登录方式

方式一:
PC端网页:www.rccrc.cn
输入账号密码登录,可将此网址收藏并保存密码方便下次登录

方式二:
手机端网页:www.rccrc.cn
输入账号密码登录,可将此网址添加至手机桌面并保存密码方便下次登录

方式三:
【重症肺言】微信公众号
输入账号密码登录

注:账号具有唯一性,即同一个账号不能在两个地方同时登录。

登录
方式

为重症救治赋能

为患者康复加速

当前位置: 首页 呼吸危重症菁英秀

免疫检查点抑制剂相关肺炎

孟广平 吉林大学第二医院 发布于2024-05-17 浏览 2296 收藏

作者:孟广平

单位:吉林大学第二医院呼吸与危重症医学科

01

     概述

免疫检查点抑制剂(immune checkpoint inhibitors,ICIs)通过激活自身免疫系统杀伤肿瘤细胞达到抗肿瘤的目的,主要包括细胞毒T淋巴细胞相关抗原4(cytotoxic T-lymphocyte antigen 4,CTLA-4)和程序性死亡受体-1(programmed death-1,PD-1)及其配体(programmed death ligand-1,PD-L1)的抑制剂,常用药物有伊匹木单抗Ipilimumab纳武利尤单抗Nivolumab博利珠单抗Pembrolizumab替利珠单抗Atezolizumab)、特瑞普利单抗、信迪利单抗[1]。其中,伊匹木单抗用于治疗成人和12岁或以上的儿童患者无法切除或转移性黑色素瘤。
在肿瘤抗原呈递的具体情况下,已经研究并开发了两个不同的检查点,以获得治疗益处。首先,当抗原提呈细胞(APC)T细胞呈递肿瘤抗原时,检查点蛋白CTLA-4可以通过竞争性结合APC共刺激配体抑制T细胞活化。如果T细胞确实被激活,当T细胞遇到靶细胞中的肿瘤细胞和/或其他组织时,可能会遇到第二个检查点表达PD-1配体PD-L1。肿瘤通过过度表达PD-L1来利用第二个检查点,以避免T细胞介导的肿瘤杀伤,从而有效阻止肿瘤边缘的T细胞浸润。然而,如果免疫治疗抑制了PD-1和/或PD-L1信号传导,理论上T细胞激活可以不受阻碍地进行,导致新的、未耗尽的T细胞对肿瘤的再次攻击。CTLA-4和PD-1是表达在细胞毒性T细胞表面的受体,在CTLA-4的情况下与其配体CD80/CD86/CD28相互作用,在PD-1的情况下与PD-L1相互作用。这些途径可以被用来帮助癌细胞逃避细胞毒性T细胞介导的死亡[2, 3]ICIs的工作原理是防止受体和配体相互结合,从而扰乱信号。
免疫检查点抑制剂相关肺炎(checkpoint inhibitor-associated pneumonitis,CIP)是PD-1/PD-L1免疫治疗引起的一种潜在的致命性免疫相关不良事件,是出现与胸部X线检查新出现的浸润影有关的呼吸道症状/体征,但不包括经痰和/或支气管肺泡灌洗(BAL)检测的新感染[4]

CIP潜在的危险因素[5]主要有:①年龄:患者年龄多在70岁以上[6];②性别:女性发病率高于男性[7];③吸烟史:吸烟者比不吸烟者更容易发生[8];④既往肺部疾病史:有间质性肺疾病、慢性阻塞性肺疾病、哮喘、气胸、胸腔积液和肺纤维化病史患者CIP发生率高;⑤肿瘤组织学类型:相较于腺癌,鳞癌患者发生CIP的概率更高;⑥PD-1抑制剂:使用PD-1/PD-L1抑制剂会增加CIP的发生风险[9];⑦联合治疗:接受联合治疗的患者CIP发生率增加了2~3倍,抗生素和免疫抑制药物是ICIs治疗后肺部感染的主要危险因素;⑧既往放射治疗病史:放射治疗与免疫疗法存在协同作用[10]

02

 发病机制  

目前CIP的发病机制尚未得到明确阐述,仍需深入探究[10]。可能与下述情况有关:①T细胞对肿瘤和正常组织中表达的交叉抗原的活性增加;②自身抗体和炎性细胞因子水平升高:CIP患者血浆抗CD74水平升高;CIP的非小细胞癌患者IL-6、IL-17A、IL-35、CRP、PCT、SP-D和KL-6升高;③增强补体介导的炎症[11]

03

  临床表现 

研究表明CIP中位发病时间都在第一个ICIs周期后的前3个月内[6, 12-15];临床主要表现为非感染性肺部炎症,症状和体征均缺乏特征性。
1. 症状
患者可能没有症状,常见症状为呼吸困难、咳嗽、发热、皮疹[14]
2. 体征
晚期CIP患者双肺可闻及爆裂音[16]
3. 影像学表现[1]
具有多样性,结合非小细胞肺癌(NSCLC)影像学特征将CIP分为以下亚型:
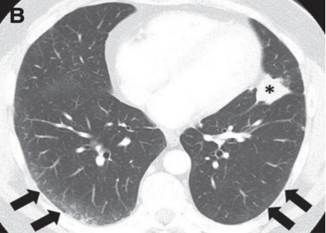
(1)急性间质性肺炎(AIP)/急性呼吸窘迫综合征(ARDS)/弥漫性肺泡损伤(DAD):弥漫性或多灶性磨玻璃影(GGO)或实变,并伴有肺容量减少和牵引性支气管扩张[17]
图片

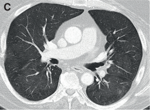
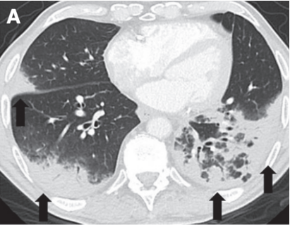
(2)隐源性机化性肺炎(COP):是NSCLC中最常见的CIP类型,双侧多灶性实变,周围和下肺分布,伴有GGO和网状阴影[17]

图片

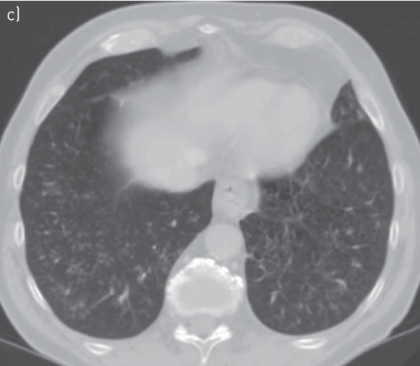
还可以表现为机化性肺炎(OP),反向环礁或晕征,被认为是CIP中OP的相对特殊特征[18]

图片
此外,OP图示小于10 mm的支气管血管周围肺结节,结节可呈肿块状,边缘有毛刺或瘤周阴影,反映肿瘤的模糊表现。这种现象被认为是恶性假性进展。
图片

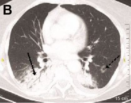
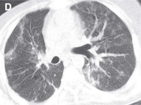
(3)非特异性间质性肺炎(NSIP):是CIP第二常见的报道类型,通常表现为肺下叶GGO和网状结构[17]

图片
(4)过敏性肺炎(HP):是CIP的一种相对不常见的放射学异常,弥漫性GGO和小叶中心结节,可见散在的空气滞留区[17]

图片

(5)毛细支气管炎:在小叶中心结节区域,典型的表现为树芽征[15]
图片
(6)放射记忆性肺炎(RRP):是一种炎症反应,在暴露于某些激动剂后,发生在以前受过辐射的区域;表现为实变和局限于先前受辐射区域的GGO[19]
图片

(7)未分类型。

4. 病理表现[20,21]

CIP的病理表现主要为:①嗜酸性粒细胞浸润;②肉芽肿性炎症;③肺泡实质伴成纤维细胞灶;④肺泡间隔轻度胶原扩张;⑤非特异性慢性炎症;⑥不典型细胞。

04

  诊断依据  

CIP的诊断缺乏特定的临床或放射学标志,通常是一种排除诊断,应该排除感染、肿瘤进展和放射性肺炎(RIP)。
ICIs治疗后,新出现或恶化的呼吸道症状,尤其是干咳、呼吸困难和血氧饱和度下降,需要考虑CIP。依据肺炎分级可选择的检查手段包括:鼻拭子,痰、尿及血培养,特殊病原体检测(真菌、结核),高分辨率CT(HRCT),诊断性支气管镜检查和BAL。支气管肺泡灌洗液(BALF)中IL-17A和IL-35水平升高与CIP的发展和严重程度有关[22]。此外,支气管镜肺冷冻活检可以克服传统活检的局限性,在CIP的诊断中有一定的发展前景[23]
在CIP的诊断中,最重要的是与肿瘤、感染及RIP相鉴别[24]。肺部感染包括肺结核、曲霉病、巨细胞病毒肺炎和肺孢子菌肺炎(PJP);其他鉴别诊断疾病涉及肺栓塞、DAD、肺癌进展、癌性淋巴管炎、心力衰竭引起的肺间质水肿、暴发性心肌炎等。

RIP是一种放射性肺损伤的早期表现,也是CIP的鉴别诊断难点[25-27]两种疾病的相似之处在于:①发病时间接近(1~3个月);②相似的影像特征(GGO和弥漫性模糊影);③共同的病理特征(淋巴细胞性肺泡炎);④相同的一线治疗方案:糖皮质激素。不同之处在于二者的病变部位存在差异,RIP主要存在于放射性区域,CIP多发生在放射治疗下降剂量以外或低剂量区。

05

    治疗  

CIP被认为是一种自限性疾病,当前指南建议将糖皮质激素作为一线药物[28]
通常在使用糖皮质激素48~72 h后临床症状得到改善,CIP相关症状没有消退的患者被认为是激素难治性患者,需进一步接受免疫抑制剂治疗。按照肿瘤治疗的常见不良反应进行分级对于指导治疗的价值有限[29]
2018年ASCO发布了有关接受ICIs治疗的患者免疫相关不良事件的管理指南,其中给出了分级情况及相应的治疗方案[30]
图片
NCCN对于ICIs不良反应的推荐如下:G1期患者,考虑暂停使用ICIs,1~2周后重新评估,可行指脉氧饱和度监测或CT扫描;4~6周或症状出现变化时,可考虑胸部CT检查。G2期患者,暂停使用ICIs,需要专科医生介入,对感染进行区分,必要时考虑BALF相关检查;可予患者激素治疗,甲泼尼龙1~2 mg/(kg·d),每3~7天监测一次,如果糖皮质激素使用48~72 h仍未见改善,则参照G3期治疗。G3期和G4期的治疗与ASCO指南推荐基本一致。但NCCN推荐免疫球蛋白治疗,而ASCO并无此推荐。
目前免疫抑制药物治疗CIP的经验主要是基于使用免疫抑制药物治疗其他免疫相关不良反应的数据,这些数据缺乏病理生理学证据。

托珠单抗是一种IL-6抑制剂,已被用于治疗风湿性免疫相关不良反应[31]。一份病例报告显示,一名NSCLC和CIP患者在接受托珠单抗额外治疗后症状显著缓解[32]。然而,是否应该将托珠单抗作为治疗激素难治性免疫相关不良反应患者的二线药物的选择仍未确定,因为该方法缺乏与其他二线药物的比较。

06

    预后  

大多数CIP患者在接受糖皮质激素治疗后恢复良好。然而,由于继发感染、肿瘤进展或免疫抑制剂治疗无效,一些患者的预后仍然很差,约1/4的CIP患者会复发。CIP治愈后,临床医生将面临是否重新开启ICIs治疗的决定。大多数患者在重免疫治疗后没有复发。诊断为3级或4级CIP的患者通常永久停止ICIs治疗,因此,重复使用ICIs治疗的报道主要发生在最初的1级或2级CIP患者中,其复发率从17%至30%不等[33]。复发性肺炎的类型、受累部位和严重程度可能与最初的表现不同。尽管在美国临床肿瘤学实践指南中没有具体说明,但复发性肺炎的治疗方法通常与首次发生时的治疗方法相似。

07

  未来展望  

今后,需要我们深入探索CIP的发病机制,探究预测性、诊断性及预后性生物标志物进而指导临床,需要更多的临床研究和大样本数据来制定CIP的最佳激素治疗方案以及评估CIP后的ICIS再应用。此外,对CIP进行风险分层有助于精准的个体化治疗。
图片
参考文献
(向下滑动查看全部文献)

[1] Kalisz K R, Ramaiya N H, Laukamp K R, et al. Immune Checkpoint Inhibitor Therapy-related Pneumonitis: Patterns and Management[J]. Radiographics, 2019, 39(7):1923-1937. 

[2] Shannon V R. Pneumonitis Associated With Immune Checkpoint Inhibitors  Among Patients With non-Small Cell Lung Cancer[J]. Curr Opin Pulm Med, 2020, 26(4):326-340. 

[3] Lin X, Lu X, Luo G S, et al. Progress in PD-1/PD-L1 Pathway Inhibitors: From Biomacromolecules to Small Molecules[J]. Eur J Medicinal Chem, 2020, 186:111876. 

[4] Suresh K, Naidoo J, Lin C T, et al. Immune Checkpoint Immunotherapy for Non-Small Cell Lung Cancer: Benefits and Pulmonary Toxicities[J]. Chest, 2018, 154(6):1416-1423. 

[5] Zhang Q, Tang L, Zhou Y, et al. Immune Checkpoint Inhibitor-Associated Pneumonitis in Non-Small Cell Lung Cancer: Current Understanding in Characteristics, Diagnosis, and Management[J]. Front Immunol, 2021, 12:663986. 

[6] Cho J Y, Kim J, Lee J S, et al. Characteristics, Incidence, and Risk Factors of Immune Checkpoint Inhibitor-Related Pneumonitis in Patients With Non-Small Cell Lung Cancer[J]. Lung Cancer, 2018, 125:150-156. 

[7] Suresh K, Khinh Ranh V, et al. Pneumonitis in Non-Small Cell Lung Cancer Patients Receiving Immune Checkpoint Immunotherapy: Incidence and Risk Factors[J]. J Thoracic Oncol, 2018, 13(12):1930-1939.

[8] Voong K R, Hazell S, Hu C, et al. Receipt of Chest Radiation and Immune-Related Pneumonitis in Patients With NSCLC Treated With Anti-PD-1/PD-L1[J]. J Thoracic Oncol, 2017, 12(11):S1837-7.

[9] van Eeden R, Rapoport B L, Smit T, et al. Tuberculosis Infection in a Patient Treated With Nivolumab for Non-small Cell Lung Cancer: Case Report and Literature Review[J]. Front Oncol, 2019, 9:659. 

[10] Zhai X, Zhang J, Tian Y, et al. The Mechanism and Risk Factors for Immune Checkpoint Inhibitor Pneumonitis in non-Small Cell Lung Cancer Patients[J]. Cancer Biol Med, 2020, 17(3):599-611. 

[11] Caturegli P, Di Dalmazi G, Lombardi M, et al. Hypophysitis Secondary to Cytotoxic T-Lymphocyte-Associated Protein 4 Blockade: Insights Into Pathogenesis From an Autopsy Series[J]. Am J Pathol, 2016, 186(12):3225-3235.

[12] Nishino M, Ramaiya N H, Awad M M, et al. PD-1 inhibitor-related pneumonitis in advanced cancer patients:  radiographic patterns and clinical course[J]. Clin Cancer Res, 2016, 22(24):6051-6060.

[13] Kato T, Masuda N, Nakanishi Y, et al. Nivolumab-induced interstitial lung disease analysis of two phase II studies patients with recurrent or advanced non-small-cell lung cancer[J]. Lung Cancer, 2017, 104:111-118.

[14] Naidoo J, Wang X, Woo K M, et al. Pneumonitis in patients treated with anti-programmed death-1/programmed death ligand 1 therapy[J]. J Clin Oncol, 2017, 35(7):709-717.

[15] Delaunay M, Cadranel J, Lusque A, et al. Immune-checkpoint inhibitors associated with interstitial lung disease in cancer patients[J]. Eur Respir J, 2017, 50(2):1700050.

[16] Gounant V, Brosseau S, Naltet C, et al. Nivolumab-Induced Organizing Pneumonitis in a Patient With Lung Sarcomatoid Carcinoma[J]. Lung Cancer, 2016, 99:162-165. 

[17] Nishino M, Hatabu H, Hodi F S, et al. Drug-Related Pneumonitis in the Era of Precision Cancer Therapy[J]. JCO Precis Oncol, 2017, 1:PO.17.00026.

[18] Fragkou P, Souli M, Theochari M, et al. A Case of Organizing Pneumonia (OP) Associated with Pembrolizumab[J]. Drug Target Insights, 2016, 10:9-12. 

[19] Itamura H, Ohguri T, Yahara K, et al. Pembrolizumab-induced Radiation Recall Pneumonitis After the Resolution of Typical Asymptomatic Radiation Pneumonitis[J]. J UOEH, 2020, 42(3):261-266.

[20] Li H, Ma W, Yoneda KY, et al. Severe Nivolumab-Induced Pneumonitis Preceding Durable Clinical Remission in a Patient With Refractory, Metastatic Lung Squamous Cell Cancer: A Case Report[J]. J Hematol Oncol, 2017, 10(1):64. 

[21] Kanai O, Nakatani K, Fujita K, et al. Concurrence of Nivolumab-Induced Interstitial Lung Disease and Cancer Invasion[J]. Respirol Case Rep, 2017, 5(6):e00257. 

[22] Wang Y N, Lou D F, Li D Y, et al. Elevated levels of IL-17A and IL-35 in plasma and bronchoalveolar lavage fluid are associated with checkpoint inhibitor pneumonitis in patients with non-small cell lung cancer[J]. Oncol Lett, 2020, 20(1):611-622.

[23] Colella S, Haentschel M, Shah P, et al. Transbronchial lung cryobiopsy in interstitial lung diseases: best practice[J]. Respiration, 2018, 95(6):383-391.

[24] Johnson D B, Balko J M, Compton M L, et al. Fulminant Myocarditis With Combination Immune Checkpoint Blockade[J]. N Engl J Med, 2016, 375(18):1749-1755.

[25] Sekine I, Sumi M, Ito Y, et al. Retrospective Analysis of Steroid Therapy for Radiation-Induced Lung Injury in Lung Cancer Patients[J]. Radiother Oncol, 2006, 80(1):93-97. 

[26] Chen Y, Williams J, Ding I, et al. Radiation Pneumonitis and Early Circulatory Cytokine Markers[J]. Semin Radiat Oncol, 2002, 12(1 Suppl 1):26-33. 

[27] Chuzi S, Tavora F, Cruz M, et al. Clinical Features, Diagnostic Challenges, and Management Strategies in Checkpoint Inhibitor-Related Pneumonitis[J]. Cancer Manag Res, 2017, 9:207-213. 

[28] Gomatou G, Tzilas V, Kotteas E, et al. Immune Checkpoint Inhibitor-Related Pneumonitis[J]. Respiration, 2020, 99(11):932-942. 

[29] Haanen JBAG, Carbonnel F, Robert C, et al. Management of toxicities from immunotherapy: ESMO Clinical Practice Guidelines for diagnosis, treatment and follow-up[J]. Ann Oncol, 2017, 28(suppl_4):iv119-iv142.

[30] Brahmer J R, Lacchetti C, Schneider B J, et al. Management of Immune-Related Adverse Events in Patients Treated With Immune Checkpoint Inhibitor Therapy: American Society of Clinical Oncology Clinical Practice Guideline[J]. J Clin Oncol, 2018, 36(17):1714-1768.

[31] Cappelli L C, Gutierrez A K, Baer A N, et al. Inflammatory Arthritis and Sicca Syndrome Induced by Nivolumab and Ipilimumab[J]. Ann Rheum Dis, 2017, 76(1):43-50.

[32] Naqash A R, Yang L V, Sanderlin E J, et al. Interleukin-6 as One of the Potential Mediators of Immune-Related Adverse Events in Non-Small Cell Lung Cancer Patients Treated With Immune Checkpoint Blockade: Evidence From a Case Report[J]. Acta Oncol, 2018, 57(5):705-708.

[33] Rashdan S, Minna J D, Gerber D E. Diagnosis and Management of Pulmonary Toxicity Associated With Cancer Immunotherapy[J]. Lancet Respir Med, 2018, 6(6):472-478.

作者简介

图片

孟广平
  • 吉林大学第二医院呼吸与危重症医学科
  • 医学博士,主治医师
  • 中华医学会呼吸病学分会肺栓塞与肺血管病青年协作组委员
  • 吉林省康复医学会呼吸康复专业委员会委员
  • 发表SCI论文7篇,单篇最高影响因子7.162
  • 作为主要参与者完成多个国自然项目的申请及结题工作
  • 主持省级及校级课题多项
  • 多次参加校级及省级教学比赛,并荣获奖励
  • 研究领域:重症感染、呼吸系统肿瘤、肺血栓栓塞症
*本文根据“呼吸危重症菁英秀”第四十三期专题视频整理,感谢孟广平医师予以审核。


全部评论 0
Copyright©2020-2026 北京医麦斯科技有限公司 版权所有 京ICP备2020034400号-1 京公网安备11010502043983号