仍然狭窄。2022年12月13日留置安全T管(硬镜拉线法)。原气切口与二次气切口之间的距离较大(图7)



图片


图7  患者的两个气切口



患者经安全T管植入后生命体征平稳,封管后无呼吸困难,无进食呛咳,可发音。嘱定期复查气管镜、清理T管分泌物,注意T管周围皮肤护理,坚持每日雾化>4次;平时外支封闭,指导患者紧急状态下可自行移除外支塞子。后续持续跟踪随访。


2023年2月9日、4月20日、11月30日多次复查气管镜均未见明显肉芽生长,患者可发音、进食。


患者就诊过程如图8所示。


图片


图8  患者就诊过程


总结和体会

T管是治疗声门下狭窄同时保留患者发声功能较好的选择,但在临床实践中应注意合理选择安全T管的品种及直径、各分支长度,不要抵近声门,距声门应≥5 mm。T管上支裁剪前高后低的斜面状态可使部分T管上缘位置不理想的患者获益。二次气管切开为高位气切后气道狭窄患者提供了另外一种解决方案。此外,还应注意患者术后管理和宣教,合理评估拔管时机,最大程度改善患者预后。

作者简介


图片

张鸿博
  • 上饶市人民医院呼吸内镜介入科主任

  • 中国人体健康科技促进会呼吸介入专业委员会委员

  • 中国医药教育协会介入微创呼吸分会委员

  • 江西省抗癌协会第二届呼吸介入专业委员会委员

  • 江西省整合医学学会肺癌分会委员、肿瘤分会临床研究专委会委员

  • 江西省整合医学学会胸外科分会胸外介入学组委员

  • 江西省保健学会重症肺癌分会常委

  • 广东省胸部疾病学会呼吸介入专业委员会委员

  • 上饶市医学会呼吸病学分会秘书长


本文根据“呼吸危重症菁英秀”第五十八期视频整理,感谢张鸿博医师予以审核。


全部评论 0
Copyright©2020-2026 北京医麦斯科技有限公司 版权所有 京ICP备2020034400号-1 京公网安备11010502043983号