登录方式

方式一:
PC端网页:www.rccrc.cn
输入账号密码登录,可将此网址收藏并保存密码方便下次登录

方式二:
手机端网页:www.rccrc.cn
输入账号密码登录,可将此网址添加至手机桌面并保存密码方便下次登录

方式三:
【重症肺言】微信公众号
输入账号密码登录

注:账号具有唯一性,即同一个账号不能在两个地方同时登录。

登录
方式

为重症救治赋能

为患者康复加速

当前位置:首页 脏器支持 气道管理

气道管理之危重症患者的雾化吸入

王荔,孙兵 北京朝阳医院 发布于2022-03-28 浏览 6619 收藏

雾化吸入治疗,是现代呼吸治疗中最常见的手段之一。了解各种雾化吸入装置的基本原理和影响因素,掌握正确的吸入方法,可增加药物的沉降率,改善患者临床症状或者治疗疾病。


图片

病情简介


一般情况

患者,男性,33岁,程序员,于2021年6月16日入首都医科大学附属北京朝阳医院RICU。主诉:进行性呼吸困难9个月,加重伴发热1天。


现病史

  • 2个月前无明显诱因出现活动后气短,家人诉监测经皮指脉氧饱和度最低可至80%,休息后指脉氧可升至正常,未予重视。

  • 1周前出现呼吸困难,无发热、咳嗽咳痰,氧疗及休息均无明显缓解。由外地乘坐高铁(鼻导管吸氧)来我院就诊。

  • 2天前呼吸困难加重并伴发热,体温最高39℃,咳黄白黏痰。

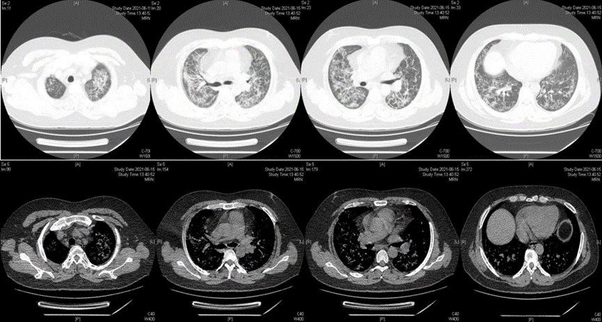
  • 1天前肺CT提示双肺间质改变(图1),较2020年12月21日明显进展,排查新冠肺炎后,于2021年6月16日收入院,给予经鼻高流量吸氧,甲强龙80 mg q12h,头孢哌酮舒巴坦+盐酸莫西沙星+更昔洛韦抗感染,患者氧合不能维持,于6月17日转入RICU。


图片

 图1  患者胸部CT


既往史、个人史、家族史

  • 25年前因外伤行左眼手术(具体不详)。

  • 2年前诊断支气管哮喘,间断吸入沙美特罗氟替卡松及布地奈德福莫特罗、口服孟鲁斯特钠治疗,对宠物毛发及海鲜过敏。

  • 否认肝炎、疟疾、高血压、冠心病、脑血管病、精神病病史;否认烟酒史;否认家族性遗传病病史。

  • 未婚未育。


入RICU体格检查

T 36.7℃,P 103次/min,R 21次/min,BP 141/75 mmHg。神志清,肥胖体型,平车入室。胸廓正常,腹式呼吸,呼吸窘迫。胸廓扩张度双侧对称,未触及胸膜摩擦感。双肺叩诊清音,呼吸音低,可闻及爆裂音。


入院相关检查

  • 血气分析(HFNC,FiO2 0.85; 流量60 L/min):pH 7.42,PaCO2 41 mmHg,PaO2 87 mmHg,HCO3- 26.6 mmol/L,BE 1.9 mmol/L,Lac 2.0 mmol/L。

  • 血常规:WBC 15.05×109/L,NE% 92.4%,PLT 331×109/L。

  • 生化:TP 65.5 g/L(↓),ALB 37.1 g/L(↓),PAB 0.1 g/L(↓),余(-)。

  • 凝血:D-Dimer 1.3 mg/L(↑),余(-)。

  • 肿瘤标志物12项:SCC 3.6 ng/ml(↑),CEA 10.28 ng/ml(↑),CA19-9 111.9 U/ml(↑),CYFRA21-1 78 ng/ml(↑),CA125 80 U/ml(↑),NSE 78 ng/ml(↑),CA724 3.16 U/ml。

  • PCT 0.35 ng/ml,血G实验、GM实验(-),BALF GM实验0.2。

  • 病原学:BALF CMV,血CMV IGM(+)。

  • 自身抗体十二项:抗-SSB/La抗体(+),抗-Jo-1抗体(+),CRP 25 mg/dl(↑),ESR 76 mm/h,CCP 226.97 U/ml;RF 52.1 U/ml,β2-MG(血尿)正常,ANCA抗体测定阴性,抗dsDNA抗体阴性,LA 1.2,LA1 1.50000,LA2 1.3;抗β2-糖蛋白1抗体<20 RU/ml,抗心磷脂抗体阴性,专项变应血筛查阴性。


入院诊断

重症肺炎—Ⅰ型呼吸衰竭,抗合成酶抗体综合征,间质性肺炎,支气管哮喘。


呼吸治疗相关评估

入院后HFNC(FiO2 0.85;流量60 L/min),因氧合进行性下降,入院第2天,呼吸窘迫明显,氧合指数82 mmHg,予经口气管插管接有创呼吸机辅助通气(参数:P-A/C模式:Pi 22 cmH2O,PEEP 8 cmH2O,Ti 0.7 s,f 20次/min,FiO2 1.0)。


  • 呼吸力学

插管后,予患者镇静肌松状态下测量呼吸力学,模式VC,Vt 420 ml,流速30 L/min,PEEP 0(图2)。通过屏气测得:Ppeak 41 cmH2O,Pplat 28 cmH2O,PEEPi 1.8 cmH2O,计算Rins 26 cmHH2O/(L·s),Cst 17 ml/cmH2O。
  
图片

图片  
图2  患者呼吸力学情况

  • 支气管扩张试验(+)

患者Rins 26 cmH2O/(L·s),予患者雾化吸入(硫酸沙丁胺醇气雾剂4揿),30 min后Rins下降至22 cmH2O/(L·s),改善率为15.4%。支气管扩张试验(+),予患者沙丁胺醇、布地奈德雾化吸入qid(图3)
 

图片

图3  给予患者雾化治疗


  • 其他评估

患者FiO2 1.0,经皮血氧饱和度90%,评价患者肺复张及俯卧位,均对SpO2无改善。

呼吸支持

插管后呼吸机辅助通气,P-A/C模式:Pi 22 cmH2O,PEEP 8 cmH2O,Ti 0.7 s,f 20次/min,FiO1.0。1 h后复查血气:pH 7.22,PaO2 85 mmHg,PaCO2 73 mmHg,HCO3- 25.3,BE 0.6 mmol/L,Lac 1.5 mmol/L;予更换V-A/C模式:Vt 320 ml,Vmax 30 L/min,方波,PEEP 4 cmH2O(图4)


图片

图4  患者呼吸支持及血气分析变化情况

机械通气前3天,监测Ppeak>45 cmH2O,PaCO2最高达98 mmHg,为了改善通气,持续哌库溴铵稀释液输注控制呼吸,予沙丁胺醇、布地奈德雾化吸入q6h。患者呼吸力学逐渐改善,Ppeak下降,通气改善,PaCO2趋于稳定(图5)

  

图片


图片

图5  患者呼吸情况改善


治疗过程

予患者抗炎抗感染治疗、呼吸支持、营养支持,后续病情得以改善(图6)

 

图片

图6  患者治疗方案及病情变化情况


图片
讨论

雾化吸入治疗(又称气溶胶吸入疗法),是通过雾化吸入装置将药物制成气溶胶,经吸入途径直接进入气道和肺,以达到治疗疾病或缓解症状的目的[1,2]。雾化吸入治疗因直接作用于治疗部位、起效快、给药剂量小、全身不良反应少,已成为呼吸治疗的常见手段。雾化与湿化不同,湿化的目的是湿润气道黏膜、稀释痰液、保持呼吸道黏液纤毛系统的正常运动和廓清功能[3],而雾化过程涉及气溶胶的播散,其运动方式包括惯性碰撞、重力沉降和弥散,直径在1~5 μm的气溶胶在下呼吸道的沉降率最高(图7)。不同类型和品牌的雾化装置所产生的气溶胶颗粒大小不同,应根据治疗目的及部位不同选择合适的雾化装置。

image.png 
图7  不同直径气溶胶在气道内的沉降情况

常见的雾化吸入装置包括定量气雾吸入器(MDI)、干粉雾化器(DPI)、喷射雾化器、超声雾化器、振动筛孔雾化器等(图8),其中喷射雾化器、超声雾化器、振动筛孔雾化器又称为小容量雾化器,各雾化器原理特征不同[4]。MDI结构内盛有药液、助推剂及低浓度表面活性物质,故使用前需要充分摇晃混匀;吸气同时手动按压MDI,增加药物的沉降率;应用储物罐(spacer)可降低与呼吸配合的要求,推荐老人或儿童患者使用。DPI的原理是通过旋转吸入器时刺针刺破储药囊泡,药液进入储药腔,患者深吸气驱动内部螺旋桨转动推进药物吸入。喷射雾化器利用“文丘里”原理,通过外接气体驱动,将雾化器内的药液粉碎成大小不等的雾滴,供患者吸入治疗;但喷射雾化器所产生的气溶胶直径变化较大,常因品牌和批次不同而存在较大差异。振动筛孔雾化器由一个可上下移动的有1000个微孔的圆形板和圆环形压电陶瓷片构成,外接电驱动,将药液粉碎成气溶胶羽流,雾化速度快、无冷凝及感染风险,且药物量残留小,但价格相对较贵。超声雾化器通过电驱动产生超声波,将药物制成气溶胶,但过程中产热会造成药液浓缩,可能破坏药液结构,近年来临床应用越来越少。


图片
图8  雾化吸入装置

危重症患者中,部分需要进行呼吸机辅助通气,人工气道的建立改变了气溶胶输送的环境和方式。气溶胶从雾化装置中产生并输送入呼吸机管路,并在正压的作用下输送抵达下呼吸道,整个过程受到多种复杂因素的影响(图9)[5]。气道温湿化会减少气溶胶在肺实质内的药液沉积量,可能由于气溶胶在温湿的环境中吸附水分导致其直径增加。但雾化期间如果关闭加湿器,长时间吸入干燥的气体也会产生呼吸道黏膜受损等负面影响,更严重的是出现痰痂痰堵情况。因此指南推荐,雾化吸入时,可不用关闭加热湿化器;如应用小容量雾化器需适当增加药量;如应用pMDI需连接干燥的储物罐[6]。如果患者使用人工鼻进行温湿化,雾化期间短暂取下,避免人工鼻吸附大量气溶胶。吸入药物的剂量影响气溶胶在肺内的沉降。由于机械通气的吸入效率低于患者自主吸入,所以可适当增加机械通气患者的雾化吸入的药量及次数[6]。呼吸机管路及设置也会影响气溶胶的吸入效率。涡流中的气溶胶更容易相互碰撞发生重力沉降,减少呼吸机管路打折、选择低流速和方波可以减少涡流的发生;成人潮气量≥500 ml、延长吸气时间,有利于气溶胶在肺内的沉积。有研究显示,与压力支持模式相比,容量控制模式有更高的肺部药物沉降率[7]。然而临床实践中应充分考虑模式改变对患者病情、特别是肺呼吸力学的影响。使用喷射雾化器,外接气体驱动时,V-A/C会造成峰值压力增大,因此建议选用P-A/C模式,若需要V-A/C模式,可适当降低预设潮气量,避免气压伤。 


图片
图9  影响机械通气患者气雾剂输送的因素

有创机械通气期间,可选择的雾化吸入装置包括MDI、喷射雾化器、振动筛孔雾化器等。优化的雾化吸入操作方案[6],可以提高临床工作效率以及吸入的效果(图10)


图片

图10  机械通气时使用pMDI和喷射雾化器的优化操作


无创正压通气期间进行雾化吸入,漏气量会影响气溶胶沉降。雾化吸入治疗时,雾化装置应放置在呼气阀和面罩之间,且密切关注漏气情况。慢阻肺急性加重患者常应用化痰剂、支气管扩张剂和激素雾化治疗,无创期间雾化吸入相比于无创间歇吸入,可缩短机械通气时间,具有较高的舒适度。指南推荐对于无法耐受较长时间脱离无创通气或者脱离无创通气过程中出现低氧血症、高碳酸血症加重的慢阻肺患者,应考虑无创通气治疗时同步雾化[8]


参考文献


[1]Stein S W, Thiel C G. The history of therapeutic aerosols: a chronological review[J]. J Aerosol Med Pulm Drug Deliv, 2017, 30(1):20-41. 

[2]Dhanani J, Fraser JF, Chan H K, et al. Fundamentals of aerosol therapy in critical care[J]. Crit Care, 2016, 20(1):269.

[3]Plotnikow G A, Accoce M, Navarro E, et al. Humidification and heating of inhaled gas in patients with artificial airway. A narrative review[J]. Rev Bras Ter Intensiva, 2018, 30(1): 86-97.

[4]王辰.呼吸治疗教程[M].北京:人民卫生出版社,2010.

[5]Rajiv Dhand. Basic techniques for aerosol delivery during mechanical ventilation[J]. Respir Care, 2004, 49(6):611-622.

[6]中华医学会呼吸病学分会呼吸治疗学组.机械通气时雾化吸入专家共识(草案)[J].中华结核和呼吸杂志,2014,37(11):812-815.

[7]Dugernier J, Reychler G, Wittebole X, et al. Aerosol delivery with two ventilation modes during mechanical ventilation: a randomized study[J]. Ann Intensive Care, 2016, 6(1):73.

[8]中华医学会重症医学分会重症呼吸学组.机械通气患者雾化治疗指南[J].中华重症医学电子杂志,2021,7(3):193-203.


作者简介




图片

孙兵

首都医科大学附属北京朝阳医院


  • 医学博士,主任医师、教授

  • 首都医科大学附属北京朝阳医院 北京呼吸疾病研究所呼吸与危重症医学科

  • 中华医学会呼吸病学分会呼吸危重症学组委员

  • 中国医师协会体外生命支持专业委员会委员

  • 中国医师协会呼吸医师分会呼吸危重症工作委员会委员

  • 中国心胸血管麻醉学会体外生命支持分会常务委员

  • 中国病理生理学会危重病医学专业委员会呼吸治疗学组副组长

  • 中国康复医学会呼吸康复专业委员会青年委员会副组长

  • 主要研究方向:呼吸危重症、呼吸治疗和呼吸支持技术



图片

王荔

首都医科大学附属北京朝阳医院


  • 首都医科大学附属北京朝阳医院呼吸与危重症医学科呼吸治疗师

  • 2015年毕业于中国医学科学院北京协和医学院

全部评论 0
Copyright©2020-2026 北京医麦斯科技有限公司 版权所有 京ICP备2020034400号-1 京公网安备11010502043983号