登录方式

方式一:
PC端网页:www.rccrc.cn
输入账号密码登录,可将此网址收藏并保存密码方便下次登录

方式二:
手机端网页:www.rccrc.cn
输入账号密码登录,可将此网址添加至手机桌面并保存密码方便下次登录

方式三:
【重症肺言】微信公众号
输入账号密码登录

注:账号具有唯一性,即同一个账号不能在两个地方同时登录。

登录
方式

为重症救治赋能

为患者康复加速

当前位置: 首页 护理专区 相关文章

不要被“腺”制——腺病毒肺炎

金金 中日友好医院 PCCM-MICU 发布于2024-03-27 浏览 3072 收藏

作者:金金  中日友好医院 PCCM-MICU

审核樊玉莲  中日友好医院 PCCM-MICU

图片

人腺病毒(HAdV)是一种新型病毒吗?

图片

HAdV并不是一种新型病毒。科学家们早在20世纪50年代就已发现了该病毒,它属于哺乳动物腺病毒属,为无包膜的双链DNA病毒,目前已发现至少90个基因型,已知的HAdV有52种。
HAdV感染在一年四季均可发生,我国北方以冬春季常见,南方以春夏季常见。

  • HAdV-3和HAdV-7型是儿童下呼吸道感染的病毒型别。
  • HAdV-55型是我国成人社区获得性肺炎的重要病原体之一。

HAdV的传播途径是什么?

HAdV感染者(包括无症状感染者)是主要的传染源。传播途径如下图所示。

图片

HAdV感染后有哪些症状?

HAdV感染可引起多种疾病,包括呼吸道的普通感冒、支气管炎和肺炎等;消化道的腹泻和胃肠炎等。此外,还可导致眼结膜炎、膀胱炎和神经系统疾病等。部分换可出现重症和危重症情况,甚至死亡。免疫系统较弱、慢性呼吸系统疾病和心脏病等患者感染HAdV后可能出现较重的临床症状。

HAdV易感人群有哪些?

各年龄段人群均易感染。HAdV传染性较强,常可引起暴发流行,主要发生在密闭和拥挤的环境,如学校、托幼机构、医院等。
图片

腺病毒肺炎临床表现有哪些?

一般起病急,常在起病之初即出现39℃以上的高热,可伴有咳嗽、喘息,轻症一般在7~11天体温恢复正常,其他症状也随之消失。

重症高热可持续24周,一些患着最高体温甚至超过40℃。呼吸困难多始于发病后35天,伴全身中毒症状,精神萎靡或者烦躁,易激惹,甚至抽搐。

部分患者有腹泻、呕吐,甚至出现严重腹胀。少数患者有结膜充血、扁桃体有分泌物。

严重者可出现呼吸急促且费力、鼻翼扇动、口周发绀等重症肺炎症状体征,重症肺炎可合并心肌炎、心衰、中毒性肝炎、中毒性脑病等,危及患者生命安全。

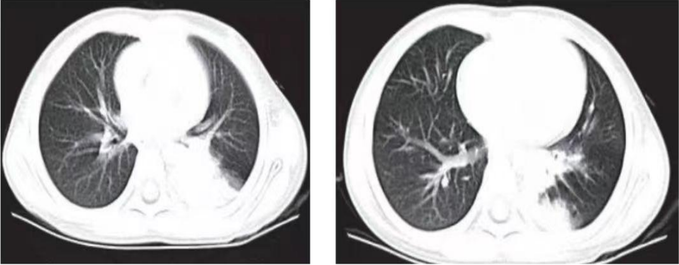
图片

腺病毒肺炎,表现为类似大叶性肺炎征象

个人如何预防?

目前国内尚无针对HAdV感染的特异性抗病毒药物,临床上以对症支持、免疫调节治疗和并发症治疗为主。亦无可供普通人群使用的疫苗,预防HAdV感染的措施与其他呼吸道传染病大致相同。

图片


全部评论 0
Copyright©2020-2026 北京医麦斯科技有限公司 版权所有 京ICP备2020034400号-1 京公网安备11010502043983号