登录方式

方式一:
PC端网页:www.rccrc.cn
输入账号密码登录,可将此网址收藏并保存密码方便下次登录

方式二:
手机端网页:www.rccrc.cn
输入账号密码登录,可将此网址添加至手机桌面并保存密码方便下次登录

方式三:
【重症肺言】微信公众号
输入账号密码登录

注:账号具有唯一性,即同一个账号不能在两个地方同时登录。

登录
方式

为重症救治赋能

为患者康复加速

当前位置: 首页 呼吸危重症菁英秀

mNGS在疑难重症感染性疾病诊治中的应用

董睿,高延秋 郑州大学附属郑州中心医院 发布于2024-05-08 浏览 2816 收藏

作者:董睿,高延秋

单位:郑州大学附属郑州中心医院RICU


图片

概述


感染性疾病是指由细菌、病毒、真菌、支原体等病原体的侵入,引发的身体局部组织发生损伤性病变和全身炎症反应。据2018年WHO公布数据,感染性疾病在全球十大致死原因中占据重要位置,在中等及低收入国家中,30%~50%以上死亡由感染性疾病造成。对于重症肺炎,由于病因诊断不清、病原学不明确等原因导致救治困难,因此病原学诊断非常关键[1]。无论对于免疫功能正常患者,还是免疫抑制患者,SCAP都是常见的感染性疾病,其病原学特点表现为多样、混合、复杂,病原体可以是细菌、病毒,也可以是真菌。对于免疫抑制患者,还需要考虑如军团菌、诺卡菌、肺孢子菌等病原体感染。


脓毒症死亡率很高(高达50%),一项大样本随机回顾性分析显示,2010年7月1日和2013年12月31日在北加利福尼亚州的21家急诊共纳入35000例住院脓毒症患者,分析入住急诊科6小时内接受抗菌治疗时间和脓毒症死亡风险的相关性,结果发现,每延迟1小时给予抗菌药物,患者住院死亡风险显著增加。因此,脓毒症的抗感染治疗应快速、及时、准确。


除了结合临床经验性判断之外,病原学的快速检测也至关重要。传统的微生物检测方法包括涂片、培养、血清学检查、PCR等,但存在耗时长、检测范围窄等弊端,而宏基因组高通量测序(NGS)技术具有耗时短、检测范围广等优势。NGS是一种分子诊断技术,无需预设,无需培养,无偏好性,直接提取临床样本中的DNA/RNA,进行高通量测序,经过专用病原数据库比对与生信分析,一次性完成细菌、真菌、病毒和寄生虫等病原体的检测[2-7]。NGS的检测目标是核酸,其优势是无需培养,因此耗时较短,通常24小时就能出结果,且其对病原体的检测范围较广,可达上万种。


图片


图片

NGS在感染性疾病中的适应证




由于NGS自身的巨大优势,使得这项检测技术迅速走向临床。自2016年以来,NGS被国内外多部指南共识推荐。2021年中华医学会检验学分会发表的《宏基因组高通量测序技术应用于感染性疾病病原检测中国专家共识》中总结了mNGS技术用于感染性疾病的适应证[8]



1. 临床适应证


  • 发热或发热症候群;
  • 高度疑似感染性疾病,但病原学不明;
  • 危重症患者不除外感染;
  • 免疫受损患者,疑似继发感染;
  • 疑似局部感染,病原学不明,不及时处理则后果严重;
  • 慢性感染或慢性疾病不除外感染。



2. 微生物学适应


  • 新发病原体或特殊病原体;
  • 临床怀疑感染,多种传统技术反复检测不能明确;
  • 传统病原学检测结果不能解释临床表现;
  • 了解病原体特殊的独立表型。



3. 耐药学适应


  • 有微生物定植的部位不建议耐药性检测;
  • 正常无微生物定植部位,考虑物种鉴定同时检测耐药基因;
  • 有菌种特异性的耐药基因。



4. 流行病学和感染控制学适应


  • 某种疾病聚集性发病或暴发,怀疑微生物导致,但病原不明,且常规快速检测无结果;
  • 感染性疾病患者有特殊区域旅居史或特殊职业工作史,病原不明。


图片

mNGS在感染性疾病中的临床诊断性能




mNGS能够提升肺部感染阳性检出率。2018年11月,复旦大学附属中山医院胡必杰教授团队在 Clinical Infectious Diseases 发表mNGS临床应用的入组研究,对比评估了mNGS和传统培养方法对肺部感染性疾病的诊断性能。该研究共纳入511例患者,其中感染性疾病347例(67.9%),非感染性疾病119例(23.3%),未知病例45例(8.85)。通过对比评估mNGS和传统培养方法对肺部感染性疾病的诊断性能可以发现,mNGS诊断肺部感染性疾病的敏感性和特异性分别为50.7%(176/347)和85.7%(102/119),优于培养法,尤其是对于结核分枝杆菌、病毒、厌氧菌和真菌的检测更佳[9]


2020年,一项前瞻性多中心研究纳入329例SCAP患者:mNGS的总检出率为90.3%,其他方法为39.5%,差异具有显著性(P<0.05);免疫抑制CAP患者的病原学分布不同,以混合感染为主(特别是合并真菌感染多)[10]。可见,mNGS能够提升SCAP的阳性检出率。


复旦大学附属中山医院对2017年4月至2019年12月96例皮肤软组织感染(SSTI)患者的样本进行回顾性分析,选取感染部位组织、脓液、拭子和/或组织液进行培养和mNGS检测,结果显示,对于SSTI患者,mNGS阳性率(67.7%)高于培养(35.4%),特别是在识别病毒、厌氧菌、分枝杆菌、罕见病原体方面具有优势[11]


首都医科大学附属北京朝阳医院童朝晖教授团队2019年的一项研究分析了mNGS在危重患者BALF诊断中的应用。该研究对32例患者的35份BALF样本进行了mNGS检测。在9例免疫功能低下患者的mNGS分析中,阳性率达到100%。与培养方法相比,mNGS的诊断敏感性为88.89%,特异性为74.07%,两种方法的一致率为77.78%。与涂片和PCR相比,mNGS的诊断敏感性为77.78%,特异性为70%。13例培养、涂片和PCR检测结果为阴性,但mNGS检测结果为阳性;34.4%(11/32)的mNGS阳性结果帮助调整了治疗策略[12]


2018年6月,北京大学人民医院王辉教授团队在Frontiers in Cellular and Infection Microbiology 杂志发表研究成果,该研究应用mNGS对20份肺组织样本中的病原菌进行了回顾性研究,于15份样本中检出致病菌,涵盖了传统方法难以检出的苛养菌和厌氧菌。mNGS与培养法比较,细菌的敏感性和特异性分别为100.0%和76.5%,真菌的敏感性和特异性分别为57.1%和61.5%。与组织病理学方法相比,mNGS在评价真菌和结核分枝杆菌复合群(MTBC)中分别显示出最高的特异性(100.0%和94.1%)和阳性预测值(100.0%和75.0%)。该研究表明,肺活检组织的mNGS可用于检测患者肺部病原体的存在与否,在速度和敏感性方面具有潜在的优势[13]


mNGS提高ICU重症肺炎患者诊断准确率和生存率。上海市第一人民医院王瑞兰教授团队开展的一项研究共纳入178例重症肺炎患者,首次探讨了mNGS早期提供临床病原学证据与ICU重症肺炎患者生存情况之间的关系。与传统方法相比,mNGS可以提供更快速准确的病原学结果,尤其是对苛养的肺炎链球菌、流感嗜血杆菌、产黑色普氏菌的诊断价值明显,同时在混合感染的诊断方面也具有明显优势。通过mNGS早期明确诊断后,临床据此结果调整患者治疗方案,患者28天和90天的生存率均有提高,90天生存率更是从57.7%提高到83.3%[14]


mNGS还能够提高免疫抑制患者的治疗成功率。复旦大学附属华山医院张文宏教授团队纳入108例接受激素治疗的免疫抑制患者,对所有患者同时进行常规微生物检测(CMT)和mNGS检测,结果发现基于mNGS检测结果调整抗生素方案的患者治疗成功率81.8%显著高于使用经验性抗生素治疗的患者52.6%)。对于多重感染病原体的诊断,相比于CMT,mNGS缩短检测时间近半;类固醇激素累计用量>1000 mg,CMT阳性率显著下降,mNGS无影响[15]


钟南山院士团队的一项研究将免疫抑制(ICH)组和免疫正常(ICO)组患者都进行了mNGS,从研究结果中可以发现,与ICO组相比,ICH组有更高的真菌检出率;每位患者平均检出潜在的病原菌个数、真菌、病毒检出数量均高于ICO组;ICH同时检出真菌和病毒更为常见;ICO组和ICH组分别有36.8%和20%的患者确认之前的治疗方案有效;33.4%和52%的患者改变了治疗方案;ICH组中有28%的患者因为mNGS结果改变了治疗方案[16]。可见,mNGS提高了临床诊断率,改善了临床管理。


图片

mNGS标本采集与保存


1. mNGS感染部位标本采集要求

  • 血液:G管,成人3~5 ml,幼儿>1.5 ml。采血后立即轻轻颠倒混匀8~10次,防止溶血。

  • 脑脊液:无菌采样管,1.5~3 ml,建议第2管以后的脑脊液送检。

  • 肺泡灌采样瓶,>5 ml,弃去前段可能污染部分,收集其余部分至少5 ml以上立即送检。

  • 深部痰:无菌采样瓶,>3 ml,用生理盐水漱口2~3次,用力咳出深部痰液或气管抽吸物。

  • 组织及其他:无菌采样瓶,无菌体液>3 ml,切取绿豆粒大小深度组织或2~3针穿刺组织;10~15片石蜡切片。



2. 标本采集指导原则


  • 抗菌药物使用前采集标本;
  • 取感染病灶部位作为标本;
  • 严格无菌操作;
  • 准确填写相关信息。



3. 标本运送指导原则


  • 血液:全血样本室温(6~35℃)放置,2天内寄送。
  • 非血液标本:采集后当天送检,4℃暂存;1周内送检,-20℃冷藏;长期保存,-80℃低温保存。建议所有标本均应尽快送往实验室检测。



4. 感染病原检测的推荐标本类型
对于怀疑不同部位的感染,推荐样本和推荐流程不同,如下图所示。



图片


5. 检测结果结合临床,分析致病原因

由于mNGS的检测目标是核酸,所以对于一些破壁比较困难的病原体,如隐球菌、结核杆菌等,即使mNGS报告中显示的序列数较少,也应引起临床高度重视。在寻找病原时,去除低质量测序数据,再去除人源基因信息,留下的就是临床所需信息,即严格致病菌、人体中的条件致病菌、环境中的机会致病菌。如下图所示,中间留下的是明确的阳性菌,万万不能遗漏,例如结核分枝杆菌、烟曲霉、军团菌、诺卡菌、隐球菌等,需要给予临床干预;而重叠部分是机会致病菌,如链球菌、葡萄球菌、念珠菌、奈瑟菌、非结核分枝杆菌等,需要结合临床进行客观分析,然后判断是否需要干预。


图片


图片

mNGS报告解读


1. 报告读取

在mNGS报告中出现的如序列数、相对丰度、鉴定置信度等名词,它们代表的意义不同。某微生物的检出序列数、检测深度、检测离散度和基因组覆盖度越高,表示检测到该微生物的可靠性越高,丰度越高表示其在相同类型微生物中所占比例越高。




  • 检出序列数(reads):指匹配到该病原体的序列数目,其多少与标本中病原体本身载量负荷、核酸提取量、人源序列比例有关。
  •  基因组覆盖度:表示检测到的该微生物核酸序列覆盖该微生物整个基因序列的比值。
  • 鉴定置信度:根据序列比对数、基因组大小和基因组保守性,判断样本中存在该微生物的可信度。
  • 检测深度:是指该微生物基因组上某段序列被检测到的次数。
  • 微生物丰度:指该微生物在整个标本中检测到的相同类型微生物中所占的比重。



2. 检测阳性=致病菌吗?


mNGS技术是基于病原体的核酸序列进行检测,客观反映标本中存在的微生物核酸及其组成,包括人体微生态菌群,检测阳性不一定是致病菌。过去临床对于病原检测阳性结果的判断来自于培养,但到目前为止,绝大部分的微生物是不可培养或者培养周期长,对于检测结果定义为“真阳性”还是“假阳性”需要重新认识,究竟是“真阳性”还是“假阳性”,还需要结合患者的临床症状、宿主的免疫反应进行综合评价。对于严格致病菌,如隐球菌、曲霉菌、结核杆菌、军团菌、鹦鹉热衣原体、诺卡菌、流感病毒、马尔尼菲篮状菌、脓肿分枝杆菌、荚膜组织胞浆菌等,需要予以高度重视。对于罕见及特殊病原体,应检索文献,结合具体情况,再具体分析。



3. 定植?感染?


对于究竟是定植还是感染,mNGS结果目前无法准确区分。细菌进入机体能否引起感染取决于两方面因素,一是细菌的致病力,二是机体的的防御能力。病原体检验阳性并非一定就是感染,或一定是该病原体感染。需依据感染部位、患者临床表现特点以及患者不同病理生理特点来分析。对于开放体系的样本,如肺泡灌洗液、痰液,mNGS具有广覆盖的特点,一次检测能够客观反映样本中含量在检测限以上的病原体及相对占比。暂时单一的病原宏基因组检测结果无法区分定植与感染。未来宏转录组学与人体免疫反应基因靶向捕获等方面的研究可能有助于解决这一难题。



4. 阴性结果,样本就真的是阴性吗?


如果mNGS结果是阴性的,需要临床医生多维度解读这一结果。一方面,这可能是非感染性疾病,如恶性肿瘤、结缔组织病、炎性血管疾病等。另一方面,如果结合临床仍然不能排除感染性疾病,需要追溯原始数据是否被排除掉了。


对于mNGS测序报告的解读,需遵循的原则如下:①需要结合传统的检测手段综合分析判断;②要排除背景菌、污染菌及定植菌,再结合临床确定病原体;③对于厚壁菌和胞内菌,如隐球菌等,即使仅有1条序列数,也有临床意义;④有疑似病原体时,需要追溯到原始数据;⑤如果进行RNA检测,需提前告知。因RNA容易降解需要立刻低温保存;⑥临床治疗时,先经验性用药,再转为精准用药;⑦早期检测有利于指导用药;⑧用药指导要遵循当地流行病学特征,因为宏基因没有明确的用药指导,需要依据各地具体情况。


图片

病例实践



Case 1


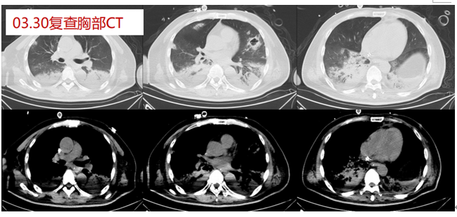
患者,女,52岁,胸闷、气喘2周,加重伴呼吸困难20小时。于2020年3月25日入院,“皮肌炎”病史5个月,规律口服甲泼尼龙、环孢素。胸部CT可见弥漫磨玻璃改变,白肺。第一时间送BALF mNGS,结果回报耶氏肺孢子菌(序列数27115),人类疱疹病毒5型(CMV)(序列数14472),曲霉(序列数3),涂片查到耶氏肺孢子菌,病原学最终诊断:PCP+CMV+曲霉混合感染。给予磺胺+卡泊芬净+更昔洛韦联合治疗,并予以VV-ECMO、IPPV+PPV,最终患者痊愈出院。


图片

治疗前胸部CT


图片

图片

治疗后胸部CT



Case 2


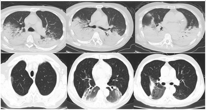
患者,男,56岁;发热5天,加重2小时余,2020年4月26日入我院EICU,4月29日转入RICU。8年前于外院诊断:可疑系统性红斑狼疮,强的松10 mg qd,吗替麦考酚酯片2片bid。检查:Na 124.7 mmol/L,Cr 350 μmol/L,PCT>100 ng/ml,IL-6 3573 pg/ml;氧合指数108 mmHg。胸部CT提示肺部大片实变,脏器功能受损。BALF mNGS(序列数17107)及PCR均提示军团菌,给予莫西沙星抗感染及其他支持治疗(IPPV+CPFA++CPFA),患者最终痊愈出院。


图片

治疗前后胸部CT比较



Case 3


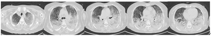
患者,男性,54岁,意识障碍1天,高热呼吸困难2小时,2021年3月22日入RICU。多脏器功能受损,入院考虑SCAP,ARDS,脓毒血症,脓毒性休克。MODS。入科后给予脏器支持,BALF mNGS回报肺炎克雷伯菌(序列数19000),肝脓肿穿刺液培养肺炎克雷伯菌,血培养、BALF培养、脑脊液培养均回报肺炎克雷伯菌,考虑为高毒力肺炎克雷伯菌感染入血,并引起多器官感染。给予美罗培南针2.0 q8h抗感染,抗炎,CPFA,IPPV+VAV-ECMO+PPV脏器保护及支持,营养治疗。患者最终成功撤离ECMO并转至普通病房。


图片

图片



Case 4


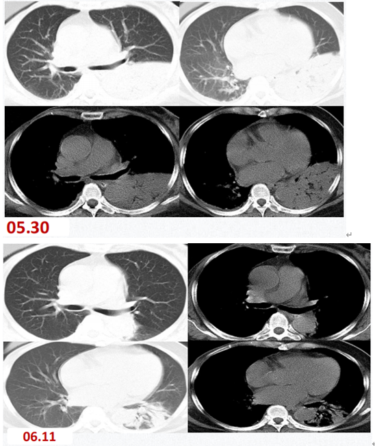
患者,女性,63岁,2021年5月27日入呼吸科。主诉:咳嗽、发热1周;热峰40.0℃,“右乳癌术后”3年余,骨转移1年余,1月开始“阿贝西利”化疗,哌拉西林他唑巴坦4.5 g q8h抗感染。因呼吸困难加重于5月30日住RICU。胸部CT提示左肺大片实变。BALF mNGS回报鹦鹉热衣原体(序列数137)。追问病史:家中饲养鹦鹉4只。诊断为鹦鹉热衣原体肺炎,给予美罗培南针→美罗培南针+莫西沙星针→多西环素胶囊(院外)治疗,患者好转。


图片



Case 5


患者,男,30岁,代主诉:高处坠落致腰背部疼痛18小时,2021年4月18日入院。“高血压”多年,未予特殊治疗。入院诊断:重型闭合性颅脑损伤,脑挫裂伤,蛛网膜下腔出血,等。术后发热,予腰穿,留取脑脊液监测及mNGS,结果提示人葡萄球菌(序列数3),予以美罗培南(2.0 g q8h)+利奈唑胺(0.6 g q12h),腰大池持续引流,最终患者预后良好。


图片

小结


当前,重症感染性疾病救治仍面临着巨大挑战。对于疑难(不明原因发热或感染、病因待查)、危重(重症肺炎、脓毒症)、特殊(免疫抑制)患者的诊断,mNGS具有全面、准确、快速的优势,在疑难重症感染性疾病的精准诊治中具有重要价值。但当前阶段,mNGS结果仍不能单独作为病原学确诊或排除的依据,需要结合临床及传统病原学检测结果综合判断。未来,在耐药基因/耐药表型、定植/感染的区分、医疗成本等方面仍需要进一步优化。



参考文献



[1] Savvateeva E N, Rubina A U, Gryadunov D A. Biomarkers of Community-Acquired Pneumonia: A Key to Disease Diagnosis and Management[J]. Biomed Res Int, 2019, 2019:1701276.

[2] Chiu V Y, Miller S A. Clinical metagenomics[J]. Nat Rev Genet, 2019, 20(6):341-355.

[3] Miller S, Naccache S N, Samayoa E, et al. Laboratory validation of a clinical metagenomic sequencing assay for pathogen detection in cerebrospinal fluid[J]. Genome Res, 2019, 29(5):831-842.

[4] Capobianchi M R, Giombini E, Rozera G. Next-generation sequencing technology in clinical virology[J]. Clin Microbiol Infect, 2013, 19(1):15-22.

[5] Goldberg B, Sichtig H, Geyer C, et al. Making the Leap from Research Laboratory to Clinic: Challenges and Opportunities for Next-Generation Sequencing in Infectious Disease Diagnostics[J]. mBio, 2015, 6(6):e01888-15.

[6] Wilson M R, Sample H A, Zorn K C, et al. Clinical Metagenomic Sequencing for Diagnosis of Meningitis and Encephalitis[J]. N Engl J Med, 2019, 380(24):2327-2340.

[7] Wilson M R, Naccache S N, Samayoa E, et al. Actionable diagnosis of neuroleptospirosis by next-generation sequencing[J]. N Engl J Med, 2014, 370(25):2408-2417.

[8] 中华医学会检验医学分会临床微生物学组, 中华医学会微生物学与免疫学分会临床微生物学组, 中国医疗保健国际交流促进会临床微生物与感染分会. 宏基因组高通量测序技术应用于感染性疾病病原检测中国专家共识[J]. 中华检验医学杂志, 2021, 44(2):107-120.

[9] Miao Q, Ma Y, Wang Q, et al. Microbiological Diagnostic Performance of Metagenomic Next-generation Sequencing When Applied to Clinical Practice[J]. Clin Infect Dis, 2018, 67(suppl_2):S231-S240.

[10] Wu X, Li Y, Zhang M, et al. Etiology of Severe Community-Acquired Pneumonia in Adults Based on Metagenomic Next-Generation Sequencing: A Prospective Multicenter Study[J]. Infect Dis Ther, 2020, 9(4):1003-1015.

[11] Wang Q, Miao Q, Pan J, et al. The clinical value of metagenomic next-generation sequencing in the microbiological diagnosis of skin and soft tissue infections[J]. Int J Infect Dis, 2020, 100:414-420.

[12] Li Y, Sun B, Tang X, et al. Application of metagenomic next-generation sequencing for bronchoalveolar lavage diagnostics in critically ill patients[J]. Eur J Clin Microbiol Infect Dis, 2020, 39(2):369-374.

[13] Li H, Gao H, Meng H, et al. Detection of Pulmonary Infectious Pathogens From Lung Biopsy Tissues by Metagenomic Next-Generation Sequencing[J]. Front Cell Infect Microbiol, 2018, 8:205.

[14] Xie Y, Du J, Jin W, et al. Next generation sequencing for diagnosis of severe pneumonia: China, 2010-2018[J]. J Infect, 2019, 78(2):158-169.

[15] Wang S, Ai J, Cui P, et al. Diagnostic value and clinical application of next-generation sequencing for infections in immunosuppressed patients with corticosteroid therapy[J]. Ann Transl Med, 2020, 8(5):227.

[16] Zhan Y, Xu T, He F, et al. Clinical Evaluation of a Metagenomics-Based Assay for Pneumonia Management[J]. Front Microbiol, 2021, 12:751073.


作者简介



图片

高延秋


  • 主任医师,硕士研究生导师

  • 郑州大学附属郑州中心医院RICU主任

  • 中华医学会结核病学分会重症专业委员会委员

  • 河南省医师协会重症医学分会委员

  • 河南省呼吸与危重症学会呼吸治疗分会副主任委员及重症医学分会副主任委员

  • 河南省生物医学工程学会体外生命支持委员会常委

  • 河南省中西医结合学会呼吸病分会常委

  • 河南省医院协会抗菌药物合理应用管理分会常委

  • 河南省医院协会重症医学分会委员

  • 中国医药教育协会呼吸病康复专业委员会常委

  • 擅长重症肺炎、ARDS、脓毒症、多器官功能衰竭、深部真菌感染等的救治



图片

董睿


  • 郑州大学附属郑州中心医院主治医师,硕士研究生
  • 河南省呼吸与危重症学会青年委员
  • 河南省呼吸与危重症学会肺栓塞及肺血管病分会委员
  • 河南省生物医学工程学会机械通气专业委员会委员
  • 擅长重症肺炎、AECOPD、ARDS、多器官功能障碍、脓毒症休克等疾病的救治

*本文根据“呼吸危重症菁英秀”第七期专题视频整理感谢董睿医师予以审核。



全部评论 0
Copyright©2020-2026 北京医麦斯科技有限公司 版权所有 京ICP备2020034400号-1 京公网安备11010502043983号