登录方式

方式一:
PC端网页:www.rccrc.cn
输入账号密码登录,可将此网址收藏并保存密码方便下次登录

方式二:
手机端网页:www.rccrc.cn
输入账号密码登录,可将此网址添加至手机桌面并保存密码方便下次登录

方式三:
【重症肺言】微信公众号
输入账号密码登录

注:账号具有唯一性,即同一个账号不能在两个地方同时登录。

登录
方式

为重症救治赋能

为患者康复加速

当前位置: 首页 呼吸危重症菁英秀

一例新冠肺炎患者的救治

汪志方 同济大学附属杨浦医院 发布于2024-05-29 浏览 857 收藏

作者:汪志方

单位:同济大学附属杨浦医院

病史介绍

一般情况

患者,男性,86岁。2022年12月28日入院。主诉:反复咳嗽、咳痰20年,气促7年,加重伴发热2天。

现病史

患者20年前开始出现咳嗽、咳痰,7年前开始出现活动后气促不适,于我院诊断为慢阻肺,曾经使用噻托溴铵、噻托溴铵+福莫特罗等治疗,后因症状控制不佳近1年使用布地格福吸入治疗。入院2天前出现症状加重,伴有高热,静息吸氧有气促不适,门诊查新冠核酸阳性。为进一步诊疗收入病房。

既往史及其他

冠心病、阵发性心房颤动、高血压病、前列腺增生症。吸烟史:20支/天,60年。

既往肺功能

2017年4月26日肺功能检查提示中度混合性通气功能障碍,FEV1/FVC 54.80%,FEV1占预计值50.8%;弥散功能轻度减退,中央气道、总气道阻力正常。近几年患者肺功能逐渐下降,已经无法完成肺功能检查。

入院后检查

血气分析:在吸氧超过5 L/min的情况下,pH 7.488,PaCO2 5.3 kPa(40 mmHg),PaO2 7.4 kPa(55.5 mmHg)。患者存在明显的低氧血症,Ⅰ型呼吸衰竭。
生化指标:;葡萄糖8.84 mmol/L(↑),乳酸脱氢酶(LDH)453 U/L(↑),肌酸激酶(CK)284 U/L(↑),白介素-6(IL-6)63.95 pg/ml(↑),其余指标基本正常。
心电图:窦性心动过速;Ⅰ度房室传导阻滞,完全性右束支传导阻滞。
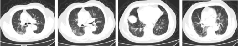
入院前胸部CT(2022-12-27):双肺弥漫性间质性改变,胸膜下为主,提示肺气肿合并间质性改变,考虑慢阻肺合并病毒性肺炎(图1)

图片
图1  患者入院前胸部CT(2022-12-27)
初步诊断
①病毒性肺炎,Ⅰ型呼吸衰竭;②慢阻肺伴急性加重;③冠心病,阵发性房颤,心功能3级;④前列腺增生症。

诊疗经过

诊疗计划

纠正呼吸衰竭:鼻导管+面罩吸氧,5 L/min。【鉴于当时情况,呼吸机数量无法满足大量新冠病毒感染患者的需要,诸如本例患者的情况,多予鼻导管吸氧或面罩吸氧】
患者既长期使用激素,并于医院门/急诊使用过抗生素,考虑存在细菌感染的可能,予哌拉西林/他唑巴坦抗感染

抗病毒:奈玛特韦/利托那韦

甲泼尼龙40 mg qd抗炎。

布地奈德+异丙托溴铵雾化吸入解痉平喘

化痰:桉柠蒎肠溶胶囊、氨溴索。

其他:阿米洛利、呋塞米利尿;比索洛尔控制心率;低分子肝素抗凝;阿托伐他汀钙降血脂、稳定斑块;雷贝拉唑护胃。

病情进展

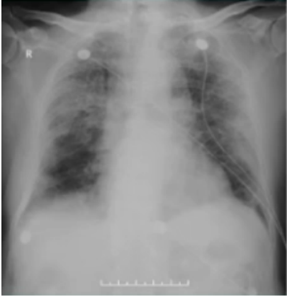
患者体温正常,但气促进行性加重,面罩吸氧10 L/min仍然呼吸窘迫,呼吸频率30~40次/min,查体可闻及肺部弥漫性细湿啰音。2023年1月9日床边胸片提示双肺间质性改变,右上肺明显(图2),IL-6、CRP、D-二聚体均进行性上升。复查新冠核酸阴性。

图片
图2  床边X线胸片(2023-01-09)
治疗思路

对于此类病情进展迅速的患者,我们主要从抗炎策略、呼吸支持、抗凝治疗方面以及内环境方面考虑。

调整治疗方案

纠正呼吸衰竭:无创呼吸机辅助通气。

抗感染:哌拉西林/他唑巴坦抗感染。

甲泼尼龙40 mg q12h+巴瑞替尼4 mg qd抗炎(2023年1月10日起)。

布地奈德+异丙托溴铵雾化吸入解痉平喘。

化痰:桉柠蒎、氨溴索。

其他:抗凝、稳定斑块、维持内环境稳定、支持治疗等。

病情缓解

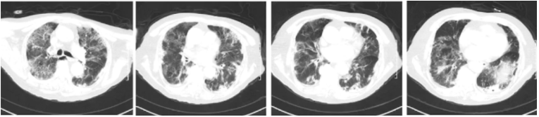
加用巴瑞替尼后患者病情稍有好转,能间断脱离无创呼吸机,改为鼻导管吸氧,呼吸频率25~30次/min,查体可闻及肺部散在细湿啰音。2023年1月13日床边胸片提示双肺间质性改变,较前有所吸收(图3)。1月19日复查胸部CT提示:肺气肿合并间质性改变,考虑病毒性肺炎趋于平稳期(图4)

图片
图3  床边X线胸片(2023-01-13)
图片
图4  复查胸部CT(2023-01-19)
调整治疗方案

甲泼尼龙减量至40 mg qd(1月19日起),随后逐渐减量至20 mg qd(2月2日起)。

抗纤维化:吡非尼酮200 mg tid po,并逐渐加量(患者自诉无法耐受、停用)。

规则吸入布地格福,按需使用沙丁胺醇。

化痰:桉柠蒎、氨溴索。

其他:抗凝、稳定斑块、维持内环境稳定、支持治疗等。

病情再次反复
2月5日起患者出现间断低热,纳差、乏力,进食量少,其一般情况进行性加重,甚至无法坐位,依赖呼吸机;激素使用后体温正常,但夜间仍有低热。
治疗思路
患者激素使用时间较长,是否出现了机会性感染,或者病毒复阳?此外,患者气促症状加重,是否为肺纤维化再次加重,以及其他的原因,如内环境紊乱、深静脉血栓、肺栓塞等。
逐一排查

机会性感染:清洁口腔后诱导痰送检NGS;

病毒复阳:再次测新冠核酸阴性;

肺纤维化:复查胸片较前无明显变化;

其他:风湿免疫指标、肌炎指标均阴性。

疑似感染
在NGS回报的结果中发现高序列数(4155)的CMV,疑似感染。
症状出现
2月10日起患者出现口唇疱疹,布满口唇及鼻腔。考虑为长期使用激素后出现的机会性CMV感染。
调整治疗方案

纠正呼吸衰竭:无创呼吸机辅助通气;
甲泼尼龙继续减量至16 mg qd;
抗病毒治疗:伐昔洛韦;
外用药物:龙珠软膏;

营养支持:口服营养液。

康复治疗

鼻导管吸氧,氧饱和度维持在95%以上;

甲泼尼龙12 mg qd维持;

规则吸入布地格福,按需使用沙丁胺醇;

康复治疗:床上坐位→ 床边坐位→ 站立位→ 床边活动→ 室内活动

化痰:桉柠蒎、氨溴索;

其他:抗凝、稳定斑块、维持内环境稳定、支持治疗等。

疗效分析
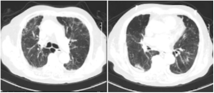
患者鼻导管吸氧2 L/min,2023年3月7日复查血气分析,PaO10.1 kPa(75.8 mmHg),SpO2能维持在95%以上。3月13日再次复查胸部CT,可见肺部间质性病变较前进一步吸收(图5)

图片

图5  复查胸部CT(2023-03-13)

思考与总结

相较于GOLD 2022,GOLD 2023在慢阻肺与COVID-19这一章节并无原则性的修订,共新增19篇文献,主要补充了慢阻肺与COVID-19的新证据。WHO制定COVID-19治疗生活指南,目前推荐使用抗病毒药物、糖皮质激素、IL-6受体阻滞剂和巴瑞替尼等治疗。欧洲呼吸学会还制定了一份关于COVID-19住院成人管理的实施指南,但尚无上述疗法在慢阻肺患者中进行有效性分析。本例患者是典型的重度慢阻肺患者,慢阻肺评估分组为E组,且合并COVID-19。我们选择了奈玛特韦/利托那韦、糖皮质激素和巴瑞替尼三联药物维持治疗。既往多项研究发现,三联治疗能够显著降低急性加重率和全因死亡率,无急性加重时间延长,显著提高肺功能及生活质量。
本例患者病情加重可能与炎症风暴有关。Fajgenbaum等将炎症风暴定义为由多种因素触发机体循环中细胞因子水平迅速升高和免疫细胞过度活化并危及生命的全身炎症综合征,强调机体正常和失控的炎症反应之间界限的重要性。炎症风暴的诊断需要符合三条标准:循环中细胞因子大量增加,急性系统性炎症反应症状和由炎症导致的器官功能障碍。其中有很多驱动因素,包括医源性因素、病毒、肿瘤等。其中,最关键的是免疫系统,如CD4+T细胞、CD8+T细胞、调节性T细胞等,可能导致细胞因子风暴。新冠病毒通过S蛋白结合到靶细胞,进步激活NF-κB、JAK-STAT信号通路,产生大量的炎症因子,肺部出现“大白肺”等表现,或者出现全身多器官功能衰竭。在治疗时,我们通常会选用针对NF-κB、JAK-STAT信号通路的抑制剂,例如糖皮质激素和巴瑞替尼。此外,还有一个非常关键的炎症因子——IL-6。本例患者病程中IL-6升高非常明显,在病情缓解时,IL-6也进行性下降。然而,我们不能仅通过IL-6的变化来判断炎症风暴是否得到控制,最重要的是观察CRP的变化情况。

在不明确是何种病原体感染时,NGS可以提供一定的帮助确定病因。本例患者后续出现发热症状的原因最终通过NGS明确了是CMV感染。NGS能够帮助临床医生快速查找病因,是临床工作中的一大助力。

参考文献

(向下滑动查看全部)

[1] Agustí A, Celli BR, Criner GJ, et al. Global Initiative for Chronic Obstructive Lung Disease 2023 Report: GOLD Executive Summary[J]. Eur Respir J, 2023, 61(4):2300239.

[2] Fajgenbaum DC, June CH. Cytokine Storm[J]. N Engl J Med, 2020, 383(23):2255-2273.

[3] 《中华传染病杂志》编辑委员会. 中国宏基因组学第二代测序技术检测感染病原体的临床应用专家共识[J]. 中华传染病杂志, 2020, 38(11):681-689.

作者简介


图片

汪志方


  • 同济大学附属杨浦医院呼吸与危重症医学科副主任

  • 硕士,副主任医师,同济大学医学院讲师

  • 上海市第八批援鄂医疗队队员

  • 获2020年同济大学五四青年奖章

  • 参与国自然面上项目及上海市卫生局项目各1项,主持院级课题2项

  • 已发表论文10余篇,SCI论文1篇,实用新型专利1项

  • 中国医师协会呼吸医师分会危重症学组青年委员

  • 上海市医学会呼吸病学专科分会危重症学组委员

  • 上海市慢病管理学会青年委员

  • 上海市中西医结合学会呼吸系统疾病专业委员会青年委员

  • 上海市抗癌协会肿瘤呼吸内镜专委会委员

  • 上海市杨浦区医学会呼吸与危重症医学专业委员会秘书、委员


本文根据“呼吸危重症菁英秀”视频整理,感谢汪志方医师予以审核


全部评论 0
Copyright©2020-2026 北京医麦斯科技有限公司 版权所有 京ICP备2020034400号-1 京公网安备11010502043983号