患者女性,65岁,农民,2020年9月1日入院。主诉:咳嗽、咳痰半月余,气促10余天。2020年8月12日因肛门停止排气排便1天于当地医院就诊,完善相关检查考虑肠梗阻,住院期间予以抗感染(头孢甲肟+奥硝唑)、灌肠、胃肠减压、鼻饲石蜡油等处理后,患者肠梗阻症状好转。但患者鼻饲石蜡油时出现呕吐,自诉误吸石蜡油,且误吸后感咳嗽咳痰不适,为阵发性咳嗽,白色黏液痰,每日痰量约为10 ml,无痰中带血及咯血,无发热气促,无畏寒、寒战、肌肉酸痛等不适,遂于8月18日转至当地医院继续治疗。2020年8月13日胸部CT示双下肺少许纤维条索影(图1)。8月23日(误吸石蜡油后)胸部CT示双肺弥漫性病变,渗出和实变,右下肺为著(图2)。

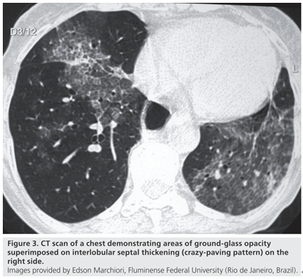
复查全腹部CT考虑不完全性肠梗阻及双肺感染,结合患者病史,考虑“外源性脂质性肺炎”可能性大。予以哌拉西林他唑巴坦抗感染,地塞米松抗炎,中药辅助治疗等;患者于8月20日左右出现发热,最高体温39.0℃,咳嗽咳痰症状较前加重,且伴有明显气促,无畏寒寒战,经治疗后仍有气促不适,为求进一步诊治,遂至我院门诊就诊,以“双肺病变查因”收住我科。起病以来,患者精神差,睡眠可,食欲减退,大便少,小便正常,体重未测。2020年8月13日于当地医院确诊为“不完全性肠梗阻、右肾囊肿”。余既往史无特殊。配偶2019年因肺结核去世。个人史、月经史、婚育史、家族史等均无特殊。体温36.5℃,脉搏82次/min,呼吸30次/min,血压100/57 mmHg。APACHE Ⅱ评分11分,SOFA评分2分,NRS-2002营养风险评分4分。急性面容,神清,精神较差,全身皮肤黏膜未见黄染,全身浅表淋巴结未触及肿大。胸廓无畸形,双侧呼吸动度对称,语颤无增强,双肺叩诊清音,双肺呼吸音粗,双肺可闻及干啰音,未闻及胸膜摩擦音。心率82次/min,律齐,各瓣膜听诊区未闻及病理性杂音。腹软,全腹无压痛及反跳痛,未触及腹部包块,肝、脾肋缘下未触及,腹部移动性浊音阴性,双肾区无叩击痛。肠鸣音正常。无杵状指(趾),双下肢不肿。2020年8月31日我院胸部CT示右肺弥漫性实变为主,伴渗出,左下肺亦有少许渗出(图3)。①双肺病变查因:外源性脂质性肺炎?Ⅰ型呼吸衰竭;②不完全性肠梗阻;③低蛋白血症;④低钠血症;⑤右肾囊肿。- 血气分析:pH 7.501,PaCO2 31.7 mmHg,PaO2 48.3 mmHg,Lac 0.9 mmol/L,HCO3- 25.9 mmol/L。
- 血常规:WBC 10.53×109/L,NEU% 88.8%,Hb 79g/L,PLT 375×109/L,LYM 0.56×109/L。
- 降钙素原0.359 ng/ml(↑),C反应蛋白205.00 mg/L(↑),血沉109 mm/h(↑)。
- 呼吸道九项病原体IgM抗体:呼吸道合胞病毒(+),副流感病毒(+)。
- 肺部肿瘤标志物5项:非小细胞肺癌相关抗原2.22 ng/ml,余正常。
- 淋巴细胞亚群:CD4+T绝对计数313个/μl,CD8+T绝对计数89个/μl。
- 右肺:1~4级支气管黏膜稍充血肿胀,表面光滑,管腔通畅,未见新生物及活动性出血;
- 左肺:1~4级支气管黏膜稍充血肿胀,表面光滑,管腔通畅,未见新生物及活动性出血;
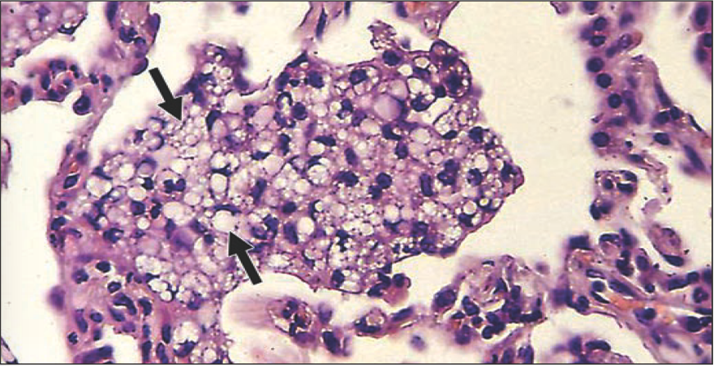
镜下见肺泡上皮及纤维增生,间质大量泡沫细胞,部分泡沫细胞吞噬脂肪颗粒(图4),结合临床病史符合吸入性外源性脂质性肺炎。免疫组化:s100(-),CD68(+),CK(肺泡上皮+),MDM2(小灶+),ki-67(30%+)。特殊染色:脂肪颗粒(-),PAS(-),A/P(-),TB染色(-)。
哌拉西林他唑巴坦4.5 g ivgtt q8h覆盖厌氧菌;细辛脑化痰;甲泼尼龙40 mg ivgtt qd(9月3-13日)、32 mg po qd(9月14日起)抗炎;泮托拉唑钠肠溶胶囊护胃,胰岛素降糖等治疗;9月4日转入普通病房,9月15日出院。治疗后患者右肺病灶较前明显吸收(图5)。出院前胸部X线片可见肺部病变较前明显好转(图6)。①外源性脂质性肺炎,Ⅰ型呼吸衰竭;②医院获得性肺炎;③糖尿病(分型未确定);④不完全性肠梗阻;⑤甲状腺肿大并结节;⑥低蛋白血症;⑦电解质紊乱;⑧右肾囊肿。出院后患者在当地医院住院20余天,激素每周减1片,复查胸部CT较前好转,但未完全吸收,后未再复查胸部CT。
脂质性肺炎是脂质样化合物在肺内沉积所致的一种少见疾病,文献报道发病率为1.0%~2.5%。该病1925年由Laughlen首次在4例长期服用泻药和使用油性鼻滴剂的患者中报道。脂质性肺炎分为内源性和外源性,内源性脂质性肺炎又称胆固醇性肺炎,常见于各种阻塞性肺炎、肺泡蛋白沉积症、脂质代谢异常。外源性脂质性肺炎是外界油脂经呼吸道吸入肺部,在肺部异常沉积,由巨噬细胞吞噬形成泡沫细胞的一种疾病。
根据病程可将外源性脂质性肺炎分为急性和慢性。急性外源性脂质性肺炎是指短时间内意外吸入大量脂质所致的急性肺损伤,慢性外源性脂质性肺炎通常由于间歇、反复吸入油脂类所致,常发生于老年患者,儿童也有报道,如精神发育迟滞和唇腭裂等。
(1)常见病因:吸入食物中的油脂;X线造影剂;油性药物如泻药和油性滴鼻剂等。
(2)不常见病因:吸入乳制品、蛋黄;职业暴露于石蜡环境中,包括纸版、陶瓷工厂;使用喷漆及工业润滑油;高压热水枪清洗汽车表面蜡保护层;柴油虹吸;留置胃管时误吸凡士林;“喷火”表演等。
(3)危险因素:高龄;咽和食管异常,如咽下部憩室、食管裂孔疝、胃食管反流、贲门失弛缓症;精神障碍;神经肌肉疾病导致吞咽功能异常等。
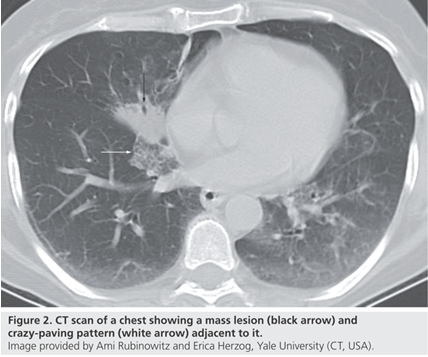
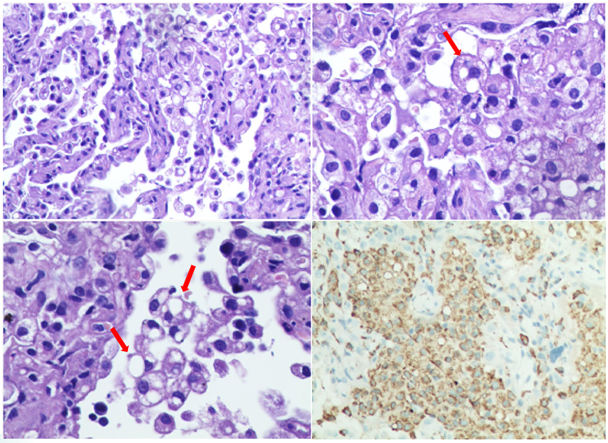
脂质性肺炎被认为由肺泡内含脂物质异物反应所致,脂质到达肺泡的机制:摄入(非挥发烃类)或吸入(挥发烃类),少数矿物油如汽油,即使经静脉注射也可导致肺损伤。在肺泡内,油脂乳化后被巨噬细胞吞噬,肺泡巨噬细胞不能代谢脂肪物质,当巨噬细胞死亡后油脂反复进入肺泡;油脂异常释放导致巨噬细胞肉芽肿反应、慢性炎症反应、肺泡及间隔纤维化;新鲜病灶显示肺泡被载脂巨噬细胞浸润,肺泡壁和间隔基本正常;进展性病灶显示巨大的空泡和肺泡壁、支气管壁和间隔炎性浸润,大量含脂空泡周围纤维化和实质破坏是晚期病变的特征。如果吸入矿物油或植物油,不易在体内分解,易在体内形成结节或肿块。如果吸入动物油,在体内可被分解为脂肪酸,导致炎症反应,局部肺水肿或肺出血。临床表现缺乏特异性,个体差异明显,从无症状到严重,甚至危及生命,常因患者年龄、吸入脂质的时间、数量及种类而不同。有症状的外源性脂质性肺炎常表现为慢性咳嗽或呼吸困难,其他表现为胸痛、咯血、间歇发热等。查体可发现叩诊浊音,听诊可闻及爆破音或干啰音。在长期持续进展性疾病患者中,体检可发现慢性缺氧,如杵状指。外源性类脂性肺炎可模拟许多其他肺部疾病,包括癌、肺炎、急性呼吸窘迫综合征和局部肉芽肿,HRCT最常见的表现是气腔实变、磨玻璃影、铺路石征、小叶间隔增厚、肿块样病变。急性外源性脂质性肺炎一般在吸入后半小时内出现肺部影像异常,大部分患者在24小时内出现肺部阴影,通常呈磨玻璃或实变影,一般在2周至8个月可逐渐改善或吸收,偶尔会遗留少许瘢痕纤维。慢性外源性脂质性肺炎最常见的影像学表现为一个或多个肺段的磨玻璃结节或实变影,通常在支气管周围分布,累及下叶最常见。实变可伴临近肺组织扭曲,在疾病晚期,由于油脂从肺泡内运送至肺间质,可出现增厚的小叶间隔或纤维化,还可见到铺路石征,也可表现为含脂质的结节或肿块影,由于慢性炎症及纤维化,肿块边界常不规则或有毛刺。下图为文献报道的一例急性外源性脂质性肺炎,患者胸部CT主要表现为实变,其中有液化坏死灶。下图为3例外源性脂质性肺炎患者的胸部CT,主要表现为肺结节/肿块和磨玻璃影。治疗3个月后,病变较轻者明显吸收。外源性脂质性肺炎的诊断主要基于暴露史,与疾病相符的影像学改变,唾液、支气管肺泡灌洗液或活检肺组织病理发现富含脂质的巨噬细胞,需要综合以上考虑诊断。支气管肺泡灌洗液的外观有提示价值,常为白色或浑浊液体,在表面可见脂肪漂浮层。
(1)停止接触:最关键的是识别和停止诱发的环境或药物等因素。
(2)糖皮质激素:仍存在争议。糖皮质激素能抑制肺泡和系统性炎症反应;降低血管通透性,减少渗出;促进肺泡表面活性物质的合成;减轻后期肺纤维化及肺容量的丧失;故在吸入早期即可使用。
(3)免疫球蛋白:也有免疫球蛋白治疗成功的案例。
(4)肺泡灌洗:部分学者发现早期行支气管镜肺泡灌洗可有效清除积存在肺泡内的脂质物质,减轻炎性反应刺激以及对肺泡细胞的持续性损伤,改善肺功能。
(5)手术:对于基础情况可,病灶局限于单侧且面积较大的患者,常规治疗难以奏效,尤其是高度怀疑恶性肿瘤时,可选择手术切除。
对于急性重症患者,建议全身糖皮质激素应用,同时联合支气管镜肺泡灌洗术。对于轻症患者,建议保守支持治疗。效果欠佳者,必要时行手术切除。
大部分预后良好,少部分进展,与身体衰弱、持续暴露于矿物油有关。
[1] Hadda V, Khilnani G C. Lipoid pneumonia: an overview[J]. Expert Rev Respir Med, 2010, 4(6):799-807.
[2] Betancourt S L, Martinez-Jimenez S, Rossi S E, et al. Lipoid pneumonia: spectrum of clinical and radiologic manifestations[J]. AJR Am J Roentgenol, 2010, 194(1):103-109.
[3] 王玉霞, 方芳, 郭岩斐, 等. 经病理确诊的外源性脂质性肺炎12例分析[J]. 中华结核和呼吸杂志, 2017, 40(6):445-449.
*本文根据“呼吸危重症菁英秀”第九期专题视频整理,感谢李进华医师予以审核。