登录方式

方式一:
PC端网页:www.rccrc.cn
输入账号密码登录,可将此网址收藏并保存密码方便下次登录

方式二:
手机端网页:www.rccrc.cn
输入账号密码登录,可将此网址添加至手机桌面并保存密码方便下次登录

方式三:
【重症肺言】微信公众号
输入账号密码登录

注:账号具有唯一性,即同一个账号不能在两个地方同时登录。

登录
方式

为重症救治赋能

为患者康复加速

当前位置: 首页 呼吸危重症菁英秀

间质肺炎病因多,拨开迷雾查真凶

阳甜 西安交通大学第一附属医院 发布于2024-05-08 浏览 1466 收藏

作者:阳甜

单位:西安交通大学第一附属医院呼吸与危重症医学科

图片
一、病情介绍

基本信息

患者男性,67岁,公务员退休。主诉:乏力、气短20 d,发热3 d。入院日期:2021年10月30日。

现病史

20 d前无明显诱因出现乏力、气短,活动后加重,伴腹胀、纳差,就诊于长安区人民医院住院治疗,查胸部CT提示双肺磨玻璃样渗出影,给予“头孢哌酮舒巴坦钠、莫西沙星”抗感染及平喘化痰等治疗无缓解。3 d前出现发热,测体温38.5℃,感气短、乏力症状逐渐加重,复查胸部CT提示双肺病灶较前加重。为进一步治疗转至我院。


既往史、个人史及家族史

2个月前出现“皮疹”,以躯干背部、双下肢为著,于外院皮肤科诊断“过敏性皮炎”,给予“氯雷他定片、润燥止痒胶囊、甲泼尼龙”治疗6 d后皮疹消退。1个月前诊断为“慢性胃炎”,自服“吗丁啉、保和丸、香砂养胃丸”治疗。吸烟史20余年,约20支/周,未戒烟,无饮酒史。父亲因“横纹肌肉瘤”过世,母亲因“脑瘤”过世。

体格检查

T 38.1℃,P 96次/minR 40次/minBP 127/71 mmHg,SpO2 96%(面罩吸氧6 L/min)。双肺呼吸音粗,双下肺可闻及湿啰音,未闻及胸膜摩擦音。心脏、腹部查体未见异常。双侧掌指关节伸面、近端指间关节伸面、肘关节伸面可见红色斑片状、脱屑样皮疹,呈对称性分布。关节无肿胀、畸形,双下肢无水肿。


辅助检查

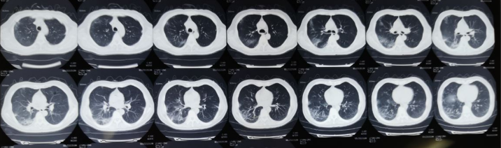
胸部CT:2021年10月21日外院胸部CT可见双肺下叶背段及基底段出现间质性改变(图1)。10月29日复查胸部CT可见双肺磨玻璃样改变较前明显加重,双侧出现少量胸腔积液(图2)


图片
1  患者胸部CT(2021-10-21)

图片
2   患者胸部CT(2021-10-29)

细胞分析五类:白细胞计数11.17×109/L,中性粒细胞百分比92.3%,淋巴细胞计数0.4×109/L。

肝功、肾功、电解质、心肌酶谱:白蛋白26.9 g/L,乳酸脱氢酶393 U/L,羟丁氨酸脱氢酶 310 U/L;肾功、电解质大致正常。

血气分析:pH 7.54,PaCO 24 mmHg,PaO71 mmHg(氧合指数157 mmHg),SpO2 96%,BE -0.6 mmol/L。

凝血、传染性指标八项:正常。

感染指标:降钙素原2.14 ng/ml,呼吸道病毒抗体八项、巨细胞病毒定量、EB病毒定量、G试验、GM试验、结核感染T细胞检测、PPD均阴性。

炎症指标:C反应蛋白64.6 mg/L,红细胞沉降率31 mm/h。

肿瘤标志物十二项:CEA 9.650 ng/ml(0~5 ng/ml)。

免疫指标:抗SSA/Ro52kD抗体弱阳性(±),白蛋白50.50%(55.8%~66.1%),α1球蛋白7.90%(2.9%~4.9%),γ-球蛋白20.20%(7.1%~11.8%),风湿三项、抗角蛋白及抗MCV抗体、抗环瓜氨酸肽抗体、抗中性粒细胞胞浆抗体、抗核抗体滴度、抗心磷脂IgM抗体、免疫八项均阴性。

心动超声:射血分数67%,左室舒张功能减低。

腹部B超:胆囊壁毛糙。

双下肢静脉超声:未见明显血栓形成。

床旁支气管镜(2021-10-30):双侧支气管黏膜充血,管腔通畅,未见肿物、出血及狭窄。BALF mNGS回报耶氏肺孢子菌(序列数10)、微小脲原体(序列数1)


初步诊断

重症肺炎,Ⅰ型呼吸衰竭;低蛋白血症;轻度贫血。


图片
二、诊治经过

治疗方案

面罩吸氧;

美罗培南+更昔洛韦+卡泊芬净+复方新诺明抗感染治疗;

甲强龙40 mg qd抗炎;

茶碱类药物扩张支气管;

乙酰半胱氨酸化痰;

胸腺肽增强免疫力;

补充白蛋白、保肝、护胃、营养支持等对症治疗。


病情演变

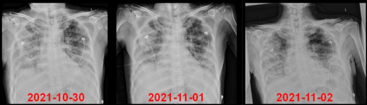
治疗3 d后,白细胞计数、C反应蛋白、降钙素原均降至正常;但患者气短症状无明显减轻,复查影像学检查无明显改善(图3)


图片
3   患者胸部CT(2021-11-03)

复查胸X线片如图4所示

图片
4  复查患者胸部X线片情况

临床思辨

双肺弥漫性间质性病变的诊断思路?

经过抗感染、抗炎治疗后,感染及炎症指标恢复正常,但气短缓解不显著,胸部影像学无明显改善,感染能否解释疾病全貌?

可能的诊断及下一步检查?


关注皮疹

患者双侧掌指关节伸面、近端指间关节伸面、肘关节伸面可见红色斑片状、脱屑样皮疹,呈对称性分布(图5)


图片
5  患者皮疹

进一步检查

肌炎抗体(2021-11-02):MDA5 IgG(+),SSA/RO52 IgG(+)。

全身PET-CT(2021-11-02):双肺感染伴间质性炎;肝囊肿,间位结肠;前列腺肥大;颅脑实质未见异常。


诊断
皮肌炎(MDA5阳性),快速进展型间质性肺炎,Ⅰ型呼吸衰竭;低蛋白血症;轻度贫血。

诊治经过
在原有治疗基础上,甲强龙500 mg qd×3 d→ 甲强龙80 mg qd →逐渐减量;人免疫球蛋白20g qd×5 d;肺部出现纤维化,加用吡非尼酮胶囊200 mg po tid,逐渐加量;排除肿瘤后,给予托法替布5 mg 2次/d+他克莫司0.5 mg 2次/d。


影像学变化
经过治疗,患者双肺磨玻璃样改变较前有所吸收,12月6日随访CT可见双肺间质性改变较前明显改善(图6)


图片
6  患者影像学变化

心得体会
间质性肺病(ILD)是结缔组织病(CTD)患者常见的肺部并发症,临床工作中,如遇到肺间质性病变伴皮疹病例时,需积极排除结缔组织病。快速进展性间质性肺病(RP-ILD)的诊断需要“稳、准、快”。对于MDA5阳性-RP-ILD,强调联合治疗。CEA升高并非都是肿瘤,间质性肺炎时可伴有CEA增高。

图片
三、MDA5阳性皮肌炎相关间质性肺病

MDA5阳性皮肌炎临床特征
抗MDA-5抗体是(黑色素瘤分化相关蛋白5)肌炎特异性抗体,与特发性炎性肌病高度相关的抗体,尤其与临床无肌病性皮肌炎相关,又称抗临床无肌病性皮肌炎(CADM)-140抗体。抗MDA5抗体阳性患者发生急性进展性肺间质病变以及皮肤病变的可能性大,可能提示预后欠佳。血清抗MDA5抗体浓度会随病情变化而发生改变。炎症性肌病(IM)临床主要关注三方面:肺部间质性改变,肌力变化,皮肤方面的改变(如皮疹、丘疹等)。


MDA5阳性皮肌炎的临床特征包括皮肤损害和系统损害,其中合并间质性肺病的概率较高,占42%~100%,39%~92%的患者可能会合并快速进展性间质性肺病(MDA5+DM-RPILD)。


MDA5+DM-RPILD

ILD进展:①症状表现为活动后气短恶化;②HRCT:ILD病变范围扩大;③肺功能(3项中符合2项):FVC下降≥10%,DLCO下降≥15%,休息或在心肺运动试验中SaO下降≥4%或PaO2升高≥4 mmHg。

RP-ILD:进展快,死亡率高。病程发病后3个月内,即使经过积极的免疫抑制治疗仍在1个月内死亡,40%的患者在6个月内死亡。


CTD-ILD发病机制

遗传易感人群在受到如吸烟、化学物质暴露、感染、胃食管反流病等外部因素作用下,引起肺部损伤,尤其是肺上皮细胞损伤以及异常修复,引起肺泡巨噬细胞活化,中性粒细胞募集和氧化应激,随着时间的推移,ECM增加,进而导致肺间质纤维化。早期可有肺泡炎的表现,随着疾病进展,会出现肺泡间隔的增厚,胶原纤维的沉积,毛细血管床显著减少,出现肺泡结构的改变以及纤维化。间质性改变最初可能表现为免疫异常和炎症损伤,疾病发展后期会引起肺组织纤维化。

图片

MDA5+DM病因和发病机制
Ⅰ型干扰素通路的异常激活在MDA5+皮肌炎发病中发挥重要作用。小核糖核酸病毒(甲肝病毒、柯萨奇病毒、鼻病毒、肠道病毒)感染可通过Ⅰ型IFN通路(IFN-α、IFN-β)激活MDA5;MDA5+DM-RPILD病例的血清IFN-α、铁蛋白、IL-8明显增高;此外,高铁蛋白血症是MDA5+DM-ILD的特征性表现。

MDA5+DM-ILD血清标志物

MDA5+DM-ILD血清标志物包括抗MDA5抗体、抗Ro52抗体、MAAs,此外,铁蛋白、LDH、KL-6也是相关的预后标志物。其他相关可预测因子如IL-5、YKL-40、IL-6等,后续仍需要更多的临床研究加以证实。


图片

参考文献

[1] 王凯歌, 杜鑫淼, 程德云. 抗黑色素瘤分化相关基因-5(MDA5)抗体与抗MDA5抗体阳性皮肌炎[J]. 中华内科杂志, 2018, 57(12):938-941.

[2] Kurtzman D J B, Vleugels R A. Anti-melanoma differentiation-associated gene 5 (MDA5) dermatomyositis: A concise review with an emphasis on distinctive clinical features[J]. J Am Acad Dermatol, 2018, 78(4):776-785.

[3] Wu W, Guo L, Fu Y, et al. Interstitial Lung Disease in Anti-MDA5 Positive Dermatomyositis[J]. Clin Rev Allergy Immunol, 2021, 60(2):293-304.

[4] Kurtzman D J B, Vleugels R A. Anti-melanoma differentiation-associated gene 5 (MDA5) dermatomyositis: A concise review with an emphasis on distinctive clinical features[J]. J Am Acad Dermatol, 2018, 78(4):776-785.

[5] Ye S, Chen X X, Lu X Y, et al. Adult clinically amyopathic dermatomyositis with rapid progressive interstitial lung disease: a retrospective cohort study[J]. Clin Rheumatol, 2007, 26(10):1647-1654.

[6] Kameda H, Nagasawa H, Ogawa H, et al. Combination therapy with corticosteroids, cyclosporin A, and intravenous pulse cyclophosphamide for acute/subacute interstitial pneumonia in patients with dermatomyositis[J]. J Rheumatol, 2005, 32(9):1719-1726.

[7] Shao T, Shi X, Yang S, et al. Interstitial Lung Disease in Connective Tissue Disease: A Common Lesion With Heterogeneous Mechanisms and Treatment Considerations[J]. Front Immunol, 2021, 12:684699.

[8] Dias Junior A G, Sampaio N G, Rehwinkel J. A balancing act: MDA5 in antiviral immunity and autoinfammation[J]. Trends Microbiol, 2019, 27(1):75-85.

[9] Horai Y, Koga T, Fujikawa K, et al. Serum interferon-α is a useful biomarker in patients with anti-melanoma differentiation-associated gene 5 (MDA5) antibody-positive dermatomyositis[J]. Mod Rheumatol, 2015, 25(1):85-89.

[10] Wu W, Guo L, Fu Y, et al. Interstitial Lung Disease in Anti-MDA5 Positive Dermatomyositis[J]. Clin Rev Allergy Immunol, 2021, 60(2):293-304.

作者简介



图片
阳甜

  • 副主任医师,医学博士,硕士生导师

  • 西安交通大学第一附属医院呼吸与危重症医学科

  • 陕西省保健学会呼吸病学专业委员会委员

  • 陕西省保健学会心肺预防康复专业委员会委员

  • 陕西省医师协会呼吸科医师分会第一届委员会委员

  • 陕西省医师协会睡眠医学专业委员会第一届委员会委员

  • 西安医学会肿瘤学分会青年委员会委员

  • 获得国家发明专利1项,负责陕西省科技攻关项目1项、陕西省国际合作项目1项

  • 作为第一作者发表SCI论文6篇、中文核心期刊论文4篇,参编专著1部


*本文根据“呼吸危重症菁英秀”第十三期专题视频整理感谢阳甜医师予以审核。

全部评论 0
Copyright©2020-2026 北京医麦斯科技有限公司 版权所有 京ICP备2020034400号-1 京公网安备11010502043983号