登录方式

方式一:
PC端网页:www.rccrc.cn
输入账号密码登录,可将此网址收藏并保存密码方便下次登录

方式二:
手机端网页:www.rccrc.cn
输入账号密码登录,可将此网址添加至手机桌面并保存密码方便下次登录

方式三:
【重症肺言】微信公众号
输入账号密码登录

注:账号具有唯一性,即同一个账号不能在两个地方同时登录。

登录
方式

为重症救治赋能

为患者康复加速

当前位置: 首页 呼吸危重症菁英秀

狼烟四起,绝处逢生—一位老年患者的求生之路

赵志刚 河南省人民医院 发布于2024-05-17 浏览 1259 收藏

作者:赵志刚

单位:河南省人民医院呼吸与危重症医学科


01

险象环生,追因溯源

基本情况
患者男性,80岁,体重80 kg。代诉:头晕、乏力半月余,咯血、胸闷12 h。2020年10月9日入院。
现病史
入院半月余前无明显诱因出现头晕、乏力,伴纳差,当地医院诊断为“脑梗死”,予药物治疗,效果欠佳,乏力伴纳差症状进行性加重。入院1周前患者出现感冒症状,代诉发热,体温不详,给予“复方氨酚烷胺片”(具体用量不详),感冒症状缓解;入院12 h前无明显诱因出现咯血,痰中带血,鲜红色,10~20 ml,伴胸闷、气喘,体力活动明显受限,遂急来我院,发病以来患者神志清,精神、睡眠及饮食差,大小便可,体重较前变化不明显。
既往史
20余年前因“前列腺增生”在我院接受手术治疗;“脑梗死”10余年,间断住院治疗,无明显后遗症;“高血压”3年,平素予“苯磺酸左旋氨氯地平”降压,具体血压控制不详。余无特殊。
个人史、家族史及婚育史
吸烟50余年,20支/天,已戒烟10余年,余无特殊。婚育史、家族史均无特殊。
入院查体
体温37.2℃,脉搏79次/min,呼吸35次/min,血压152/71 mmHg。入院血气分析示(吸氧100%):pH 7.431,PaCO2 28.3 mmHg,PaO2 83.6 mmHg,BE -5.1 mmol/L,Hb 8.4 g/dl,Glu 7.6 mmol/L,Lac 1.39 mmol/L,氧合指数83.6 mmHg。神志清,精神差,口唇发绀。呼吸急促,双肺呼吸音粗,听诊可闻及湿啰音。心率79次/min,心前区无隆起,心尖搏动正常,各瓣膜听诊区未闻及明显杂音。腹部平坦,无明显包块,无压痛、反跳痛,肝脏未触及,Murphy氏征阴性,无移动性浊音。四肢肌力、肌张力未见异常,双侧肱二、三头肌腱反射正常,双侧膝、跟腱反射正常,双侧Babinski征阴性。双下肢无水肿。

鉴别诊断

感染性疾病:病原体是病毒,细菌,还是非典型病原体?

非感染性疾病:结缔组织病,血液病,还是肿瘤?

药物、毒物相关。

其他。


化验结果
WBC 10.3×109/L,NEU 9.77×109/L,NEU% 94.5%,LYM 0.27×109/L,LYM% 2.6%,Hb 80 g/L,CRP 123.4 mg/L,Na+ 127 mmol/L,白蛋白16 g/L,PT 8.6 s,APTT 19.3 s。
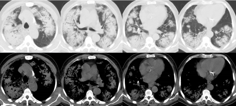
胸部CT
胸部CT可见双肺大片渗出实变影(图1)
图片
图1  患者胸部CT(2020-10-09)
入院诊断


重症肺炎,呼吸衰竭,ARDS;
凝血功能异常;
贫血;
电解质紊乱,低钠血症;
低蛋白血症;
高血压病;
陈旧性脑梗死;
前列腺切除术后。


病情变化
患者于2020年10月9日12:00入科,储氧面罩吸氧15 L/min,血氧饱和度78%。12:10无创呼吸机辅助呼吸(ST模式,IPAP 12 cmH2O,EPAP 5 cmH2O,FiO2 100%),血氧饱和度87%~93%,血气分析示:pH 7.348,PaCO2 37.7 mmHg,PaO2 43.4 mmHg,氧合指数43.4 mmHg。16:00气管插管接有创呼吸机辅助呼吸(PCV模式,PC 16 cmH2O,PEEP 10 cmH2O,FiO100%),血氧饱和度65%~87%,氧合指数38~44 mmHg。10月9日凌晨2:00,启动V-V ECMO,氧流量100%,气管插管接有创呼吸机辅助呼吸(PCV模式,PC 16 cmH2O,PEEP 10 cmH2O,FiO2 100%),血氧饱和度90%~100%。
气管镜检查
气管内少量血性分泌物,抽吸之后见气管通畅,黏膜光滑,隆突锐利,双侧主支气管发现各叶段支气管内中等量血性分泌物,黏膜弥漫出血。
诊断

弥漫性肺泡出血。

弥漫性肺泡出血

(1)概述


弥漫性肺泡出血(diffuse alveolar hemorrhage,DAH)是以痰中带血、咯血、呼吸困难、进行性贫血和胸部X线或CT影像呈弥漫性肺泡浸润为特征的临床综合征。DAH临床较少见,多数起病急骤,病因复杂,如感染、中毒、药物、化学物质、细胞毒药物、自身疫系统性疾病、系统性血管炎、血液系统疾病、造血干细胞移植。病理生理机制为多种因素导致肺泡毛细血管基底膜广泛损伤,终末细支气管远端的肺腺泡内广泛出血,充满了含铁血黄素的巨噬细胞在肺泡及肺间质内堆积。并非临床独立疾病,而是一系列基础疾病的严重并发症,早期诊断困难,多数病情进展迅速,病死率高。


(2)DAH按照病因进行分类


①肺小血管炎相关性:主要包括抗中性粒细胞胞质抗体相关性血管炎和免疫复合物性小血管炎;②结缔组织疾病相关性:包括系统性红斑狼疮、白塞病、混合性结缔组织病;③感染相关性:包括巨细胞病毒、流感病毒、人类免疫缺陷病毒、单纯疱疹病毒、卡氏肺孢子菌、曲霉菌等;④药物毒物相关性:包括可卡因、吸入异氰酸盐、青霉胺、胺碘酮、化疗药物、抗凝药物等;⑤造血干细胞移植相关性:造血干细胞移植后DAH发生率为5%左右,病死率高达50%~100%;⑥特发性含铁血黄素沉着症:少见,以反复咯血、继发性缺铁性贫血和DAH为特征。

(3)DAH的病因和组织学

①肺毛细血管炎:ANCA相关肉芽肿性血管炎,显微镜下多血管炎,孤立性肺毛细血管炎(ANCA阳性和阴性),系统性红斑狼疮(SLE),类风湿关节炎,混合性结缔组织疾病,硬皮病,多发性肌炎,原发性抗磷脂抗体综合征,过敏性紫瘾,贝切特综合征,IgA肾病,Goodpasture综合征,特发性肾小球肾炎(免疫缺陷或免疫复合物),急性肺移植排斥反应,特发性肺纤维化,苯妥英,维甲酸毒性,自体骨髓移植治疗,重症肌无力,冷球蛋白血症,溃疡性结肠炎,丙基硫氧嘧啶;②轻度肺出血:特发性肺含铁血黄素沉着症,Goodpasture综合征,凝血障碍,偏苯三酸酐,异氰酸酯暴露,青霉胺,胺碘达隆,呋喃妥因,二尖瓣狭窄,亚急性细菌性心内膜炎,多发性骨髓瘤;③弥漫性肺泡损伤:骨髓移植术,吸入可卡因,细胞毒性药物治疗,SLE,放疗,ARDS。

(4)临床诊疗策略

DAH病情严重、进展迅速,属于临床危重症,因此在临床中应关注以下方面,①详细询问病史:包括基础病史,用药史,接触史;②仔细鉴别临床症状:咳嗽、咯血、呼吸困难等;血常规提示与咯血量不平行的贫血或血红蛋白24 h下降20 g/L;影像学表现为双肺弥漫性肺泡渗出阴影;③完善相关检查:影像学检查,自身免疫功能全套、血管炎抗体等,可疑病原体的筛查,支气管肺泡灌洗,肺功能检查,肾活组织检查结合直接免疫荧光染色,肺活检(此项检查带来的获益仍存在争议)。

病例:

20岁男性患者,肾衰竭,咯血,血红蛋白5.3 g/dl。胸部CT提示弥漫性非特异性磨玻璃影,融合区域(箭头)和双侧多个亚厘米结节影。

图片

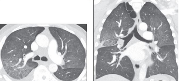
61岁女性患者,抗中性粒细胞胞质抗体相关性血管炎,表现为呼吸困难和低氧血症;胸部X线片显示双侧多发致密结节和斑片状实变高密度影,提示弥漫性肺疾病;CT显示相应的弥漫性结节性和轮廓不清的实变影。

图片

72岁女性患者,肉芽肿性多血管炎,表现为呼吸困难。胸部X线片显示左中肺有密集的局灶性肺高密度影;右肺可见近端支气管(箭头)壁增厚和扩张;CT提示左上叶实变影,病灶周围磨玻璃影。

图片

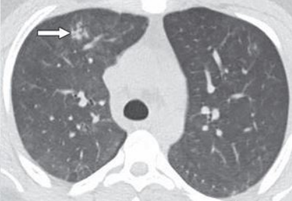
51岁男性患者,体重减轻,慢性咯血,抗中性粒细胞胞质抗体阴性,活检显示含铁血黄素沉着。

图片

(5)治疗策略

①积极治疗原发病,去除诱因;②如为感染所致,积极控制感染,凝血功能失调者纠正凝血;③自身免疫相关:肾上腺皮质激素,免疫抑制剂;④血浆置换或免疫吸附;⑤对症支持治疗。



入院检查/检验
2020年10月10日:PCT 0.82 ng/ml,Pro-BNP 2000 ng/L,抗核抗体1:100核颗粒型,肌酐154 μmol/L,尿素14.5 mmol/L,尿蛋白(++),隐血(+++),白细胞(+)。心脏、肝胆胰腺肾脏超声均未见明显异常。
肺泡灌洗液涂片及培养、G试验、GM试验、发热九项、血沉、甲/乙流病毒抗原检测自身抗体、心肌酶均未见异常。
免疫指标:抗中性粒细胞胞浆抗体核周型(pANCA)阳性,抗髓过氧化物酶抗体(MPO)>300 RU/ml(↑)。

结合上述检查,可明确诊断为ANCA相关血管炎。

抗中性粒细胞胞质抗体(ANCA)相关的血管炎(AAV)是一类由遗传环境及免疫等诸多因素共同作用所致的系统性自身免疫性疾病,其特征在于炎性细胞浸润导致血管坏死,主要累及小血管。分为肉芽肿性多血管炎(GPA)、显微镜下多血管炎(MPA)、嗜酸性肉芽肿性多血管炎(EGPA)。该病主要为小血管受累,各脏器、组织因血管受损后出现缺血症状,多数存在抗中性粒细胞抗体。


AAV临床表现:①全身症状:发热、乏力、厌食、游走性关节痛和体重减轻;②鼻部:流鼻涕、鼻窦炎、鼻黏膜溃疡、鼻结痂,严重者鼻中隔穿孔、鼻骨破坏、鞍鼻;③肺部受累:咳嗽、咯血、胸膜炎;④肾脏损害:肾脏是最常受累的器官,临床表现为血尿、蛋白尿、管型、水肿、肾性高血压、肾功能不全等;⑤神经系统受累:手足麻痹、刺痛、周围神经病变(单神经炎);⑥皮肤表现:紫癜、可触及的充血性斑丘疹,最常见于小腿。

根据相关指南,ANCA相关血管炎的诊断标准如下:


图片
图片

图片


病情变化

结合上述诊断标准,该患者进一步明确为显微镜下多血管炎(MPA)。
患者气管插管后氧合依然难以维持,2020年10月10日01:00,最低血氧饱和度为43%,血压84/51 mmHg(多巴胺200 mg/50 ml 80 ml/h泵入),氧合指数进行性下降(表1)。尝试俯卧位和激素治疗,但效果并不理想。在此情况下,考虑启动ECMO。
表1 患者氧合变化情况
图片
ECMO禁忌证:①导致呼吸衰竭的原发病不可逆;②严重脑功能障碍;③有应用肝素禁忌证;a. 严重凝血功能障碍;b. 近期颅内出血;c. 肝素过敏;d. 肝素诱导血小板减少症;④高通气支持水平(气道平台压>30 cmH2O,FiO2>0.8)应用大于7~10 d;⑤血管病变限制通路的建立;⑥高龄(>80岁);⑦BMI>45 kg/m2;⑧PRESERVE评分>7分,或RESP危险分层Ⅳ~Ⅴ级。因此,ECMO没有绝对禁忌!
经过与患者家属充分沟通,予患者ECMO支持。上机后1 h,患者生命体征逐渐趋于稳定,氧合情况得以改善(表2)


表2  患者ECMO前后氧合等指标变化情况


图片
前期,患者气道依然能吸出血性分泌物,予无肝素抗凝。待原发病得到控制,出血减少后,于2020年10月14日,予肝素12500 IU/50 ml抗凝,并据ACT、APTT动态调整肝素用量。此外,采取负平衡的液体管理策略(表3)
表3 患者液体管理情况
图片
治疗措施
治疗方面:予抗感染(图2),改善凝血,补充红细胞,激素(500 mg冲击4 d,逐渐减量后至40 mg qd,免疫球蛋白20 g qd 静滴),予免疫球蛋白,血浆置换,多学科会诊。
图片
图2  患者抗感染治疗策略
影像改变
患者胸部X线片可见渗出较前有所吸收(图3)
图片
图3  患者影像学改善情况
患者在ECMO期间,呼吸参数逐渐下调,氧合指数逐渐趋于稳定(表4)
表4  患者ECMO运行情况
图片
上机后1周,于2020年10月17日成功撤离ECMO。复查胸部CT可见渗出实变影较前吸收,影像学改善(图4)
图片
图4  患者撤离ECMO后复查胸部CT
髓过氧化物酶抗体水平下降并趋于正常(图5)
图片


图5  患者髓过氧化物酶抗体变化情况


02

风云再起,拨云见日

2020年10月19日,血滤时寒战,血压不稳定,夜间最高体温38.2℃。10月20日,气管镜可见支气管内脓性分泌物,血性痰少;下午体温37.7℃,心率快。血小板进行性下降。痰培养和导管血培养均为泛耐药肺炎克雷伯菌(对替加环素、头孢他啶/阿维巴坦、多黏菌素、四环素敏感)。

参照同期在我们病区病原体类型发现以鲍曼不动杆菌和肺炎克雷伯菌为主。经过评价,我们认为检出的肺炎克雷伯菌为致病菌。

泛耐药革兰阴性菌(XDR-GNB)治疗原则:临床标本中分离到XDR-GNB,特别是XDR鲍曼不动杆菌、嗜麦芽窄食单胞菌时,应首先区分是定植还是感染。联合用药,XDR-GNB感染时常需联合使用抗菌药物。根据药敏结果选择抗菌药物,当所有药物均不敏感时,选择中介或有一定抑菌圈或最低抑菌浓度(MIC值)较接近敏感(或中介)折点的抗菌药物,大剂量联合治疗原则。根据PK/PD原则设定给药方案,如增加给药剂量,延长抗菌药物滴注时间。尽可能消除感染危险因素,积极治疗原发病。肝肾功能异常、老年人,抗菌药物剂量需适当调整。


当机体发生损伤,甚至感染时,血小板作为血液中数量最多的细胞。首先通过其表面、胞内的各种传感器(Toll样受体,细胞因子IL-1-TLR受体家族等)与模式识别受体(PRR)快速察觉组织损伤及伴随的感染,迅速到达组织损伤中心并大量聚集、黏附于损伤部位,既发挥了止血凝血作用,又限制了细菌的扩散,起到了直接的抗菌作用。其次,细菌的N端甲酰肽与血小板的甲酰肽受体结合,可引起血小板骨架蛋白重构、钙动员,从而促进血小板活化,并脱颗粒释放大量的颗粒性物质,其中α颗粒分泌抗微生物源性肽、细胞因子、细胞因子源性肽、趋化因子等。趋化因子一方面可以诱使其他静息状态的血小板活化,招募其他细胞(巨噬细胞、中性粒细胞等免疫细胞)聚集于损伤感染处发挥抗菌作用。

图片

《感染诱发的老年多器官功能障碍综合征诊断与治疗中国指南2019》中推荐的治疗血小板减少方法:当血小板计数≤10×109/L(排除假性血小板减少)并存在出血高风险时,推荐预防性输注血小板(Ⅰ类推荐,C级证据)。对活动性出血、外科手术或介入性操作时,血小板需达到≥50×109/L。当血小板计数<75×109/L,应考虑注射重组人血小板生成素(rhTPO),直至血小板计数连续2 d增加量超过50×109/L,停止注射(Ⅱa类推荐,B级证据)。

血小板生成素(TPO)是唯一一个能全程发挥作用的促血小板生成因子。TPO促进造血干细胞和所有造血祖细胞的增殖并延长其生存时间,加速干细胞进入细胞周期。

根据相关指南共识,予硫酸多黏菌素B、头孢他啶/阿维巴坦、阿米卡星抗感染治疗,同时予血小板生成素治疗血小板减少,并稳定血糖、护胃、加强营养、稳定水电解质及内环境稳定等治疗。经过治疗,患者体温逐渐下降,CRP及PCT也逐渐降至正常,血小板逐渐回升(图6-图8)
图片
图6  患者抗感染治疗措施
图片
图7  患者感染指标变化情况
图片


图8  患者血小板变化情况


复查胸部CT可见病变较前进一步吸收(图9)
图片


图9 患者胸部CT改善情况


03

苦尽甘来,柳暗花明

患者前期经过ECMO支持赢得了宝贵的治疗时机,脱机后感染得到控制,在气管切开有创呼吸机辅助呼吸情况下,启动”ABCDE”程序化脱机策略【A: Airway and lung dysfunction; B: Brain dysfunction; C: Cardiac dysfunction; D: Diaphragm/respiratory muscle dysfunctio; E: Edocrine and metabolic dysfunction】
通过膈肌功能评估了解患者的膈肌厚度及膈肌活动度,并通过膈肌电刺激和心理疏导等进行康复锻炼,促进膈肌功能的恢复。经过湿化、体位引流、辅助排痰、吸痰等措施保持人工气道的通畅。
评估患者四肢肌力。由被动运动→ 被动+辅助运动→ 主动运动→ 主动+抗阻运动,循序渐进,指导患者进行肌力训练。
气囊管理:气囊充气后压力维持在25~30 cmH2O,可采用自动充气泵维持气囊压。声门下吸引可减少VAP的发生率,缩短机械通气时间。
2020年10月18日气管切开。血气分析示(吸氧浓度60%):pH 7.398,PaCO2 46.3 mmHg,PaO2 100.9 mmHg,Na136.4 mmol/L,K4.28 mmol/L,HCO3- 26.9 mmol/L,Lac 1.44 mmol/L,氧合指数168.1 mmHg。
2020年11月4日气切处加温湿化。血气分析示(吸氧浓度40%):pH 7.468,PaCO2 39.4 mmHg,PaO2 159.3 mmHg,Na132.3 mmol/L,K3.87 mmol/L,HCO3- 27.9 mmol/L,Lac 1.51 mmol/L,氧合指数398 mmHg。
患者最终成功转出ICU并顺利出院。

04

  总 结  

弥漫性肺泡出血病因复杂,进展迅速,临床中需要重点关注,早期诊断,早期治疗。ECMO是ARDS救治的一把利器,条件许可尽早启动,对改善预后至关重要。医生、呼吸治疗师、护理人员参与的患者阶段性、系统性康复锻炼,助力全面恢复。
图片
参考文献
(向下滑动查看全部文献)

[1] Lara A R, Schwars M I. Diffuse alveolarhemorrhage[J]. Chest, 2010, 137(5):1164-1171. 

[2] Chung S A, Langford C A, Maz M, et al. 2021 American college of rheumatology/vasculitis foundation guideline for the management of antineutrophil cytoplasmic antibody-associated casculitis[J]. Arthritis Rheumatol, 2021, 73(8):1366-1383. 

[3] Arman M, Krauel K, Tilley D O, et al. Amplification of bacteria-induced platelet activation is triggered by FcγRIIA, integrin αIIbβ3, and platelet factor 4[J]. Blood, 2014, 123(20):3166-3174. 

[4] Cox D, Kerrigan S W, Watson S P. Platelets and the innate immune system: mechanisms of bacterial-induced platelet activation[J]. J Thromb Haemost, 2011, 9(6):1097-1107.

[5] Czapiga M, Gao J L, Kirk A, et al. Human platelets exhibit chemotaxis using functional N-formyl peptide receptors[J]. Exp Hematol, 2005, 33(1):73-84. 

[6] 中国老年医学学会, 国家老年疾病临床医学研究中心(解放军总医院), 解放军老年医学专业委员会. 感染诱发的老年多器官功能障碍综合征诊断与治疗中国指南2019[J]. 中华老年多器官疾病杂志, 2019, 18(11):801-838.

[7] Kaushansky K. Thrombopoietin[J]. N Engl J Med, 1998, 339(11):746-754. 

[8] 中华医学会呼吸病学分会呼吸治疗学组. 人工气道气囊的管理专家共识(草案)[J]. 中华结核和呼吸杂志, 2014, 37(11):816-819. 

[9] 中华医学会呼吸病学分会呼吸治疗学组. 成人气道分泌物的吸引专家共识(草案)[J]. 中华结核和呼吸杂志, 2014, 37(11):809-811. 

作者简介

图片

赵志刚
  • 河南省人民医院呼吸与危重症医学科 主治医师
  • 硕士研究生毕业于解放军总医院
  • 主要从事重症感染、呼吸衰竭、脓毒症等危重症的诊断和治疗


*本文根据“呼吸危重症菁英秀”第三十九期专题视频整理,感谢赵志刚医师予以审核。


全部评论 0
Copyright©2020-2026 北京医麦斯科技有限公司 版权所有 京ICP备2020034400号-1 京公网安备11010502043983号