登录方式

方式一:
PC端网页:www.rccrc.cn
输入账号密码登录,可将此网址收藏并保存密码方便下次登录

方式二:
手机端网页:www.rccrc.cn
输入账号密码登录,可将此网址添加至手机桌面并保存密码方便下次登录

方式三:
【重症肺言】微信公众号
输入账号密码登录

注:账号具有唯一性,即同一个账号不能在两个地方同时登录。

登录
方式

为重症救治赋能

为患者康复加速

当前位置: 首页 呼吸危重症菁英秀

多黏菌素B在老年新冠肺部感染中的应用

董敏 甘肃省中医院 发布于2024-05-29 浏览 1130 收藏

作者:董敏

单位:甘肃省中医院呼吸与危重症医学科

病情介绍

基本信息

患者,男,74岁,身高164 cm,体重64 kg,BMI 23.8 kg/m2。退(离)休人员。主诉:间断发热、寒战、气短3天。

现病史

患者自诉入院3天前无明显诱因出现发热、寒战、气短,Tmax 38.5℃,自服“安乃近、感冒颗粒、酚氨咖敏片”(具体剂量不详),上述症状缓解不明显。遂就诊于附近诊所,予“999感冒灵颗粒、罗红霉素”(具体剂量不详)治疗。5小时前患者再次出现寒战,Tmax 39.0℃,伴气短,心慌明显。遂至我院急诊科就诊。查血常规:WBC 8.71×109/L,MON 0.09×109/L,LYM 0.37×109/L,NEU 8.03×109/L,PLT 35×109/L,CRP 129.91 mg/L。胸部CT示:①右肺下叶外侧、基底段异常密度;②双肺及胸膜下多发结节,部分钙化;③肝脏多发异常密度,考虑囊肿;肝左叶团块影,建议增强扫描检查。为求进一步治疗,由急诊以“节段性肺炎,肺占位性病变(原因待查)”收住入院。刻下症见:患者神志清,精神一般,急性热病面容,暂无寒战,气短,无胸闷,咳嗽、咳痰,无心慌,汗出,无头晕、头痛,食纳可,夜寐欠安,二便调。近期体重未见明显变化。

既往史

家属代诉既往体健。

入院查体

T 38.1°C,P 115次/分,RR 22次/分,BP 110/73 mmHg。发育正常,营养良好,急性热病面容。双肺呼吸音粗,未闻及明显干/湿啰音。心脏、腹部查体未见异常。双下肢无明显水肿,病理征未引出。

普通病房治疗

入院后予以莫西沙星+头孢曲松抗感染等治疗,2023年4月3日上午09:00患者再次出现寒战,嗜睡、心悸,血压、血氧饱和度进行性下降,测血压84/60 mmHg,SpO2 50%,遂转入RICU。

转入RICU后辅助检查

血常规+CRP :WBC 8.71×109/L,MON 0.03×109/L,LYM 1.60×109/L,NEU 4.59×109/L,PLT 8×109/L。CRP 128.4 mg/L。
生化:BUN 17.59 mmol/L,Crea 125 μmol/L,GLU 11.46 mmol/L。ALB 30.6 g/L,ALT 54 U/L,AST 59 U/L。
PCT>50 ng/ml,ST2 374.66 ng/ml。
凝血常规+D-二聚体:PT 118.2 s,INR 1.61,APTT 56.3 s,FIB 1.91 g/L,FDP 388.1 μg/ml。
心肌酶:肌红蛋白465.15 ng/ml,NT-proBNP 4074.54 pg/ml,cTnI 0.02 ng/ml。D-二聚体>10 mg/L。
新冠病毒核酸检测阳性。
血气分析(FiO2100%):pH 7.19,PaO2 93 mmHg,PaCO2 49.1 mmHg,P/F 93 mmHg,Lac 2.6 mmol/L。
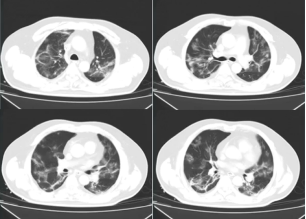
胸部CT:双肺多发片絮状,考虑感染;右肺上叶前段及左肺下叶多发结节(图1)

图片
图1  患者胸部CT

腹部CT:肝脏多发小囊肿;肝左叶稍低密度;双肾周积液、双肾周围渗出性改变;左肾下极小结石;右下腹管状致密影,导尿管置入后改变。
腹部超声:肝囊肿(多发);肝左叶混合性占位(性质待定,肝脓肿?)。
心脏彩超:右心房内高回声团(多考虑右房黏液瘤);主动脉瓣钙化伴反流(轻度);三尖瓣反流(轻度);左室舒张功能不全(Ⅰ级)。EF 60%,E/e>14,TAPSE>17 mm。
新型冠状病毒核酸检测阳性,CT值:O值 27.5,N值26.9。
G、GM试验阴性,空腹血糖9.2 mmol/L。

转入诊断
①脓毒血症,脓毒性休克;②弥散性血管内凝血(DIC),凝血功能障碍,血小板减少症;③重症肺炎;④新型冠状病毒感染;⑤肺栓塞?⑥高毒力肺炎克雷伯菌侵袭性肝脓肿?转氨酶升高;⑦2型糖尿病?⑧低白蛋白血症;⑨右房黏液瘤?⑩心律失常,窦性心动过速。

 二

诊疗经过

转入后血压下降至84/60 mmHg,cLac 8.1 mmol/L。启动SSC 1 h Bundle。

气管插管序贯有创机械通气:V-A/C模式,VT 420 ml,PEEP 5 cmH2O,FiO2 80%,R 16次/分。
床边CRRT(CVVHDF):血泵115 ml/h。鉴于患者当时血流动力学不稳定,DIC状态,所以采取零脱水、零肝素策略。
纠正DIC,补充血小板:冷沉淀1 U,悬浮红细胞600 ml,血小板1 U。
病原微生物留取及抗生素:①使用抗生素前,留取血培养、气道分泌物病原微生物培养;②抗感染治疗(4月3-7日):美罗培南1 g ivgtt q6h+万古霉素1 g ivgtt q12h,伏立康唑0.3 g ivgtt q12h。③抗病毒治疗(4月3-7日):奈玛特韦/利托那韦片300 mg q12h鼻饲。
液体复苏。
血管活性药物:去甲肾上腺素0.1 μg/(kg·min),多巴胺0.08 μg/(kg·min)。
经过上述治疗,患者血压、血氧回升,乳酸下降;去甲肾上腺素用量减至0.05 μg/(kg·min)。

病原学检查

气管插管后床旁支气管镜检查,送检痰涂片、肺泡灌洗液(BALF,多次)、血培养以及NGS外检。痰涂片回报:革兰阳性球菌和革兰阴性杆菌均少量;培养出鲍曼不动杆菌。BALF涂片发现少量革兰阳性球菌,培养出鲍曼不动杆菌。血培养结果为阴性。

甲、乙流感核酸检测阴性;新型冠状病毒核酸检测阳性。

NGS结果:鲍曼不动杆菌(序列数756705),嗜麦芽窄食单胞菌(序列数1344742),肺炎克雷伯菌(序列数3494);烟曲霉(序列数1852);人类疱疹病毒1型(序列数99676),新型冠状病毒(序列数79802)。

调整治疗方案

4月8日,根据上述病原学和药敏试验结果,调整治疗方案为:替加环素100 mg q12h静脉滴注,多黏菌素B 75万U q12h静脉滴注,多黏菌素B 25万U q12h雾化吸入。患者后期肝功能指标异常,因此将伏立康唑改为米卡芬净150 mg qd静脉滴注。

营养支持

患者NRS 2002评分7分,NUTRIC评分6分。根据营养评分结果和RICU营养监测表,为其制定了营养支持方案,抬高床头35~45°,同时监测患者对肠内营养(EN)的耐受性:早期(第1~3天):肠内营养乳剂(TPF-T)25~30 ml/h(空肠营养管,营养泵输注);中期(第3~7天):肠内营养乳剂(TPF-T)45~60 ml/h(空肠管喂养,营养泵输注);后期(第8~10天):肠内营养乳剂(TPF-T)65 ml/h(空肠管喂养,营养泵输注)。最终达到目标能量1860 kcal,兼顾补充电解质、白蛋白。全程予甲氧氯普胺q12h静脉注射,雷贝拉唑钠肠溶片20 mg bid鼻饲减轻患者胃肠道反应。

中医治疗

穴位贴敷(足三里、脾俞、肺俞、中脘、合谷穴、神阙等),益气健脾,改善胃肠功能。
中药灌肠(健胃清肠合剂),清肠通便。
中医定向透药(三阴交、涌泉、神门、内关穴等),安神助眠。

拔管前评估

4月12日进行床旁评估,尝试拔管。

SBT评估时间为30 min,结果阴性。
咳嗽峰流速135 L/min,咳嗽评分4分。
气囊漏气试验阴性,漏气量163 ml,漏气比为34%。
膈肌超声评估:膈肌活动度1.1 cm,吸气末膈肌厚度2.9 mm,呼气末膈肌厚度2.2 mm,膈肌增厚度分数24%。
4月12日胸部X线片可见患者肺部病灶较前吸收(图2),CT值逐渐升高(27.4→30.6→33.2)。

图片
图2  患者拔管前胸片变化

拔管后胸部CT可见斑片样渗出明显改善(图3),PaO2升高,氧合改善。

图片
图3  患者拔管后复查胸部CT(4月13日)
各项检查指标变化情况

患者入院第2天(4月4日),WBC达到峰值(44.41×109/L),CRP和PCT也并没有得到控制,4月7日培养出鲍曼不动杆菌后调整治疗方案,WBC、CRP和PCT明显下降,凝血功能逐渐恢复,DIC得以纠正(表1)

表1  患者入院后主要检查指标变化情况

图片

患者诊治过程如图4所示。

图片

图4  患者诊疗过程

病例分析及感悟

高龄、有基础疾病的新型冠状病毒感染重型/危重型高危人群应重点关注。肺泡灌洗液mNGS有助于感染性疾病的诊断,但需根据患者临床情况进行甄别,不要盲目依据mNGS报告开始治疗。重症患者应及时评估营养风险,并尽早评估营养治疗的时机;良好的肠内营养策略有助于重症肺炎患者营养状态的改善,加速脱机,缩短住ICU时间,降低死亡率。对于重症患者,脏器功能保护是治疗成功的基础;同样,俯卧位通气在新冠病毒感染治疗中也发挥了非常重要的作用。免疫治疗和抗病毒治疗时机和药物选择、剂量、疗程等均需要严密的动态评估。危重症患者的成功救治需要多学科的参与及院感防控的加强。

作者简介


图片

董敏


  • 甘肃省中医院肺病科(呼吸与危重症医学科)副主任医师,硕士

  • 甘肃省中西医结合学会呼吸病专业委员会委员

  • 甘肃省中医药学会肺系病专业委员会委员

  • 甘肃省康复医学会呼吸康复专业委员会常委

  • 2023年“甘肃省优秀医师”

  • 甘肃省优秀青年人才

  • 曾在北京中日友好医院、复旦大学附属华山医院进修学习

  • 先后二次荣获甘肃省气管镜技能大赛个人二等奖

  • 擅长慢性气道疾病、肺癌、肺间质性疾病等呼吸系统疾病的辨证论治,善于运用中西医结合诊治手段治疗呼吸系统疾病

  • 参与课题多项,发表文章多篇


本文根据“呼吸危重症菁英秀”视频整理,感谢董敏医师予以审核。


全部评论 0
Copyright©2020-2026 北京医麦斯科技有限公司 版权所有 京ICP备2020034400号-1 京公网安备11010502043983号