登录方式

方式一:
PC端网页:www.rccrc.cn
输入账号密码登录,可将此网址收藏并保存密码方便下次登录

方式二:
手机端网页:www.rccrc.cn
输入账号密码登录,可将此网址添加至手机桌面并保存密码方便下次登录

方式三:
【重症肺言】微信公众号
输入账号密码登录

注:账号具有唯一性,即同一个账号不能在两个地方同时登录。

登录
方式

为重症救治赋能

为患者康复加速

当前位置: 首页 呼吸危重症菁英秀

中国CRO耐药新形式下的思考及应对

万道谋 南昌大学第一附属医院 发布于2024-05-29 浏览 3891 收藏

作者:万道谋

单位:南昌大学第一附属医院呼吸与危重症医学科

中国CRO耐药新形式:

对耐药问题的关注及思考

革兰氏阴性菌感染一直是临床感染的主要细菌类型。CHINET监测数据显示,2005—2023年分离的革兰氏阴性菌占比在65.7%~73%之间,远超革兰氏阳性菌。2023上半年CHINET监测数据显示,临床感染仍以革兰氏阴性菌株为主,约占70%。中国革兰氏阴性菌的碳青霉烯耐药问题依然严峻,碳青霉烯耐药革兰氏阴性菌(CRO)的检出率呈上升趋势,尤其以耐碳青霉烯类鲍曼不动杆菌(CRAB)和耐碳青霉烯类肺炎克雷伯菌(CRKP)为主。CRAB的检出率在2022年不足72%(鲍曼不动杆菌对美罗培南和亚胺培南的耐药率分别为71.9%和71.2%),到2023上半年检出率上升至接近80%(鲍曼不动杆菌对美罗培南和亚胺培南的耐药率分别为79.5%和78.6%)。CRKP的检出率在2022年不足25%(肺炎克雷伯菌对美罗培南和亚胺培南的耐药率分别为24.2%和22.6%),到2023上半年检出率上升至接近30%(肺炎克雷伯菌对美罗培南和亚胺培南的耐药率分别为30%和29%)。从临床分离菌种的分布来看,革兰氏阴性菌占绝对主导地位,排名前五位的菌株分别为大肠埃希菌(18.02%)、肺炎克雷伯菌(14.06%)、金黄色葡萄球菌(9.49%)、鲍曼不动杆菌(8.76%)和铜绿假单胞菌(7.46%)。除金黄色葡萄球菌外,其余均为革兰氏阴性菌,其中鲍曼不动杆菌已位居第四位。
CRO感染的高危人群主要包括:脑外科术后患者、ICU重症患者、实体器官移植患者、血液肿瘤化疗及骨髓移植患者和烧伤患者,及少部分医院的经内镜逆行胆胰管成像(ERCP)术后患者等。此外,长期住院、入住ICU、插管治疗、机械通气、接受抗菌治疗等因素也增加了患者感染CRO的风险。
CRAB和CRKP对大部分药物耐药,临床可用药物有限。针对CRAB,仅有多黏菌素和替加环素耐药率相对较低,可供选择;针对CRKP,除了替加环素和多黏菌素,头孢他啶阿维巴坦的耐药率也相对较低。所以长期以来人们将多黏菌素、替加环素和头孢他啶阿维巴坦作为治疗CRO感染的“三剑客”,尤其是多黏菌素和替加环素,被认为是治疗CROs的最后一道防线。但是“三剑客”作为最后一道防线仍然存在诸多临床困扰。三种药物均存在组织浓度低和耐药率增加的问题,其抗菌疗效受到影响。另外,多黏菌素组织浓度低、肾毒性和神经毒性及异质性耐药等问题,替加环素组织/血浆浓度低、同样存在不良反应、增加死亡风险及耐药等问题,而头孢他啶阿维巴坦肺部浓度低,酶型变异,对金属酶型菌株100%耐药等,上述问题也限制了这些药物的临床使用。
表1  抗击多重耐药革兰阴性菌“三剑客”的抗菌活性

图片

头孢他啶阿维巴坦存在抑酶谱较窄的先天不足,导致其耐药问题从上市之初即存在。阿维巴坦仅对KPC-2、OXA-48具抑酶活性,因此头孢他啶阿维巴坦对产其他酶或其他耐药机制的CRO作用差。有研究显示,对于产NDM菌株,头孢他啶阿维巴坦100%耐药;部分产KPC菌株对头孢他啶阿维巴坦也出现耐药。所以目前建议耐碳青霉烯肠杆菌科细菌(CRE)感染需要测酶型/药敏后选用药物,且不建议头孢他啶阿维巴坦治疗CRAB感染。头孢他啶阿维巴坦2019年5月在中国上市,2020年CRKP对其耐药率就高达15%,之后其耐药率也维持在10%左右。
目前多黏菌素的异质性耐药问题日益受到关注。异质性耐药是指同一分离株的不同亚群对特定抗菌药物表现出不同的敏感性,有一小部分亚群可逃逸抗菌药物的“杀伤”继续生长繁殖,即为异质性耐药菌。若异质性耐药株在抗菌药物压力下持续被选择,就可出现耐药基因突变成为耐药菌,导致临床治疗失败。国外研究数据显示,CRAB容易对多黏菌素产生异质性耐药。初始体外敏感的鲍曼不动杆菌最低抑菌浓度(MIC)仅为0.25 mg/L,当给药5 d后再次检测时MIC已增加至>256 mg/L,这时已变为对多黏菌素高度耐药。经过连续4代含有多黏菌素的培养基(8 mg/L、64 mg/L、200 mg/L、>200 mg/L)培养后,在10 mg/L多黏菌素培养基上生长的“异质性耐药亚群”比例可从最初的0.0023%增加至100%。
《中国多黏菌素类抗菌药物临床合理应用多学科专家共识》强调:多黏菌素的异质性耐药多发生在铜绿假单胞菌、鲍曼不动杆菌及肺炎克雷伯菌等。异质性耐药的一大挑战是无法通过常规药敏试验发现。虽然《中国多黏菌素类抗菌药物临床合理应用多学科专家共识》推荐群体分析法(PAP)是检测异质性耐药的金标准,但该方法比较复杂,不宜在临床普遍推广,因此,多黏菌素的异质性耐药问题常常被临床忽略,会带来临床治疗的不确定性。
研究发现,2011—2018年,替加环素的用量呈逐年上升趋势,由50 mg q12h增值200 mg q12h。然而,随着替加环素剂量的不断增加,疗效反而越来越差。替加环素对革兰氏阴性菌为抑菌作用,在血液、尿液和肺泡上皮衬液中的药物浓度较低,对呼吸机相关性肺炎(VAP)的试验结果欠佳。FDA规定的替加环素折点为2 mg/L,中介为2~4 mg/L,欧洲抗菌药物敏感试验委员会(EUCAST)规定折点为2 mg/L;不易判别是否MIC<0.5 mg/L。替加环素MIC≥0.5 mg/L是30天全因死亡率的独立危险因素。因此,以替加环素为基础方案时,需谨慎选择药物。
多黏菌素易发生异质性耐药,且有明显的肾脏和神经系统毒性,肺组织渗透性低;替加环素血液浓度较低;头孢他啶阿维巴坦对产金属酶菌株感染无效;氨基糖苷类治疗效果欠佳且耳肾毒性较大。这些药物单药治疗存在诸多不足,因此,对于多重耐药革兰氏阴性菌(MDR-GNB)感染,联合治疗仍是我国目前的重要治疗策略。联合治疗能够更快速地控制感染,遏制耐药发生,适当降低毒性较高的药物的剂量,减少不良反应,对于严重感染患者,联合治疗病死率明显低于单药治疗。广泛耐药革兰氏阴性菌对替加环素及多黏菌素类的敏感率相对较高,但临床研究显示单用的治疗失败率均较高,应尽量避免单药应用。因此,对于广泛耐药革兰氏阴性菌感染,通常采用2种或3种药物联合治疗。

 应对CROs耐药难题,

新“武器”带来新方案

自21世纪以来,已经上市了多种广谱抗菌药,例如:康替唑胺,属噁唑烷酮类,安全性较高;奥马环素和依拉环素,四环素类,二者各具特点;奈诺沙星和西他沙星,喹诺酮类,能够增强抗阳性菌活性;酶抑制剂合剂,在国内最主要的是头孢他啶阿维巴坦,国产仿制药已上市。此外,新型抗菌药还有美罗培南/韦博巴坦、头孢地尔、新型多黏菌素。韦博巴坦抑菌谱与阿维巴坦类似,亚胺培南/雷利巴坦预计2025年上市。头孢地尔是铁螯合的新头孢菌素,利于进入细菌细胞内,抗菌谱广,对CRO均有活性,但容易诱导耐药。新型多黏菌素增强了抗菌活性,能够减少肾毒性等不良反应。
依拉环素是首个全合成氟环素类抗菌药物,其对D环进行了特殊修饰:C7位使用氟原子取代,C9位使用吡咯烷乙酰胺基基团取代,实现了更强的抗菌活性,带来更好的PK特征和耐受性。依拉环素在肺部、血浆的浓度远高于替加环素,依拉环素的fAUC/MIC是替加环素的2~4倍。
表2  常见药物抗菌谱

图片

注:MSSA:甲氧西林敏感金黄色葡萄球菌;MRSA:甲氧西林耐药金黄色葡萄球菌;VRE:万古霉素耐药肠球菌;ESBL:超广谱β-内酰胺酶;KPC:肺炎克雷伯菌碳青霉烯酶;AmpC:AmpC头孢菌素酶;OXA-48:OXA-48碳青霉烯酶;VIM:维罗纳整合子编码金属β-内酰胺酶;NDM:新德里金属 β-内酰胺酶;IMP:水解亚胺培南的金属 β-内酰胺酶;†包含脓肿分枝杆菌、龟分枝杆菌、偶然分枝杆菌、猪分枝杆菌等快速生长非结核分枝杆菌。

问题1:CRE主动筛查是否有必要?血液肿瘤患者化疗、移植前,是否有必要接受CRE筛查?

推荐意见:推荐对特定人群进行CRE无症状携带者的主动筛查(有条件推荐,低质量证据)。筛查的特定人群通常包括:有CRE定植/感染病史的患者;曾与CRE定植/感染患者居住于同一病室的患者;预估入住ICU(包括新生儿ICU)>2天的患者;进行化疗的血液肿瘤患者、在实体器官及骨髓/造血干细胞移植前、粒细胞缺乏伴发热的患者。
筛查方法:推荐各医疗机构依据自身的情况(如CRE检出率、检出人群和科室分布、筛查方式方法),确定需要主动筛查的特定人群。可以使用采集粪便或直肠拭子结合选择性培养基进行培养,在有条件的医疗机构也可以使用基因检测。血小板较低或有直肠/舡周病变(如脓肿、溃疡)的患者建议采集粪便进行筛查。

问题2:对医院内耐碳青霉烯类革兰阴性菌(CRGNB)感染/携带者实施包含隔离的集束化管理措施对CRGNB感染的预防是否有效?

推荐意见:对医院内CRGNB感染或定植者,推荐使用包含单间或集中隔离措施的集束管理方案(强推荐,低质量证据)。
实施建议:对CRGNB感染/定植者,优选单人单间隔离,宜有单独的卫生间;当需要隔离的人数多或隔离单人间不够时,优先对有大小便失禁、使用侵入性设备,或伤口持续有分泌物的患者进行单人单间隔离,将感染或定植同CRGNB菌种的其他患者集中隔离;推荐将护理人员实行分组护理,护理CRGNB感染或定植患者的护理人员不宜参与其他患者的护理;对隔离患者推荐不留陪护人员。

问题3:肠道CRE去定植是否有效?血液肿瘤患者化疗、移植前,是否有必要接受肠道CRE去定植?

推荐意见:不支持或反对肠道CRE去定植(无推荐,低质量证据)。
实施建议:现有的证据尚不足以推荐或反对肠道CRE去定植;临床考虑肠道去定植时需做到一人一策,充分评估其可能的获益(发展为感染的可能性,如患者是否处于严重免疫缺陷或免疫低下状态)和损害(扰乱肠道菌群而带来附加损害等);目前尚缺乏肯定有效的去定植方案。

问题4:ICU内水槽的安装位置是否对CRGNB控制有影响?

推荐意见:建议在以下条件下从患者直接诊疗区域(如病室、执行侵入性操作的房间)移除水槽(有条件推荐,低质量证据)。
实施建议:专用于洗手的水槽(洗手池)可设置于患者诊疗区域之外,如病室外的走廊、医务人员工作区等;对于已经配置有水槽的CRGNB感染高风险病房,如果无法从患者直接诊疗区域移除水槽,则可考虑调整水槽的位置,使其应尽可能远离患者床头;若调整位置不可行,则可考虑在水槽侧面安置光滑、耐消毒液腐蚀和防潮材质的挡板,高度以水不易溅出挡板外为宜;洗手池应确保仅供手卫生专用,而不得用于倾倒体液与排泄物、清洗器械设备等其他用途。

病例分析

病例一
病史情况:60岁女性患者,2020年11月30日第1次入住我院呼吸内科。主诉:发热伴咳痰10天。患者脑出血行手术后在当地医院康复治疗。10天前患者无明显诱因出现发热,最高温度38.8℃,持续性发热,气道分泌物明显增多,为黄白色脓痰,无咯血,无腹胀、腹泻;予头孢他啶、美罗培南等抗感染等治疗后,症状无明显好转,仍持续发热。
入院查体:T 38.2℃,P 120次/分,R 35次/分,BP 171/90 mmHg。神志模糊,平车推入病房,气管切开带金属管;皮肤黏膜无黄染,浅表淋巴结未及肿大;呼吸急促,听诊双肺呼吸音粗,可闻及散在粗湿啰音;心腹查体无异常。
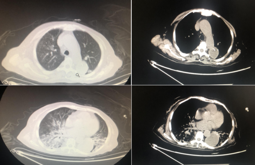
辅助检查:①血常规:WBC 15.73×109/L,NEU% 90%,Hb 90 g/L。②生化:谷丙转氨酶22 U/L,白蛋白22.5 g/L,尿素氮7.31 mmol/L,肌酐68.1 μmol/L,葡萄糖7.94 mmol/L,血钾3.35 mmol/L,钠135.4 mmol/L。③炎症指标:PCT 2.4 ng/ml,ESR 116 mm/h,CRP 137 mg/L。④影像学:11月29日胸部CT示双肺大面积感染(图1)⑤11月30日床旁电子支气管镜检查提示气管及左右主支气管腔内大量绿脓痰(图2)。⑥11月30日血气分析:pH 7.54,PaCO2 33.4 mmHg,PaO2 54 mmHg,HCO3- 28.6 mmol/L。

图片

图1  患者胸部CT(2020-11-29)

图片

图2  患者气管镜检查及(2020-11-30)

病原学检查:肺泡灌洗液(BALF)培养铜绿假单胞菌(图3)
图片

图3  患者BALF培养结果

入院诊断:呼吸衰竭,重症肺炎,铜绿假单胞菌肺炎。
治疗方案:哌拉西林他唑巴坦(4.5 g q6h微量泵入),多黏菌素B(50 WU q12h iv),多黏菌素B(25 WU q12h雾化);间断呼吸机辅助通气;床边支气管镜吸痰;加强院感防护。
治疗效果:患者炎症指标(WBC、CRP、PCT、ESR)逐渐下降(表3),体温下降并恢复正常。血气分析(不吸氧)示pH 7.42,PaCO2 42.4 mmHg,PaO2 91 mmHg。12月13日胸部CT示病变吸收(图4)
表3  患者炎症指标变化情况
图片

图片

图4 患者胸部CT(2020-12-13)
病例二
病史情况:85岁男性患者,体重90 kg。2023年10月20日第1次入住我院呼吸科。主诉:反复发热伴咳嗽1月余。患者1月前出现发热,最高38.8℃,伴咳嗽咳痰,黄白痰,至我院高新院区内科就诊,完善胸部CT及支气管镜灌洗,考虑肺部感染,先后予左氧氟沙星、头孢哌酮舒巴坦、美罗培南、替加环素、利奈唑胺等抗感染,仍反复发热,且大便不解,考虑肠梗阻,至我科就诊。
入院查体:T 38.2℃,P 120次/分,R 21次/分, BP 121/75 mmHg。精神软,平车推入病房,吸氧状态(5 L/min)。皮肤黏膜无黄染,浅表淋巴结未及肿大。呼吸稍促,听诊双肺呼吸音粗,可闻及散在粗湿啰音;心腹查体无异常。
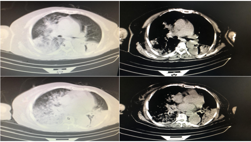
辅助检查:①血常规:WBC 15.73×109/L,Hb 90 g/L,PLT 21×109/L,幼稚细胞百分比15%。②生化:谷丙转氨酶22 U/L,白蛋白25.5 g/L,肌酐139.1 μmol/L,葡萄糖7.14 mmol/L,血钾3.9 mmol/L,钠135.4 mmol/L。③入科炎症指标:PCT 4.9 ng/ml,CRP 168.16 mg/L。④入科胸部CT示双肺多发感染,左肺为著。⑤血气分析(吸氧5 L/min):pH 7.43,PaCO2 41 mmHg,PaO2 65 mmHg,Lac 2.3 mmol/L。
骨髓穿刺:骨随有核细胞增生活跃;粒系增生活跃,各阶段细胞均见,其中原始细胞占17%,部分细胞胞浆颗粒发育异常。红系增生减低,以晚红为主,成熟红细胞轻度大小不一。淋巴细胞占20%,均为成淋巴细胞。未见巨核细胞,血小板散在、成堆少见。考虑骨髓增生异常综合征(MDS)。
病原学检查:BALF培养结果为鲍曼不动杆菌(图5)

图片

图5  患者BALF培养结果

入院诊断:呼吸衰竭,重症肺炎,MDS(EBⅡ),鲍曼不动杆菌感染。
治疗方案:头孢哌酮舒巴坦(3.0 g q8h微量泵入),依拉环素100 mg q12h ivgtt,高流量湿化氧疗,加强院感防护。
治疗效果:患者CRP和PCT显著下降(图6)。后转血液科进行MDS相关治疗。
图片
图6  患者CRP和PCT变化情况

参考文献

(向下滑动查看全部文献)

[1] Lat I, Daley MJ, Shewale A, et al. A Multicenter, Prospective, Observational Study to Determine Predictive Factors for Multidrug-Resistant Pneumonia in Critically Ill Adults: The DEFINE Study[J]. Pharmacotherapy, 2019, 39(3):253-260. 

[2] Maruyama T, Fujisawa T, Ishida T, et al. A Therapeutic Strategy for All Pneumonia Patients: A 3-Year Prospective Multicenter Cohort Study Using Risk Factors for Multidrug-resistant Pathogens to Select Initial Empiric Therapy[J]. Clin Infect Dis, 2019, 68(7):1080-1088.

[3] 中国医药教育协会感染疾病专业委员会,中华医学会呼吸病学分会,中华医学会重症医学分会,等. 中国多黏菌素类抗菌药物临床合理应用多学科专家共识[J]. 中华结核和呼吸杂志, 2021, 44(4):292-310.

[4] Burkhardt O, Rauch K, Kaever V, et al. Tigecycline possibly underdosed for the treatment of pneumonia: a pharmacokinetic viewpoint[J]. Int J Antimicrob Agents, 2009, 34(1):101-102. 

[5] Tasina E, Haidich AB, Kokkali S, et al. Efficacy and safety of tigecycline for the treatment of infectious diseases: a meta-analysis[J]. Lancet Infect Dis, 2011, 11(11):834-844.

[6] 贾昕婧, 贡鑫然, 段春元, 等. 中国人群中替加环素耐药菌流行现况[J]. 中华医院感染学杂志, 2023, 33(20):3195-3200. 

[7] Han R, Shen S, Yin D, et al. Performance of Ceftazidime-Avibactam 30/20-μg and 10/4-μg Disks for Susceptibility Testing of Enterobacterales and Pseudomonas aeruginosa[J]. Microbiol Spectr, 2023, 11(2):e0272022. 

[8] Han R, Shen S, Yin D, et al. Performance of Ceftazidime-Avibactam 30/20-μg and 10/4-μg Disks for Susceptibility Testing of Enterobacterales and Pseudomonas aeruginosa[J]. Microbiol Spectr, 2023, 11(2):e0272022. 

[9] Moosavian M, Shoja S, Nashibi R, et al. Post Neurosurgical Meningitis due to Colistin Heteroresistant Acinetobacter baumannii[J]. Jundishapur J Microbiol, 2014, 7(10):e12287.

[10] 中国碳青霉烯耐药肠杆菌科细菌感染诊治与防控专家共识编写组, 中国医药教育协会感染疾病专业委员会, 中华医学会细菌感染与耐药防控专业委员会. 中国碳青霉烯耐药肠杆菌科细菌感染诊治与防控专家共识[J]. 中华医学杂志, 2021, 101(36):2850-2860. 

[11] 王明贵. 广泛耐药革兰阴性菌感染的实验诊断、抗菌治疗及医院感染控制中国专家共识[J]. 中国感染与化疗杂志, 2017, 17(1):82-93.

[12] Zhou C, Jin L, Wang Q, et al. Bloodstream Infections Caused by Carbapenem-Resistant Enterobacterales: Risk Factors for Mortality, Antimicrobial Therapy and Treatment Outcomes from a Prospective Multicenter Study[J]. Infect Drug Resist, 2021, 14:731-742. 

[13] Zou X, Jin S, Chen L, et al. Antibacterial Activity of Eravacycline Against Carbapenem-Resistant Gram-Negative Isolates in China: An in vitro Study[J]. Infect Drug Resist, 2023, 16:2271-2279. 

[14] Connors KP, Housman ST, Pope JS, et al. Phase I, open-label, safety and pharmacokinetic study to assess bronchopulmonary disposition of intravenous eravacycline in healthy men and women[J]. Antimicrob Agents Chemother, 2014, 58(4):2113-2118. 

[15] Alosaimy S, Abdul-Mutakabbir JC, Kebriaei R, et al. Evaluation of Eravacycline: A Novel Fluorocycline[J]. Pharmacotherapy, 2020, 40(3):221-238. 

[16] Brown-Elliott BA, Wallace RJ Jr. In Vitro Susceptibility Testing of Eravacycline against Nontuberculous Mycobacteria[J]. Antimicrob Agents Chemother, 2022, 66(9):e0068922. 

作者简介


图片

万道谋
  • 南昌大学第一附属医院呼吸与危重症医学科

  • 主治医师,硕士研究生,PCCM学员

  • 江西省整合医学学会呼吸病学分会委员

  • 以第一作者发表核心论文多篇

  • 在呼吸系统疾病的诊治和抢救方面有较丰富的经验

本文根据“呼吸危重症菁英秀”第五十八期视频整理,感谢万道谋医师予以审核。

全部评论 0
Copyright©2020-2026 北京医麦斯科技有限公司 版权所有 京ICP备2020034400号-1 京公网安备11010502043983号