登录方式

方式一:
PC端网页:www.rccrc.cn
输入账号密码登录,可将此网址收藏并保存密码方便下次登录

方式二:
手机端网页:www.rccrc.cn
输入账号密码登录,可将此网址添加至手机桌面并保存密码方便下次登录

方式三:
【重症肺言】微信公众号
输入账号密码登录

注:账号具有唯一性,即同一个账号不能在两个地方同时登录。

登录
方式

为重症救治赋能

为患者康复加速

当前位置: 首页 呼吸危重症菁英秀

病例分享|难治性肺部感染诊治

朱迎钢 复旦大学附属华东医院 发布于2024-05-29 浏览 1347 收藏

作者:朱迎钢

单位:复旦大学附属华东医院呼吸与危重症医学科

病情介绍

一般资料

18岁女性患者,因“厌食半年余, 痰多伴喘憋加重1周”于2022年6月21日入住我院消化内科。

现病史

既往体健,个人史无殊,就读于国外寄宿制学校。患者发病前1年体重70 kg,经过节食运动1个月,体重达到63 kg。之后服用多种减肥药物达半年之久,体重降至25 kg,出现厌食、催吐等表现。回国后于当地精神卫生中心就诊,诊断为“厌食症,抑郁症,双向情感障碍”,服用喹硫平75 mg,舍曲林50mg,氟西汀20 mg,氯硝西泮1 mg。

6月5日因“腹泻”外院就诊,血常规示:WBC 9.22×109/L,NEU% 82.2%,Hb 149 g/L,PLT 77×109/L,ALT 90 U/L,ALB 29.2 g/L,K 2.5 mmol/L。

6月12日复查血常规示:WBC 2.95×109/L,NEU% 76.3%,Hb 101 g/L,PLT 26×109/L,停用精神类药物。

6月19日低热伴气促加重,有进食呛咳,胸部CT两肺炎症,右肺部分不张,给予美罗培南抗感染,无创机械通气等。

6月21日入院后即给予留置胃管鼻饲。

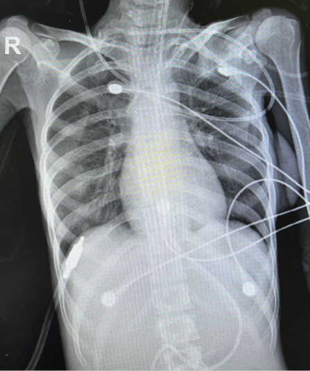
6月23日床旁胸片见右下肺少许炎症(图1)

6月25日晨突发癫痫伴氧饱和度下降,休克,即刻气管插管接机械通气。

请呼吸科和神经科会诊,考虑患者突发癫痫可能与代谢性脑病及使用碳青霉烯类药物有关。

图片

图1  患者胸部X线片(2022年6月23日)

 转入RICU

6月28日转入RICU,肠内+静脉营养,予哌拉西林他唑巴坦+莫西沙星抗感染治疗。

转入后相关检查

血常规:WBC 9.3×109/L,NEU% 93.1%,Hb 67 g/L,PLT 428×109/L,CRP 134.11 mg/L。

肝肾功能:ALB 33.4 g/L,ALT 42 U/L,BUN 11 mmol/L,Cr 16.5 μmol/L,Na 141 mmol/L,K 3.78 mmol/L。

凝血功能:PT 16.8 s,APTT 32.2 s,D-二聚体0.17 μg/ml。

心肌酶:CTnT 0.051 pg/ml,BNP 154 pg/ml。

血气分析:pH 7.482,PaCO2 4.58 mmHg,PaO2 18.93 mmHg(FiO0.65)。

转入诊断

神经性厌食;重度营养不良伴消瘦;吸入性肺炎;Ⅰ型呼吸衰竭(机械通气);心功能不全(NYHA Ⅳ级);低白蛋白血症;重度贫血。

病情变化

转入后在营养科和消化科的监测随访下,予精细化营养支持。

7月8日出现腹泻1000 ml/d,伴尿量进行性减少,血肌酐进行性升高。多学科会诊考虑急性肾损伤(AKI),感染相关性血小板减少。

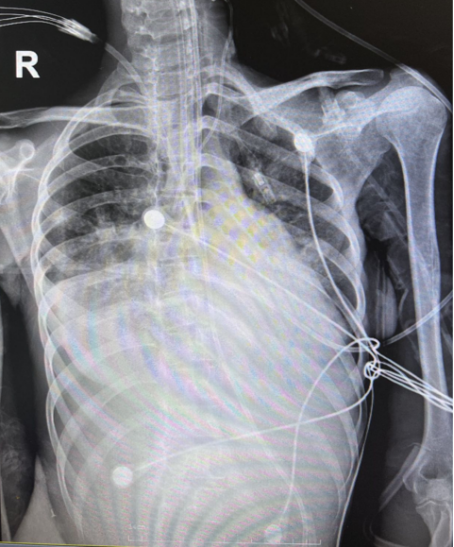
7月9日全身多发紫癜,弥散性血管内凝血(DIC)趋势。床旁胸片见右肺多发类结节样改变(图2)。血常规及生化等检查示:WBC 17.2×109/L,NEU% 92.8%,Hb 56 g/L,PLT 23×109/L,CRP 228.93 mg/L;ALB 21.6 g/L,BUN 41.7 mmol/L,Cr 185.5 μmol/L;CTnT 0.163 pg/ml;PT 16.7 s,APTT 45.5 s,D-二聚体8.28 μg/ml。

图片
图2 患者胸部X线片(2022年7月9日)

7月10日患者全身浮肿,无尿,大量腹水,予腹腔穿刺引流。

7月11日起行床旁血透。

治疗过程中, 患者出现窦性心动过速及反复低血糖, 给予输血及凝血酶原复合物、丙球、白蛋白支持, 抗凝, 糖皮质激素抗炎, 保护多脏器功能, 控制出入量。患者仍反复低热伴轻度气促。

7月13日下呼吸道抽吸物送检mNGS,结果回报:嗜麦芽窄食单胞菌(序列数605567),MRSA(序列数18335),铜绿假单胞菌(序列数3916),白念珠菌(序列数23585)。

治疗及临床结局

结合病原学结果及正在进行血透,7月15日开始将抗感染方案调整为头孢他啶+奥马环素+卡泊芬净。调整抗感染方案后的一段时间(7月15-30日),治疗效果相对比较理想,体温逐渐下降并趋于正常,腹泻好转,全身瘀斑逐步消退。

7月31日起再次发热,体温一度达到38.5℃。再次进行病原学检查,培养出嗜麦芽窄食单胞菌和铜绿假单胞菌,未发现MRSA。

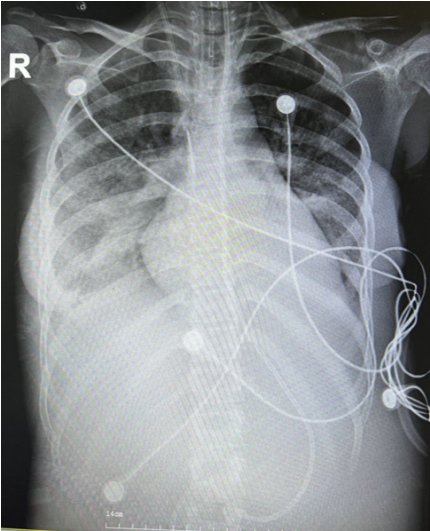
8月2日床旁胸片显示右肺多发类结节样改变,两下肺炎症较前增多,两侧少量胸腔积液(图3)。血常规及生化等检查示:WBC 8.0×109/L,NEU% 91.6%,Hb 56 g/L,PLT 33×109/L,CRP 45.69 mg/L,ALB 31.5 g/L,BUN 36.5 mmol/L,Cr 62.3 μmol/L,PT 14.7 s,APTT 34.0 s,D-二聚体2.00 μg/ml。

图片
图3  患者胸部X线片(2022年8月2日)
再次调整抗感染方案,先后予美罗培南+卡泊芬净治疗(8月1日-11日),奥马环素(8月12日-28日)。患者体温未见明显下降,持续发热。由于没有找到新的病原学证据,采取了降阶梯抗感染治疗策略,药物调整为左氧氟沙星+头孢米诺,后停用。
9月2日床旁胸片示两肺炎症(图4)。血常规及生化等检查:WBC 8.5×109/L,NEU% 90.5%,Hb 41 g/L,PLT 150×109/L,CRP 37.68 mg/L,PCT 1.21 ng/ml;ALB 34.0 g/L,BUN 47.1 mmol/L,Cr 83.3 μmol/L;CTnT 0.970 pg/ml,CK-MB 10.3 ng/ml,BNP 2705 pg/ml;PT 14.1 s,APTT 43 s,D-二聚体7.85 μg/ml。
10月8日,患者多部位出血,抢救无效去世。患者治疗过程中的用药及体温变化如图5和图6所示。
图片
图4  患者胸部X线片(2022年9月2日)
图片
图5  治疗过程中患者抗感染用药情况

图片

图6  治疗过程中患者体温变化(6月21日至9月6日)

小结与反思

患者从入院即给予精细化的营养支持(图7)。对于此类低体重厌食症患者,其肠道非常脆弱,在初始阶段无法积极补充营养。在纠正营养失衡的过程中,存在多种干扰因素。
图片
图7  患者营养治疗清单
(1)全身的营养状况影响治疗的反馈。一些感染患者在使用抗生素时,其营养状况以及透析等都会影响药物的治疗反馈。本例是极低体重的厌食症患者,尽管持续补充白蛋白,但一直未能恢复至正常水平,且患者处于重度贫血状态,对于此类难治性患者的药物合理选择仍然值得我们思考。
(2)复杂脏器功能受累,需要多学科协作。本例患者除了肺部感染,其消化功能、心功能、肾功能等均受累。因此,除了治疗肺部感染,还需要多学科合作,进一步完善管理,更好地评价患者实时状况变化,对于后续整体的支持治疗大有帮助。
(3)在漫长的治疗周期中,需要把握治疗时机。一般而言,厌食症患者的治疗周期都比较长,纠正患者的营养状况至少需要1年左右的时间,前半年维持机体的平衡状态,后半年才能够逐渐补充营养,使肌肉量得以增长,其功能的恢复也需要相当长的时间。厌食症患者的呼吸肌和膈肌功能均受到极大的影响。此类危重患者在长时间机械通气、气管切开以及拔管的时机选择方面都需要进行合理的安排。
对于难治的呼吸危重症患者,临床中仍需要更多的考量,包括患者及家属的意愿、经济负担等,要优化全程管理,为患者争取最佳预后。

作者简介


图片

朱迎钢


  • 复旦大学附属华东医院呼吸与危重症医学科
  • 副主任医师,硕士生导师
  • 中华医学会呼吸病学分会感染学组委员兼秘书
  • 中国医师协会呼吸医师分会危重症医学工作委员会青年委员
  • 中国医药教育协会感染专业委员会(IDSC)青年委员
  • 上海市医师协会呼吸内科医师分会委员兼秘书
  • 上海市医学会呼吸病学专科分会感染学组委员
  • 上海市医学会感染与化疗专科分会细菌感染与耐药防治学组委员
  • 欧洲呼吸机相关性肺炎雾化抗生素治疗协作专家组(ENAVAP)成员
  • THORAX中文版呼吸感染专刊编委

本文根据“呼吸危重症菁英秀”视频整理,感谢朱迎钢医师予以审核。

全部评论 0
Copyright©2020-2026 北京医麦斯科技有限公司 版权所有 京ICP备2020034400号-1 京公网安备11010502043983号