登录方式

方式一:
PC端网页:www.rccrc.cn
输入账号密码登录,可将此网址收藏并保存密码方便下次登录

方式二:
手机端网页:www.rccrc.cn
输入账号密码登录,可将此网址添加至手机桌面并保存密码方便下次登录

方式三:
【重症肺言】微信公众号
输入账号密码登录

注:账号具有唯一性,即同一个账号不能在两个地方同时登录。

登录
方式

为重症救治赋能

为患者康复加速

当前位置: 首页 呼吸危重症菁英秀

测序新技术ptNGS在急性呼吸衰竭患者中的应用

冯耘 上海交通大学医学院附属瑞金医院 发布于2024-05-08 浏览 1550 收藏

作者:冯耘

单位:上海交通大学医学院附属瑞金医院呼吸与危重症医学科


图片

一、病原学检测现状


目前临床上对于病原培养存在很多局限性,主要包括:①大量重要病原体无法通过培养法进行检测;②检测阳性率极低,尤其是脑脊液、血液等样品,病原培养平均阳性率仅在10%左右水平;③检测耗时长,某些重要病原体需要3~4周才能获得培养结果。


对于重症肺炎,25%的临床病原诊断失败;对于脓毒血症,>30%的临床病原诊断失败;而对于脑炎脑膜炎,>40%的临床病原诊断失败。因此,临床感染患者诊疗迫切需要新的病原学诊断工具。


已有的病原检测方法均难作为住院感染患者的理想病原检测手段。作为住院感染患者诊疗的基础,理想的诊断方法既要覆盖尽可能广泛的病原体种类,又要尽可能廉价,方能被临床广泛接受和应用。对于住院患者,病原筛查的理想方法应具备检测范围广、性能强、速度快、成本低的特点。尽管传统病原检测方法的检测成本低,但病原检测种类太少。而经典宏基因组检测方法(mNGS法)病原检测范围广,但检测成本过高。


2022年,瞿介明教授发表了一项前瞻性多中心研究,该研究综合利用多种检测手段进行中国成人重症社区获得性肺炎病原体调查,结果发现,在不同季节,病原体分布存在差异[1]


笔者团队开展的一项研究纳入了本院监护室130例急性呼吸衰竭患者184份mNGS标本,与传统检测技术相比,使用mNGS检测混合感染的比例增多,结核、NTM、PJP、真菌感染检出率较传统检测比例高,可以检测出少见病原体,此外,根据mNGS修改治疗方案占58.5%[2]


图片

二、病原体靶向测序


1. 病原体靶向测序介绍
病原体靶向测序法(pathogen-targeted NGS,ptNGS)是使用大量针对目标基因的引物对待测样品中抽提出的核酸进行超多重PCR扩增,再通过高通量测序对这些扩增产物进行同步定量分析。本方法在实验的起始阶段即通过PCR对扩增靶标进行信号放大,最后再利用高通量测序进行扩增产物同步检测,实现对基因的高通量定量分析。这一方法很好地结合了PCR检测的高灵敏度以及测序反应的高特异性,成为了一项兼具高灵敏度及高特异性的检测技术。该方法的实验室检测全流程约为15小时。

图片


2. 临床检测方法对比

(1)病原培养:难以检测病毒及大量苛养菌,阳性率极低,检测时间长,价格实惠(传统技术<300元)。

(2)荧光定量PCR:同时检测1~13种病原体,灵敏度高,速度极快,价格较低(门诊筛查500~1300元)。

(3)ptNGS:可检测数百种病原体,灵敏度高,速度较快,价格合适(住院筛查1000~2000元)。

(4)mNGS:能检出上万种微生物,灵敏度高,速度较快,价格昂贵(疑难诊断3000~7000元)。


3. ptNGS与mNGS对比的优势所在

(1)检测灵敏度不受人类基因组及背景菌的影响:对于组织、痰液等高人源、高背景菌样品的检测性能优于mNGS,检测结果重复性更好。
(2)检测灵敏度不受病原体基因组大小的影响:mNGS需将样品核酸打断成为数百bp的核酸片段后才能测序,在进行核酸打断时,基因组较大的病原体打断产生的片段较多,而基因组较小的病原体打断产生的片段较少,这导致mNGS对于病毒等小基因组病原检测的灵敏度下降,ptNGS方法则不受此影响。
(3)大幅强化表型基因检测性能:ptNGS可直接针对耐药、毒力等基因进行扩增,轻易满足针对病原体特定基因的检测需求,且可实现对表型基因的量化对比分析。
(4)样品运输要求降低:由于ptNGS并不惧怕人类基因组对样品病原核酸的污染,在获取临床样品后,可使用核酸保存液来裂解细胞,同时使核酸酶失活,从而达到灭活绝大部分病原体的效果,并可实现常温运输。
(5)病原体定量检测:如同qPCR,ptNGS可以使用已知浓度的定量内参对检出的病原体进行含量的测定,得到病原体在标本中的真实浓度。
(6)更低的检测成本:由于测序文库中不再含有人类基因组DNA和背景菌DNA,因此,ptNGS测序数据量需求相对于mNGS明显降低,检测成本更低。

4. ptNGS与mNGS的应用场景

(1)ptNGS:能够覆盖临床95%的病原体,但无法检测未知病原体,价格低,适用于危重感染患者的初始病原筛查,以及明确病原体感染的治疗后复查。
(2)mNGS:能够覆盖全部已知病原体,可检测未知病原体,价格高,适用于危重感染患者的病原辅助诊断,以及原因不明病原体感染检测,排除非感染性呼吸衰竭。

笔者团队曾收治一例52岁男性患者,因“反复胸闷气短1个月,加重10天”就诊,患者来院时高流量吸氧(氧浓度90%),氧合指数100~200 mmHg,胸部CT可见双肺实变,大片渗出影,外院抗感染治疗效果欠佳。对于此类患者,需要鉴别感染与非感染疾病。BALF NGS回报均为阴性,两次支气管镜检查及多次肺泡灌洗液均找到腺癌细胞。血基因检测提示19外显子缺失,靶向治疗效果较好。因此,mNGS在排除感染性疾病方面是一种非常重要的检测手段。


5. ptNGS检测种类

(1)细菌—革兰氏阴性菌(13种):以色列放线菌、粪肠球菌、屎肠球菌、胞内分枝杆菌、结核杆菌复合群、星型奴卡菌、巴西奴卡菌、豚鼠奴卡菌、金黄色葡萄球菌、星座链球菌、肺炎链球菌、酿脓链球菌、纹带棒状杆菌。
(2)细菌—革兰氏阴性菌(17种):鲍曼不动杆菌、百日咳杆菌、洋葱伯克霍尔德菌、弗劳地枸橼酸杆菌、阴沟肠杆菌、大肠杆菌、流感嗜血杆菌、产气肠杆菌、产酸克雷伯菌、肺炎克雷伯菌、嗜肺军团菌、卡他莫拉菌、脑膜炎奈瑟球菌、铜绿假单胞菌、黏质沙雷菌、嗜麦芽窄食单胞菌、汉氏巴尔通体。
(3)菌属(2个):布鲁氏菌属、军团菌属。
(4)真菌(16种):黄曲霉、烟曲霉、黑曲霉、土霉菌、白念珠菌、光滑念珠菌、近平滑念珠菌复合群、热带念珠菌、新生隐球菌、荚膜组织胞浆菌、克柔念珠菌、耶氏肺孢子菌、马尔尼菲青霉菌、卷枝毛霉菌、微小毛霉菌、阿萨毛霉菌。
(5)DNA病毒(4种):腺病毒、人博卡病毒、巨细胞病毒、EB病毒。
(6)RNA病毒(25种):流行性乙型脑炎病毒、淋巴脉络丛脑膜炎病毒、流行性腮腺炎病毒、柯萨奇病毒A16、柯萨奇病毒A6、柯萨奇病毒B、肠道病毒71、副流感病毒1型(PIV1)、副流感病毒3型(PIV3)、副流感病毒4型(PIV4)、冠状病毒229E、冠状病毒HKU1、冠状病毒NL63、冠状病毒OC43、人偏肺病毒、呼吸道合胞病毒A、呼吸道合胞病毒B、人鼻病毒、甲型流感病毒、乙型流感病毒、麻疹病毒、风疹病毒、2019新型冠状病毒、狂犬病毒、布尼亚病毒。
(7)寄生虫(8种):猪肉绦虫、牛肉绦虫、布氏姜片吸虫、美洲钩虫、班氏丝虫、日本血吸虫、刚地弓形虫、弓形虫。
(8)螺旋体(1种):伯氏疏螺旋体。
(9)其他(3种):肺炎衣原体、鹦鹉热衣原体、肺炎支原体。

上海市肺科医院发表了一项ptNGS技术在结核和非结核分枝杆菌中的应用研究[3]。笔者团队的研究结果也显示ptNGS和mNGS结果有较好的一致性[2]


图片

三、病例分析


病例1
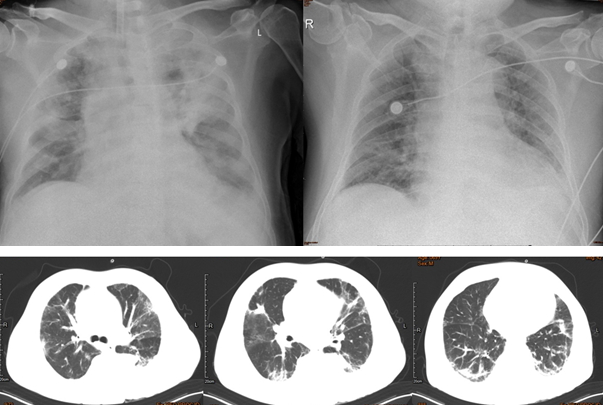
患者,男性,69岁。主诉“发热、气喘、咳嗽、咳痰1个月”。1个月前(2021年3月14日)患者因“发热3天加重伴呼吸困难6小时”于当地医院住院治疗,入院后给予气管插管、抗感染(哌拉西林他唑巴坦+头孢他啶)、化痰、护胃、升压药物、血管活性药物等治疗;3月22日脱机拔管,3月27日患者病情反复,再次出现呼吸衰竭,再次气管插管后由救护车转入我院进一步治疗,给予去甲肾上腺素+多巴胺升压等治疗,为求积极救治转入RICU。胸部X线片提示重症肺炎(左下肺),拔管后复查胸部CT可见肺部病变好转。

图片


送检患者BALF标本行mNGS和ptNGS检测,mNGS回报金黄色葡萄球菌(序列数1759),铜绿假单胞菌(序列数979)。ptNGS也查到了铜绿假单胞菌和金黄色葡萄球菌,另外还检出鲍曼不动杆菌、粪肠球菌及巨细胞病毒。


图片


病例2

患者,女性,74岁,主诉“胸闷、气促3月,加重伴发热5天”。类风湿关节炎病史10余年,近3月余因多处关节反复疼痛,持续口服甲泼尼龙片。睡眠障碍伴抑郁症病史约10年,冠心病病史近10年。先后2次行PCI术,置入2枚冠脉支架。3个月前曾出现血糖升高。查体:体温37.2℃,BP 143/64 mmHg,R 18~24次/min,SpO74%(不吸氧状态)。双肺弥漫性渗出改变,考虑PJP、CMV感染可能性大。


图片


外周血mNGS回报耶氏肺孢子菌(序列数32)、CMV(序列数2499)。ptNGS同样检出耶氏肺孢子菌和CMV。


图片



病例3

患者,女性,88岁;主诉“咳嗽、咳痰1月,加重伴发热、气促1周余”。


患者1个月前无明确诱因出现咳嗽、咳痰,为白色脓痰,当时无发热、气促,遂至当地医院住院治疗,予抗感染、化痰、营养支持等治疗后好转,2021年5月4日进食后呕吐,约2小时后出现发热,体温最高达38.5℃,指氧饱和度下降,予吸痰、抗感染、祛痰、解痉、平喘等治疗后未再发热,痰培养提示正常菌群,床旁胸部X线片提示左肺不张,为进一步诊治,于5月9日就诊于我院急诊,5月11日患者19时左右指氧饱和度降至77%,伴意识障碍,调整BiPAP参数未见明显好转,予急插管接呼吸机辅助通气,予镇静、血管活性药物维持血压、留置导尿管、抗感染、补液等,为进一步诊治,急诊以“重症肺炎、呼吸衰竭”为诊断转入我科RICU。


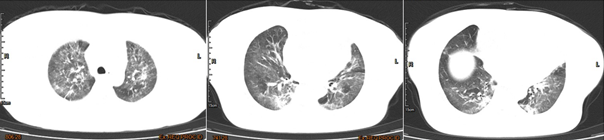
既往有高血压病史,平素服用倍他乐克半片,1次/日;腔隙性脑梗死病史;帕金森综合征病史,目前服用多巴丝肼片1片,2次/日;吡贝地尔50 mg,1次/日。胸部CT可见两下肺实变影,考虑误吸可能性大。


图片


BALF mNGS检测到鲍曼不动杆菌(序列数80519)、铜绿假单胞菌(序列数1139)、金黄色葡萄球菌(序列数281),ptNGS同样也查到了这三种细菌。


图片


图片

四、小结


ptNGS的性价比高。对于常见细菌、病毒及真菌感染,ptNGS的检测灵敏性较好,不受人类基因组及背景菌影响。适用于感染及危重患者的初始病原筛查及明确病原体感染后的治疗复查,且其与mNGS检测结果的一致性较好。


参考文献


[1] Qu J, Zhang J, Chen Y, et al. Aetiology of severe community acquired pneumonia in adults identified by combined detection methods: a multi-centre prospective study in China[J]. Emerg Microbes Infect, 2022,11(1):556-566.

[2] Huang C, Chen H, Ding Y, et al. A Microbial World: Could Metagenomic Next-Generation Sequencing Be Involved in Acute Respiratory Failure?[J]. Front Cell Infect Microbiol, 2021, 11:738074.

[3] Li B, Xu L, Guo Q, et al. GenSeizer: a Multiplex PCR-Based Targeted Gene Sequencing Platform for Rapid and Accurate Identification of Major Mycobacterium Species[J]. J Clin Microbiol, 2021, 59(2):e00584-20.

作者简介



图片

冯耘


  • 医学博士后,硕士研究生导师

  • 上海交通大学医学院附属瑞金医院主任医师

  • 上海交通大学医学院副研究员

  • 美国杜克大学访问学者

  • 中国老年医学学会呼吸病学分会呼吸危重症学术委员会委员

  • 上海市医学会呼吸病学专科分会青年委员会委员兼秘书

  • 上海市医学会呼吸病学专科分会重症学组副组长

  • 曾获上海市人才培养计划、上海市优秀专科医师及上海交通大学医学院九龙医学奖

  • 获得2项国家自然科学基金资助,以第一作者及通讯作者发表相关SCI文章30余篇,作为第一完成人获得专利2项,参编专著3部


*本文根据“呼吸危重症菁英秀”第七期专题视频整理感谢冯耘教授予以审核。


全部评论 0
Copyright©2020-2026 北京医麦斯科技有限公司 版权所有 京ICP备2020034400号-1 京公网安备11010502043983号