单位:成都市第三人民医院 成都市呼吸健康研究所
无论在急诊室,还是普通病房,呼吸困难患者非常常见。一般情况下,医生通过询问病史和查体对引起呼吸困难的病因进行初步判断:究竟是心源性呼吸困难(急性失代偿性心力衰竭等),还是肺源 性呼吸困难(慢阻肺、哮喘、特发性肺间质纤维化等),或是其他疾病引起的呼吸困难(严重贫血、脑出血、脑外伤、大量腹水、腹腔内巨大肿瘤、甲亢危象等)。与此同时,我们能想到的辅助检查包括胸部X线片、心脏彩超、采血查BNP或心肌标志物等,这些当然是可取的,但等待结果需要一定的时间。对于急危重症患者而言,病情进展迅速,死亡风险高,迫切需要在短时间内做出准确判断并给予针对性的治疗。但对于部分临床医生,尤其是年轻医生而言,仅凭经验判断可能会贻误病情。因此,寻找简单、快捷、准确的鉴别方法十分必要。而超声具有无创、实时、动态、可重复的优点,成为了临床医生的选择。肺部超声扫描方案有多种,例如八分区法、十二分区法、俯卧位十六分区法、BLUE方案、BLUE Plus方案等。对于急性呼吸困难患者,建议选择BLUE方案进行快速筛查。研究证实,BLUE方案对气胸的敏感性为88%,特异性为100%,对于肺炎的敏感性和特异性也能达到90%左右[1]。BLUE方案扫描的四个点分别是上蓝点、下蓝点、膈肌点和PLAPS点(图1),通过这四个点的扫查来快速排除危及生命的情况。(1)首先检查胸膜滑动征,如果双侧前胸壁胸膜滑动征存在,且双肺以B线为主(B profile),可判定存在肺水肿。导致肺水肿的原因有很多,主要有肺部疾病,如间质性肺炎、病毒性肺炎、真菌性肺炎、肺间质纤维化、ARDS以及心脏疾病引起的心源性肺水肿等。临床上如果观察到上述征象,应注意进一步观察胸膜线的形态,如果胸膜线增粗、增厚、不连续、不光滑,此时就应考虑肺部疾病的可能性较大。ARDS是各种原因引起的肺泡上皮细胞和肺毛细血管内皮细胞损伤,从而引起弥漫性肺泡损伤。由于ARDS患者肺动脉压和肺血管静水压增高,肺血管通透性高,导致进入肺间质和肺泡的液体和蛋白质增多,从而出现肺容积减少、通气血流比例失调、通气不均衡、肺顺应性下降。肺部超声则可见胸膜线粗糙、增厚、不规则;B线分布不均匀,所有肺野中至少有一个肋间隙不会出现B线,但随着重力的改变,B线数量会逐渐增多、融合。前胸壁胸膜线下一般可见肺部局灶炎变征象;随着重力改变,在重力依赖区,也就是我们的侧胸壁、PLAPS点,可见炎变范围逐渐扩大,部分ARDS患者可以出现肺不张征象;胸膜滑动征从前胸壁至侧胸壁至背部,依次表现为正常至减弱甚至消失,这是典型的ARDS超声改变。由此可见,我们不能单纯通过一个区域来判定患者的病情,而是要综合患者病史及多个区域的肺超改变进行判定。如果胸膜线光滑、清晰、锐利,同时B线也是双肺弥漫且均匀分布,此种情况要考虑流体力学性肺水肿。流体力学性肺水肿(包括心源性、容量过负荷性)的产生是以肺毛细血管静水压升高作为主要驱动因素。当舒张功能减弱,左房压升高时,各级肺小血管承受的压力近等,因此引发的肺水肿在分布区域和程度上大致相同。此时建议进一步完善心脏及下腔静脉的超声检查,如超声心动图提示心脏收缩功能降低、左房压增高或存在左心和右心运动不匹配等征象,且下腔静脉充盈、固定,变异度较低时则考虑心源性肺水肿。如果超声心动图无异常,但下腔静脉充盈、固定,则可结合患者临床表现、中心静脉压以判定存在容量过负荷所致肺水肿的可能。(2)如果双侧前胸壁胸膜滑动征存在,且可以看到A线,此种情况称为“A profile”。
A模式
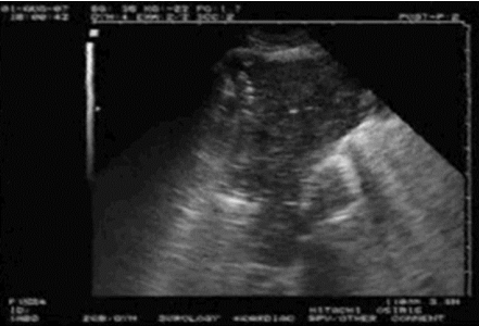
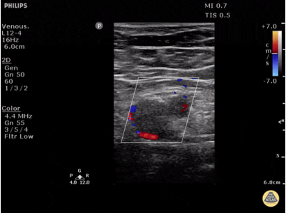
A线的出现代表胸膜线以下含气良好。此时针对呼吸困难的病因,就应考虑是否存在气道病变或血管病变。需要行下肢血管彩超进一步筛查,如果发现血管中有回声团(图2),考虑存在下肢静脉血栓,此时需要警惕肺栓塞的可能。如有条件,可行肺动脉CTA检查;如无条件,可检查凝血功能、心肌标志物、心脏彩超等进行筛查。如果下肢血管彩超没有问题,就要加做PLAPS点(图3),即最常出现胸腔积液、炎性变之处,若此处正常,考虑可能是气道疾病,若出现胸膜下斑片影、实变影,考虑肺炎可能。(3)不论有无胸膜滑动征,如果在患者一侧以A线为主,另一侧以B线为主(AB profile)(图4),考虑为肺炎;若超声有实变征象(C profile)(图5),则更支持肺炎的诊断。图4 一侧为A线,另一侧为B线(AB profile)(4)如果胸膜滑动征消失,且观察到B线(B’ profile)(图6),此种情况考虑肺炎。(5)如果胸膜滑动征消失,且双肺表现为A线,称为A'profile。
A'模式
A线的出现代表胸膜线以下含气良好。胸膜滑动征消失的原因有多种,例如在胸膜粘连、肺不张、ARDS、重症感染后胸膜增厚等情况下可能会出现。2012年,重症医学相关研究人员发表的专家组文章指出,在怀疑气胸时,对胸膜滑动征的评估是起始因素,也是关键因素,对气胸的阴性预测值可达100%。也就是说,如果看到了胸膜滑动征,则可以排除气胸诊断;如果没有看到胸膜滑动征,还需进一步明确是否合并其他肺超征象,从而明确诊断。下列超声图像1中可见胸膜线随着呼吸运动而来回滑动,但在超声图像2中却未见胸膜线来回滑动。我们呼吸时,胸壁会被向上推开,当胸膜滑动消失时,可见胸膜线随着呼吸、肺扩张及胸壁向上移动。当看到滑动征消失时,需考虑气胸的可能。
超声图像1(正常胸膜滑动)
超声图像2(无胸膜滑动)
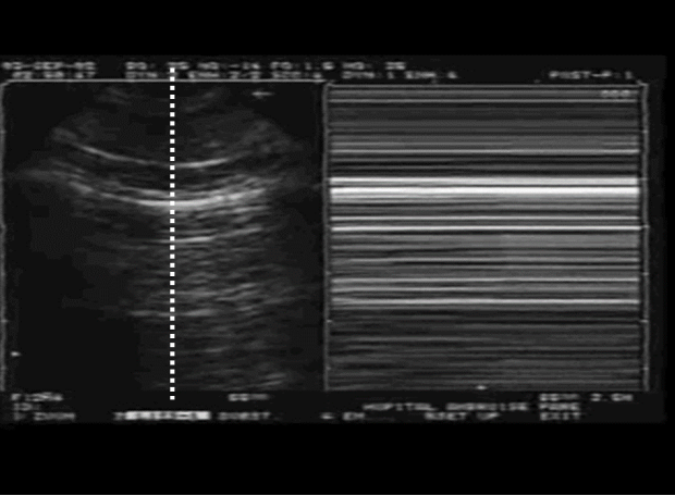
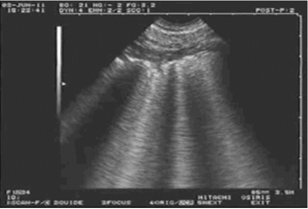
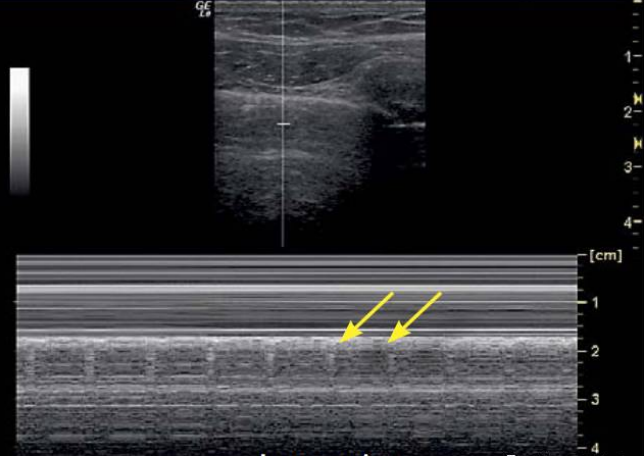
临床遇到上述情况,可以采用M模式(M-mode)进一步评估。正常情况下,肺超所见如沙滩一样,但如果出现条码征或平流层征(图7),考虑气胸可能。另一个在气胸患者中发现的特有征象为”肺点“(图8)。肺点是脏层胸膜与壁层胸膜的分离处,即气胸的边缘。在肺点的一侧是肺组织与壁层胸膜相接触,而其他部分在此处开始出现脏层、壁层胸膜的分离。如果在前胸壁出现胸膜滑动征消失、A线,并发现有肺点,则诊断气胸的特异性高达100%。临床中很多患者处于平卧位或半卧位,气体基本分布于前胸,靠近前胸壁的一侧基本看不到胸膜滑动。如果是小范围气胸,或肺并未被完全压缩,找到肺点的可能性较大。虽然肺点被当做超声诊断气胸的金标准,但没有发现肺点也不能排除气胸,例如在大面积气胸甚至整个肺组织被压缩的情况下,无法找到肺点,但整个肺野可能会表现为没有胸膜滑动的A线。同时,在临床中如遇到巨大肺大泡患者,当出现呼吸很窘迫时,也可能会观察到肺点。因此,临床中诊治疾病尤其是气胸时,超声仅为辅助诊断工具,仍需结合患者的临床表现等具体情况,进行综合观察及评估。
肺点超声图像
另外,如果没有观察到胸膜滑动征,为进一步明确是否有气胸时,还需了解另一种超声征象——肺脉(也称为肺搏动征)(图9),即靠近心脏的胸膜随着心跳而出现的节律性运动,常见于肺实变或肺通气不良(如肺不张)的患者。气胸患者不存在此种征象。因此,如果我们在超声图像中没有看到胸膜滑动,却看到了肺脉,则需考虑胸膜滑动征消失是由于其他病因所导致,例如在ARDS、胸膜粘连、胸膜固定术、肺不张、巨大肺大泡、哮喘急性加重致气道陷闭、无法呼吸气体导致肺过度膨胀或机械通气高PEEP患者,都可能看不到胸膜滑动。此时我们不能盲目诊断气胸,而是要思考是否有B线,如果有则排除气胸,如果没有,是否看到肺点,如果没有肺点,是否有肺脉,如果没有,考虑气胸,如果有肺脉,则排除气胸。这种情况下需考虑有没有可能是其他疾病导致的呼吸困难,如神经源性呼吸困难,呼吸中枢功能障碍、膈肌功能障碍、心腔内分流、低血容量性休克等。我们在临床中也曾遇到一些情况,患者肺部存在大面积实变,胸膜滑动良好。住院期间突发呼吸困难、氧合下降,再次做肺超提示前胸壁胸膜滑动消失,且出现A线,并找到了肺点,考虑并发气胸,经引流后症状缓解,但气胸引流效果并不理想,最后通过胸部CT也证实了气胸的存在,但为什么引流效果欠佳?最后发现是由于患者第二、三肋间锁骨中线有胸膜局部粘连,而气胸穿刺点刚好在此粘连处,导致引流效果不好,这也提示我们超声定位存在一定的局限性。当同时有胸膜粘连和气胸时,由于超声寻找肺点很困难,不一定能在短时间内能够确定气胸范围,如果进行紧急床旁穿刺引流,可能会找错穿刺位置。所以,除非在非常紧急的情况下,可以用超声进行定位穿刺,否则仍建议结合患者胸部X线片进行操作,更有利于患者的救治。总之,肺部超声的临床应用使诊断更加可视化,有利于对患者实施更加精细的管理,尤其对于危重患者可能有更多获益。肺部超声对于鉴别不同病因引起的急性呼吸困难也具有重要作用。
[1] Lichtenstein D A. BLUE-protocol and FALLS-protocol: two applications of lung ultrasound in the critically ill[J]. Chest, 2015, 147(6):1659-1670.
作者简介

- 成都市呼吸健康研究所 成都市第三人民医院 呼吸与危重症医学科
- 中国医师协会呼吸医师分会危重症医学工作委员会青年委员
- 擅长呼吸危重症的救治,掌握重症超声、CRRT、人工肝等高级生命支持技术
- 发表论文数篇,参与编写《全身性疾病在呼吸系统中的并发症》
*本文根据“呼吸危重症菁英秀”第四十五期专题视频整理,感谢王乾辉医师予以审核。