登录方式

方式一:
PC端网页:www.rccrc.cn
输入账号密码登录,可将此网址收藏并保存密码方便下次登录

方式二:
手机端网页:www.rccrc.cn
输入账号密码登录,可将此网址添加至手机桌面并保存密码方便下次登录

方式三:
【重症肺言】微信公众号
输入账号密码登录

注:账号具有唯一性,即同一个账号不能在两个地方同时登录。

登录
方式

为重症救治赋能

为患者康复加速

当前位置:首页 脏器支持 气道管理

气管切开患者脱机拔管困难病例分享

王琼1,冯耘2,葛晓2,戴然然2,邸彩霞2 1. 甘肃省人民医院;2. 上海交通大学医学院附属瑞金医院 发布于2024-05-29 浏览 10415 收藏

作者:1,冯耘2,葛晓2,戴然然2,邸彩霞2

单位:1甘肃省人民医院;2上海交通大学医学院附属瑞金医院


图片

一、病情介绍

图片
主诉

患者,男性,77岁,反复咳痰喘10年,加重3年,再发伴呼吸困难1月余。

现病史

10余年前出现反复咳嗽、咳痰、气喘,当地诊断慢性阻塞性肺疾病(慢阻肺),未正规治疗。3年前出现咳嗽、咳痰、气喘较前明显,多于秋季发作,于当地诊所对症治疗。入院1月前受凉后出现咳嗽、咳黄脓痰,伴胸闷、呼吸困难,活动后加重,伴乏力、纳差,无发热、鼻塞、流涕、胸痛。

2023年9月10日至当地县医院完善相关检查,予以哌拉西林他唑巴坦、无创呼吸机辅助通气等对症治疗,症状未改善,遂于2023年9月12日至当地市医院,行气管切开(928日),痰培养先后为黄/米曲霉菌、肺炎克雷伯杆菌(多耐药)、产吲哚金黄杆菌(黄杆菌)、洋葱伯克霍尔德菌、皮氏不动杆菌(多重耐药)、铜绿假单胞菌,胸水穿刺引流为漏出液,先后予以拉西林他唑巴坦、阿奇霉素、伏立康唑、替加环素、头孢他啶阿维巴坦、氨曲南、阿米卡星、美罗培南抗感染,同时予以抑酸护胃、止咳、化痰、控制心率等对症治疗,后续间断脱机锻炼,予糖皮质激素、抗胆碱能药物、静脉糖皮质激素治疗,患者脱机困难,为进一步诊治转入我院。

既往史

高血压病史2年,未规律用药。

个人史

吸烟史40余年,2包/天,饮酒史20余年,白酒半斤/天。

查体

体温36.7℃,脉搏100次/分,呼吸21次/分,血压144/73 mmHg。神志清,精神差,呼吸浅快,气切接有创呼吸机辅助通气(SPONT模式,PS 10 cmH2OPEEP 4 cmH2O,FiO2 40%),双肺呼吸音低,未闻及明显干/湿啰音,心律齐,未闻及瓣膜区杂音,腹软,肝脾肋下未触及,无压痛及反跳痛,双下肺无水肿,病理征阴性。

院外辅助检查
痰培养:【2023-09-14】黄/米曲霉菌生长;【2023-09-18】肺炎克雷伯杆菌(多重耐药);【2023-10-06】产吲哚金黄杆菌(黄杆菌),洋葱伯克霍尔德菌;【2023-10-11】皮氏不动杆菌(多重耐药);【2023-10-19】铜绿假单胞菌。
胸部CT【2023-10-25】:①慢支、肺气肿、肺大泡,两肺炎症性改变及纤维灶;②两侧胸膜局部增厚粘连,两侧胸腔积液;③心影稍饱满,冠状动脉及主动脉钙化,肺动脉干稍增粗。
入院诊断

重症肺炎,呼吸衰竭,慢阻肺伴急性加重,胸腔积液,高血压。

入院后相关检查
血气分析:p7.46(↑),PaCO2 52 mmHg(↑),PaO2 133 mmHg(↑),钠离子129 mmoL/L(↓),全血碱剩余11.3 mmol/L(↑),标准碳酸氢盐浓度3mmol/L(↑),实际碳酸氢盐浓度37.mmol/L(↑),阴离子间隙4 mmol/L(↓)。
生化前白蛋白202 mg/L,丙氨酸氨基转移酶20 IU/L,天门冬氨酸氨基转移酶23 IU/L,碱性磷酸酶146 IU/L(↑),γ-谷酰胺转移酶78 IU/ml,白蛋白29 g/L(↓),肌酐57 μmol/L(↓),尿酸149 μmol/L(↓),尿素5.3 mmol/L,钠130 mmol/L,钾4 mmol/L
血常规:白细胞计数9.79×109/L(↑),中性粒细胞百分比80.2%(↑),淋巴细胞百分比9.8%(↓),单核细胞百分比8.1%,淋巴细胞计数0.96×109/L(↓),红细胞计数2.85×1012/L(↓),血红蛋白93 g/L(↓),血小板计数336×109/L,C反应蛋白9.6 mg/L。
降钙素原0.07 ng/ml,白介素-6 14.4 pg/ml(↑)。
新冠病毒、咽拭子病毒:全阴性。
KL-6423.3 IU/ml(↑)。
尿常规:尿蛋白+尿潜血阳性。
氨基末端B型利钠肽前体:1179 pg/ml(↑)。
可溶性生长刺激基因蛋白:43.8 ng/ml(↑)。
凝血功能:纤维蛋白原4.4 g/L(↑),纤维蛋白降解产物9.3 mg/L(↑),D-二聚体2.68 mg/L(↑)。
呼吸道肿瘤标志物:癌胚抗原10.09 ng/ml(↑),神经元特异性烯醇化酶20.40 ng/ml(↑),细胞角蛋白19片段2.26 ng/ml(↑),糖类抗原125 IU/ml(↑)。
甲状腺功能:甲状腺球蛋白抗体54.16 IU/ML(↑),甲状腺过氧化物酶自身抗体193.98 IU/ml(↑)。
1031日胸部CT:慢支、肺气肿、双肺散在炎症、双肺数枚小/微小结节。双侧胸腔积液并双肺部分膨胀不全,主动脉及冠状动脉钙化斑块。
图片
图1  患者胸部CT
111日下肢静脉超声:双下肢深静脉血流通畅。

11月3日心脏超声:①左房增大伴中度二尖瓣关闭不全;②主动脉瓣退行性变伴轻微关闭不全;③右房增大伴中度关闭不全。

图片

二、入科后治疗

图片
治疗措施
一般治疗:心电监护,记2h出入量,肠内营养支持。
呼吸支持:气管切开接呼吸机辅助通气(SPONT模式,PS 10 cmH2OPEEP 4 cmH2OFiO2 40%)。
对因治疗:头孢他啶阿维巴坦2.5 g q8h抗感染,吸入用布地奈德混悬液+异丙托溴铵雾化,谷胱甘肽保肝,依诺肝素抗凝,比索洛尔控制心率,乳果糖润肠通便,莫沙必利促胃肠动力,利尿减轻心脏负荷,营养支持等治疗。
病原学
11月4日病原菌:铜绿假单孢菌(头孢他啶S,头孢他啶阿维巴坦S,黏菌素S)。
11月8日病原菌:铜绿假单胞菌++,嗜麦芽假单胞菌++(左氧氟沙星S,头孢他S,米诺环素S,黏菌素S)。
11月11日病原菌:肺炎克雷伯菌++,铜绿假单胞菌++(丁胺卡那霉素S,黏菌素S,头孢他啶阿维巴坦S,头孢他S)。
11月15日病原菌:肺炎克雷伯菌+, 铜绿假单胞菌+, 鲍曼不动杆菌+(黏菌素S, 头孢他啶阿维巴坦S, 头孢他啶S);白色假丝酵母菌。

图片

进一步治疗
11月2日开始脱机训练:白天脱机(气切接旁侧吸氧),夜间接有创呼吸机辅助呼吸;逐渐延长脱机时间。
11月6日床旁气管镜下见声门黏膜水肿,主气道黏膜充血水肿图2

予“地塞米松5 mg+肾上腺素0.3 mg”雾化面罩经口进行雾化治疗。 

图片

图2  床旁气管镜

11月7日堵管训练:间断堵管,白天堵管与夜间气切接旁侧吸氧,逐渐延长堵管时间;同时进行呼吸咳嗽训练,辅助排痰3

图片

3  堵管训练
11月10日全天堵管(图4),患者耐受良好。再次行床旁气管镜复查,提示声门无水肿、闭合完整,主气道黏膜水肿较前明显好转。

图片

4  全天堵管
11月13日患者完全堵管,鼻导管吸氧,可耐受,氧合可,咳嗽反射可;成功拔除气切套管,鼻导管吸氧。
后患者出现发热,PCT明显升高,根据药敏调整抗感染方案,予以多黏菌素、头孢他啶阿维巴坦、氟康唑治疗后好转。
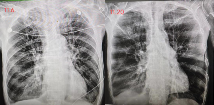
11月20日胸部X线片可见两肺散在炎症,两肺慢支-肺气肿改变,较前吸收图5

图片

5  患者胸部X线片变化

由于患者基础有慢阻肺,二氧化碳有上升趋势,后续给予无创呼吸机与鼻导管交替吸氧,后转入普通病房,继续治疗后好转出院。
图片

三、讨论

图片

ICU内气管插管及拔管都是高风险操作,与发病率及死亡率相关。该患者治疗后存在拔管困难,拔管困难与多因素有关,我们予以控制感染、促进排痰、康复锻炼、改善心功能、通畅肠道等治疗后仍然拔管困难,最终支气管镜检查示上呼吸道水肿梗阻明显,予以雾化地塞米松、肾上腺素后好转,且成功拔管,拔管后鼻导管吸氧、无创呼吸机辅助治疗,最终好转出院。

2019年1月法国麻醉与重症监测治疗学会(SFAR)联合法语重症医学协会(SRLF)在Ann Intensive Care 杂志上发表了关于ICU患者气管插管和拔管的专家指南,指出拔管的先决条件:对于机械通气时间超过48 h的ICU患者,推荐在每次试拔管前均应进行自主呼吸试验SBT),以降低拔管失败风险;呼吸频率=1030/minSpO2>92%;没有精疲力竭、烦躁不安、高血压、心动过速。但SBT不足以作为唯一手段检测所有有拔管失败风险的患者,在拔管前应筛查更具体的原因和失败的风险因素,包括无效咳嗽、过多的气管-支气管分泌物、吞咽障碍和意识改变。拔管失败预防:首先应在拔管前进行气囊漏气试验,以预测及减少喉水肿的发生,并在机械通气期间采取措施预防和治疗咽喉部水肿等病变;如果漏气量低或为零,应使用糖皮质激素预防与喉水肿有关的拔管失败,且应至少在拔管前h开始,以达到有效的治疗效果。对于糖皮质激素无效患者,可予肾上腺素雾化。

图片

图源:Ann Intensive Care, 2019 Jan 22;9(1):13. doi: 10.1186/s13613-019-0483-1.

咽喉部黏膜内血管及淋巴结丰富,组织疏松,尤以声门上区为甚,可短时间内形成充血水肿,致喉部梗阻而出现呼吸困难,尤其对于气管插管患者,长期理化刺激及炎症影响,导致水肿加重,拔管困难。《肾上腺糖皮质激素围手术期应用专家共识(2017版)》指出:对于有喉头水肿危险因素的患者,在拔管前12 h给与甲泼尼龙20 mg,并在12 h内每4 h重复一次上述剂量,有助于减轻喉头水肿。对已经发生喉头水肿的患者,除继续使用短程(小于3~5天)大剂量(80 mg)甲泼尼龙,同时应密切关注气道通畅情况。拔管前予以糖皮质激素可有效降低二次插管及拔管后喘鸣的发生率。因为糖皮质激素可抑制支气管收缩物质的释放,增强β-肾上腺素受体功能,可降低炎性渗出、减轻细胞水肿、抑制毛细血管扩张、阻止变态反应递质的释放并降低其活性,对于喉头水肿治疗具有良好的疗效和安全性。对于部分应用糖皮质激素改善效果差的患者,可考虑使用肾上腺素雾化。因为肾上腺素可同时作用于呼吸道α受体和β受体:激动β受体能舒张支气管平滑肌,抑制肥大细胞释放组胺类过敏性物质,降低毛细血管通透性,有利于消除呼吸道黏膜水肿;激动α受体可使黏膜血管收缩、减轻局部黏膜水肿从而改善呼吸道梗阻。患者喉部水肿发作时,布地奈德局限于咽喉部,降低局部黏膜水肿的效果不如肾上腺素强烈及迅速,难以尽快进入下呼吸道,无法充分激动β受体使气道扩张、及时缓解呼吸困难、引起二氧化碳潴留,从而影响喉部水肿的治疗效果。

研究发现以下人群气管插管后易出现上气道梗阻,如儿童、女性、气管插管时间过长、气管插管管径粗、近期气道有损伤等。此外,气道分泌物管理差、感染控制欠佳、有基础疾病、并发症等因素亦会影响气管插管时长及气道水肿改善情况,进而导致拔管困难。了解这些因素有助于在临床实践中注意危险因素的影响,提高脱机拔管的成功率。2023年成人气管切开拔管中国专家共识》提到:气管切开是救治危重症患者的重要举措,但亦因一定程度上削弱气道的防御功能,有可能导致相关并发症的发生。而良好的气道管理,安全高效地拔除气管套管,则是利用好气管切开这把双刃剑,加速患者康复,改善其预后的关键所在。

根据2023《成人气管切开拔管中国专家共识》,对于气管切开及插管患者,拔管前管理内容如下。

1. 拔管前气道管理

(1)湿化:经人工气道吸入气体温度应达34~41℃,相对湿度100%,绝对湿度不低于30 mgH2O/L0.45%氯化钠溶液的湿化效果与0.9%氯化钠溶液及灭菌水相当,但并发症的发生率相对较低

(2)气囊压力:无需机械通气且自主气道保护能力较好的患者,可更换为无气囊套管或将气囊完全放气;气囊充气后压力宜维持在25~30 cmH2O。为预防吸入性肺炎发生,应定期清除气囊上的分泌物,尤其在气囊放气前;清除气囊上的滞留物可采用带声门下吸引的气管套管。

(3)呼吸道分泌物的管理:按需进行气道内吸痰,而不是常规进行;吸痰时吸引负压通常为80~120 mmHg;特别黏稠的分泌物可适当增加负压至150 mmHg;单次吸痰时间不要超过15 s,连续吸痰次数不超过2次;吸痰前后通过输送纯氧至少30 s进行氧储备,防止SpO2显著下降。控制口腔分泌物是成功拔管的重要条件之一。

(4)感染的控制:气管切开患者所处环境建议维持适宜的温度及湿度,并定期进行空气消毒;气管切开造口处必须保持清洁和干燥,造口处纱布每日更换,如有污染应及时更换,金属内套管需每日清洁消毒。应定时进行口腔护理,减少口腔定植菌的繁殖,为早期拔除气管套管创造有利条件。

2. 拔管前的肺康复管理

(1)体位引流:采取头和躯干抬高30°~60°的基础体位,左侧卧位可作为气管切开患者拔管前预防误吸的替代体位。

(2)呼吸肌锻炼:早期活动联合胸部物理治疗,阈值吸气肌训练可纳入气管切开患者拔管前吸气肌训练。吸气末和呼气末膈肌厚度变化大于30%,可以安全拔管。

(3)气道廓清:支气管镜下吸痰,吸痰前不宜常规进行生理盐水滴注;徒手过度通气/呼吸机过度通气;高频胸壁振荡可作为气管切开患者拔管前的补充气道廓清治疗方案。

3. 拔管前吞咽康复训练

在能够耐受的情况下,佩戴说话瓣膜可以加快气管切开患者发音功能的恢复,且安全性较高。早期佩戴说话瓣膜可以改善气管切开患者的吞咽功能,减少误吸;对于配置声门下吸引管的气管切开患者,可尝试于声门下吸引管处给予外源性气流,以利于发音功能的恢复。对于合并吞咽障碍的气管切开患者,咽腔电刺激(pharyngeal electrical stimulation, PES)应作为提高其吞咽功能及拔管前评估通过率的干预举措之一

4. 拔管前临床情况评估

需要评估患者年龄(年龄≥70岁时,其拔管成功率下降)、原发病病情平稳、患者合并症情况、生命体征平稳、意识水平(GCS评分<8分不利于成功拔管)、血氧(在未吸氧状态下,SpO2≥90%,PaO2≥60 mmHg且PaCO2≤50 mmHg)、肺部感染吸收情况。

5. 不易拔管的情况

(1)痰液情况:患者未达成24 h内每8 h吸痰次数≤2次条件时,暂不宜拔管。

(2)呼气肌力量:当患者未达成咳嗽峰流速(PCF)>160 L/min且MEP≥40 cmH2O条件时,暂不宜拔管。

(3)咳嗽能力:患者若难以将痰液经套管口咳出或白色卡片试验阴性,暂不宜拔管。

(4)吞咽功能:吞咽功能良好可定义为染料试验阴性、自由量饮水及进食布丁状流质时未出现呛咳、呼吸困难或湿性啰音、纤维鼻咽喉镜吞咽功能检查(FEESPAS分级≤5级。若一次,不易拔管。

(5)气道通畅性:若通过纤维支气管镜检查发现气道狭窄程度≥50%,暂不宜拔管

(6)直接完全堵管:对于一次性通过拔管前评估,无神经肌肉疾病且能耐受完全堵管1 min的患者,可直接予完全堵管24~48 h,若患者耐受可考虑拔管渐进式堵管:拔管前评估未能一次性通过,通过后续治疗得到解决,或存在神经肌肉疾病,或直接完全堵管不耐受患者,可酌情选择渐进式堵管方案。对于临床情况稳定、痰液量少、吞咽及咳嗽能力良好、无明显气道堵塞的患者,可选择直接拔管。

重症患者的管理是从抢救、治疗到康复的全程管理过程,我们既往的关注点主要集中在危及患者生命的抢救阶段和重症阶段,对重症后的恢复及康复阶段重视不足,只认为是抢救治疗的延续或简单的治疗撤减,忽视了此阶段的病理生理机制和快速恢复的需求。重症后管理是重症抢救治疗后的必经阶段,是从抢救生命至脱离呼吸循环等生命支持措施,达到转出ICU目标的重要桥梁,也是加速患者康复、缩短住ICU时间、改善患者预后的有效手段。所以,在重症患者管理过程中需要关注重症后阶段,尤其对气管插管、气管切开患者的管理,从临床基本情况、气道管理、肺康复及预后等各个方面做到更仔细、更专业,争取使患者早日成功拔管,促进实现最终更优质的康复。

参考文献

(向下滑动查看全部文献)

[1] Liu X, Gong P, Kang J, et al. [Summary of the best evidence for the management of endotracheal intubation and extubation in adult mechanically ventilated patients in intensive care unit based on guidelines and randomized controlled trials][J]. Zhonghua Wei Zhong Bing Ji Jiu Yi Xue. 2021 Aug;33(8):927-932.

[2] Langeron O, Bourgain JL, Francon D, et al. Difficult intubation and extubation in adult anaesthesia[J]. Anaesth Crit Care Pain Med, 2018, 37(6):639-651.

[3] Quintard H, l'Her E, Pottecher J, et al. Experts' guidelines of intubation and extubation of the ICU patient of French Society of Anaesthesia and Intensive Care Medicine (SFAR) and French-speaking Intensive Care Society (SRLF)[J]. Ann Intensive Care, 2019, 9(1):13.

[4] Jaber S, Chanques G, Matecki S, et al. Post-extubation stridor in intensive care unit patients. Risk factors evaluation and importance of the cuff-leak test[J]. Intensive Care Med, 2003, 29(1):69-74.

[5] 《成人气管切开拔管中国专家共识》编写组, 中华医学会物理医学与康复学分会心肺康复学组, 中国康复医学会重症康复专业委员会. 成人气管切开拔管中国专家共识(上)[J] .中华物理医学与康复杂志, 2023, 45(6):481-487.

[6] 朱小芳, 李良海. 使用肾上腺素雾化治疗气管插管拔管后患者喉部水肿的临床研究[J]. 中华临床医师杂志(电子版), 2013, 7(17):80-83.

[7] 田悦明, 邹敏, 张琪琪. ICU机械通气患者成功脱机拔管的影响因素分析[J]. 中国医药导报, 2018, 15(1):60-63.

[8] 中华医学会麻醉学分会. 肾上腺糖皮质激素围手术期应用专家共识(2017版)[J]. 临床麻醉学杂志, 2017, 33(7):712-716.

[9] 李泳兴, 马武华. 困难气管拔管的预测因素及拔管策略的研究进展[J]. 国际麻醉学与复苏杂志, 2020, 41(5):488-492.

作者简介



图片

王琼


  • 甘肃省人民医院干部呼吸科

  • 主治医师,硕士研究生

  • 上海交通大学医学院附属瑞金医院进修生


图片

冯耘

  • 上海交通大学医学院附属瑞金医院
  • 主任医师,副研究员,硕士研究生导师
  • 美国杜克大学访问学者
  • 中国老年医学会呼吸病学分会呼吸危重症学术委员会委员
  • 上海市医学会呼吸病学专科分会青年委员会委员
  • 上海市医学会呼吸病学专科分会重症学组副组长
  • 曾荣获上海市人才培养计划、上海市优秀专科医师及上海交通大学医学院“九龙医学优秀青年人才奖”
  • 以第一作者及通讯作者发表SCI论文30余篇,第一完成人获得专利2项,参与编写专著3部


图片

葛晓

  • 上海交通大学医学院附属瑞金医院呼吸与危重症医学科

  • 呼吸治疗师

  • 毕业于四川大学华西临床医学院呼吸治疗系

  • 主攻方向为危重症患者的呼吸支持、气道管理,呼吸康复、床边重症超声、床边气管镜等


图片

戴然然


  • 上海交通大学医学院附属瑞金医院
  • 博士,副主任医师
  • 中华医学会呼吸分会烟草病学组委员
  • 中国医师协会呼吸分会肺功能与临床呼吸生理工作委员会委员
  • 中华医学会变态反应分会青年委员
  • 中国老年医学会呼吸病学分会肺功能学组委员
  • 中国康复医学会呼吸康复专业委员会委员
  • 中国医药教育协会慢性气道疾病专业委员会青年委员
  • 中国戒烟联盟理事
  • 上海市医学会呼吸病学分会肺功能学组副组长
  • 上海市医学会变态反应分会委员兼秘书
  • 上海市医学会内科分会青委
  • 上海市女医师协会肺癌专业委员会委员


图片

邸彩霞


  • 上海交通大学医学院附属瑞金医院
  • 主治医师,医学博士,博士后
  • 主要从事肺部感染及哮喘的免疫机制研究
  • 主持国家自然科学基金青年基金1项
  • 以第一作者(及共同第一作者)及通讯作者(含共通讯)发表多篇SCI论文,包括Cell Research、JACI 
  • 获得上海市科学技术奖二等奖(参与)




全部评论 0
Copyright©2020-2026 北京医麦斯科技有限公司 版权所有 京ICP备2020034400号-1 京公网安备11010502043983号