登录方式

方式一:
PC端网页:www.rccrc.cn
输入账号密码登录,可将此网址收藏并保存密码方便下次登录

方式二:
手机端网页:www.rccrc.cn
输入账号密码登录,可将此网址添加至手机桌面并保存密码方便下次登录

方式三:
【重症肺言】微信公众号
输入账号密码登录

注:账号具有唯一性,即同一个账号不能在两个地方同时登录。

登录
方式

为重症救治赋能

为患者康复加速

当前位置: 首页 呼吸危重症菁英秀

魔肺成就,劫后余生 |ECMO救治危重患者一例

周晶 西安医学院第一附属医院 发布于2024-05-08 浏览 1019 收藏

作者:周晶

单位:西安医学院第一附属医院


图片

病情介绍


一般情况

患者,男性,63岁。主诉:发热伴全身乏力、咳嗽2天,意识模糊2小时。2021年6月7日入院。


现病史

2天前患者多日熬夜劳累后出现发热,最高体温38.4℃,伴全身乏力、纳差,无畏寒、寒战、咽部不适,无明显肌肉酸痛,轻微咳嗽,无咳痰、鼻塞、流涕,无心慌、胸闷、气短,无恶心、呕吐,无腹痛、腹胀、腹泻,未诊治。全身乏力进行性加重,2小时前出门时不慎摔倒伴意识模糊,由家人呼叫120送来我院急诊。以“感染性休克、重症肺炎”于2021年6月7日收入我院心胸外科。


既往史

乙型病毒性肝炎病史20余年,肝硬化3年,间断口服富马酸丙酚替诺福韦片治疗;2018年至今共行2次白内障手术,10年前于外院行双下肢静脉曲张结扎术。


查体

T 36.5℃,P 125次/min,RR 24次/min,BP 102/67 mmHg[多巴胺5.7 μg/(kg·min)]。意识不清,呼吸急促,双肺叩诊呈清音,双肺呼吸音粗,可闻及少许湿啰音。HR 125次/min,律齐,各瓣膜听诊区未闻及病理性杂音,无心包摩擦音。腹平软,腹部柔软,无压痛、反跳痛。双下肢无静脉曲张、水肿。


初步诊断

感染性休克,重症肺炎,Ⅰ型呼吸衰竭,多脏器功能不全,慢性乙型病毒性肝炎,肝硬化,低蛋白血症,凝血功能异常,电解质紊乱,低钾血症,低钠血症,双侧大隐静脉曲张结扎术后,双侧白内障术后。


辅助检查

全腹部CT(本院2021年6月7日):肝脏边缘局部结节状改变,考虑肝硬化;肝内多发类圆形低密度影,建议增强扫描;轻度脂肪肝,脾大;胃未充盈,胃壁增厚。
动脉血气分析(HFNC,流速50 L/min,FiO2 100%):PaO2 47 mmHg,PaCO2 17 mmHg,氧饱和度87%。
血分析+CRP(本院2021年6月7日):白细胞3.35×109/L,中性粒细胞百分比93.4%,淋巴细胞百分比4.8%,淋巴细胞绝对计数0.07×109/L,血红蛋白124 g/L,血小板35×109/L。
胸部CT(本院2021年6月7日):双肺多发斑片状、大片状密度增高影,以右肺中下叶为著,大片状密度增高影内支气管气象、铺路石样改变,右肺下叶部分支气管截断(图1)


图片

1  患者胸部CT


图片

转入呼吸与危重症医学科


2021年6月7日19:30,患者转入呼吸与危重症医学科。
查体:神志清楚,烦躁不安,双肺呼吸音粗,可闻及背侧湿啰音。RR 35次/min,呼吸窘迫;HR 120次/min,律齐,留置中心静脉导管及有创动脉血压监测,去甲肾上腺素0.48 μg/(kg·min)。ABP 108/65 mmHg。留置导尿,尿量150 ml/h,未解大便。心腹查体基本同前,双下肢无水肿。
入ICU立即进行NIV治疗(IP/EP 16/6 cmH2O,FiO2 100%)。患者无创通气配合度极差,烦躁不安,RR 45次/min,交替使用HFNC治疗(Flow 60 L/min,FiO2 100%)。
危急值报告示:白细胞0.72×109/L(6月7日23:33)。
血气分析:pH 7.49,PaO2 44 mmHg,PaCO2 22 mmHg,Lac 4.1 mmol/L,HCO3- 16.8 mmol/L。


图片

病情变化


呼吸频率40~50次/min,明显呼吸窘迫。
NIV治疗后SpO2波动在80%~92%左右,血气分析提示:pH 7.35,PaO2 60 mmHg,PaCO2 36 mmHg,Lac 8.2 mmol/L,HCO3- 19.9 mmol/L。P/F 60 mmHg。痰液量多,产生迅速,反复吸痰治疗效果欠佳,意识逐渐模糊。
危急值:白细胞1.88×109/L(6月8日8:00)。
8:20突然出现心率增快至204次/min,心电图提示快室率房颤。
8:57接到检验科危急值报告示:高敏肌钙蛋白14750.6 pg/ml。
9:10给予支气管镜引导下气管插管(两肺下叶吸出大量黄褐色泡沫痰,送检细菌室+NGS)(图2)


图片

2  支气管镜吸出痰液


间歇指令通气(IMV):PC 20 cmH2O,PEEP 8 cmH2O,FiO2 100%,SpO82%。
9:55患者心率增快至210次/min,伴SpO2下降至80%左右。
反复气管镜下深部吸痰,两肺下叶吸出大量黄褐色泡沫痰。
同时予以输注人血白蛋白、血浆等血液制品扩容,患者病情仍进行性恶化。
复查血气分析(IMV-AC PC 20 cmH2O,PEEP 8 cmH2O,FiO2 100%):pH 7.35,PaO2 40 mmHg,PaCO2 36 mmHg,Lac 5.9 mmol/L,HCO3- 19.9 mmol/L。


ECMO治疗(6月9日,入院3天)

2021年6月9日11:22启动V-V ECMO治疗。V-V模式,转速3350转/min,流量4 L/min,空氧混合流量4 L/min,氧浓度100%,股静脉端50 cm,颈内静脉端17 cm。


肺保护+肺复张(6月9日,入院3天)

ECMO支持治疗(转速3000转/min,血流量3.6 L/min,空氧混合流量4.5 L/min,FiO2 100%)。呼吸机参数:PCV模式,f 10次/min,PC 12 cmH2O,PEEP 8 cmH2O,FiO2 100%。

血气分析:pH 7.44,PaO2 85 mmHg,PaCO2 42 mmHg,Lac 8.1 mmol/L。

呼吸力学:R 15 cmH2O/(L·S),C 30 ml/cmH2O,Pplat 22 cmH2O。

肺复张:PEEP递增法,氧合无明显改善。

复查床旁胸部X线片可见患者心脏逐渐增大,肺部病变无明显好转(图3)

患者氧合维持尚可,但乳酸水平持续增高(图4)


图片

3  建立ECMO前后患者胸部X线片变化情况


图片

4  患者PaO2Lac变化情况


图片

病情再次变化(2021年6月12日)


查体

T 36.2℃,P 86次/min,R 20次/min,BP 130/64 mmmHg。双肺呼吸音粗,双下肺呼吸音偏低,可闻及少许湿啰音,以右肺为主,心率86次/min,律齐,心音弱,各瓣膜听诊区未闻及病理性杂音,腹软,双下肢皮温及足背动脉搏动尚可,全身水肿明显。


辅助检查

血分析:血小板34×109/L,血红蛋白107 g/L,C反应蛋白101.85 mg/L,降钙素原13.26 ng/mL。
凝血6项:纤维蛋白原1.57 g/L,PT活动度63.0%,凝血酶时间21.8 s,D-二聚体33.89 mg/L,凝血酶原时间19.50 s,纤维蛋白降解产物89.08 mg/L。
N端脑钠肽前体7428 pg/ml。
肝功能:谷草转氨酶69 U/L,白蛋白24.5 g/L。
胸部X线片:两肺肺炎征象,右下肺部分肺膨胀不全不除外;双侧胸腔积液。
24小时入量6282 ml,出量2336 ml(便50 ml)。
RASS评分-3分,CPOT评分0分。


治疗方案

ECMO联合CRRT:V-V ECMO模式,转速3401转/min,血流速4.14 L/min,空氧混合流量4.5 L/min,氧浓度100%。CRRT模式:CVVH模式。
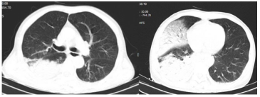
复查患者胸部CT可见肺部病变加重(图5)
ECMO联合CRRT基础上给予患者俯卧位:每天坚持16~20小时的俯卧位,留置空肠营养管,启动肠内营养,保证患者肠道功能的恢复。


图片

5  复查患者胸部CT


疗效评估
俯卧位8天后,患者Lac逐渐下降,氧合显著改善(图6)。影像学亦可见肺部实变明显改善(图7)


图片

6  俯卧位后患者PaO2Lac变化情况


图片

7  俯卧位前后患者胸部影像学对比


6月23日撤离ECMO,6月30日撤离机械通气,7月3日撤离CRRT,7月20日转出ICU(图8)8月2日门诊复查,两肺病变完全吸收

图片

图8  患者病情逐渐好转


图片

病程回顾及总结


患者从入ICU至转出ICU过程如图9所示。患者体温和炎症指标变化情况如图10和图11。


图片

9  患者病程


图片

图10  患者治疗过程中体温变化情况


图片

图片

图11  患者治疗过程中炎症指标变化情况


在整个治疗过程中,患者APTT都维持在相对较好的范围。虽然患者有肝硬化,但治疗过程中肝功能尚可,未发生出血等情况(图12)


图片

12  患者APTT和血小板变化情况


入院时怀疑病原体为MRSA,后经NGS证实为肺炎链球菌,治疗过程中继发真菌(光滑假丝酵母菌)感染,经积极抗感染治疗,BALF及尿培养均为阴性(图13)。经过一段时间的康复治疗最终治愈出院。


图片

13  患者病原学结果及抗感染治疗方案


ECMO需要团队配合,且要兼顾患者病情及机器运转情况进行综合管理。危重患者的救治,需要临床医生在失败中汲取教训,在成功中总结经验,不断总结和创新。


作者简介




图片

周晶


  • 西安医学院第一附属医院呼吸与危重症医学科主任

  • 赴美访问学者,赴台高级研修班培养学员

  • 中华医学会呼吸病学分会委员

  • 中国非公立医疗机构协会体外生命支持专业委员会委员

  • 陕西省急危重症ECMO联盟常委

  • 陕西省医学会重症医学分会委员

  • 陕西省医师协会呼吸科医师分会委员

  • 陕西省中西医结合学会第一届呼吸病专业委员会委员

  • 陕西省中西医结合学会危重症医学专业委员会常委

  • 西安医学院第一附属医院临床药物实验伦理委员会常委

  • 擅长危重症患者抢救及高级生命支持治疗,尤其在重症感染、机械通气、ECMO、CRRT、血流动力学监测、肺康复治疗、支气管镜诊疗等方面有丰富的临床经验

  • 承担并完成陕西省科技厅课题1项

  • 近年来致力于肺部肿瘤、肺部感染疾病、危重症医学等方面的研究

  • 发表SCI及国内核心期刊论文10余篇


*本文根据“呼吸危重症菁英秀”第六期专题视频整理感谢周晶教授予以审核。


全部评论 0
Copyright©2020-2026 北京医麦斯科技有限公司 版权所有 京ICP备2020034400号-1 京公网安备11010502043983号