登录方式

方式一:
PC端网页:www.rccrc.cn
输入账号密码登录,可将此网址收藏并保存密码方便下次登录

方式二:
手机端网页:www.rccrc.cn
输入账号密码登录,可将此网址添加至手机桌面并保存密码方便下次登录

方式三:
【重症肺言】微信公众号
输入账号密码登录

注:账号具有唯一性,即同一个账号不能在两个地方同时登录。

登录
方式

为重症救治赋能

为患者康复加速

当前位置: 首页 呼吸危重症菁英秀

急性呼吸衰竭床旁重症超声的临床应用

孙丽娜 北京大学第三医院 发布于2024-04-29 浏览 1696 收藏

作者:孙丽娜

单位:北京大学第三医院呼吸与危重症医学科


图片

床旁危重症超声的特点及优势


床旁危重症超声的特点包括:①实施者和影像解读者均为重症医学专业人员;②以问题导向为基础;③实时实地,即时检查;④反复测量,动态观察;⑤多系统整合判断;⑥零创伤;⑦费用低。


图片



图片

正常肺的超声表现


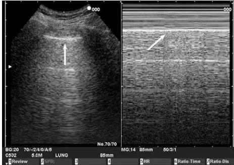
进行肺部超声检查时,首先要确定胸膜的位置,将探头置于两个肋骨之间时,会看到屏幕外围两侧有宽约2 cm的高回声曲线,胸膜线位于屏幕中央,两侧肋骨下方,在脏层胸膜和壁层胸膜交界处形成的第一条高回声曲线,其形态类似蝙蝠,故称为“蝙蝠征”。之后再去观察有无“肺滑动征”,即脏层胸膜和壁层胸膜随呼吸而相互滑动或闪动,肺滑动征提升我们两层胸膜之间无气无水,胸膜无黏连或融合。此外,在超声上还能看到A线,即在胸膜线下与胸膜线平行、相互之间等距的高回声曲线。正常肺充气状态即为A线+肺滑动征。


图片


M型模式下的胸壁和胸膜滑动如下图所示,胸壁相对不动,呈横纹表现,肺滑动引起沙粒样改变,称为海岸征或沙滩征。近场显示胸壁层的静态表现(海),远场显示动态胸膜滑动的运动征象(海岸)。


图片
注:左图为B型超声,右图为M型超声



图片

异常肺的超声表现


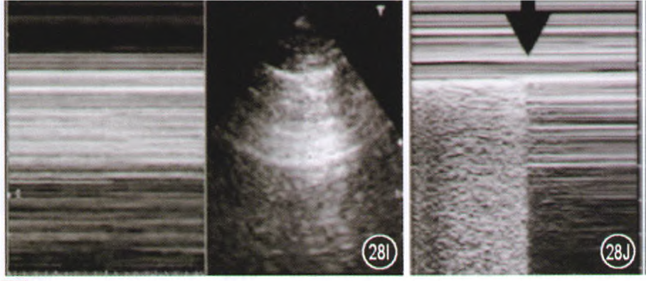
(1)条码征+肺点—气胸:异常肺的超声表现主要取决于气/水比例的变化引起的不同病理变化。以气胸为例,肺滑动征消失时,脏层胸膜和壁层胸膜无相对运动;M模式下表现为平行的水平线。所以与之前的沙滩征不同,这种横纹/条纹会一直出现,即为“条码征”(下图右)肺点是正常肺和气胸的交界点,它是诊断气胸的金标准。吸气时可见正常肺表现,呼气时胸膜滑动消失,M超呈条码征。所以气胸的超声表现即为条码征+肺点


图片


(2)B线—肺水肿:如果水增多就会产生B线。以肺水肿为例,B线是界限清楚的纵行伪影,起源于胸膜,延伸至屏幕远端,无衰减,其随胸膜滑动而滑动;其可消除A线,提示肺水含量增加;后侧胸部的B线可能是生理性的(见于28%的健康人),如果双上肺都有弥漫的B线,则提示肺水肿。


(3)C征象—肺泡实变:①碎片征:小片肺实变表现为不规则的碎片状强回声。大片肺实变时,实变肺组织呈现类似肝实质样软组织回声。②支气管充气征:含气的支气管;如支气管通畅,随呼吸呈一暗一明的表现;如支气管不通畅,则呈与支气管形状一致的高回声像。超声对厚度大于2 cm的肺实变检测阳性率较高,其总体敏感度和特异度分别为90%和98%。


图片


(4)胸腔无回声区—胸腔积液:脏层胸膜和壁层胸膜分离,其间出现无回声区,提示胸腔积液。超声能检测到的最少液体量为20 ml,敏感度高于胸部X线片。


图片


(5)ARDS:ARDS的超声征象特点是根据不同区域的病理改变,从前侧到后侧会出现正常通气的A线以及磨玻璃样变、肺水增多的B线以及偏后部的C征象。


图片


图片

急性呼吸困难的超声鉴别


2008年发表在Chest上的BLUE方案就急性呼吸困难的超声鉴别给了我们很好的提示。首先观察肺内有无滑行征,如果有,且双上肺都是B征象,提示肺水肿,如果是A征象,要通过下肢静脉彩超判断有无深静脉血栓,如果存在静脉血栓,则急性呼吸困难很可能是肺栓塞引起;如果静脉正常,要观察肺部超声有无问题,如果肺泡/胸膜综合征阳性,可能会有肺炎或胸腔积液的表现。之后的改良版方案提示,如果肺泡/胸膜综合征阴性,可能是超声所见通气基本正常的哮喘和慢阻肺,甚至是其他疾病导致。如果两侧肺表现不一致,一侧是A征象,一侧是B征象或C征象,也提示是肺炎。如果肺滑行征是阴性,出现B征象可能是肺炎,如果是A线,我们再去查找肺点,如果有肺点,则提示气胸,如果没有肺点,还需要进一步检查来寻找急性呼吸困难的原因。


图片


2019年发表于Am J Emerg Med的一项前瞻性观察性单中心研究对BLUE方案的准确性进行了评价。该研究纳入383例研究对象,入选标准:连续入组急诊就诊≥18岁的急性呼吸困难患者。排除临床未明确诊断者、创伤、弥漫间质性肺疾病、气管狭窄、脂肪栓塞、反复入院的患者。床旁超声医生不了解患者病情,不参与诊治,30分钟内按BLUE方案做完床旁超声(含胸腔、心包),做出诊断(肺水肿、肺炎、哮喘/慢阻肺、肺栓塞、气胸);诊治医生不能获知床旁超声结果。研究结果提示,BLUE方案对心源性肺水肿、肺炎、气胸以及肺栓塞的诊断敏感性和特异性均较高,但对慢阻肺/哮喘的特异性和阳性预测率较低。这可能是由于入组的部分患者病情较轻(只要有呼吸困难就可以),所以有一部分是情绪紧张和焦虑所导致。如果将入选标准定为急性呼吸衰竭或严重低氧,结果的数据可能会更好。该研究为了能够非常客观地评价BLUE方案,使做超声的医生不去了解患者的病情,但实际上这与危重症医生做床旁超声的初衷并不一致。


另外还有一篇系统综述回顾了2004年1月至2020年8月期间的5项随机对照研究和44项前瞻性队列研究,目的是为了评估应用POCUS(point-of-care ultrasonography)诊断工具协助判断急性呼吸困难病因的有效性。结果显示,与单纯应用标准诊断路径相比,POCUS+标准诊断路径对急性呼吸困难的诊断准确率增加。两组患者住院期间死亡率和住院时间均无显著差异。纳入的研究均提示POCUS能够提高诊断充血性心力衰竭、肺栓塞、胸腔积液和气胸的敏感性,但特异性各项研究结果并不一致。


图片

休克的超声鉴别


RUSH方案是从泵、容量和血管三方面进行休克的超声鉴别(详见下图)。对于低血容量性休克,心脏收缩功能较强,心腔变小;容量上表现为下腔静脉或颈内静脉扁平。心源休克是心脏收缩功很差,心腔扩大,容量上可以看到下腔静脉或颈内静脉明显扩张,肺部超声可见弥漫的B线。导致梗阻性休克的原因可能有的征象:心包积液、右室压力负荷增加,肺超声可能会看到气胸表现,肺滑动征消失,出现肺点;如果有肺栓塞,下肢血管彩超可能会看到血栓。分布性休克的特点并不是很突出,所以在诊断流程中,首先要进行简单的心脏超声和BLUE方案以除外梗阻性休克,如果正常,通过BLUE方案排除心源性休克(有无心脏超声异常以及肺水肿B线),如果正常,且主要为A线,此时可以进行液体复苏,如果纠正,则支持低血容量性休克;如果没有纠正,而且补液已经出现肺水肿,循环仍未得到改善,则需要考虑分布性休克(如脓毒症休克)的可能,此时超声也可能会检测到一些化脓感染的表现。


图片


图片

病例再现


57岁男性患者,主诉:发热15天,咳嗽咳痰14天,呼吸困难3天。有聚集性发热的流行病学史。2020年2月6日入RICU。15天前,出现发热,体温最高39.8℃,无鼻塞、流涕及咽痛。14天前,出现咳嗽、咳痰症状。11天前,血常规WBC正常,甲、乙型流感病毒抗原阴性,肺CT未见肺炎。给予对症治疗。5天前,腹痛剧烈,位置不固定,咳嗽时加重。3天前,爬楼气短,血常规示白细胞和中性粒细胞百分比均升高,甲、乙型流感病毒抗原阴性,肺CT可见右下肺胸膜下磨玻璃影,新冠病毒核酸检测3次均为阴性,给予奥司他韦+莫西沙星治疗,于RICU负压病房接受治疗。


隔离期间,患者于夜间睡眠中突发憋气,心电监测显示HR 133次/min,BP 66/38 mmHg,RR 30次/min,SpO2 测不出。查体:神清,喘息貌,全身皮肤黏膜苍白、湿冷,颈静脉未见怒张,双下肢不肿。由于当时仍然处于新冠疫情防护状态,无法使用听诊器,且双层手套叩诊效果不佳。血气分析(面罩吸氧10 L/min):pH 7.077,PaCO32.2 mmHg,PaO2 86.6 mmHg,氧合指数144 mmHg,Lac 16.6 mmol/L,HCO3- 10.2 mmol/L。即刻予开放静脉通路快速补液,应用血管活性药物,纠正酸中毒,吸氧。患者情况未见改善,HR 120次/min,BP 60/25 mmHg,RR 40次/min,SpO2 95%。


患者突发休克,严重低氧血症。下一步如何处理?


感染无加重表现,不支持感染性休克;无过敏表现,不支持过敏性休克;无失血表现,补液无效,不支持失血性休克;冠心病危险因素少,无胸痛,但仍不能除外心源性休克;此外,需要重点考虑梗阻性休克。


利用床旁即时超声检查协助判断。心脏超声:两个声窗两个切面看到右房、右室增大,胸骨旁声窗短轴乳头肌水平切面见“D字征”,提示右心压力增高,左心室受压;未见心包积液,不支持心包填塞;双肺上蓝点可见胸膜滑动征+A线,无气胸征象;未见室壁节段性运动异常,双上肺无B线,不支持急性心梗和心衰。此外,通过心电图检查发现患者窦性心动过速,SQT,完全性右束支传导阻滞。


考虑急性肺栓塞、高危可能性极大,在纠正其他因素后持续低血压15分钟以上,有溶栓指征,患者无禁忌证,故给予溶栓治疗。半小时后血压正常,症状缓解;3天后停吸氧,复查心电图恢复正常,复查超声心动正常。


图片



急性呼吸困难病因包括肺栓塞、急性左心衰、气胸等多种危重疾病,可瞬间威胁生命安全,需要及时诊治。床旁即时超声是急性呼吸衰竭和休克进行鉴别的有力手段。


⭐  作者介绍


图片

孙丽娜


  • 北京大学第三医院呼吸与危重症医学科副主任医师
  • 中国老年学和老年医学学会老年呼吸与危重症医学分会委员
  • 主要研究方向:慢性气道疾病
  • 以第一和共一作者在国内核心期刊及SCI期刊发表10余篇专业学术文章


*本文根据“呼吸危重症菁英秀”第二期专题视频整理感谢孙丽娜老师予以审核。

全部评论 0
Copyright©2020-2026 北京医麦斯科技有限公司 版权所有 京ICP备2020034400号-1 京公网安备11010502043983号