单位:福建医科⼤学附属第⼆医院呼吸与危重症医学科
一、定义及原理
肺动脉假性动脉瘤(pulmonary artery pseudoaneurysms,PAPs)是⾎管损伤的并发症,感染、外伤、医疗操作等原因破坏了肺动脉⾎管壁,肺动脉膨胀所形成的圆形结构。与真性动脉瘤相比,假性肺动脉瘤更容易破裂出⾎,导致⼤咯⾎,甚⾄危及⽣命。下图是国外文献报道,可见肺动脉外周出现了PAPs,整个血管壁已被破坏,其原因是金黄色葡萄球菌感染[1]。图源:Ann Thorac Surg, 2003, 75(4):1332.
对于大咯血的定义,⽬前尚⽆统⼀的标准,主要以咯出的⾎量为重点:24 h咯血量超过500 ml,或⼀次咯血量超过100 ml。也有学者认为如果患者咯血期间出现窒息、呼吸衰竭、休克等危及⽣命的状态,也可认为是大咯血。⼀项法国巴黎Tenon Hospital咯⾎治疗中⼼的回顾性研究纳入了1995—2009年共1087例患者。分析显示,即使患者咯血量超过300 ml,其与患者的死亡率也并不相关。基于模型的评分(慢性酒精中毒、肺动脉受累和X线胸片≥2个肺叶,各1分;癌症、曲霉病和机械通气,各2分)对死亡率的预测如下:0分,1%;1分,2%;2分,6%;3分,16%;4分,34%;5分,58%;6分,79%;7分,91%[2]。需要注意的是,出血是否由肺动脉所引起。既往认为肺动脉原因引起的出血通常为粉红色泡沫样痰,但实际上肺动脉受累有时可能也会引起大咯血。因此,大咯血患者死亡与咯血量并不完全一致,也可能与其他病因及患者初始呼吸和循环状态等有关。目前针对大咯血的一线治疗方法是支气管动脉栓塞,整体治疗效果较好。我国学者的一项回顾性观察研究纳入344例患者,其中结核190例(55.2%),⽀⽓管扩张99例(28.8%),恶性肿瘤20例(5.8%),特发性18例(5.2%),肺炎6例(1.8%),⽀⽓管动脉畸形6例(1.8%),⽀⽓管动脉瘤1例(0.2%),其他肺部疾病4例(1.2%)。成功⽌⾎患者330/344(96%)。61例(17.7%)患者1个⽉内复发,3例需行⽀⽓管动脉栓塞,2例原位出⾎,1例新的部位出⾎。74例(21.5%)患者1个⽉后复发[3]。有部分PAPs在支气管动脉造影下无法发现,需通过CT才能发现。如果这部分大咯血患者行支气管动脉栓塞治疗,可能会遗漏PAPs,最终导致止血失败。所以,临床医生需提高对PAPs的认识。
二、PAP病因及CT分型
获得性PAPs的常⻅原因是创伤(通常为医源性)、感染、⾎管炎(特别是⽩塞病)和肿瘤。2017年发表的一篇文献纳入了24例患者,分析发现导致这些患者出现PAPs的主要原因包括感染、创伤、肿瘤、肺栓塞、支气管扩张、肺纤维化及特发性原因[4]。图源:AJR Am J Roentgenol, 2017, 208(1):84-91.从CT来看,PAPs可以分为中央型和外周型两种。中央型PAPs位于肺动脉干,定义肺动脉干直径29 mm或右叶间动脉直径17 mm,它们常与肺动脉高压有关。外周型PAPs位于肺内动脉上,很容易遗漏。由于急诊大咯血通常会行CT增强检查,然后再行支气管动脉栓塞,尤其在急诊情况下,可能会遗漏PAPs,进而出现危及生命的大咯血。越是远端血管越容易出现此种情况,因为远端血管壁较薄,而且被破坏。图源:Br J Radiol, 2017, 90(1073):20160783.图为一例53岁男性患者,因Swan-Ganz导管术诱发肺动脉假性动脉瘤(PAP):轴向CT血管成像(a,c),冠状重建(b)和三维重建(d)显示左上叶心尖段PAP(箭头)。患者接受保守治疗,病情稳定[5]。外周型PAPs造影分型:A型,肺动脉主干造影可见;B型,在肺动脉主干不可见,仅在选择性肺血管造影中可见;C型,支气管动脉造影可见,肺动脉造影不可见;D型,仅在肺CT血管造影可见,支气管动脉和肺动脉造影均不可见[6]。图源:Radiology, 2010 , 256(2):656-664.患者男性,70岁,入我院诊治,诊断为慢性阻塞性肺疾病(慢阻肺)、左⾆叶肺脓肿并PAPs、糖尿病。突发⼤咯⾎,⽓管插管。经抢救暂时止血。CT增强扫描发现血管膨大,肺动脉造影在肺动脉主干处发现PAP。CT容积重建技术(VR)也可见肺动脉瘤,其与肺动脉沟通。放置弹簧圈后⽌⾎。由于年龄较大,基础情况不佳,且有糖尿病、慢阻肺等合并症,患者于止血后半年余因肠穿孔死亡。
病例2
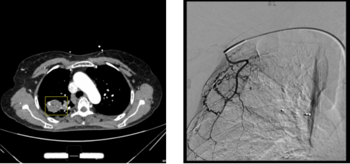
患者男性,65岁,⻋祸、外伤后出现咯⾎13天,⼤咯⾎,肋骨骨折,胸部损伤,左肺下叶⽀⽓管扩张伴感染。于我院就诊。急诊CT血管成像和VR,可见肺动脉分支与PAP相通,但肺动脉主干造影未见PAP,将导管置于左下叶肺动脉,造影可见动脉瘤。予肺动脉放置弹簧圈,造影显示PAP消失,后⽌⾎。

上述两个病例分别为PAPs造影分型的A型和B型,此类患者首先需要通过胸部CT发现PAPs,如果没有发现,按照常规流程后续需行支气管动脉栓塞,很容易被遗漏,且止血困难。患者⼥性,50岁,右上肺空洞型肺结核,侵袭性肺曲霉病。大咯血,于外院行支气管动脉栓塞,仍无法止血。考虑转运途中存在一定风险,我院团队至当地医院进行救治。支气管镜下清理血块,寻找出血位置,以便进行球囊保护,然后进行支架封堵,为外科手术或血管栓塞创造机会。封堵支架为房间隔封堵器(下图所示),但其并无肺内使用指征,通过医院伦理审查予以使用。支架置入后患者情况较稳定,转至我院继续治疗。入院后经检查发现PAPs,该动脉瘤是由锁骨下动脉分出的胸廓动脉供血,遂行右侧胸外侧动脉栓塞微球栓塞。这一病例提示我们,进行动脉栓塞时,除了支气管动脉,锁骨下动脉、胸廓动脉、腹腔干也应纳入,避免遗漏责任血管。
四、小结
⼤咯⾎是呼吸与危重症医学科常⻅危重症。在⽌⾎治疗中,⽀⽓管动脉栓塞是⼀线治疗⽅案,成功率较高。但必须警惕部分出⾎原因,尤其是肺动脉系统⽽⾮⽀⽓管动脉系统因素。PAPs因为⾎管壁被破坏,⼤咯⾎⻛险⼤。主要发现⽅式是胸部CT⾎管成像,治疗方法主要通过动脉栓塞(包括弹簧圈和栓塞微球)。
[1] Merlino J, Temes R T, Joste N E, et al. Invasive pulmonary mucormycosis with ruptured pseudoaneurysm[J]. Ann Thorac Surg, 2003, 75(4):1332.
[2] Fartoukh M, Khoshnood B, Parrot A, et al. Early prediction of in-hospital mortality of patients with hemoptysis: an approach to defining severe hemoptysis[J]. Respiration, 2012, 83(2):106-114.
[3] Shao H, Wu J, Wu Q, et al. Bronchial artery embolization for hemoptysis: a retrospective observational study of 344 patients[J]. Chin Med J (Engl), 2015, 128(1):58-62.
[4] Chen Y, Gilman M D, Humphrey K L, et al. Pulmonary Artery Pseudoaneurysms: Clinical Features and CT Findings[J]. AJR Am J Roentgenol, 2017, 208(1):84-91.
[5] Guillaume B, Vendrell A, Stefanovic X, et al. Acquired pulmonary artery pseudoaneurysms: a pictorial review[J]. Br J Radiol, 2017, 90(1073):20160783.
[6] Shin S, Shin T B, Choi H, et al. Peripheral pulmonary arterial pseudoaneurysms: therapeutic implications of endovascular treatment and angiographic classifications[J]. Radiology, 2010 , 256(2):656-664.
*本文根据“呼吸危重症菁英秀”第二十六期专题视频整理,感谢陈云峰医师予以审核。