登录方式

方式一:
PC端网页:www.rccrc.cn
输入账号密码登录,可将此网址收藏并保存密码方便下次登录

方式二:
手机端网页:www.rccrc.cn
输入账号密码登录,可将此网址添加至手机桌面并保存密码方便下次登录

方式三:
【重症肺言】微信公众号
输入账号密码登录

注:账号具有唯一性,即同一个账号不能在两个地方同时登录。

登录
方式

为重症救治赋能

为患者康复加速

当前位置: 首页 呼吸危重症菁英秀

RICU中弥漫性肺部病变肺活检选择策略

高玉娟 南京大学医学院附属南京鼓楼医院 发布于2024-05-17 浏览 1885 收藏

作者:高玉娟

单位:南京大学医学院附属南京鼓楼医院呼吸与危重症医学科


图片

一、病例介绍

一般情况
患者,女性,44岁,因“渐进性胸闷气喘20余天,发热4天”入院。
现病史
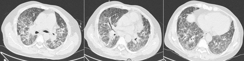
患者于外院行胸部CT示两肺多发渗出实变,地图样改变。于2022年8月1日行气管镜检查,肺泡灌洗液呈乳白色,NGS回报检出惠普尔养障体(序列数1163),人类冠状病毒229E(序列数778757)。外院予头孢匹胺等抗感染、抗病毒、激素抗炎等处理后症状改善不明显,遂转入我院急诊,就诊期间出现发热,体温波动在37.0~37.9℃之间,经我科会诊后拟“双肺弥漫性病变待查”收住监护室。血气分析(面罩吸氧15 L/min):pH 7.422,PaCO43.2 mmHg,PaO2 61 mmHg,BE/B 3 mmol/L,HCO328.2 mmol/L,SaO2 91%。外院胸部CT:双肺弥漫性磨玻璃影,斑片实变影,似乎有“地图征”样改变,还可见一些微小结节的影像,胸膜下有“黑带征”;纵隔窗未见纵隔淋巴结肿大,无特殊影像学表现(图1)
图片
图1  患者外院胸部CT
入院辅助检查

一般检查:血常规:WBC 11.0×109/L,NEU% 80.9%,HGB 127 g/L;炎症二项:PCT正常,IL-6 22.98 pg/ml。
免疫相关检查:自身免疫性肌炎抗体阴性;类风湿三项阴性;自身抗体+抗中性粒细胞胞浆抗体阴性。
病原学检查:G试验、GM试验阴性;结核感染T细胞检测阴性;EB病毒、巨细胞病毒DNA(-);呼吸道病原学IgM(支原体、流感病毒、军团菌)阴性。

肿瘤相关检查:CEA正常,NSE、β2微球蛋白升高,其他无明显异常。

初步诊断
(1)病毒性肺炎?——双肺弥漫性磨玻璃影,外院肺泡灌洗液NGS可见冠状病毒,但感染症状及病程不完全符合。
(2)肺孢子菌肺炎?——无免疫受损依据,G试验、CD4+T淋巴细胞正常,NGS无PJP依据。
(3)肺泡蛋白沉积症?——外院肺泡灌洗液呈乳白色,但影像学无明显小叶间隔增厚及铺路石征,无病理学依据。
(4)肺水肿?——无心脏基础疾病,BNP正常,进一步行心脏彩超排查。
气管镜检查

第一次床边气管镜检查发现管腔通畅,黏膜光滑,未见异常,内有少量黄脓痰,灌洗液呈轻微白色混浊状。肺泡灌洗液相关检查结果:X-pert阴性,GM试验阴性,抗酸涂片阴性,脱落细胞阴性,细菌培养阴性,真菌培养阴性。肺泡灌血液分类显示中性粒细胞占比升高,PAS染色弱阳性(±)。

理论来讲,如果为肺泡蛋白沉积症,PAS染色应为强阳性,肺泡灌洗液应呈牛奶样。此时诊断并不明确。经验性予头孢唑肟抗感染、更昔洛韦抗病毒、他汀调脂及人粒细胞巨噬细胞刺激因子雾化吸入。然而患者氧合指数仍然下降(85 mmHg),需要无创通气(FiO2 100%)。胸部CT示双肺弥漫性实变影,纵隔淋巴结肿大。考虑肺泡蛋白沉积症是否为继发性,其原发病可能是其他疾病。

与家属沟通后,行第二次床边气管镜,并行经支气管镜肺活检术(TBLB),于左上叶取5块组织标本。第二天病理回报:结合免疫组化染色结果考虑为弥漫大B细胞淋巴瘤,组织标本PAS染色阳性。进一步性PET-CT检查,结果符合淋巴瘤表现。

诊疗及预后

该患者最终诊断为弥漫大B细胞淋巴瘤,继发性肺泡蛋白沉积症,Ⅰ型呼吸衰竭。转至血液科行化学治疗。

化疗1周期后,CT可见病灶明显吸收,化疗3周期后,胸部CT可见病变基本全部吸收(图2)。后续复查肺部基本恢复正常。

图片
图2  患者化疗一周期和三周期后胸部CT
图片
二、RICU中弥漫性肺部病变特征及鉴别诊断

RICU中肺弥漫性病变病例特征

患者起病急骤,进展迅速;
入院时氧合差,需呼吸支持治疗;
影像学可见弥漫性肺部病变;
诊断不明确,外院经验性治疗无效;

入院后经常规检查无法明确诊断,缺乏高级别诊断依据。

弥漫性肺部病变鉴别

感染:结核、病毒、肺孢子菌肺炎;
急性间质性肺炎;
外源性过敏性肺泡炎;
肺泡蛋白沉积症;
弥漫性肺泡出血:ANCA相关性血管炎、特发性肺含铁血黄素沉积症、Goodpasture综合征;
职业相关肺间质病:急性矽肺、焊工尘肺;
肿瘤:肺泡细胞癌、淋巴瘤;

肺水肿。

图片
三、RICU中弥漫性肺部病变肺活检
引起急性呼吸衰竭的肺部弥漫性病变病情进展迅速,病因复杂,临床表现、影像学表现等不足以建立一个明确的诊断,需要借助于病理活检技术。活检的时机如何选择?选取何种方式?在何种呼吸支持条件下进行活检?针对这些问题,2022年中国医师协会呼吸医师分会呼吸危重症专委会与中国医师协会呼吸医师分会介入呼吸病学工作委员会编写并发表了《呼吸危重症患者行肺组织活检操作的专家意见》。
肺组织活检技术对于病因不明的呼吸危重症患者的救治具有重大潜在临床应用价值。初始诊断时病因不明的ARDS患者,积极行肺活检可以为70%以上的患者获得明确诊断,改变治疗方案[2],甚至可以降低激素敏感型病变患者的在院病死率[3]
肺组织活检时机
肺组织活检的适应证主要包括:患者存在病因不明的呼吸衰竭,并且根据详细病史、可获取的全面检查化验、影像学及常规检查仍无法明确诊断,或疾病快速进展而无法用原诊断解释者,在多学科讨论后判断需进行肺组织活检,则可考虑进行相应操作。
禁忌证包括但不限于:① 严重凝血功能异常[例如血小板<60×109/L;凝血酶原时间延长超过3 s,部分活化凝血酶时间(ACT)比值1.5以上]或使用抗血小板药物及抗凝药物;② 合并严重脏器功能不全,如严重肺动脉高压、循环不稳定等,预计无法耐受活检;③ 无法排除心源性肺水肿、肝肺综合征等肺外疾病累及肺脏;④ 目前的呼吸支持条件仍无法满足通气和氧合需求,且不具备进一步提高呼吸支持水平的条件;⑤ 无法获取知情同意。
RICU中常用的肺活检方式
RICU中最常用的肺活检方式主要有三种:TBLB、经支气管冷冻肺活检(TBCB)和超声引导下经皮穿刺活检。三种肺活检方式比较如表1所示。

 不同肺活检方式对比

图片
不同病灶类型活检方式选择
病灶不同,选择的肺活检方式也不同。《呼吸危重症患者行肺组织活检操作的专家意见》也对此进行了相关推荐,如图3所示。
图片

图3  不同病灶类型活检方式的选择

注:TBCB为经支气管冷东肺活检术;TBLB为经支气管镜肺活检术;TBB为经支气管黏膜活检
不同呼吸支持方式下场景及策略选择
如果患者无法脱离高水平的呼吸支持或其他生命支持手段,操作于床边完成时(如TBLB、TBCB、B超引导下经皮肺穿刺),宜选择ICU床边完成。对于部分操作复杂、需要多学科参与、手术时间长、需要手术麻醉科介入参与的介入操作,宜选在介入手术室进行。
图片
四、肺活检病例分享
病例1
70岁女性患者,咳嗽胸闷1月余入院。有免疫母T细胞淋巴瘤病史3年,目前口服西达本胺治疗隐球菌荚膜抗原持续阳性10个月,口服氟康唑400 mg qd治疗。入院氧合指数为150~200 mmHg。胸部CT示新发弥漫性磨玻璃影、实变影,右侧胸腔积液图4
图片
图4  患者胸部CT
初步诊断:淋巴瘤肺浸润?特殊病原体感染?药物相关间质性肺炎?
呼吸支持方式选择无创呼吸机辅助呼吸。
肺活检方式选择床边TBLB(右支气管镜下右下叶肺活检)。结果回报:送检肺组织肺泡隔轻度纤维组织增生,慢性炎症细胞浸润,部分肺泡腔内见单个及多个核组织细胞沉积,部分区域见碳末、尘埃沉着;免疫组化未提示恶性依据。免疫组化:D3(+),CD20(-),Ki-67(约30%+),P53(-),PD-1(-),CXCL-3(-),CD10(-)。特殊染色:GMS(-)。
考虑为隐球菌感染,遂改变治疗方式,将氟康唑加量至800 mg qd。1周后,患者氧合指数上升至250~300 mmHg,复查胸部CT较前明显吸收。
最终诊断:隐球菌肺炎。
病例2

59岁男性患者,咳嗽、胸闷2年余。诊断肺结核3年,规律抗结核治疗1年。有大理石切割职业史5年,脱离该职业10余年。入院氧合指数为200~300 mmHg,多项肿瘤指标升高,自身抗体阴性。胸部CT示双肺弥漫性磨玻璃影,索条影,小叶间隔增厚图5

图片
图5  患者胸部CT

初步诊断:急性间质性肺炎?肺结核复发?肿瘤肺转移?矽肺?

呼吸支持方式为高流量氧疗。

肺活检方式选择硬质支气管镜下冷冻肺活检(右肺下叶基底段)。结果回报:送检肺组织间质见慢性炎症细胞浸润和部分区域尘埃沉积,部分肺泡腔内见蛋白物质沉积,请结合临床排除职业或环境暴露相关肺病伴肺泡蛋白沉积症。

改变治疗方式:激素抗炎+阿托伐他汀钙调脂治疗。治疗后患者氧合指数250~300 mmHg,2周后复查胸部CT示病变较前明显吸收。

最终诊断:矽肺,继发性肺泡蛋白沉积症。

病例3

40岁女性患者,因“咳嗽、咳痰2月余,加重伴气喘20天”入院。无发热,无胸痛咯血,无下肢水肿。外院胸部CT示两肺感染。腺病毒IgM(+);CRP 34.1 mg/L;血气分析:pH 7.42,PaCO2 39 mmHg,PaO2 49 mmHg,SaO2 85%。常规抗病毒、抗感染治疗无效。

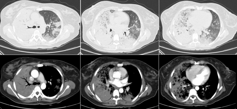
入院氧合指数<100 mmHg,感染指标基本正常,肿瘤指标无特殊异常,自身抗体阴性,病原学阴性。胸部CT示双肺大片实变渗出影,内可见支气管充气征图6

图片
图6  患者胸部CT
初步诊断:特殊病原体感染?急性纤维素性机化性肺炎?肺癌?淋巴瘤?
呼吸支持方式:无创呼吸机辅助呼吸。
肺活检方式选择为B超引导下经皮肺穿刺。结果回报:腺癌,贴壁生长为主。免疫组化:TTF-1(+++),P63(±),Ki-67(约30%+),VENTANA anti-ALK(D5F3);癌细胞(+)。
诊断:肺腺癌 Ⅳ期(ALK阳性),Ⅰ型呼吸衰竭。选择克唑替尼靶向治疗。该患者家庭条件等原因转回当地医院治疗,失访。
图片
五、小结

肺部弥漫性病变引起的急性呼吸衰竭是常见的呼吸危重症,因其病因复杂,病情危重,常规手段很难获得病因诊断。肺组织活检技术对于病因不明的呼吸危重症患者的救治具有潜在的临床应用价值。各项活检技术适合的病灶各不相同,应根据患者情况、病灶特点、活检医生熟悉的操作技术、并发症的处理条件等共同决定如何选择活检方式。最重要的是,由于重症患者进行肺活检的风险非常高,因此一定要与患者家属进行充分的沟通。

参考文献

[1] 中国医师协会呼吸医师分会呼吸危重症专委会, 中国医师协会呼吸医师分会介入呼吸病学工作委员会. 呼吸危重症患者行肺组织活检操作的专家意见[J]. 中华医学杂志, 2022, 102(22):1641-1647.

[2] Papazian L, Doddoli C, Chetaille B, et al. A contributive result of open-lung biopsy improves survival in acute respiratory distress syndrome patients[J]. Crit Care Med, 2007, 35(3):755-762.

[3] Gerard L, Bidoul T, Castanares-Zapatero D, et al. Open lung biopsy in nonresolving acute respiratory distress syndrome commonly identifies corticosteroid-sensitive pathologies, associated with better outcome[J]. Crit Care Med, 2018, 46(6):907-914.


作者简介


图片

高玉娟

  • 南京大学医学院附属南京鼓楼医院呼吸与危重症医学科
  • 医学博士,副主任医师
  • 江苏省医师协会呼吸医师分会第三届委员会间质性肺疾病学组工作秘书
  • 主要研究方向为免疫衰老在特发性肺纤维化发病中的机制研究
  • 以第一作者发表核心期刊及SCI论文多篇
  • 主持国家青年自然科学基金项目一项

*本文根据“呼吸危重症菁英秀”第四十二期专题视频整理,感谢高玉娟医师予以审核。

全部评论 0
Copyright©2020-2026 北京医麦斯科技有限公司 版权所有 京ICP备2020034400号-1 京公网安备11010502043983号