登录方式

方式一:
PC端网页:www.rccrc.cn
输入账号密码登录,可将此网址收藏并保存密码方便下次登录

方式二:
手机端网页:www.rccrc.cn
输入账号密码登录,可将此网址添加至手机桌面并保存密码方便下次登录

方式三:
【重症肺言】微信公众号
输入账号密码登录

注:账号具有唯一性,即同一个账号不能在两个地方同时登录。

登录
方式

为重症救治赋能

为患者康复加速

当前位置:首页 重症肺炎 真菌肺炎

一例高龄曲霉感染患者的救治体会与临床思考

耿爽 华中科技大学同济医学院附属武汉中心医院呼吸与危重症医学科 发布于2025-11-05 浏览 1947 收藏

作者:耿爽

单位:华中科技大学同济医学院附属武汉中心医院呼吸与危重症医学科


一、病例资料


1. 基本信息与主诉

患者男性,85岁,退休人员,因“发热、咳嗽、喘息2天,嗜睡2小时”于2025年1月5日凌晨4时收入我院RICU。

2. 现病史

患者入院前1天无明显诱因出现发热(未测体温),伴咳嗽、咳少许黏痰,活动后喘息、胸闷气短,同时有腹泻(少许稀便)、纳差乏力。无腹痛、呕吐、黑便及呕血。当日就诊于我院急诊,拒绝完善检查,仅要求输液治疗,予环丙沙星静脉滴注、奥司他韦及酚麻美敏口服后回家。入院前2小时,患者出现嗜睡,伴畏寒寒战、频繁腹泻(黄色稀水便)及呕吐胃内容物,家属予蒙脱石散口服后症状无缓解,再次就诊于急诊。急诊测指脉氧饱和度为77%,予吸氧、补液治疗后急查胸部CT提示"双肺新增多发感染、双肺间质性病变",为进一步治疗收入RICU。

3. 既往史

有左肺结节史;帕金森病,腔隙性脑梗死,现口服盐酸普拉克索(每日3次,每次1片)、多巴丝肼(每日1片)、恩他卡朋(每日半片);膀胱恶性肿瘤术后;左肾切除术后;骨质疏松,股骨颈骨折(右),2024年1月24日在全麻下行右侧人工股骨头置换术;既往肋骨骨折、胸椎压缩性骨折史;2024年12月有背部外伤史,新发胸椎及肋骨骨折。否认高血压、冠心病、糖尿病等慢性疾病史;戊肝病史;否认药物过敏史。

4. 体格检查

体温38.1℃,血压168/92 mmHg,脉搏110次/分,呼吸35次/分,血氧饱和度90%(鼻导管吸氧3 L/min)。神志嗜睡,呼唤睁眼,查体不配合,颈软不抵抗。咽充血,皮肤、巩膜无黄染。双肺呼吸音稍粗,可闻及明显湿啰音。心律不齐,各瓣膜区未闻及杂音。腹软,肝脾肋下未及,无压痛、反跳痛,双肾区无叩痛。双下肢无水肿。

5. 实验室检查

  • 血常规(2025-01-04凌晨):红细胞压积51.30%(↑),淋巴细胞百分数3.50%(↓),中性粒细胞百分数93.30%(↑),淋巴细胞计数0.19×109/L(↓)。

  • 炎症指标(2025-01-05):C反应蛋白(CRP)64.82 mg/L(↑),降钙素原(PCT)3.210 ng/ml(↑),白细胞介素-6(IL-6)2343.00 pg/ml(↑)。

  • 肝肾心功能(2025-01-05):丙氨酸氨基转移酶8.3 U/L(↓),总蛋白64.7 g/L(↓);肌酐161.4 μmol/L(↑),葡萄糖9.30 mmol/L(↑),尿素17.49 mmol/L(↑),尿酸495 μmol/L(↑),估算肾小球滤过率(eGFR)33.00 ml/(min·1.73m2)(↓);心肌酶谱正常。

  • 其他(2025-01-05):血钙2.09 mmol/L(↓),血镁0.68 mmol/L(↓);D-二聚体1.29 mg/L(↑);hs-TNI<0.02 ng/ml(<0.1),NT-proBNP 149 ng/L。

  • 血气分析(2025-01-05,急诊床旁):pH 7.314,动脉血氧分压(PaO245 mmHg(↓),动脉血二氧化碳分压(PaCO236.9 mmHg,乳酸(Lac)2.35 mmol/L(↑)。

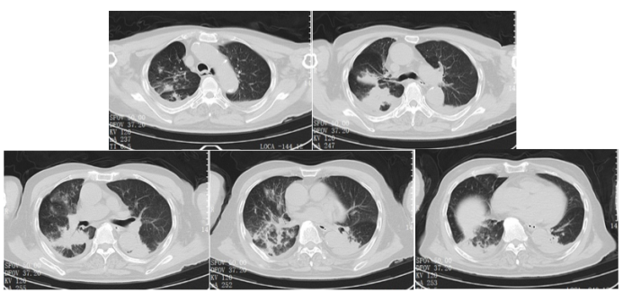
6. 影像学检查(2025-01-05,急诊)

肺部CT(图1): 肺气肿; 双肺新增多发感染、双肺间质性病变; 左上肺实性小结节(较前增大, 考虑炎性灶);右下肺钙化灶、气管旁憩室。

图片

1  患者入院胸部CT(2025-01-05)

颅脑CT:颅内多发腔隙性脑梗死、脑动脉硬化(大致同前);右侧额颞顶部硬膜下积液(较前增多),顶部合并硬膜外血肿可能;左侧额颞部少量硬膜下积液(同前相仿);左侧中耳乳突炎、鼻窦炎。

全腹部CT:胆囊底壁增厚,大致同前,腺肌症?必要时增强复查;脾内多发小钙化灶;右肾微小结石;右肾囊肿;大致同前;左肾未见显示,请结合临床病史;左侧肾上腺稍粗,增生可能;腹主动脉及髂动脉硬化;右髋关节置换术后;所及双肺感染灶。


二、入院诊断与完善检查


1. 初步诊断

急性呼吸衰竭感染性发热社区获得性肺炎,重症脓毒血症肺结节肾功能不全帕金森病膀胱恶性肿瘤个人史肝硬化腔隙性脑梗死重度骨质疏松甲状腺肿大

2. 入院后辅助检查2025-01-06

  • 血氨48.6 μmol/L(↑);D二聚体0.88 μg/mFEU↑)BNP 127.00 pg/ml(↑)。

  • 炎症组合IL-6 2343.00 pg/ml(↑)PCT 17.897 ng/ml(↑),ESR 45.8 mm/h↑)。

  • 肺肿瘤筛查五项鳞状上皮细胞癌抗原5.10 ng/ml(↑)。

  • 全血细胞计数+五分类:淋巴细胞百分数3.30%↓),中性粒细胞百分数94.80%↑),单核细胞百分数0.90%↓),淋巴细胞计数0.27×109/L↓),中性粒细胞计数7.89×109/L↑),单核细胞计数0.07×109/L↓)。

  • 血管彩超:双下肢动脉斑块形成,双侧股动脉轻-中度狭窄双侧胫前动脉重度狭窄;双下肢静脉血流迂缓

  • 甲状腺彩超:甲状腺左侧叶体积稍大,其内囊实性结节,TI-RADS 3类;双侧颈部未见明显肿大淋巴结

  • 心脏彩超:室间隔增厚,主动脉瓣钙化,二尖瓣、三尖瓣少许反流,左室顺应性减低,左室射血分数57%


三、治疗过程


1. 病原学检测结果

202515支气管镜检查与病原学检测:镜下见双侧支气管黏膜广泛充血水肿,管腔内可见较多灰色及黄色脓性分泌物,右中叶外侧支开口狭窄(图2);于左下叶基底段、右中叶及右下叶行支气管肺泡灌洗术(BALF回收率60%)1月6日tNGS结果(BALF):纹带棒杆菌(序列数68),鲍曼不动杆菌(序列数120),白念珠菌(序列数669805),未检出真菌及病毒1月6日BALF GM试验结果为3.15(阳性)1月7日BALF培养未见特殊细菌生长,真菌培养提示白念珠菌(2+)。

图片

2  支气管镜检查(2025-01-05)

2. 初始治疗方案

结合患者入院时症状、体征及检查结果,初始治疗以抗感染、氧疗、纠正呼吸衰竭及对症支持为主:抗病毒:奥司他韦颗粒30 mgq12h(考虑流感季,预防交叉感染)抗细菌:美罗培南针1.0 q12h(覆盖革兰氏阴性菌及阳性菌,后续根据肾功能调整为q8h抗真菌:根据BALF GM试验结果加用伏立康唑针0.2 q12h;④氧疗:经鼻高流量氧疗(HFNC),维持血氧饱和度>92%对症支持:补液纠正电解质紊乱、营养支持等。

3. 病情变化与治疗方案调整(2025-01-052025-01-18

患者1月9日患者体温较前升高并出现反复发热(体温峰值38.5℃),复查支气管镜可见黏膜仍有充血水肿(图3)虽然复查血常规、CRP、炎症组合等感染指标较前好转(表1),但患者仍反复发热复测BALF GM试验为1.11阳性。考虑曲霉控制欠佳,将伏立康唑换为原研药物。BALF培养检出多重耐药纹带棒杆菌(3+,仅对利奈唑胺、万古霉素敏感)

图片

3  支气管镜检查(2025-01-09)

1月13日再次复查支气管镜发现黏膜充血水肿较前加重(图4)复检BALF tNGS。1月14日回报:纹带棒杆菌(序列数4471,较前增多),白念珠菌(序列数535,较前减少),新检出人类α疱疹病毒1型(序列数150236)。实验室指标:白细胞计数升至10.13×109/L,肌酐水平一度好转后复又升至154 μmol/L,eGFR降至34 ml/(min·1.73m2)(表1)伏立康唑血药浓度5.52 mg/L(偏高)。

图片

4  支气管镜检查(2025-01-13)

1  患者入院后感染及肾功能指标监测情况

图片

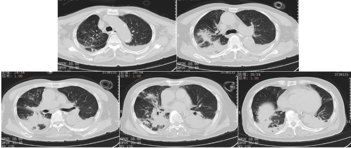
根据病原回报结果,1月13日停用美罗培南因伏立康唑血药浓度偏高且肾功能恶化,将原研伏立康唑针改为口服伏立康唑片0.2 q12h;加用更昔洛韦针0.2 5 q12h针对人类α疱疹病毒1型);针对纹带棒杆菌加用利奈唑胺针0.6 q12h;1月17日患者复查肺部CT提示双肺感染面积较前明显增加,少许胸腔积液并伴有肺不张5

图片

5  复查胸部CT(2025-01-17

1月18日患者出现轻微低热,但肾功能好转,Cr 84 μmol/L,eGFR恢复75 ml/(min·1.73m2),再次将伏立康唑片改为原研伏立康唑针(图6

图片

6  患者入院后治疗方案及体温变化情况

4. 病情稳定与出院方案(2025-01-192025-01-26)

经过上述治疗,患者病情趋于稳定(表2)。复测伏立康唑血药浓度3.82 mg/L(达标),利奈唑胺血药浓度13.90 mg/L(偏高)剂量调整为0.4 q12h(图7

2  患者病程后期感染及肾功能指标监测情况

图片
图片

7  患者病程后期治疗方案及体温变化情况

1月20日复查支气管镜:双侧支气管黏膜充血水肿明显改善,痰液明显减少(图8BALF GM试验降至0.49

图片

8  支气管镜检查(2025-01-20)

1月25日胸部CT提示双肺感染病灶较前部分吸收(图9,患者鼻导管2 L/min吸氧下,指脉氧饱和度98%,一般情况可,予以办理出院出院带药:伏立康唑片0.2 g口服(q12h利奈唑胺片0.4 g口服(q12h),定期门诊复查。

图片

9  出院前复查胸部CT(2025-01-25)

5. 随访结果

2025年2月26日患者门诊复查,未吸氧下氧饱和度正常,胸部CT双肺感染病灶基本吸收,仅残留少许纤维条索影(图10

图片

10  出院后随访胸部CT(2025-02-26)

6. 讨论的问题

1)本患者肺曲霉病诊断是否成立?

2)BALF GM试验与tNGS在肺曲霉病中的诊断效能?

3)伏立康唑在肾功能不全患者中应用的安全性及血药浓度监测对治疗的指导价值



四、小结


对于高龄多重基础疾病具有曲霉菌感染高危因素的患者,临床诊断需结合BALF GM试验、tNGS检测及治疗过程的动态变化;治疗中需根据肾功能选择伏立康唑剂型并调整剂量,同时加强血药浓度监测,以平衡疗效与安全性,对肾功能不佳患者如有条件可换为艾沙康唑等对肾功能更安全且疗效确切的药物。本例患者通过个体化的诊疗方案,最终实现病情缓解,为同类病例的临床处理提供了参考。

点我观看视频.jpg



作者介绍

图片

耿爽

武汉市中心医院呼吸与危重症医学科, 主任医师, 科副主任医学博士, 江汉大学硕士生导师中华医学会结核病学分会重症专委会委员中国医师协会呼吸医师分会危重症学组青委会委员中国康复医学会呼吸康复专委会危重症康复学组委员中国抗癌协会肿瘤呼吸病学专委会委员湖北省中西医结合学会呼吸病专委会委员湖北省营养学会临床营养专委会委员武汉市医学会呼吸病学分会委员武汉市医师协会呼吸科医师分会委员主持国家自然科学基金青年基金1项, 武汉市卫健委科研课题1项, 参与国家重点研发计划2项, 发表SCI论文10余篇; 专业方向为呼吸危重症及支气管哮喘擅长呼吸危重症患者救治, 尤其擅长ARDS、COPD患者机械通气、危重症患者营养支持等。

图片

声明:

本文仅用于学术内容的探讨和交流,不用于任何商业和推广,亦不作为最终的临床决策。临床实践需根据患者的具体情况选择适宜的处理措施。


全部评论 0
Copyright©2020-2026 北京医麦斯科技有限公司 版权所有 京ICP备2020034400号-1 京公网安备11010502043983号