单位:河南省人民医院呼吸与危重症医学科
免疫受损宿主是由于各种先天或获得性免疫系统异常,机体比较容易受到各种致命性感染的一类患者。肺是免疫受损宿主最易受侵犯的脏器之一,发病率和死亡率较高。早期诊断,恰当治疗,是挽救生命的关键。
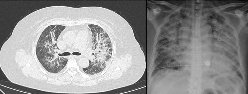
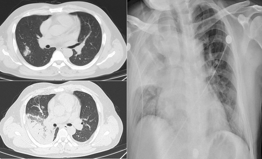
好发于用药后3个月,发热最常见,常是主要早期表现。呼吸道症状少,多以干咳为主,少见脓性痰。起病缓急差异极大,可以比较隐匿,也可突发起病,很快发展至严重呼吸衰竭,死亡率高。临床上常见的可快速进展至重症肺炎的病原体为耶氏肺孢子菌、巨细胞病毒、军团菌等。我中心曾收治一例成年女性患者,基础疾病为成人Still病,口服甲泼尼龙4个月,主诉“胸闷、呼吸困难4 d”,入住我院心内科,入院后诊断为“心衰”并进行相关处理,完善胸部CT检查可见双肺渗透性病变(图1),考虑呼吸困难原因为“肺部感染”,遂转入呼吸科治疗。转入呼吸科2天后,患者氧合迅速恶化,出现呼吸窘迫,氧合不能维持,于是转入RICU。转入当天再次复查胸部X线片发现双肺大面积渗出性病变(图1),最终诊断为PCP。该患者从发病到氧合不能维持行机械通气共7 d时间。另一例患者为中年男性,仓库保管员,以“发热”为主要诊断,入住血液科,基础疾病为初治的急性淋巴细胞白血病。入院第1天复查胸部CT可见右下肺少量片状渗出影(图2)。患者伴持续高热,予以常规抗G+菌及抗G-菌治疗,效果不佳。4 d后再次复查胸部CT发现肺部病变快速进展(图2)。患者出现严重呼吸窘迫,转入RICU。即刻完善气管镜检查,病原学提示军团菌,而此时患者已经出现极严重的呼吸窘迫,氧合不能维持,遂行气管插管接机械通气,最终病原学结果为军团菌。中年男性患者,基础疾病为肾病综合征,应用激素3个月,以“呼吸困难5 d”为主诉入院。胸部CT提示双肺弥漫性磨玻璃样渗出同时伴有大量结节(微小结节)(图3)。入院第2天紧急插管机械通气,最终病原学提示为巨细胞病毒感染。预测免疫受损宿主病死率的三个独立危险因素分别为:①疾病严重程度增加;②需要机械通气;③延迟诊断超过5 d以上。对于免疫受损宿主,早期诊断尤为重要,因其可以快速进展为重症ARDS。不同的氧合状况下,ARDS的诊疗策略不同。对于轻、中度ARDS,通常选择无创通气;对于中重度ARDS,通常以有创机械通气、俯卧位以及ECMO等进行呼吸支持。重症ARDS治疗的具体步骤和实施方法(简称“六步法”)如下:
步骤1:小潮气量肺保护性通气(6 ml/kg,如果气道平台压仍高于30 cmH2O,则潮气量可逐渐降至4 ml/kg),测气道平台压,如果<30 cmH2O,进人步骤2a;如果>30 cmH2O,进入步骤2b。
步骤2a:实施肺复张和/或单独使用高PEEP。
步骤2b:实施俯卧位通气或高频振荡通气。
步骤3:评价氧合改善效果,静态顺应性和死腔通气。如果改善明显则继续上述治疗。如果改善不明显,则进入步骤4。
步骤4:吸入一氧化氮;如果数小时内氧合及顺应性改善不明显,则进入步骤5。
步骤5:小剂量糖皮质激素(须权衡利弊)。
步骤6:考虑实施ECMO。入选患者高压机械通气时间小于7 d。
在“六步法”的具体实施过程也面临诸多问题,如镇痛、镇静、肌松药的使用,以及此类药物导致的胃肠蠕动能力丧失、循环恶化、肌肉蛋白分解、咳嗽咳痰能力减弱以及呼吸肌肌力下降等一系列问题。既往研究显示,免疫缺陷宿主罹患重症肺炎,整体预后偏差,但不同类型免疫缺陷宿主的重症肺炎,其预后仍然存在一定差异[1]。而导致免疫受损宿主重症肺炎高死亡率的原因主要包括:①因免疫受损导致原发性感染难以控制或出现其他相关并发症;②因机械通气导致的继发性感染及呼吸机相关性损伤。我们能否通过改善机械通气、减少继发感染概率来降低此类患者的死亡率?VAP发生的原因包括:自身菌群的易位;气管插管内细菌定植;呼吸管道污染;局部免疫力下降;机械通气时间;ICU环境及医护水平;等。临床上也有一系列降低VAP发生率的措施,如:体位的管理,呼吸道的管理,加强口腔护理(推荐口腔冲洗),声门下吸引,勿频繁更换呼吸机管路,及时倾倒冷凝水,合理使用抗生素,支持治疗,缩短机械通气时间等。如果临床中尽量避免有创机械通气的使用,是否能够降低VAP的发生?在既往ARDS治疗经验中,如果缺少了机械通气,无法保证患者的氧合状况,但ECMO的应用给我们提供了更多选择。清醒ECMO在改善氧合状况、纠正呼吸衰竭的同时,能够避免有创机械通气导致的继发性VAP。由于患者处于清醒状态,镇痛、镇静、肌松药的用量更低,也能最大限度地改善此类药物导致的低血压、肌肉蛋白分解以及肌力丧失。既往相关研究样本量均较小。一项针对免疫缺陷宿主重症肺炎清醒ECMO的研究显示,2/3的清醒ECMO上机患者需要二次插管(中位时间约为5 d),但清醒组患者的生存率明显优于最初插管组;初始插管组患者死亡原因排名第一位的是继发性感染所致脓毒性休克[2]。另外一项有关清醒ECMO研究分析了可能导致二次插管的原因,其中最主要的原因是烦躁,并非氧合不能维持[3]。患者男性,63岁。代主诉:发热、咳嗽1月余,加重伴呼吸困难2 d。现病史:入院1月余前:无明显诱因出现发热,最高体温至39.0℃,伴四肢乏力,无胸闷,胸部CT提示肺部感染,给予对症抗感染治疗后体温稳定,但胸部影像学无吸收,遂出院。入院25 d前:无明显诱因出现发热,最高体温至39.0℃,伴四肢乏力,无胸闷,胸部CT提示肺部感染,给予对症抗感染治疗后体温稳定,但胸部影像学无吸收,遂出院。入院18 d前:为治疗原发血液系统疾病,至当地医院血液科就诊,治疗期间再次出现发热,体温最高39.5℃,给予多种抗感染治疗效果差。入院2 d前:突然出现喘憋、胸闷症状,且呈进行性加重趋势。个人史:吸烟史30余年,约5支/d,未戒烟。饮酒史30余年,约150 ml/次,未戒酒,余无特殊。对患者总体免疫状况以及耐受程度进行了系统评估,与家属充分沟通后予患者实施了无创呼吸机支持下的清醒ECMO,并在EIT指导下行俯卧位通气,床旁超声实时指导下进行液体管理。在患者ECMO上机3 d后,状况平稳,进行早期康复,在ECMO和无创呼吸机待机支持情况下,进行床旁坐位支持。早期呼吸康复活动,恢复患者咳嗽咳痰能力及上肢肌群的早期加速康复。经过上述治疗,患者在第10天成功撤离ECMO,序贯高流量氧疗。第15天由RICU转入普通病房。在院治疗21 d后康复出院,之后恢复正常活动能力。该病例的救治成功也为清醒ECMO的实施提供了一些借鉴。未来希望能够进一步探讨免疫受损宿主重症肺炎的最佳呼吸支持方案,进一步研究哪些患者更容易从清醒ECMO中获益。[1] Schmidt M, Schellongowski P, Patroniti N, et al. Six-Month Outcome of Immunocompromised Patients with Severe Acute Respiratory Distress Syndrome Rescued by Extracorporeal Membrane Oxygenation. An International Multicenter Retrospective Study[J]. Am J Respir Crit Care Med, 2018, 197(10):1297-1307.
[2] Stahl K, Schenk H, Seeliger B, et al. Extracorporeal membrane oxygenation for acute respiratory distress syndrome due to Pneumocystis pneumonia[J]. Eur Respir J, 2019, 54(3):1900410.
[3] Stahl K, Schenk H, Kühn C, et al. Extracorporeal membrane oxygenation in non-intubated immunocompromised patients[J]. Crit Care, 2021, 25(1):164.

- 河南省人民医院呼吸与危重症医学科 主治医师,医学硕士
*本文根据“呼吸危重症菁英秀”第三十六期专题视频整理,感谢刘辉医师予以审核。