登录方式

方式一:
PC端网页:www.rccrc.cn
输入账号密码登录,可将此网址收藏并保存密码方便下次登录

方式二:
手机端网页:www.rccrc.cn
输入账号密码登录,可将此网址添加至手机桌面并保存密码方便下次登录

方式三:
【重症肺言】微信公众号
输入账号密码登录

注:账号具有唯一性,即同一个账号不能在两个地方同时登录。

登录
方式

为重症救治赋能

为患者康复加速

当前位置:首页 脏器支持 气道管理

冷冻肺活检在呼吸危重症患者中的应用

于鲲遥 北京大学第一医院呼吸和危重症医学科 发布于2026-02-03 浏览 2454 收藏

作者于鲲遥

单位北京大学第一医院呼吸和危重症医学科

经支气管冷冻肺活检(transbronchial cryobiopsy, TBCB)作为一项新兴的介入呼吸病学技术, 通过冷冻探头的黏附性获取肺组织标本, 在呼吸系统疾病诊断中展现出独特优势。本文结合临床研究数据与实践案例, 系统阐述TBCB的技术原理、核心优势、并发症及应对策略, 重点分析其在呼吸危重症患者中的应用价值与安全性, 旨在为该技术在重症临床场景的规范化应用提供参考。



一、技术原理


经支气管冷冻肺活检(TBCB)是将冷冻探头经支气管深入远端小支气管,利用液氮或二氧化碳等制冷剂使探头尖端产生低温,借助冷冻过程中形成的组织黏附效应,对探头周围肺组织进行暴力撕裂,从而得到高质量组织学标本的介入诊断技术。该技术的主要机制在于低温环境下组织细胞与探头表面的物理黏附作用,相较于传统活检方式,该技术能在减少组织机械损伤的同时获取更大体积的标本。


二、核心优势


1. 标本质量更优

临床研究证实,TBCB获取的标本体积显著大于传统活检钳取材,且组织挤压损伤程度明显减轻。2013年Chest杂志发表的研究显示,与活检钳获取的标本相比,冷冻探头获取的标本体积更大、开放肺泡的占比更高,在病理形态完整性上具有显著优势,更有利于病理医师进行组织学分析与诊断。此外,镜下观察可见冷冻活检标本的组织形态完整,无挤压损伤,细胞形态失真率低,为疾病的精准分型提供了良好基础。

2. 诊断效能突出

在弥漫性间质性肺疾病(ILD)等疾病的诊断中,TBCB表现出优异的诊断价值。2020年Lancet Respir Med杂志发表的COLDICE研究对65例患者进行TBCB与开胸肺活检(SLB)的对比分析,结果显示:二者的标本大小分别为7.1±1.9 mm和6.5±14.9 mm,诊断一致率达70.8%,经多学科讨论后的诊断结果相似度更高(36/65 vs 37/65)。与传统活检钳相比,TBCB对外周肺部病变的诊断率显著提升。


三、并发症及应对策略


1. 出血

出血是TBCB最常见的并发症,需重点防控。TBCB依赖低温诱导的组织黏附效应实现标本获取,但该过程本质是对肺组织的物理牵拉,操作强度较难精准控制。有研究显示,即使同一术者操作,更换活检探头或液氮源后,组织黏附的强度与范围也可能出现波动,进一步增加了操作的不确定性。这种不确定性带来的直接风险是标本获取量的不可控:若牵拉获取的组织体积过大,术者的首要关注点并非标本质量的提升,而是即刻评估出血风险,当气道死腔内的急性出血量超过150 ml时,极易引发气道梗阻甚至窒息,这也是冷冻活检中致死性并发症的主要诱因之一。

针对出血并发症,需采取系统性预防与处理措施:术前建立人工气道保障通气安全,预置止血球囊便于快速干预;术中准备4℃冰盐水及1:10000冰肾上腺素溶液,用于即时止血。

临床数据显示,不同探头规格与操作方式对出血风险影响显著:1.9 mm探头的操作相关出血发生率低于2.4 mm探头,且两者诊断率无明显差异。国外指南建议,1.9 mm探头更适合在需要操作角度较大的病变部位,而且更容易到达肺外周部位。

2. 气胸

气胸发生率在不同文献报道中为9.5%~30%,其危险因素包括普通型间质性肺炎(UIP)样影像学改变、邻近胸膜部位进行操作、多次或多部位活检等。研究显示,单部位活检的气胸发生率显著低于双部位活检,上叶活检气胸发生风险低于下叶,1.9 mm探头的气胸发生率远低于2.4 mm探头。

2021年Chest杂志发表的一项观察性、回顾性、多中心队列研究纳入1024例接受TBCB的患者,结果发现,188例(18%)患者有出血表现,36例(3.5%)存在较为明显的出血;68例(6.6%)出现气胸,其中64例(6.3%)需要胸腔引流,平均引流天数为4天,未出现顽固性气胸,932例(91%)得到明确诊断。该研究认为, 病变的大小与出血之间存在关系,精确定位技术(R-EBUS, 透视)可以减少气胸的发生。


四、TBCB在呼吸危重症患者中的应用


近年来,TBCB在危重症患者中的应用逐渐拓展,包括急性呼吸窘迫综合征(ARDS)、肺移植术后疑似排斥反应、急性呼吸衰竭需机械通气等重症患者。这类患者病情危重、诊断困难,传统活检方式风险高,而TBCB凭借微创优势成为重要诊断手段。

TBCB在间质病急性进展患者中的安全性与有效性值得关注。2020年Lung杂志发表的研究纳入77例接受TBCB的患者,将其分为门诊与住院两组,两组基线肺功能水平相近,大部分患者以鼻导管吸氧为主,且未合并重度呼吸衰竭。结果显示,两组患者接受TBCB后的不良事件发生率无统计学差异,具体包括气胸、胸腔置管、Ⅱ级出血、治疗等级升级,以及30天和60天全因死亡率;同时,95%的患者经多学科会诊明确了最终诊断,其中住院组诊断率为100%,门诊组为93%,组间差异无统计学意义。

2023Eur Respir J杂志发表了一项前瞻性随机对照研究对比了三种经支气管肺活检方式的诊断效能、组织学标本质量及安全性。研究纳入了入住ICU接受机械通气、因急性肺损伤疑似急性排斥而需行经支气管镜肺活检术(TBLB)的肺移植患者,其中89例完成随机分组,分为活检钳组(28例)、1.9 mm冷冻探针组(31例)及2.4 mm冷冻探针组(30例)。结果发现,使用冷冻活检提高了急性排斥反应的诊断率,2.4 mm探头诊断能力最优。尽管冷冻活检的出血显著高于活检钳,但未见致死性并发症。

2022年Diagnostics杂志发表的一项研究探讨了ICU内机械通气急性呼吸衰竭患者行TBCB的可行性与安全性。该研究纳入10例因急性呼吸衰竭接受机械通气,并接受TBCB的患者,操作采用1.9 mm冷冻探头,以二氧化碳作为冷冻剂。入组患者的基线特征为:平均年龄58.2岁,女性占比50%;平均氧合指数为209.78±60.77 mmHg,平均吸入氧浓度为43.88%±8.94%,且所有患者的氧合指数均低于300 mmHg(提示存在急性肺损伤)。活检后的诊断结果显示:4例为弥漫性肺泡损伤(DAD)、2例为肿瘤、3例为肺纤维化、1例为慢性炎症;其中70%(7/10)的患者因本次活检得以明确诊断,后续治疗方案得到了调整。该研究还发现,70%(7/10)的患者未出现任何不良事件;仅3例出现轻微并发症,包括2例发热,以及1例显著低氧血症、1例气胸(两项事件为同一患者或不同患者的合并记录);未观察到严重并发症。

2023年BMC Pulm Med杂志发表了一项单中心回顾性病例系列研究,回顾性收集接受TBCB的不明原因ARDS患者的临床数据,患者均接受或未接受ECMO支持治疗。2019—2020年共纳入8例行TBCB的患者,手术指征均经多学科会诊讨论确定,其中5例患者接受ECMO支持。病理结果显示:5例为DAD,1例为急性纤维素性机化性肺炎,1例为隐源性机化性肺炎,1例为肺癌。所有病理结果均为患者后续治疗方案的制定提供了依据。手术相关不良事件方面,无即时严重出血或气胸,但出现2例延迟性血胸,均需外科手术干预;无患者因TBCB操作死亡。预防性支气管封堵(Watanabe栓/纱条)有效控制出血风险。

2022年詹庆元教授团队在ERJ Open Res杂志发表了一项VV-ECMO支持患者实施TBCB的可行性研究,共纳入13例接受VV-ECMO支持并行TBCB的患者。研究全程无操作相关死亡,未出现气胸及需手术止血、伴血流动力学不稳定的严重出血事件;出血并发症中,38.5%(5/13)为中度出血,且均通过预防性球囊封堵技术成功控制,其余61.5%(8/13)为不影响操作的轻度出血。为了保障操作安全,该研究采取了标准化措施:①抗凝管理:术前4小时停用肝素,通过活化凝血时间(ACT)监测维持其水平<120秒;②预防性球囊封堵:100%病例术中应用,活检后立即充气实现局部止血;③影像引导:采用径向支气管内超声(RP-EBUS)定位活检部位,避开血管以降低出血风险;④操作规范:床旁完成活检,每例取2~6块标本(中位4块),标本直径3~6 mm。

该研究结果显示:病理诊断率为100%(13/13),病理类型以DAD为主,占比69.2%(9/13),其次为机化性肺炎(23.1%,3/13)、非特异性间质性肺炎(7.7%,1/13)。临床结局方面,患者28天生存率为53.8%(7/13存活),46.2%(6/13)死亡,死因主要为基础疾病失控、肺栓塞及脓毒症;预后方面,4例处于纤维化期的DAD患者全部死亡,这一结果提示不可逆肺纤维化是此类患者的不良预后因素。


五、临床案例


案例1

30岁女性患者,发热伴乏力19天,妊娠状态,头孢、青霉素及大环内酯类抗感染治疗效果不佳。

实验室检查示WBC 9.21×109/L,PLT 159×109/L,NEU% 84.6%,LYM 0.98×109/L,Hb 112 g/L(↓)。支气管镜检查未见明显异常,BALF白细胞分类:巨噬细胞75%,淋巴细胞24%,中性粒细胞1%。含铁血黄素(-)。BALF mNGS(DNA+RNA):人疱疹病毒4型(序列数2701),人疱疹病毒6B型(序列数227)。

TBLB病理结果:肺组织,肺泡间隔略水肿、增宽,间质急慢性炎细胞浸润,肺泡腔内组织细胞聚集。病原体染色(抗酸、GMS、PAS)均阴性。

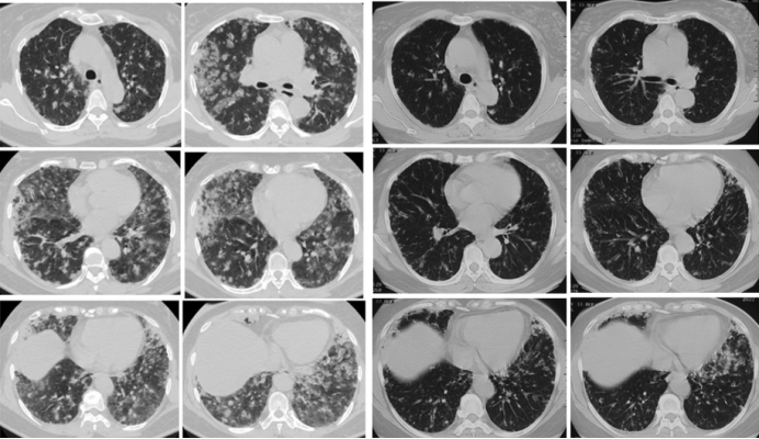
经过抗感染治疗,病情未能得到有效控制,肺部病灶进展,反复发热。考虑为非感染性疾病,选择RB1+RB10进行TBCB,病理诊断为EBV感染相关淋巴组织增生性疾病,高度怀疑EBV相关淋巴瘤。终止妊娠后经PET-CT、骨穿及活检确诊,于全麻下行左颈部淋巴结剥离术+左乳腺穿刺术,后续化疗,复查胸部CT病变较前吸收。

图片

1  患者胸部CT变化情况

案例2

51岁女性患者,发热、咳嗽3天,呼吸困难1天,患者3天前无明显诱因出现发热,Tmax 38°C,伴咳嗽;1天前活动时出现憋气,夜间平卧后咳嗽明显。银屑病病史20余年,主要表现为双上肢及胸腹部皮疹,3个月前开始应用依奇珠单抗共3次。

动脉血气(FiO2 21%):pH 7.44,PaCO2 37 mmHg,PaO2 56 mmHg;血常规WBC 9.37×109/L,NEU% 81.6%,CRP 120 mg/L;肝肾功能及心肌酶无异常,K+ 3.26 mmol/L(↓),Na+ 135.1 mmol/L(↓);D-Dimer 0.33 mg/L。

左舌叶支气管肺泡灌洗100 ml,回收45 ml(淡黄色);左B9+10冷冻肺活检取4块组织标本。BALF白细胞分类:巨噬细胞14%,中性粒细胞3%,淋巴细胞75%,嗜酸细胞8%;BALF NGS提示结核分枝杆菌复合群(序列数14),其他病原学均为阴性。送检肺组织,支气管壁内淋巴细胞、浆细胞及嗜酸性粒细胞等多型炎细胞浸润,间质纤维增生,局灶肺泡上皮增生,肺泡腔内纤维素蛋白样物沉积。考虑炎症性病变,未见肉芽肿,抗酸染色阴性。组织mNGS(-)

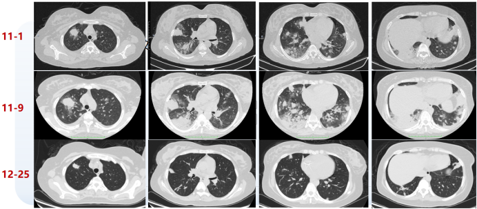
结合患者病史及查阅相关文献,最终考虑诊断IL-17诱导药物导致的间质性肺炎。给予甲泼尼龙40 mg qd联合二联抗结核治疗后,肺部病变较前明显改善(图2)

图片

2  患者治疗前后胸部CT比较


六、总结


与传统活检钳相比,TBCB可获取更优质的肺组织标本,在ILD诊断中,其基于标本的多学科讨论诊断率与外科肺活检相当。冷冻肺活检的主要并发症为出血与气胸,通过精准定位联合预置止血球囊可有效控制并发症风险;即便在危重症患者中,该检查仍能安全实施。尤为重要的是,冷冻肺活检可明确危重症肺疾病患者的病理类型,这对精准调整治疗方向、客观判断疾病预后具有重要的临床意义。

向下滑动查看


参考文献

[1] Yarmus L, Akulian J, Gilbert C, et al. Cryoprobe transbronchial lung biopsy in patients after lung transplantation: a pilot safety study[J]. Chest, 2013, 143(3):621-626. 

[2] Hetzel J, Hetzel M, Hasel C, et al. Old meets modern: the use of traditional cryoprobes in the age of molecular biology[J]. Respiration, 2008, 76(2):193-197. 

[3] Troy LK, Grainge C, Corte TJ, et al. Diagnostic accuracy of transbronchial lung cryobiopsy for interstitial lung disease diagnosis (COLDICE): a prospective, comparative study[J]. Lancet Respir Med, 2020, 8(2):171-181. 

[4] Hetzel J, Eberhardt R, Petermann C, et al. Bleeding risk of transbronchial cryobiopsy compared to transbronchial forceps biopsy in interstitial lung disease - a prospective, randomized, multicentre cross-over trial[J]. Respir Res, 2019, 20(1):140. 

[5] Ravaglia C, Wells AU, Tomassetti S, et al. Diagnostic yield and risk/benefit analysis of trans-bronchial lung cryobiopsy in diffuse parenchymal lung diseases: a large cohort of 699 patients[J]. BMC Pulm Med, 2019, 19(1):16.

[6] Chen X, Li J, Luo F, et al. The application of transbronchial cryobiopsy in interstitial lung disease: a prospective, multicenter, real-world study[J]. Ann Transl Med, 2021, 9(22):1645.

[7] Herth FJ, Mayer M, Thiboutot J, et al. Safety and Performance of Transbronchial Cryobiopsy for Parenchymal Lung Lesions[J]. Chest, 2021, 160(4):1512-1519.

[8] Castellani C, Castellani H, Benn BS. Transbronchial Lung Cryobiopsy is Safe and Effective for Diagnosing Acutely Ill Hospitalized Patients with New Diffuse Parenchymal Lung Disease[J]. Lung, 2022, 200(2):153-159. 

[9] Loor K, Culebras M, Sansano I, et al. Lung allograft transbronchial cryobiopsy for critical ventilated patients: a randomised trial[J]. Eur Respir J, 2023, 61(1):2102354.

[10] Chang CH, Ju JS, Li SH, et al. Feasibility and Safety of Transbronchial Lung Cryobiopsy for Diagnosis of Acute Respiratory Failure with Mechanical Ventilation in Intensive Care Unit[J]. Diagnostics (Basel), 2022, 12(12):2917. 

[11] Eisenmann S, Lambrecht N, Dießel L, et al. Transbronchial cryobiopsy in unexplained, severe ARDS: a single center retrospective case series[J]. BMC Pulm Med, 2023, 23(1):5.

[12] Wang S, Zhou G, Feng Y, et al. Feasibility of transbronchial lung cryobiopsy in patients with veno-venous extracorporeal membrane oxygenation support[J]. ERJ Open Res, 2022, 8(4):00383-2022. 



作者介绍

图片

于鲲遥

北京大学第一医院呼吸和危重症医学科主治医师医学博士北京医学会呼吸病学分会危重症学组委员中国医师协会呼吸医师分会危重症学组青年委员北京围术期医学研究会呼吸专业委员会委员北京围术期医学研究会呼吸治疗与肺康复专业委员会委员北京整合学会介入诊疗转化医学分会中国医学救援协会全科医学分会会员;主要从事呼吸危重症及呼吸内镜相关工作
图片



声明:

本文仅用于学术领域的理论探讨与专业交流,不涉及任何商业推广、产品宣传等非学术用途,亦不作为临床诊疗活动中最终决策的依据。临床实践需根据患者的具体情况选择适宜的处理措施


点我观看视频.jpg

全部评论 0
Copyright©2020-2026 北京医麦斯科技有限公司 版权所有 京ICP备2020034400号-1 京公网安备11010502043983号