登录方式

方式一:
PC端网页:www.rccrc.cn
输入账号密码登录,可将此网址收藏并保存密码方便下次登录

方式二:
手机端网页:www.rccrc.cn
输入账号密码登录,可将此网址添加至手机桌面并保存密码方便下次登录

方式三:
【重症肺言】微信公众号
输入账号密码登录

注:账号具有唯一性,即同一个账号不能在两个地方同时登录。

登录
方式

为重症救治赋能

为患者康复加速

当前位置: 首页 呼吸危重症菁英秀

病例分享|免疫抑制相关重症肺炎一例

李朋 宜昌市中心人民医院 发布于2024-05-29 浏览 2157 收藏

作者:李朋

单位:宜昌市中心人民医院呼吸重症监护室

病例介绍

一般资料
患者,男性,56岁,农民,已婚。体重60 kg。主诉:咳嗽伴活动后气短11天。2023年1月23日入院。
现病史
2023年1月12日,患者无明显诱因出现咳嗽,呈阵发性刺激性咳嗽,咳少量白痰。伴活动后气短,无发热、鼻塞、流涕、胸痛、咯血。自行口服止咳药物(具体不详)治疗,症状无明显缓解。2023年1月19日于当地医院住院治疗。查新冠核酸阳性。肺部CT示:沿支气管血管束分布的磨玻璃影,中心向四周扩散,考虑双肺感染;冠状动脉钙化;肝囊性灶;胆囊壁水肿(图1)。给予抗感染、输注丙球、新冠恢复期血浆等治疗。1月23日复查肺部CT示实变增多,右下肺有支气管充气征(图2)
图片

图1  患者肺部CT(2023-01-19)

图片
图2  复查肺部CT(2023-01-23)
既往史

有高血压病史1年,血压最高达168/105 mmHg,规律服用非洛地平片,血压控制尚可。

有ANCA相关性血管炎、ANCA相关性肾炎病史半年。2022年5月于我院行肾穿刺病理检查,符合ANCA相关性血管炎肾损害,明确诊断为ANCA相关性血管炎、ANCA相关性肾炎。2022年5月10日予氢化泼尼松30 mg/d治疗,2022年7月于武汉同济医院激素冲击治疗,后续给予甲泼尼龙注射液40 mg/d,出院后予以甲泼尼龙片48 mg/d+吗替麦考酚酯片0.5 g bid治疗;2022年9月因肺部感染停用吗替麦考酚酯分散片。2022年9月28日予环磷酰胺(0.4 g)治疗,将激素减量为泼尼松30 mg/d。2022年11月17日再次开始吗替麦考酚酯分散片治疗。

有慢性胃炎、高尿酸血症病史;否认糖尿病、疟疾及外伤史,无食物过敏史。

体格检查

体温36.4℃,呼吸22次/分,脉搏102次/分,血压145/89 mmHg,SpO2 91%(FiO20.33)。神志清楚,口唇无发绀,无杵状指。呼吸规整,双肺呼吸音粗,双下肺可闻及湿啰音。双下肢轻度水肿。

入院诊断

①双侧肺部感染:病毒性肺炎,低氧血症;②ANCA相关性血管炎:ANCA相关性肾炎,慢性肾脏病4期;③高血压病2级(很高危);④慢性胃炎;⑤高尿酸血症。

辅助检查
【2023年1月23日】

血气分析(FiO2 0.33):pH 7.35,PaCO2 35.4 mmHg,PaO2 90 mmHg,Lac 1.8 mmol/L。

血常规:WBC 13.09×109/L(↑),Hb 81 g/L,PLT 209×109/L,LYM 0.23×109/L。

肝功生化:Alb 31.1 g/L,LDH 487 IU/L,K 5.02 mmol/L,Cr 615 μmol/L。

炎症指标:CRP 31.75 mg/L,PCT 0.906 ng/L,IL-6 3014 pg/ml。

NT-proBNP:3778 pg/ml;凝血功能:FiB 5.09 g/L。

G试验:211.25 pg/ml;新冠核酸阴性。

MPO-ANCA 74.04 mg/L,PR3-ANCA(-),c-ANCA(-),p-ANCA(+)。

心电图、心脏彩超未见异常;下肢静脉彩超示右侧小腿肌间静脉血栓形成。

【2023年1月25日】

气管镜:双侧支气管腔内可见大量黄白色黏性分泌物(图3)

【2023年1月28日】

气管镜下吸引痰培养、真菌培养阴性,X-pert、GM试验均阴性;BALF送检mNGS示:皮疽诺卡菌(序列数13)、耶氏肺孢子菌(序列数687)、新型隐球菌(序列数53)、烟曲霉(序列数10)、巨细胞病毒(序列数1)。

图片
图3  气管镜检查(2023-01-25)

 诊疗经过

入院后治疗

呼吸支持:鼻导管吸氧3 L/min。

抗感染:莫西沙星注射液0.4 g qd,伏立康唑片200 mg q12h,磺胺片0.96 g q12h。

停用吗替麦考酚酯片,继续泼尼松片30 mg qd。

抗凝:低分子肝素4100 IU qd。

间断血液透析治疗。

病情变化

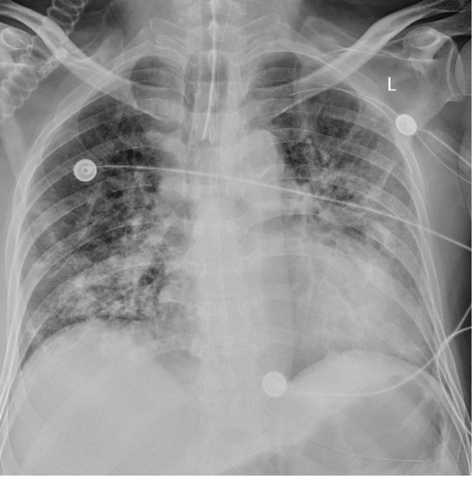
患者2023年1月30日出现呼吸困难,血氧饱和度降低,查血气分析(FiO2 0.7):pH 7.21,PaCO2 23 mmHg,PaO2 53 mmHg,K 7.8 mmom/L。转入RICU,患者烦躁不安,高流量吸氧下氧合不能维持,予床边经鼻气管插管,接呼吸机辅助通气;同时行床边CRRT治疗。

辅助检查(2023年1月30日)

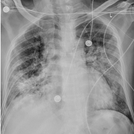
床边胸片可见双肺多发斑片影,考虑双肺感染(图4)

图片

图4 床旁胸片(2023-01-30)

血气分析(FiO2 1.0):pH 7.38,PaCO2 22.4 mmHg,PaO2 81 mmHg,Lac 4.6 mmol/L。

血常规:WBC 15.12×109/L(↑),Hb 73 g/L,PLT 205×109/L,LYM 0.21×109/L。

生化:ALB 28.96 g/L,LDH 655 IU/L,K 7.02 mmol/L,Cr 731 μmol/L。

炎症指标:CRP 54.87 mg/L,PCT 1.17 ng/L,IL-6 1124 pg/ml。

NT-proBNP:4243 pg/ml;D-二聚体:3.60 μg/ml。

CMV-DNA(+)。

淋巴细胞亚群绝对计数:CD3+T细胞205 cells/μl(↓),CD4+T细胞109 cells/μl(↓),CD8+T细胞99 cells/μl(↓)。

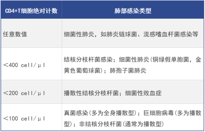
表1  CD4+T细胞绝对计数与肺部感染类型

图片

调整治疗方案

根据上述病原学检查结果,调整抗感染方案:磺胺片1.44 g q6h+米卡芬净100 mg qd对抗耶氏肺孢子菌;阿米卡星0.4 g qd对抗皮疽诺卡菌;伏立康唑片0.2 g q12h对抗烟曲霉、新型隐球菌;更昔洛韦0.15 g qd对抗巨细胞病毒。

丙球10 g qd。

甲泼尼龙注射液40 mg qd。

床边CRRT治疗。

辅助检查(2023年2月3日)

血气分析(FiO2 0.6):pH 7.43,PaCO2 36.6 mmHg,PaO75.5 mmHg,Lac 1.8 mmol/L。

血常规:WBC 11.89×109/L(↑),Hb 68 g/L,PLT 134×109/L,LYM 0.36×109/L。

生化:ALB 32.56 g/L,LDH 806 IU/L,K 4.05 mmol/L,Cr 238 μmol/L。

炎症指标:CRP 21.18 mg/L,PCT 1.82 ng/L。

NT-proBNP:4096 pg/ml。

隐球菌荚膜抗原阳性;气管镜吸引痰真菌培养检出新型隐球菌。

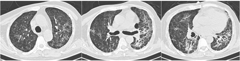
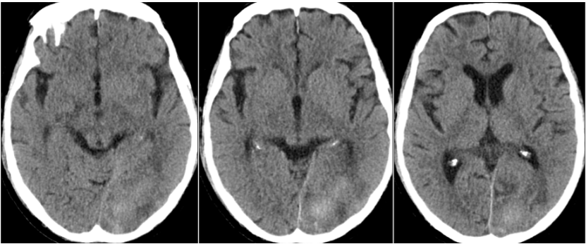
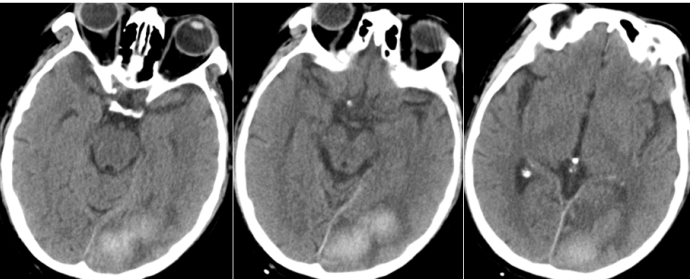
治疗2天后带患者外出做头胸部CT:考虑左侧枕叶脑出血(图5),建议短期复查除外其他;双肺磨玻璃影伴斑片影,考虑多发感染(图6)

图片

图5 头部CT(2023-02-03)

图片

图6  胸部CT(2023-02-03)

调整治疗方案
不能除外隐球菌性脑膜炎,建议行腰椎穿刺进一步检查,患者家属拒绝。根据2018年《隐球菌性脑膜炎诊治专家共识》隐球菌性脑膜炎抗真菌药物治疗方案(表2),本例患者停用伏立康唑及米卡芬净,更换为两性霉素B胆固醇硫酸酯复合物(50 mg qd起始,逐步加量至200 mg qd),联合氟胞嘧啶1.5 g q12h治疗。
表2  隐球菌性脑膜炎抗真菌药物治疗方案
图片
辅助检查(202325-6日
患者炎症指标逐渐升高(表3)2月5日停用阿米卡星,换用比阿培南0.3 g q12h。PLT逐渐降低(表3),停用更昔洛韦;甲泼尼龙注射液减量为20 mg qd。
表3  患者炎症指标及血小板变化情况
图片
2023年2月6日床边胸片示双肺斑片影(图7)。治疗用药及患者体温变化如图8所示。
图片
图7  床旁胸片(2023-02-06)

图片

图8  患者用药及体温变化情况

后续治疗及患者预后
2023年2月7日拔除经鼻气管插管。换用比阿培南后,2月8日复查,患者PCT和CRP仍然升高,WBC有所降低,PLT持续下降(表4),伴明显胃肠道症状,考虑药物相关性,停用磺胺、氟胞嘧啶(图9)。2月8日痰培养提示耐碳青霉烯类肺炎克雷伯菌(CRKP),药敏试验提示对黏菌素、头孢他啶阿维巴坦敏感,对替加环素中介。

CRKP常见耐药基因为KPC(70.1%)、MBL(16.2%)、OXA-48(2.6%)。分析本例患者感染CRKP的危险因素包括:宿主免疫抑制(长期使用激素及免疫抑制剂)、反复肺部感染、长期使用抗生素、肾衰竭。根据2021年《中国碳青霉烯耐药肠杆菌科细菌感染诊治与防控专家共识》,对于CRKP的治疗,头孢他啶阿维巴坦对于包括产KPC酶在内的多重耐药革兰阴性杆菌均具有良好的抗菌活性,敏感率超过90%,可作为敏感CRE所致肺炎的首选治疗。头孢他啶阿维巴坦是头孢他啶和阿维巴坦组成的新型酶抑制剂复合制剂,可以恢复头孢他啶对临床重要耐药革兰阴性菌的抗菌活性。此外,阿维巴坦可抑制A类、C类和部分D类β-内酰胺酶(除class B金属酶)。

2023年2月9日停用两性霉素B胆固醇硫酸酯复合物,改为氟康唑0.8 g qd治疗。患者PCT和CRP逐渐下降,WBC相对平稳,PCT有升高趋势(表4)

表4  患者炎症指标及血小板变化情况

图片

图片

图9  患者用药及体温变化情况

2023年2月11日头部CT显示病灶较2月3日有所吸收(图10),胸部CT示双肺磨玻璃影和实变影较前减少(图11)
图片

图10  头部CT(2023-02-11)

图片

图11  胸部CT(2023-02-11)

患者于2023年2月14日病情好转后转回当地医院继续治疗。

小结

免疫抑制患者肺部感染病原体多样化,易出现少见病原体,早期快速识别病原体至关重要。多种病原体感染,如何解读mNGS报告、如何合理用药仍具有挑战性。免疫抑制患者应尽早减少免疫抑制药物的使用,提高免疫力。

作者简介


图片

李朋


  • 宜昌市中心人民医呼吸重症监护室
  • 主治医师,医学硕士
  • 主要研究方向为重症感染与感染免疫
  • 2021年于北京中日友好医院(国家呼吸医学中心)PCCM专修1年
  • 在重症肺炎、免疫抑制相关性肺炎、间质性肺疾病等方面积累了较丰富的诊治经验


本文根据“呼吸危重症菁英秀”第五十七期视频整理,感谢李朋医师予以审核。

全部评论 0
Copyright©2020-2026 北京医麦斯科技有限公司 版权所有 京ICP备2020034400号-1 京公网安备11010502043983号