登录方式

方式一:
PC端网页:www.rccrc.cn
输入账号密码登录,可将此网址收藏并保存密码方便下次登录

方式二:
手机端网页:www.rccrc.cn
输入账号密码登录,可将此网址添加至手机桌面并保存密码方便下次登录

方式三:
【重症肺言】微信公众号
输入账号密码登录

注:账号具有唯一性,即同一个账号不能在两个地方同时登录。

登录
方式

为重症救治赋能

为患者康复加速

当前位置: 首页 呼吸危重症菁英秀

宏基因组高通量测序技术在革兰氏阴性菌耐药表型检测中的研究进展

张群 江苏省人民医院 发布于2024-05-08 浏览 2603 收藏

作者:张群

单位:江苏省人民医院呼吸与危重症医学科

图片
一、耐药现状及常见检测方法

1. 耐药现状
目前临床耐药现象非常严峻,革兰氏阴性菌耐药现象尤为严重,已出现对所有抗菌药物耐药的超级菌种。细菌耐药现象已成为全球公共卫生安全最大威胁之一。2020年Chinet耐药监测排名前5位的分离菌分别为:肺炎克雷伯菌、鲍曼不动杆菌、铜绿假单胞菌、金黄色葡萄球菌和嗜麦芽窄食单胞菌。自2017年起,肺炎克雷伯菌在呼吸道标本中的分离率超过鲍曼不动杆菌,上升至第1位。此外,革兰氏阴性菌对碳青霉烯的耐药率也居高不下。

图片

临床更希望能快速、精准识别耐药菌,可以尽早进行有效治疗,但目前传统微生物培养和药物敏感性检测仍然存在一些缺点,检测谱窄、敏感性差、耗时较长、缺乏专业培养基和延迟应答。现在应用越来越广泛的分子检测技术可以检测病原体,并且检测相关耐药基因,如果能从耐药基因推测耐药表型,可以使临床抗菌药物调整更加快速和精准。

2. 耐药基因型与耐药表型
病原微生物呈现的耐药特征称为耐药表型(resistant phenotype),其中有细菌的耐药特征、抗生素的各种MIC值。拥有的耐药基因称为耐药基因型(resistant genotype)。病原微生物的耐药基因型决定耐药表型,而耐药表型和耐药基因型之间并非完全一致。能否通过检测细菌的耐药基因预测其耐药表型,进而调整抗菌药物治疗方案?

传统耐药表型的检测有一定的优势和局限性,最大的优势是目前确诊耐药感染的金标准,局限性在于:①耗时长(平均5~7 d),临床无法快速获得细菌耐药信息,可能延误疾病的诊疗;②药物选择方面存在滞后性,部分限制级抗菌药物或新型抗菌药物临床应用存在滞后性;③获得的药物体外高敏感不一定代表在体内高敏感;④无法辨别耐药机制。

基因表型检测有一些优势。①耗时短。mNGS检测报告带有耐药基因型,目前最快可以24 h内出报告;②敏感性高,mNGS能在比较少的细菌负荷情况下提供耐药基因信息。尽管如此,基因表型检测仍然难以避免一些假阳性或假阴性结果,且其花费高,临床经验相对缺乏。总体来说,分子检测如高通量测序可以在一定程度上作为补充来指导抗菌药物的精准使用。

图片

3. 基因-表型检测
目前传统耐药表型检测方法有稀释法、纸片扩散法等,基因型的检测方法包括PCR、DNA芯片、高通量测序。PCR方法具有局限性,一次只能检测一种耐药基因,而高通量测序目前在临床中的应用越来越广泛。

图片

分子方法目前也比较多地应用于临床和基础研究。一项研究通过PCR检测发现我国CRKP耐药严重且携带多种耐药基因,最常见的耐碳青霉烯酶基因为KPC-2(KPC-2在CRKP中的检出率达77.52%),且KPC-2的基因型和耐药表型有较好的相关性。KPC-2作为碳青霉烯的水解酶具有很好的表达效果,只要能检测出来,就能表现出耐碳青霉烯的表型。

Hindiyeh等研究利用实时PCR检测KPC基因,该研究共分析187份来自128例入住监护病房患者的鼻咽/粪便样本,实时PCR检测(NucliSENS easyMAG system,核酸提取系统)发现54例KPC基因阳性标本,47例药敏试验显示耐碳青霉烯的肺炎克雷伯菌,剩余7例耐药基因阳性而表型阴性,未发现KPC的133例标本均为碳青霉烯敏感。研究得出结论:PCR检测碳青霉烯耐药菌株的敏感性为100%,特异性为95%。

图片
二、测序技术在耐药检测中的应用

高通量测序根据临床应用可以分为以下三种类型:全基因组测序(whole genome sequencing,WGS),宏基因组高通量测序(metagenomic next‑generation sequencing,mNGS),靶向基因测序(targeted next-generation sequencing,tNGS)。WGS与mNGS属于无靶向的高通量测序,可以对数十万到数百万条DNA分子序列进行无偏倚读取。区别在于,WGS是对标本培养分离后的纯菌落进行基因组检测,获取全部基因信息;而mNGS则是对送检标本直接测序,获得所需要的基因信息。

从细菌的耐药机制来看,我们比较熟悉的有三种耐药机制:①抗菌药物到达靶位点的穿透力下降或抗菌药物的外排增加;②靶位点改变;③细菌的酶使抗菌药物失活。这三种机制都会有对应的基因改变,目前普遍认为编码水解酶基因与细菌耐药的抗菌药物之间关系最直接。

生物膜机制的耐药基因表现为调控膜孔蛋白的基因发生突变、碱基缺失、插入时导致蛋白表达异常,从而产生耐药;而测序技术只能检测表达基因而无法识别基因改变。细菌外排泵排出药物以降低有效药物浓度而产生耐药,革兰氏阴性菌存在特异的外排泵系统,由不同基因编码而成,测序技术可获取相关耐药基因信息。但外排泵的种类繁多,机制复杂,多个外排泵之间可以相互作用,外排系统在耐药表型中的相关作用仍不明确,需进一步研究。从基因层面来看,似乎与耐药表型的一致性非常低。

从分子检测角度分析,水解酶基因与抗菌药物之间的特异性较强。研究革兰氏阴性菌水解酶基因及其表型的相关性可能更具有临床应用前景。目前临床常见的水解酶主要分为超广谱β-内酰胺酶(ESBL)、耐碳青霉烯酶及头孢菌素酶。不同水解酶存在各自相对应的编码基因,例如ESBL内常见耐药编码基因为TEM、SHV、CTX-M及OXA,还有部分少见基因如PER、VEB、GES、BES、SFO及TLA;碳青霉烯酶编码基因包括IMI、KPC、GES、IMP、VIM、NDM、GIM、SIMOXA,还包括新近发现的SPM、DIM、KHM、TMP等。头孢菌素酶编码基因主要为AmpC,及少数碳青霉烯类耐药的亚型,包括CMY-2、ACT-1、DHA-1ADC-68

相同水解酶可见于不同细菌,根据流行病学特点,各细菌存在相对特异的水解酶。就我国碳青霉烯酶的分布而言,如果检出IMP、VIM、GIM,考虑耐碳青霉烯铜绿假单胞菌;检出IMP、VIM及NDM,考虑耐碳青霉烯鲍曼不动杆菌;检出KPC,考虑耐碳青霉烯肺炎克雷伯杆菌;如果没有检测出肺炎克雷伯杆菌,但检出KPC,需考虑标本可能含有肺炎克雷伯杆菌,但没有检测出,因为KPC的特异性极强。

图片
三、mNGS检测耐药基因的临床实践

mNGS研究集中于致病微生物诊断识别,耐药基因检测的研究尚不多见,近年来文献逐渐提示mNGS在耐药基因检测方面具有临床应用潜力。2014年,Hasman通过WGS直接检测尿液标本病原体及其耐药基因,最终发现直接检测样本所获得信息与药物敏感性试验及纯菌株WGS检测一致。2017年,Rounak团队直接测序及培养肺囊性纤维化患者痰液标本,发现测序不仅可以提供更完整的微生物学信息,同时还能给予相关准确耐药信息。2020年,国外团队分析了295份标本微生物培养及测序结果,发现直接测序抗菌药物耐药基因型与某些特定抗菌药物间存在密切关系。

目前mNGS耐药基因的检测也越来越多地接近临床。一项研究纳入8组耐碳青霉烯类肺炎克雷伯菌株(CRKP)。1567D组使用长序列测序作为对照,其余7组使用短序列测序。短序列测序中除了2036D组,均测出KPC-2。基因与耐药表型符合度高,可以帮助临床监控CRKP。

临床仍有很多问题需要解决。对于mNGS结果,首先解读检测致病病原体,进一步判断细菌耐药性。耐药性判断应结合耐药危险因素、当地流行病学等信息后指导抗菌药物使用。《宏基因组高通量测序技术应用于感染性疾病病原检测中国专家共识》建议用于无背景菌存在且采集过程未受污染的标本,并建议检测存在菌种特异性的耐药性基因并将耐药基因准确定位到具体的病原体上以明确其临床价值,不能有混合感染或者交叉定位。但临床实际情况是,呼吸道标本mNGS检测耐药无法完全满足指南要求,临床mNGS送检多见于病情危重或感染反复未得到控制的患者,mNGS可以快速提供关键信息复杂病情使测序结果的准确判断更加依赖于临床医生的科学解读。

整体来说,mNGS在应用时,首先要确定病原体,有很多参数需要进行解读,其次要分析患者的耐药风险、机体功能状态、自身免疫情况、是否用过抗菌药物等,然后再分析耐药基因的特征,有些耐药基因的表达很可能就是耐药,还有些耐药基因和病原体本身特征性的对应;综合考虑调整临床用药。例如检出了ESBL,就可以考虑直接升级到碳青霉烯类抗生素,如果检出了碳青霉烯酶,就要考虑能否再升级抗生素。另外还需考虑耐药基因的种属分布特点,一旦检出某些耐药基因(如KPC、OXA48、NDM),如果临床考虑感染,无论定位到哪种病原体上,虽然没有明确的药敏结果,仍要考虑根据这些结果调整或升级抗生素,因其种属特征相关性较小。

图片

《肠杆菌目细菌碳青霉烯酶的实验室检测和临床报告规范专家共识》直接根据基因型检测推荐抗生素的调整,这也使分子检测手段越来越接近临床并指导临床。

图片

图片
四、mNGS检测耐药基因局限性

(1)技术受限:mNGS存在核酸阅读序列(<300 bp)相对较短,难以获取耐药基因全长序列信息,从而无法准确划分不同耐药基因的亚型。β-内酰胺酶编码基因OXA,其存在超过100余种变异型,具有碳青霉烯水解活性的6个亚组:OXA-23、OXA-24/OXA40、OXA-48、OXA-58、OXA-143和OXA-51;部分为ESBL,但还有少部分仅能水解如青霉素类、抗葡萄球菌青霉素类和窄谱头孢菌素类的β-内酰胺类药物。

(2)易受干扰:mNGS全覆盖无偏移,结果易受标本类型及质量等因素影响;慢性呼吸道疾病患者的送检标本可能会存在大量携带耐药基因的定植菌;mNGS无法判断耐药基因的来源。

(3)定量受限:mNGS检测出耐药基因代表对某一类抗菌药物耐药的可能,同一类中不同抗菌药物和具体抗菌药物的耐药水平定量化表达(如传统MIC)。

图片
五、mNGS耐药基因检测临床应用实例

病情介绍
50岁女性患者,因“颅脑外伤20余天”入院,车祸外伤撞击头面部,当地医院行颅内血肿清除术后反复发热,伤口脓液及呼吸道标本多次送检培养显示耐碳青霉烯肺炎克雷伯菌,使用“美罗培南+万古霉素+头孢他啶/阿维巴坦”均无效。10月1日头颅外伤皮瓣处脓液细菌培养出肺炎克雷伯菌,10月3日肺部痰培养耐药肺炎克雷伯菌+耐药鲍曼不动杆菌,脑脊液培养阴性。


治疗方案

(1)缝合+引流:患者头颅减压窗皮下积液较多,局部撑开持续有黄色脓性液体流出,缝合皮瓣引流口;10月9日予腰大池引流,引流出黄色脑脊液。


(2)抗感染(9月28日-10月15日):住院期间多次调整抗生素,使用了头孢他啶阿维巴坦、替加环素、多黏菌素B,但体温控制不理想。BALF培养出敏感肺炎克雷伯菌+耐药鲍曼不动杆菌,之后仅培养出耐药鲍曼不动杆菌,没有肺炎克雷伯菌。


图片

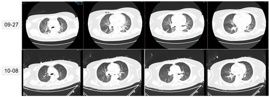
经过10余天左右的治疗,患者肺部感染明显控制和改善,但患者体温控制仍不理想,经常有超过39℃的高热。

图片

图片

图片

患者脑脊液常规和生化检查提示存在感染,脑脊液呈黄色,但反复送脑脊液培养均为阴性。

图片

后送检脑脊液mNGS,结果检测出肺炎克雷伯菌(序列数304),同时检测出耐药基因NDM-25。根据这一结果并结合患者临床表现,调整了抗生素的使用,在原有药物治疗基础上加用氨曲南(2g q6h),因氨曲南对NDM酶有较好的抵抗作用。

图片

图片

图片

加用氨曲南后患者体温趋于稳定,未再出现发热症状。


图片

患者脑脊液逐渐变得清亮,脑脊液相关检查逐步改善,症状逐渐好转。通过该病例可以发现mNGS确实可以使患者获益。

图片

图片
六、小结

mNGS病原学结果的解读要以临床为中心,基于mNGS耐药基因的抗感染药物调整应结合耐药危险因素、流行病学和临床病史等信息。mNGS在水解酶相关耐药基因和耐药表型诊断中有较高的一致性。基于耐药基因的精准治疗可以作为补充来指导临床抗菌药物的使用。

参考文献



[1] 王青, 李耘, 郑波. 中国2017—2018年耐碳青霉烯类肺炎克雷伯菌药物敏感性及耐药基因分析[J]. 中国感染控制杂志, 2021, 20(5):437-442.

[2] Hindiyeh M, Smollen G, Grossman Z, et al. Rapid detection of blaKPC carbapenemase genes by real-time PCR[J]. J Clin Microbiol, 2008, 46(9):2879-2883.

[3] Han R, Shi Q, Wu S, et al. Dissemination of Carbapenemases (KPC, NDM, OXA-48, IMP, and VIM) Among Carbapenem-Resistant Enterobacteriaceae Isolated From Adult and Children Patients in China[J]. Front Cell Infect Microbiol, 2020, 10:314.

[4] Dewé T C M, D'Aeth J C, Croucher N J. Genomic epidemiology of penicillin-non-susceptible Streptococcus pneumoniae[J]. Microb Genom, 2019, 5(10):e000305.

[5] Ana Vitoria Araújo Lima, Sivoneide Maria da Silva, José Adelson Alves do Nascimento Júnior, et al. Occurrence and Diversity of Intra- and Interhospital Drug-Resistant and Biofilm-Forming Acinetobacter baumannii and Pseudomonas aeruginosa[J]. Microb Drug Resist, 2020, 26(7):802-814.

[6] Hasman H, Saputra D, Sicheritz-Ponten T, et al. Rapid whole-genome sequencing for detection and characterization of microorganisms directly from clinical samples[J]. J Clin Microbiol, 2014, 52(1):139-146.

[7] Chao L, Li J, Zhang Y, et al. Application of next generation sequencing-based rapid detection platform for microbiological diagnosis and drug resistance prediction in acute lower respiratory infection[J]. Ann Transl Med, 2020, 8(24):1644.

[8] Feigelman R, Kahlert C R, Baty F, et al. Sputum DNA sequencing in cystic fibrosis: non-invasive access to the lung microbiome and to pathogen details[J]. Microbiome, 2017, 5(1):20.

[9] Yu X, Zhang W, Zhao Z, et al. Molecular characterization of carbapenem-resistant Klebsiella pneumoniae isolates with focus on antimicrobial resistance[J]. BMC Genomics, 2019, 20(1):822.

[10] 中华医学会检验医学分会临床微生物学组, 中华医学会微生物学与免疫学分会临床微生物学组, 中国医疗保健国际交流促进会临床微生物与感染分会. 宏基因组高通量测序技术应用于感染性疾病病原检测中国专家共识 [J] . 中华检验医学杂志, 2021, 44(2) : 107-120.

[11] Poirel L, Potron A, Nordmann P. OXA-48-like carbapenemases: the phantom menace[J]. J Antimicrob Chemother, 2012, 67(7):1597-1606.

[12] 喻华, 徐雪松, 李敏,等. 肠杆菌目细菌碳青霉烯酶的实验室检测和临床报告规范专家共识[J]. 中国感染与化疗杂志, 2020, 20(6):671-680.

作者简介



图片
张群

  • 南京医科大学第一附属医院(江苏省人民医院)主治医师
  • 博士,江苏省人民医院在职博士后
  • 南京大学医学院及美国匹兹堡大学联合培养博士
  • PCCM专培学员
  • 主要研究方向:呼吸危重症
  • 至今以第一作者发表SCI文章8篇,共计影响因子44分
  • 主持国家自然科学基金、博士后及江苏省人才项目4项

*本文根据“呼吸危重症菁英秀”第十二期专题视频整理感谢张群医师予以审核。


全部评论 0
Copyright©2020-2026 北京医麦斯科技有限公司 版权所有 京ICP备2020034400号-1 京公网安备11010502043983号