登录方式

方式一:
PC端网页:www.rccrc.cn
输入账号密码登录,可将此网址收藏并保存密码方便下次登录

方式二:
手机端网页:www.rccrc.cn
输入账号密码登录,可将此网址添加至手机桌面并保存密码方便下次登录

方式三:
【重症肺言】微信公众号
输入账号密码登录

注:账号具有唯一性,即同一个账号不能在两个地方同时登录。

登录
方式

为重症救治赋能

为患者康复加速

当前位置: 首页 呼吸危重症菁英秀

重症超声在ECMO中的应用

冯莹莹 中日友好医院 发布于2024-04-29 浏览 2314 收藏

作者:冯莹莹

单位:中日友好医院呼吸与危重症医学科四部

临床实践中,超声在ECMO中的应用范围非常广泛。按照时间顺序分类,在ECMO辅助前,超声可以进行患者评估(包括血管评估和心脏评估)和穿刺定位;ECMO建立时,超声引导下穿刺可以有效降低并发症;ECMO建立后,超声可以辅助确认管路位置、监测并发症以及指导治疗。

图片

ECMO辅助前


1. 患者评估
超声不仅可以测量患者血管直径,以便选择合适的管路,还有助于判断有无变异或畸形等,目前在临床已经得到广泛应用。由于重症患者疾病进展迅速,常出现临床诊断尚不明确、但患者已经面临严重呼吸/循环衰竭,需要尽快启动生命支持的情况。超声能够协助临床医生进行原发病的诊断。此外,超声还能够评估患者既存的病生理状态,协助判断患者是否存在ECMO禁忌证(尤其是V-A ECMO),如较明显的主动脉夹层、主动脉瓣重度反流。
 
  • 病例1

34岁女性患者,既往体健,主诉:发热、胸闷伴咯血1月余,突发晕厥2天。患者1个月前(孕11周)无明显诱因出现发热,伴咽痛、流涕、胸闷,自服“感冒药”后症状部分好转,仍有胸闷、憋气,并出现少量咯血,共3~4次,偶有胸痛,不剧烈,无放射,可自行缓解,无咳嗽咳痰、无双下肢水肿。


就诊于当地医院,胸部CT提示双肺炎症、左侧胸腔积液,予以抗感染10天后患者症状好转出院。出院后行药物流产并人工清宫术,手术顺利。2天前外出购物途中突发晕厥,伴小便失禁,再次就诊于当地医院,血气分析提示Ⅰ型呼吸衰竭,转至我院。追问病史发现患者1年前怀孕5个月时诊断为双胎输血综合征,行引产术终止妊娠,后出现咯血、双下肢水肿,当地医院予以抗感染、利尿后症状好转出院。

超声提示患者右室稍大,余房室内径正常范围内;右房内可见团块状等回声飘动,大小约23 mm×11 mm,基底较窄,随心动周期活动度较大;三尖瓣及肺动脉瓣均可探及少许反流信号,余瓣膜未见异常信号;三尖瓣环收缩期位移(TAPSE)19 mm,下腔静脉(IVC)16 mm,IVC吸气塌陷率>50%。


结合患者超声所见,既往病史以及病态妊娠情况,考虑患者为急性肺栓塞高危组,合并抗磷脂综合征或系统性红斑狼疮可能性较大,应进一步完善相关检查。如果此类患者呼吸衰竭加重,呼吸支持方式应选择V-A ECMO,而非V-V模式。


2. 心脏评估
ECMO前通过超声可以评估患者的心脏情况,判断有无可迅速纠正的病因(如心包填塞),以及有无短期内无法纠正的病因(如严重瓣膜病变)。需要评估的内容包括左室收缩和舒张功能、右室大小及收缩、其他异常或变异(如主动脉瓣反流、卵圆孔未闭、房间隔缺损、希阿里氏网)。

  • 病例2

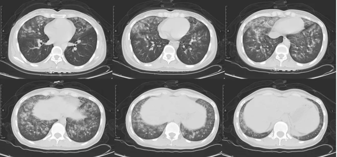
29岁女性,2021年2月入院。间断发热3个月,进行性呼吸困难23天。患者3个月前(2020年12月)出现间断发热,傍晚发热为主,Tmax 38.5℃,伴轻微咳嗽,查胸部CT未见明显异常,口服中成药治疗,仍有间断发热。1月余前再次因发热就诊于当地医院,复查CT示“双肺多发小结节,考虑纤维灶可能”,查血WBC、N%、CRP、ESR升高,予以咳嗽糖浆治疗,仍发热。

3周前患者再次发热,伴剧烈咳嗽、咯血痰,量不多,伴明显呼吸困难,再次就诊于当地医院急诊,查CT提示“双肺炎性病变,右侧胸腔积液,左侧胸膜渗液,双肺多发小结节”,血常规提示WBC 14.04×109/L,NEUT 12.4×109/L,CRP 21.58 mg/L;鼻导管吸氧10 L/min时指尖氧饱和度波动于70%左右,诊断“重症肺炎,右侧胸腔积液”收入ICU。

患者胸部CT示双肺上叶及中下叶均有磨玻璃影,部分呈腺泡结节,融合成片。

图片

图片



患者呼吸困难持续加重,无创呼吸机耐受差,伴血压下降,考虑“重症肺炎,感染性休克,急性呼吸窘迫综合征ARDS)”,当日行气管插管有创机械通气、去甲肾上腺素升压,插管后经口吸出血性物,更换为美罗培南联合阿奇霉素抗感染,奥司他韦抗病毒等治疗。送检痰NGS:嗜麦芽窄食单胞菌、木糖氧化无色杆菌、霍氏肠杆菌、白念珠菌、人类α疱疹病毒Ⅰ型。血NGS:人类α疱疹病毒Ⅰ型。



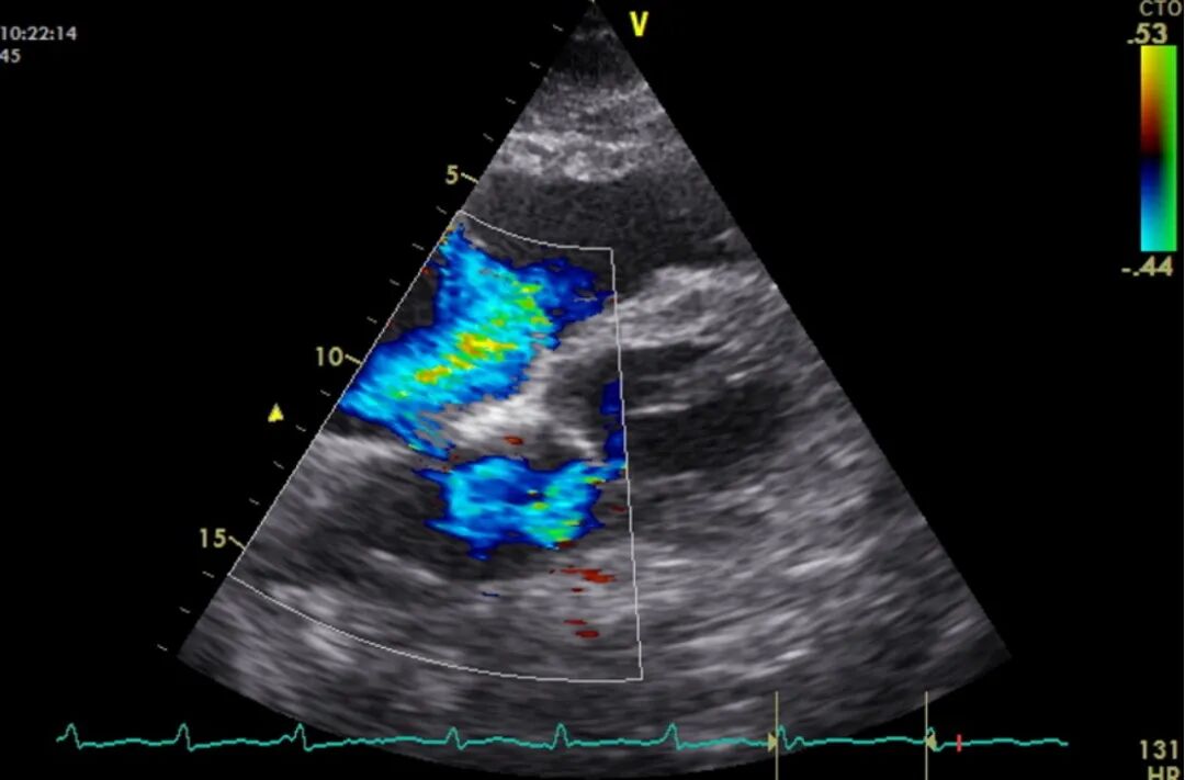
入院后常规完善心脏超声:LA 32 mm,LVd 41 mm,RV 16 mm, EF 68%,二尖瓣重度反流,未见明显赘生物,三尖瓣少量反流。结合患者反复发热病史,双肺影像学表现,考虑患者可能为急性左心衰。进一步完善经食管超声心动图(TEE),可见患者二尖瓣脱垂。


因此,患者以发热、呼吸困难为主要表现,伴气道内血性分泌物,肺泡出血也可出现类似的影像学表现,同时新发二尖瓣大量反流,不除外亚急性感染性心内膜炎或其他原因引起二尖瓣脱垂。患者虽然以呼吸衰竭起病,但支持方式应选择V-A ECMO。经手术治疗,患者顺利脱机出院。



3. 心血管情况及血管直径评估
经皮外周动脉置管时一定要完善动脉超声检查。插管大小可以根据血管直径进行预估。公式为:
插管尺寸French Gauge)≈3×血管直径(mm)。
同时超声还可以观察患者是否存在解剖变异,避免血管穿刺相关的并发症,还应注意是否存在深静脉血栓。



  • 病例3

19岁男性,军人,既往体健。呕吐、呼吸困难20余日,加重3天,呼吸困难进行性加重并出现Ⅰ型呼吸衰竭,先后予以抗细菌、抗真菌、抗病毒、糖皮质激素等治疗无好转后转至我院。CT示双肺弥漫磨玻璃样改变,插管后次日气胸。超声可见右颈内静脉内中等回声条状影,基底相对较宽。追问病史患者在外院曾于颈内静脉留置深静脉导管,转院前已拔除。考虑患者存在导管相关的静脉血栓,短期内应避免在此处再行血管穿刺。

图片



4. 小结
超声不仅能够评估血管情况、协助选择管路型号,对于原发病的诊断有时也能提供较大帮助,指导临床进行呼吸支持方式的选择。我院呼吸衰竭患者在进行ECMO支持前常规评估流程如下图。


图片


1  呼吸衰竭患者ECMO支持前常规评估流程


图片

ECMO建立时



超声引导下血管穿刺
J形导丝在超声下可清晰显影,确保进入目标血管:
下腔静脉—股静脉长轴、剑突下长轴;
主动脉—剑突下四腔心切面。
避免导丝过深引起室性心律失常。
确保扩皮效果及安全。
确认管路位置:置管成功后多切面确认管路位置后固定。





图片

ECMO建立后



ECMO建立后,需反复通过心脏超声和血管超声确认管路位置,尤其是射线可透过的管路尖端,并且确认管路深度(如过深或脱出)。同时,超声还能协助调整位置,判断引流端位置(过深/过浅)等。此外,超声还能够进行并发症的监测。


  • 病例4


76岁男性,主诉“咳嗽伴发热13天,呼吸困难1周”入院。既往有心脏支架史,阵发性房颤,入院后呼吸困难进行性加重,间断房颤,血压无下降、可达龙可转复,考虑与低氧相关,予以V-V ECMO及原发病治疗后氧合逐渐改善,逐步降低呼吸支持条件准备撤离。V-V ECMO 20天后再次出现房颤,心室率130~140次/min,伴血压波动于60~110/40~60 mmHg,胺碘酮静推+泵点效果不佳。



超声可见下腔静脉长轴切面管路似乎过深,心尖四腔心切面也发现管路位置较深。剑突下心尖四腔心切面发现部分房间隔随着心动周期有“甩动”情况。多普勒超声可探及房间隔“甩动”部分有少量血流通过。据此判断,该患者可能由于管路位置过深诱发心房纤颤。后续将管路后退,并给予胺碘酮,患者心率恢复,顺利撤离ECMO。后续心脏超声并未发现右向左或左向右的分流。

视频


图片


  • 导管相关静脉深血栓


一项研究纳入48例V-V ECMO患者,Ca-DVT发生率为85.4%(不同文献报道的发生率有所不同,波动于15%~85%),颈内、股静脉均可形成血栓,不同部位的血栓发生率相当,与抗凝水平无关、与ECMO时长有关。

下图是一例经食道超声证实的静脉血栓,管路的引流端端口存在高回声团块影,考虑静脉引流端血栓。


图片


  • 心内血栓形成

V-A ECMO患者可能出现心腔血栓。如果患者心功能极差而流量较高,可能导致主动脉瓣难以打开,出现明显的心腔内淤血,此时血流瘀滞易导致心腔内血栓,这是导致患者死亡的独立危险因素。患者心功能极差时,心腔内血液为涡流,血流速较慢,在超声方面可能表现为云雾样低回声,此时不一定意味着血栓形成,有时需要造影证实。


图片


除了上述,重症超声还能够指导治疗。在V-V ECMO难治性低氧情况下,超声可以监测肺通气情况、辅助PEEP滴定、评价俯卧位效果、早期发现VAP、判定有无气胸,还能行超声引导下肺活检及膈肌功能评价等。在V-A ECMO状态下,心脏超声能够帮助寻找停搏的病因、观察肺水肿情况、指导撤机时机等。


图片

小结



ECMO支持患者中,重症超声能够观察心房和心室的功能、管路位置、心包积液、容量状态等,也能指导呼吸方面的治疗、早期诊断,发挥良好的监测作用。


图片


ARDS是常见呼吸危重症,病死率高国外报道其病死率为34.9%~50.4%我国病死率为31.4%~56.2%柏林定义并未针对其病因进行定义描述为急性起病,呼吸衰竭,双肺浸润,除外心源性肺水肿无明确危险因素时,应重新评估左室充盈压除外静水压升高引起的肺水肿




作者简介




图片

冯莹莹

中日友好医院


  • 中日友好医院呼吸与危重症医学科主治医师
  • THORAX青年编委
  • 主要研究方向为重症超声与ECMO对血流动力学影响机制
  • 作为单位负责人承担十三五课题1项


*本文根据“呼吸危重症菁英秀”第二期专题视频整理感谢冯莹莹医生予以审核。


全部评论 0
Copyright©2020-2026 北京医麦斯科技有限公司 版权所有 京ICP备2020034400号-1 京公网安备11010502043983号