登录方式

方式一:
PC端网页:www.rccrc.cn
输入账号密码登录,可将此网址收藏并保存密码方便下次登录

方式二:
手机端网页:www.rccrc.cn
输入账号密码登录,可将此网址添加至手机桌面并保存密码方便下次登录

方式三:
【重症肺言】微信公众号
输入账号密码登录

注:账号具有唯一性,即同一个账号不能在两个地方同时登录。

登录
方式

为重症救治赋能

为患者康复加速

当前位置: 首页 呼吸危重症菁英秀

对急性重型间质性肺疾病诊治的思考

钟雪锋 北京医院 发布于2024-05-08 浏览 1559 收藏

作者:钟雪锋

单位:北京医院呼吸与危重症医学科


图片

一、间质性肺疾病概述


对于呼吸系统疾病,最难诊治的是间质性肺疾病(ILD),而在呼吸危重症中,最棘手的是ARDS。多数情况下,急性重型ILD过程存在类ARDS表现。


ILD的临床诊疗存在诸多难点,主要是由于:①病因各异、疾病谱庞杂;②发病机制不清楚;③病变广泛:双肺,可累及终末气道、肺泡结构、肺血管、淋巴管、结缔组织;④病变进展速度不一;⑤诊断困难:很多需要影像、病理等MDT综合判断,对医院整体实力要求高;⑥概念不清,命名复杂;⑦治疗困难。


目前ILD的分类包括,①已知原因的ILD:如职业环境、过敏性肺炎(HP)、药物、结缔组织病(CTD)相关、放射等原因所致ILD;②特发性间质性肺炎(IIP):特发性肺间质纤维化(IPF)、非特异性间质性肺炎(NSIP)、隐源性机化性肺炎(COP)、急性间质性肺炎(AIP)、脱屑性间质性肺炎(DIP)、呼吸性细支气管炎伴间质性肺炎(RBILD)、淋巴细胞性间质性肺炎(LIP)、胸膜肺弹力纤维增生症(PPFE)、急性纤维素性机化性肺炎(AFOP)、未分类;③肉芽肿性:结节病、慢性过敏性肺炎(CHP)、血管炎;④其他:如嗜酸粒细胞相关肺疾病、肺淋巴管肌瘤病(LAM)、肺朗格汉斯细胞组织细胞增生症(PLCH)、肺泡蛋白沉积症(PAP)、脂质沉积病等。


图片

二、急性重型ILD的界定



对于急性重型ILD,目前仍没有明确的概念和界定。AIP是特定的疾病,属于IIP。2015年后出现了容易混淆的概念,即“进展性纤维化性间质性肺疾病(PF-ILD)”和“快速进展性间质性肺病(RP-ILD)”,PF-ILD属于慢性进展,RP-ILD多与肌炎和皮肌炎相关。此外,“急性”时间线不明确:AIP和特发性肺纤维化急性加重(AE-IPF)指南中描述是1个月左右,其他未明确说明。笔者理解的“重型”,是在“急性”的时间线内进展到呼吸衰竭,类似于AIP和AE-IPF的时间线。目前只有AE-IPF有相对明确的定义,但其他类型ILD也有急性的过程,包括结缔组织病相关性间质性肺疾病(CTD-ILD)、药物相关、放射、HP、血管炎、急性嗜酸性粒细胞性肺炎(AEP)等。



图片

三、急性重型ILD的诊治流程



临床工作中如遇到上述病变无法明确,可先进行排除。首先,排除感染性疾病,如病毒感染(流感病毒、RSV、副流感病毒、腺病毒、偏肺病毒、冠状病毒、CMV)、PJP、支原体、TB、感染相关ARDS等。其次,还要除外一些非感染性疾病,如肺泡癌、淋巴瘤、淋巴管炎、非感染因素引起的ARDS、弥漫性肺泡出血(DAH)等。此外,并非所有的弥漫性实质性肺疾病(DPLD)/ILD都表现为急性和重型,HP、药物相关、放射损伤、IPF、NISP、COP、AIP、AFOP、嗜酸粒细胞相关肺疾病、脂质沉积病都可以有急性的表现。由于临床诊断较困难,总体病死率较高,临床工作中,可以按照下述步骤来推进。

1. 急性重型ILD的诊断
(1)从影像入手,寻找ILD的踪迹:①弥漫分布、外周分布;②磨玻璃阴影、小叶间隔增厚、多叶实变、弥漫小叶中心结节、树芽征;③既往影像有无肺间质异常。

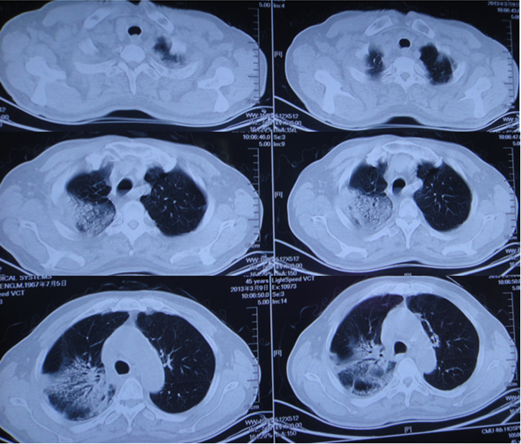
图1~2为COP患者,图1表现为双肺实变,图2为大片实变,患者快速进展为呼吸衰竭。


图片

图1  COP患者胸部CT


图片

图片

图2  COP患者胸部CT进展


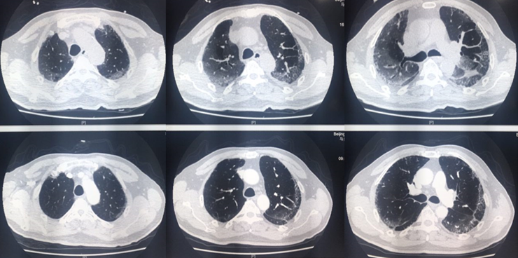
图3为AEP患者的胸部CT,可见相对较为松散的实变,另有小叶间隔增厚以及部分纤维病灶形成。患者经历了较长的诊断过程,抗感染效果不好,最终通过活检病理明确诊断。


图片

图片


图3  AEP患者胸部CT



图4为AFOP患者的胸部CT,表现为双肺大片实变。该患者症状较重,病情进展迅速,抗感染效果不佳,最终依靠病理诊断明确。


图片

图4  AFOP患者胸部CT


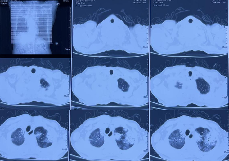
图5为AE-IPF患者的胸部CT,表现为双肺外周带的磨玻璃影,进展迅速。


图片

图片


图5  AE-IPF患者胸部CT



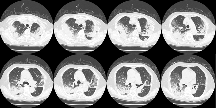
图6为HP患者的胸部CT,广泛的磨玻璃影,夹杂小叶中心结节。


图片

图6  HP患者胸部CT



  (2)病史采集:详细询问患者的接触史、起病日期、诱发因素、肺外症状(关节痛、肌痛、皮疹等)、ILD病史、职业。
  (3)尽快排查感染:通过血/尿/便常规、病原检测(病毒、PJP)、PCT、CRP、炎症因子、TB相关评估。
  (4)自身免疫疾病筛查:自身抗体、肌炎抗体谱、ANCA。
  (5)尽快、尽可能完善支气管镜(多需在HFNC或NIV辅助下行支气管镜检查):支气管镜检查的目的主要是尽快排除感染,可行包括BALF的细胞分类、淋巴细胞亚群、病原培养、mNGS、Xpert-TB、病理等检查。对于肺实变明显患者,可行TBLB;其他类型的肺活检(如冷冻肺活检)也可纳入考虑范围。



2. 急性重型ILD的治疗


  (1)对有ILD或CTD病史、机化性肺炎(OP)等特点的患者,可以排查感染、留取血标本、BALF标本后抢先开始糖皮质激素治疗。
  (2)抗感染策略:视具体情况来定,不建议常规使用多种广谱抗生素联合治疗。
  (3)对考虑AIP、AE-IPF患者,尽快给予大剂量糖皮质激素冲击治疗。


尽管也有学者认为,与标准剂量激素治疗相比,冲击治疗并没有很好地改善患者预后。但从我们治疗的病例来看,激素冲击治疗至少在短时间内能够使患者获得好的转归,也为后续治疗赢得一些时间。一旦排除感染之后,还是应该大剂量激素治疗。关于免疫抑制剂的使用,要根据引起ILD的具体病因来决定。肌炎相关急性ILD,建议早期联合免疫抑制剂。从现有证据来看,AIP和AE-IPF并不能从早期使用免疫抑制剂中获益。


对于急性重型ILD,应按照ARDS的标准管理急性呼吸衰竭。由于AIP或AE-IPF的病死率非常高,临床医生很多时候会选择放弃插管。理论上来讲,急性重型ILD患者也同样存在高氧浓度相关肺损伤、高通气相关肺损伤以及过强自主呼吸引起的肺损伤。早期插管有助于进行肺保护性通气,保护未受损伤的肺泡;减少机械通气相关肺损伤;此外,还可以给予充分的镇静、镇痛或使用神经阻滞剂,降低氧耗。目前ECMO治疗仍存在争议,但也有成功的案例。对于有适应证或有条件的患者,可以考虑予以积极的ECMO治疗。


对于急性重型ILD,一定要做到早期识别、早期诊断和早期治疗。我们团队救治成功的病例基本上是在1周之内开始大剂量糖皮质激素治疗。这是我们近期收治的病例,有上呼吸道感染的前驱症状,胸部CT可见明显实变,磨玻璃影,小叶间隔增厚,患者快速进展至呼吸衰竭。


气管插管后完善病原学筛查,尽快给予皮质激素冲击治疗,1周后,患者胸部CT可见病变明显缓解,患者于第10天拔管,后续情况非常稳定。对此类患者,只有平安度过急性期,才有机会进行后续治疗,患者也才能获得良好的预后。


图片

四、小结


对于急性重型ILD的诊治,首先从影像学入手,有类似ILD影像学表现者应进行早期筛查,尽快排除感染,并完善支气管镜。如果有条件,应做病理检查,对于进展迅速者,应行皮质激素抢先治疗。此外,还应按照ARDS的原则来管理患者。


图片



作者简介



图片
钟雪锋


  • 国家老年医学中心、国家呼吸疾病质量控制中心、北京医院呼吸与危重症医学科 副主任医师,医学博士
  • 国家援鄂医疗队队员
  • 北京市医学会呼吸病学分会危重症学组委员
  • 中国老年学和老年医学学会老年呼吸与危重症医学分会委员
  • 擅长机械通气、复杂感染、肺间质疾病急性进展等方面的基础与临床研究
  • 参与国家级课题研究多项,发表论文20余篇

*本文根据“呼吸危重症菁英秀”第九期专题视频整理感谢钟雪锋教授予以审核。


全部评论 0
Copyright©2020-2026 北京医麦斯科技有限公司 版权所有 京ICP备2020034400号-1 京公网安备11010502043983号