作者:李进华
患者,女,52岁,公司职员。入院时间:2022年7月28日。主诉:右下肢疼痛、活动受限,发热、少尿5天。
7月23日:右下肢疼痛伴活动受限,局部无明显红肿热痛,右侧腹股沟处可见皮肤破损及脓性分泌物。
7月24日:发热,体温最高39.2℃,伴乏力、胸闷气促,于当地诊所对症处理。
7月26日:小便量明显减少,每日小便量小于400 ml,于我院某科就诊。
7月28日:入住该科ICU。查体:体温37.1℃,脉搏98次/分,呼吸20次/分,血压150/65 mmHg;身高158 cm,体重80 kg,BMI 32.0 kg/m2。营养良好,神志谵妄,查体欠合作,全身浅表淋巴结未触及肿大。右侧腹股沟处可见皮肤破损,有脓性分泌物。双下肺可闻及少许湿啰音。心腹查体未见明显异常。双下肢无浮肿。患者5岁时因先天性髋关节脱位行右股骨钢板内固定术,1996年行剖宫产手术。否认肝炎、结核、疟疾病史,否认高血压、心脏病病史,否认脑血管疾病、精神疾病病史,否认外伤、输血史,否认药物过敏史。预防接种史不详。父母均患有2型糖尿病。个人史、月经史、婚育史均无特殊。
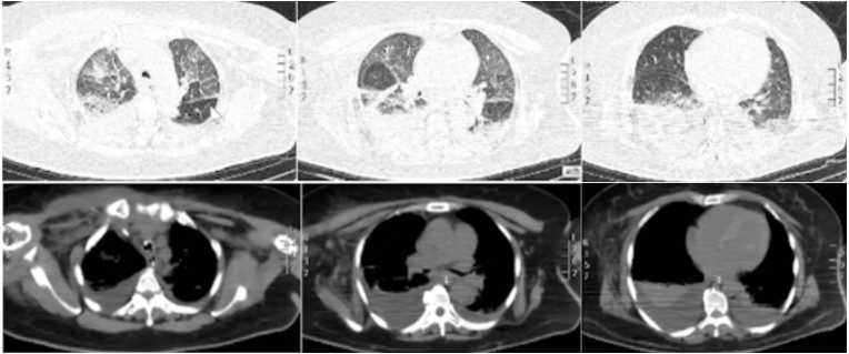
入院时查动脉血气(鼻导管吸氧2 L/min):pH 7.30,PaCO2 49 mmHg,PaO2 83 mmHg,HCO3- 24.1 mmol/L,SaO2 95%。血常规:WBC 13.13×109/L,Hb 123 g/L,NEU% 91.2%(↑)。PCT>100.0 ng/ml,CRP>200 mg/L。CREA 287.0 μmol/L,BUN 24.90 mmol/L。查骨盆X线示右股骨上段骨折内固定术后改变,双侧股骨头缺血坏死并髋关节退变,合并右髋关节脱位。胸部CT(7月28日):双下肺渗出、实变,双侧胸膜下少许胸腔积液(图1)。图1 患者入院后胸部CT
①脓毒血症,皮肤软组织感染;②社区获得性肺炎(CAP);③双侧股骨头缺血性坏死,右侧髋关节脱位;④急性肾功能不全;⑤2型糖尿病。
美罗培南1 g ivgtt q12h+万古霉素0.5g ivgtt q8h抗感染。7月29日凌晨因患者意识障碍行经口气管插管,气管镜检查见气道黏膜无肿胀,气道内未见明显分泌物。
7月30日血培养报阳—金黄色葡萄球菌(需氧瓶12小时报阳);7月28日血mNGS结果提示金黄色葡萄球菌(序列数862)。
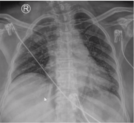
经抗感染治疗后患者仍反复发热,最高体温39.0°C。患者插管当天及插管后6天的血气分析和炎症指标如表1和表2所示,氧合较前好转,炎症指标下降。胸部X线片未见明显进展(图2)。
表2 患者插管前后炎症指标变化情况
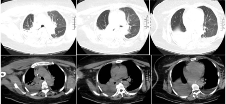
8月5日:拔管,序贯高流量氧疗,支气管镜下见隆突较多分泌物,气道黏膜无肿胀,远端气道未见分泌物。病原学结果陆续回报。【8月3日】肺泡灌洗液NGS回报鲍曼不动杆菌(序列数6152),人疱疹病毒1型(序列数215092),白色念珠菌(序列数3)。据此结果加用阿昔洛韦500 ivgtt q8h抗病毒。【8月7日】BALF培养鲍曼不动杆菌(++++),【8月8日】CVC导管尖端培养及痰培养结果均为鲍曼不动杆菌及白色念珠菌。8月8日:患者出现神志障碍,血氧饱和度低、呼吸浅快。血气分析(高流量湿化氧疗,氧浓度100%):pH 7.39,PaCO2 61 mmHg,PaO2 81 mmHg,HCO3- 36.9 mmol/L,SaO2 96%。考虑存在Ⅱ型呼吸衰竭及肺性脑病,遂再次经口气管插管,气管镜下见气道黏膜水肿明显,各支气管见大量白色黏稠痰液。血常规检查:WBC 6.72×109/L,Hb 77 g/L,NEU% 90.5%,PCT 1.30 ng/ml,CRP 126.0 mg/L。加用伏立康唑200 mg ivgtt q12h(首剂400 mg)抗真菌,硫酸黏菌素75万IU q12h持续微量泵入+25万IU q12h雾化吸入,以覆盖不动杆菌属。药敏试验结果提示泛耐药鲍曼不动杆菌,对黏菌素/多黏菌素、复方新诺明敏感,对替加环素中度敏感。插管第2天(8月9日)复查胸部CT:右上肺实变较前明显加重,双侧胸腔积液较前明显增多(图3)。更改抗生素治疗后患者仍每日发热,但最高体温较前稍下降,波动于38.0~38.5°C之间,8月10日两次血培养结果提示白色念珠菌(需氧瓶1天7小时及1天8小时报阳),8月12日停用万古霉素,改为利奈唑胺600 mg ivgtt q12h治疗。8月8日及8月12日炎症指标变化如表3所示。由于患者无法脱机拔管,为求进一步诊治,于8月13日转至我科ICU。患者自起病以来前期精神、睡眠一般,现插管镇静镇痛状态,大便正常,小便量明显减少,体重无法评估。体温37.2℃,脉搏90次/分,呼吸20次/分,血压140/86 mmHg,SpO2 95%(经口气管插管接有创机械通气,APV-CMV模式,氧浓度70%,潮气量320 ml,机控频率15次/分,PEEP 5 cmH2O)。患者肥胖体型,营养良好,神志清楚;双肺叩诊清音,双下肺可闻及部分湿啰音;心界无扩大,心率90次/分,律齐,无杂音;腹部平软,全腹无压痛及腹肌紧张,肝、脾肋缘下未触及,肠鸣音正常。双下肢轻度凹陷性水肿,双下肢皮肤无色素沉着。右侧腹股沟处可见皮肤破损,有脓性分泌物。肛门皮肤红肿,无明显溃烂。中年女性,急性病程;主要症状为下肢疼痛活动受限,局部有感染,持续发热,少尿;查血象、感染指标高,有血源及肺部感染;拔管后短时间内再插管,后续脱机拔管困难。①脓毒血症,血流感染,皮肤软组织感染,急性肾损害,低蛋白血症,中度贫血;②重症肺炎,Ⅱ型呼吸衰竭;③双侧股骨头缺血性坏死并右侧髋关节脱位;④右股骨上段骨折内固定术后;⑤2型糖尿病。患者入我科之前,颈内静脉导管尖端培养、痰培养、血及BALF培养均提示泛耐药鲍曼不动杆菌。对黏菌素/多黏菌素、复方新诺明、 米诺环素敏感,对替加环素中度敏感。
鲍曼不动杆菌抗感染药物治疗选择
- 非多重耐药鲍曼不动杆菌感染:可根据药敏结果选用β-内酰胺类抗生素等抗菌药物。
- MDRAB感染:根据药敏结果选用头孢哌酮/舒巴坦、氨苄西林/舒巴坦或碳青霉烯类抗生素,可联合应用氨基糖苷类抗生素或氟喹诺酮类抗菌药物等。
- XDRAB感染:常采用两药联合方案,甚至三药联合方案:①以舒巴坦或含舒巴坦的复合制剂为基础的联合,联合以下一种:米诺环素(或多西环素)、多黏菌素、氨基糖苷类抗生素、碳青霉烯类抗生素等;②以多黏菌素为基础的联合,联合以下一种:含舒巴坦的复合制剂(或舒巴坦)、碳青霉烯类抗生素;③以替加环素为基础的联合,联合以下一种:含舒巴坦的复合制剂(或舒巴坦)、碳青霉烯类抗生素、多黏菌素、喹诺酮类抗菌药物、氨基糖苷类抗生素。
- PDRAB感染:常需通过联合药敏试验筛选有效的抗菌药物联合治疗方案。
黏菌素是临床治疗鲍曼不动杆菌感染的常用药物,目前国内外有3种多黏菌素类药物,可以根据感染部位不同和所能获得的药物情况选择应用【硫酸多黏菌素B(50万U=50 mg),多黏菌素E甲磺酸钠(100万U≈80 mg CMS≈33 mg CBA),硫酸多黏菌素E/硫酸黏菌素(50万U=22.03 mg)】。
侵袭性感染优先选择硫酸多黏菌素B全身应用,因为多黏菌素B在人体有更优的药代动力学特性和更低的肾毒性风险。下尿路感染可以优先选择多黏菌素E甲磺酸钠,因大部分从肾脏排泄的多黏菌素E甲磺酸钠在下尿路转化为有活性的多黏菌素E而发挥作用。硫酸多黏菌素E的临床药理数据较少,需进行健康受试者以及患者的PK/PD研究,但因其本身即为药物活性形式,切不可参照多黏菌素E甲磺酸钠的PK/PD数据。美罗培南1 g ivgtt q12h+利奈唑胺600 mg ivgtt q12h+注射用硫酸多黏菌素B 75万IU ivgtt q12h,雾化25万lU q12h。卡泊芬净50 mg ivgtt qd(首剂75 mg)。
血常规:WBC 5.68×109/L,Hb 68 g/L,PLT 219×109/L,NEU% 82.7%,LYM% 11.3%。
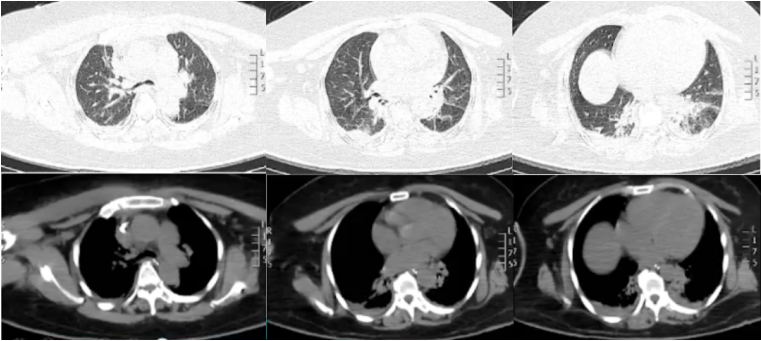
炎症指标:CRP 124 mg/L,ESR>140 mm/h,PCT 1.6 ng/ml。血气分析:pH 7.520,PaCO2 49.0 mmHg,PaO2 85.0 mmHg,cLac 0.8 mmol/L,cHCO3- 40.0 mmol/L,BE 15.7 mmol/L,SpO2 97%。肝肾功能电解质:ALT 41.0 U/L,AST 36.7 U/L,TP 68.4 g/L,ALB 32.9 g/L,GLO 35.5 g/L,BUN 28.9 mmol/L,Crea 236.0 μmol/L,Na 152.6 mmol/L,K 4.15 mmol/L,Cl 107.9 mmol/L。心肌酶学:LDH 316.5 U/L,CK 45.0 U/L,CK-MB 19.1 U/L,cTnT 29.74 pg/ml,BNP 1514 pg/ml。大小便常规、尿沉渣、凝血功能、乙丙肝、HIV、梅毒均未见明显异常。淋巴细胞亚群:T淋巴细胞绝对计数471个/μl(↓),CD4+T淋巴细胞绝对计数316个/μl(↓),CD8+T淋巴细胞绝对计数126个/μl(↓),NK细胞绝对计数44个/μl(↓)。免疫球蛋白:免疫球蛋白lgG 7.62 g/L(↓),免疫球蛋白lgA 3.32 g/L(↓),免疫球蛋白lgM 0.73 g/L(↓),免疫球蛋白lgE 7488.00 ng/ml(↑)。心脏彩超:二、三尖瓣轻度反流,左室收缩功能测值正常范围,射血分数63%。胸部CT(8月15日):双侧胸腔积液较前增多,右上肺可见实变影及磨玻璃影,少量小叶间隔增厚,病灶较前进展。
支气管镜检查(8月14日):镜下见双侧支气管黏膜充血肿胀,未见明显分泌物(图5)。细菌+真菌培养、GM试验均阴性。多联病原体核酸检测:鲍曼不动杆菌、肺炎克雷伯杆菌。8月16日痰培养示鲍曼不动杆菌,两次血培养均阴性。
患者入我科前的出入量控制欠佳,基本为正平衡(表4)。除了上述多黏菌素B+替加环素+卡泊芬净抗感染治疗,在患者入科后还为其拔出锁骨下静脉置管重新置入PICC,更换导尿管。同时保持出入量为负平衡(图6)。

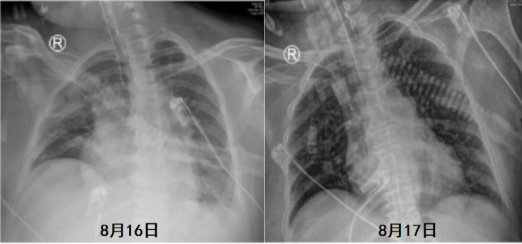
经过上述治疗,患者炎症指标有所下降(表5),胸部X线片较前好转(图7)。
8月19日复查血气分析(呼吸机辅助呼吸,SPONT模式,PSV 18 cmH2O,PEEP 8 cmH2O,氧浓度35%):pH 7.520,PaCO2 56.0 mmHg,PaO2 144.0 mmHg,SaO2 99%。SBT通过,复查支气管镜见气道内少许分泌物,黏膜光滑无肿胀,于8月19日脱机拔管,序贯无创呼吸机辅助呼吸。气管导管尖端培养、灌洗液培养(8月19日送检)均为肺炎克雷伯杆菌;血培养(8月16日送检)为白色念珠菌。血NGS回报金黄色葡萄球菌(序列数3),覆盖度0.01%。继续延用替加环素+多黏菌素B+卡泊芬净的治疗方案。患者8月19日拔管后仍出现反复发热,考虑仍与感染有关。然而,从8月21日胸部X线片可见肺部病变有所好转(图8)。8月22日胸部CT可见两侧胸腔积液明显吸收,双肺实变、渗出灶较前明显好转(图9)。考虑患者发热的原因可能并非肺部感染。8月23日查体见患者背部、腹股沟区、左下肢点片状红疹。考虑可能为药物热所致,遂停用多黏菌素B、替加环素,改为哌拉西林他唑巴坦4.5 g ivgtt q8h抗感染治疗,继续卡泊芬净抗真菌治疗。调整治疗方案后患者最高体温下降,但仍有发热。为了排查感染问题,8月26日拔除PICC管,之后2~3天,患者体温逐渐恢复正常。因此考虑患者可能合并血流感染。之后患者一般情况好转,8月27日复查胸部X线片提示病情进一步好转(图10)。8月29日转入普通病房,后一直未再发热,9月13日出院。
①脓毒血症(鲍曼不动杆菌,白色念珠菌),血流感染,皮肤软组织感染,急性肾功能不全;②重症肺炎(鲍曼不动杆菌、肺炎克雷伯菌),Ⅱ型呼吸衰竭;③双侧股骨头缺血性坏死,右侧髋关节脱位;④右股骨上段骨折内固定术后;⑤2型糖尿病。
对于插管上呼吸机的重症肺炎患者,出入量的管理至关重要,尽量维持负平衡。院感的防控对于患者预后有重要影响。有效控制插管患者的院内感染,能够避免二次插管,缩短住院或住ICU时间,降低医疗费用。对于CRO感染,可选药物有限,结合指南及临床经验,多黏菌素是治疗CRO感染联合治疗的有效“武器”,相较于其他多黏菌素类药物,侵袭性感染推荐优先选择硫酸多黏菌素B全身应用,因为多黏菌素B在人体有更优的药代动力学特性和更低的肾毒性风险。对于持续发热患者,若强效抗感染治疗后体温仍无好转,需考虑导管相关感染及药物热等非感染因素可能。

- 主持国家自然科学基金课题1项,湖南省自然科学基金课题1项,湖南省医学会医学科研基金1项
本文根据“呼吸危重症菁英秀”视频整理,感谢李进华医师予以审核。