登录方式

方式一:
PC端网页:www.rccrc.cn
输入账号密码登录,可将此网址收藏并保存密码方便下次登录

方式二:
手机端网页:www.rccrc.cn
输入账号密码登录,可将此网址添加至手机桌面并保存密码方便下次登录

方式三:
【重症肺言】微信公众号
输入账号密码登录

注:账号具有唯一性,即同一个账号不能在两个地方同时登录。

登录
方式

为重症救治赋能

为患者康复加速

当前位置:首页 脏器支持 气道管理

超声与气道管理

潘宾海1,秦浩2 1. 南京大学医学院附属金陵医院呼吸与危重症医学科;2. 海军军医大学第一附属医院呼吸与危重症医学科 发布于2023-04-06 浏览 8426 收藏

作者:潘宾海1,秦浩2
单位:1. 南京大学医学院附属金陵医院呼吸与危重症医学科;2. 海军军医大学第一附属医院呼吸与危重症医学科
超声(US)是一种无创、实时、动态、重复性强且无辐射的床边影像学评估手段,随着相关研究的开展,其在气道管理和相关呼吸评估方面发挥的作用越来越得到认可。相较于其他检查手段,超声对使用者的操作技巧、呼吸道的解剖学和超声影像学的结合等也提出了新的挑战。在气道超声结合肺部超声与膈肌超声的综合动态评价下,我们可以较无超声指导下更好地完成人工气道置管前后的气道评估、置管型号的选择、拔管预后评估和超声引导下经皮气管切开术等工作。

图片

一、呼吸道解剖学与超声影像学

1. 呼吸道的解剖结构

正常的呼吸道解剖结构包括上呼吸道与下呼吸道,以环状软骨为界限。与临床超声紧密相关的结构为上呼吸道,包括鼻、鼻窦、咽、喉,外加下呼吸道的气管软骨,相关解剖结构如图1所示。

图片

图1  上呼吸道和气管的骨性结构和软骨结构

2. 不同结构超声探头的选择

根据超声的设备特性和上呼吸道的解剖要点,不同结构和组织对超声的回声强度存在差异。骨性结构和钙化的软骨结构呈现出强的回声;腺体组织,如颌下腺、甲状腺表现为均质的中等回声;肌肉和结缔组织膜为弱回声,内部有不均一的条纹状。故我们可以利用低频凸阵探头(<4 MHz)对较远部的组织结构成像好、穿透力较强的特性来对颌下至声门的结构做检查;高频线阵探头(5~14 MHz)对5 cm以内的浅部组织显示优异特性,可以用于检查甲状软骨、环状软骨、气管软骨环等结构。对应的探头如图2所示。

图片

图2  低阵探头高频线阵探头
图片
二、气道超声的检查手法
由上呼吸道的解剖结构和超声的相关特性,我们建议针对气道的相关超声进行六个平面的扫查,分别为舌骨平面、甲状舌骨膜平面、甲状软骨平面、环甲膜平面、环状软骨平面和气管软骨平面图3
图片
图3  气道超声扫查切面
扫查时选择的体位为仰卧嗅物位。
扫查分别选择气道矢状面的横切扫查和纵切扫查。具体扫查手法详细描述如下。
1. 舌骨平面的扫查
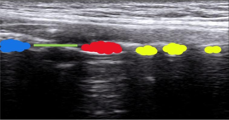
在扫查中,我们将低频凸阵超声探头置于下颌处纵切面扫描,可以看见舌体、舌前间隙、还有下颌舌骨肌。图4中A为凸阵探头置于下颌区纵切的示意图,B为该示意图下的超声影像,C中蓝色为颌骨阻挡后形成的无回声区域,黄色为舌骨阻挡后形成的无回声区域,红色为舌体背面,白色虚线为舌体的宽度。由于男性甲状软骨的存在,此手法会有一定的难度,可以采用横切手法做扫查,图4中D为凸阵探头置于下颌区横切的示意图,E为该手法下的超声影像,F中绿色为舌底肌群,红色为舌背面,白色双箭头线为舌根的宽度。

图片图4  舌骨平面扫查

2. 甲状舌骨膜平面的扫查

在舌骨平面,我们采用低频凸阵超声探头扫气道的横切面,将超声探头下移,在甲状舌骨平面的外侧,我们可以找到喉上神经图5

图片

图片

图5  喉上神经甲状舌骨膜平面扫查
3. 甲状软骨平面的扫查
我们将高频线阵超声探头进一步下移,置于甲状软骨正前方,在没有甲状软骨钙化的个体,声带可以通过甲状软骨来呈现图6。对于钙化的个体,通过左右摇动探头30°左右来观察声带和杓状软骨。声带的声带肌表现为两三角形低回声结构,内侧为高回声的声带韧带。如果此时患者发声,可以发现两侧声带向中间运动的动态影像。

图片

图6  甲状软骨平面的扫查和声带超声结构

4. 环甲膜平面的扫查

将高频线阵探头旋转90°做身体正中的扫描,在甲状舌骨切面下移一点,可以显示甲状软骨、环甲膜、环状软骨的矢状面。甲状软骨和环状软骨为低回声,连接两者的环甲膜为高回声。图7中蓝色为甲状软骨,绿色为环甲膜,红色为杓状软骨,黄色为气管软骨环。

图片

图片

图7  纵向扫查环甲膜平面

如果选择横切面,则环状软骨为拱形。图8中绿色区域为环甲膜结构。

图片

图8  横向扫查环甲膜平面
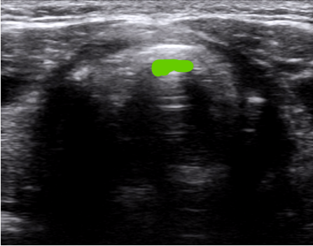
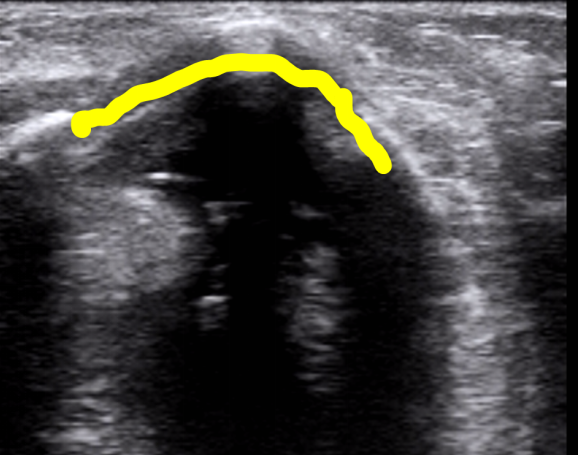
5. 环状软骨平面的扫查
在环甲膜扫查平面我们就发现了环状软骨和气管软骨。选择横向切面,可见一马蹄形低回声伴高回声气体黏膜的分界。图9右上绿色区域和右下绿色区域分别为横切面和纵切面的环状软骨。横切面环状软骨两侧的距离为环状软骨的直径。

图片

图9  环状软骨平面扫查
6. 气管软骨平面的扫查
在环状软骨下方即为气管软骨。如果选择高频线阵探头做矢状面扫查,气管软骨为低回声的圆形结构。通常在颈部可以看见6个气管软骨环。气管上组织为皮肤、皮下脂肪、骨骼肌。在2~3软骨环还可以发现甲状腺峡部的存在。此时打开多普勒,可以发现高速颈内动脉的血流。气管软骨环为低回声,矢状面为串珠样存在,横切面为马蹄形(倒U型),由于空气黏膜的存在,会有显著的高回声和后方的伪影。图10右上为气管软骨层面扫查横向切面,图10下为气管软骨平面扫查的矢状面,深蓝色为甲状软骨,绿色为环甲膜,红色为环状软骨,淡蓝色为气管软骨。

图片

图10  气管软骨平面的扫查和切面
7. 食管平面的扫查
我们嘱患者头转向右侧,在胸骨上切记偏左的位置,以高频线阵探头做横向扫查,可以发现颈段食管的超声影像。图11中黄色区域为气管软骨环,蓝色区域为食管,红色区域为颈内动脉。

图片

图11  食管平面的扫查

上述内容详细介绍了上气道和胸外气管的超声手法扫查和超声的影像学介绍。我们应如何将相关手法应用到临床呢?

图片

三、气道超声的临床应用
临床上气道超声主要用于下面几方面:①插管前气道的评估;②插管型号的选择;③插管位置的确认;④气管插管拔管的预判;⑤超声引导下经皮气管切开术、超声引导下环甲膜穿刺。
1. 插管前气道的评估
对于气管插管的患者,很多合并肥胖、短粗的颈部或颈部肿块、既往颈部手术史、相关放化疗的诊治,以及胸部病变导致的气管偏移,这些气道结构的变化,对气管插管的置入都带来极大的挑战。故插管前应精准评估患者口咽部的解剖学变化、声门位置和运动情况等来综合判断是否为困难气道。
相关循证研究发现,颈前软组织的厚度与困难气道高度相关,超声下舌骨平面、甲状舌骨膜平面和前联合平面的颈前软组织厚度具有重要的鉴别意义。① 甲状舌骨膜平面的颈部软组织厚度>2.8 cm可以很好地预测喉镜暴露困难。② 超声左旁矢状位下甲状舌骨膜水平上皮肤至会厌的距离>2.38 cm有相关意义。再结合Mallampati分级对喉镜的暴露困难预测,可以显著提高对困难气道预测的准确性和灵敏度。③ 下颌下超声皮肤至舌背的距离>6.1 cm是困难插管的独立预测指标。④ 皮肤到舌背面的距离比上甲颏距>0.87 cm也是困难气道的预测指标。⑤ 舌骨在经口舌背超声的可见与否也可以作为判断困难气道的指标。通过对上述5个指标的观测,再结合其他的临床评估,我们对困难气道的评估有了更多把握。
图12为甲状舌骨膜平面横向切面,红线为会厌,PES为会厌前间隙,AM为气体黏膜交界面,黄色为甲状舌骨膜平面会厌到皮肤的距离/颈前软组织距离。

图片

图12  甲状舌骨膜平面横向切面
图13为舌骨平面矢状位扫查面,红色为皮肤到舌背面的距离。黄色为扫查到的舌骨产生的伪影。

图片

图13  舌骨平面矢状位扫查面
图14为舌骨平面横向扫查图,图中可见舌骨呈现。

图片

图14  舌骨平面横向扫查图

2. 气管插管型号的选择
超声可以帮助预测气管内径和支气管内径,且用于选择儿童的气管插管型号比成年人更有意义。儿童传统气管插管的选择往往根据公式计算而来,而现在的儿童发育生长变异都比较大,无论根据年龄(气管插管内径=4+年龄/4)还是体重的选择,误差都比较大。超声的气管直径检查和CT检查一致性很好。此时选择在超声下测量声门下气管的内径,再选择相应的气管插管,针对性更好。相关研究也提示其准确性已达到88%。对成人而言,CT检查提示的主气管外直径与左主支气管内径之比为0.68。我们通过超声在胸锁关节测量气管直径,对选择双腔气管插管(左主支气管)的大小也是有用的。图15为通过超声来确定气管插管大小的实时演示图。

图片

图15  超声在气管软骨环横平面横向查扫

注:右图测量的双绿色测量点为气管的直径1.51 cm,半径7.5 mm。
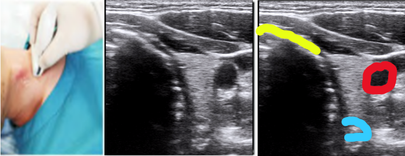
3. 插管位置的确认
我们在环甲膜平面横向置一高频线阵探头,在气管插管时以45°角对颈部进行扫描,可以动态观察气管插管进入时甲状软骨的短暂运动;此外,如果气管插管进入食管,在气管左侧区域低回声区域见一高回声的声影(双管征或牛眼征)(图16)。利用该方法评判气管插管是否进入气道具有很高的敏感性和特异性。

图片

图16  气管插管进入食道的双眼征
此外,常规建议插管结束以后,将低频凸阵探头置于胸部腋中线来观察双肺“肺滑动征”和肺“搏动征”,再对该侧的膈肌运动进行超声监测。若该侧胸廓存在肺滑动征,且该侧膈肌运动情况与对侧无明显差异,则证明当前无气胸且气管插管在主气管内;若一侧膈肌固定或相较对侧严重减弱,则为单肺通气的重要指征。
图17为肺超(低频凸阵探头),经腋中线做垂直肋骨的M型超声下可见“肺搏动征”。

图片

图17  肺超低频凸阵探头
图18为膈肌超声,锁骨中线与肋缘的交界处(凸阵低频探头),探头标志朝向外侧,M超模式下观察膈肌运动幅度。

图片

图18  膈肌超声,锁骨中线与肋缘的交界处(凸阵低频探头)

4. 气管插管拔管的预判
通过对拔管前膈肌功能的评估,对气管插管拔管后并发呼吸窘迫具有重要的预判价值。通过超声在环甲膜切面观察喉头的横断面,测量抽出气管插管气囊后的气柱宽度,来评估有无发生因上气道水肿喘鸣的可能。
图19为气管导管气囊充气征象,外面黄色的一圈为充气的气囊。

图片

图19  气管导管气囊充气征象

此外,通过对膈肌移动度的评估也可以作为评价呼吸肌耐力的一项指标。用高频线阵探头,在患者仰卧位,测量双侧腋前线肺底的膈肌运动幅度,进行膈肌的超声检查。若患者的吸入潮气量达到6~12 ml/kg,膈肌移动度<1 cm,则考虑此类患者膈肌功能障碍,其脱机、拔管的失败率明显增高。
5. 超声引导下经皮气管切开术、超声引导下环甲膜穿刺
超声在气道管理中也可以用于经皮气管的切开和环甲膜的穿刺。经皮气管切开的位置在气管环,环甲膜穿刺的位置在环甲膜。相关文献报道,仅依靠体表标志和触摸确定环甲膜的成功率为30%,通过超声的颈前正中切部横断面“TACA”策略可以快速协助确定环甲膜。先找到特征性的倒V型结构的甲状软骨,然后探头轻轻往下找到空气黏膜界面(A)的环甲膜,再往下可以看到低回声的马鞍状环状软骨(C),然后再放回确定环甲膜(A)。
与环甲膜定位类似,患者取仰卧位,操作者站于患者的右侧。选择高频线阵探头横向置于颈部上方的胸骨上切迹,从中线位置观察气道。将探头水平移向患者的右侧,使探头右边界为气管的中线,然后将探头右端保持在气管中线,探头向左旋转为气管中线纵向扫描的矢状面,可以看到环状软骨的尾部。探头逐渐向头侧移动,可以看见环状软骨变大且较气管环更加靠前。此时可以将一支探针从探头底下经过作为标记,下压针干产生声影作为标记,观察穿刺路径有无明显血管和重要脏器。
图片
四、小结
超声作为一种重要的影像学检查和评估手段,其在各个领域发挥的作用也被更多地重视。虽然存在如空间穿透力差、气道后壁显示不清晰、受操作者技术水平和设备性能影响大等问题,但其无创、实时、无辐射且重复性好的优点,伴随设备的不断完善和超声技术的发展,将会发挥更多的临床应用价值。

参考文献

[1] Kundra P, Mishra S K, Ramesh A. Ultrasound of the airway[J]. Indian J Anasesth, 2011, 55(5):456-462.

[2] Okano H, Uzawa K, Watanabe K, et al. Ultrasound-guided identification of the cricothyroid membrane in a patient with a difficult airway: a case report[J]. BMC Emerg Med, 2018, 18(1):5. 

[3] Kristensen M S, Teoh W H, Rudolph S S, et al. A randomised cross-over comparison of the transverse and longitudinal techniques for ultrasound-guided identification of the cricothyroid membrane in morbidly obese subjects[J]. Anaesthesia, 2016, 71(6):675-683.

[4] Yao W, Wang B. Can tongue thickness measured by ultrasonography predict difficult tracheal intubation?[J]. Br J Anaesth, 2017, 118(4):601-609. 

[5] Hui C M, Tsui B C. Sublingual ultrasound as an assessment method for predicting difficult intubation: a pilot study[J]. Anaesthesia, 2014, 69(4):314-319.

[6] 尹万红, 王小亭, 刘大为, 等. 重症超声临床应用技术规范[J]. 中华内科杂志, 2018, 57(6):397-417.

[7] 刘大为,王小亭. 重症超声[M]. 北京:人民卫生出版社,2017: 272-278.

作者简介



图片

秦浩

海军军医大学第一附属医院呼吸与危重症医学科 主管呼吸治疗师;专业方向为机械通气、危重症监护及呼吸介入;中国医学装备协会呼吸病学装备技术专业委员会委员;中国医师协会内镜医师培训学院呼吸内镜资深讲师;上海市抗癌协会肿瘤呼吸内镜分会委员;上海呼吸治疗联盟核心成员;发表SCI及核心期刊论文6篇;参编参译多部著作,获实用新型专利2项;参与国家级课题1项,省部级课题3项,校级课题2项


图片

潘宾海

南京大学医学院附属金陵医院呼吸与危重症医学科RICU呼吸治疗师;毕业于四川大学华西临床医学院呼吸治疗专业;主要工作研究领域:呼吸与危重症患者的呼吸支持、气道管理、床边支气管镜诊治、重症超声的应用等


【注:本文仅用于学术内容的传播和交流,不用于任何商业和推广】

全部评论 0
Copyright©2020-2026 北京医麦斯科技有限公司 版权所有 京ICP备2020034400号-1 京公网安备11010502043983号