登录方式

方式一:
PC端网页:www.rccrc.cn
输入账号密码登录,可将此网址收藏并保存密码方便下次登录

方式二:
手机端网页:www.rccrc.cn
输入账号密码登录,可将此网址添加至手机桌面并保存密码方便下次登录

方式三:
【重症肺言】微信公众号
输入账号密码登录

注:账号具有唯一性,即同一个账号不能在两个地方同时登录。

登录
方式

为重症救治赋能

为患者康复加速

当前位置:首页 重症肺炎 真菌肺炎

毛霉病的诊治策略

赵景全,牟向东 北京清华长庚医院呼吸与危重症医学科 发布于2023-12-19 浏览 7318 收藏

作者:赵景全,牟向东

单位:北京清华长庚医院呼吸与危重症医学科

一、毛霉病的疾病负担

随着老龄化社会的来临,以及器官移植、血液病疾病患者及免疫缺陷宿主的不断增多,毛霉病在临床上越来越常见。毛霉属真菌是继曲霉之后在血液系统恶性肿瘤、造血干细胞移植和实体器官移植患者中第二常见的病原[1]。该病发病率很低,患者大多合并糖尿病酸中毒、大面积烧伤、器官移植、血液系统疾病等。但毛霉病近年发生的比例逐年增加。国外一项荟萃分析纳入600篇文章共851例患者的数据,其中欧洲人群占34%,亚洲人群占31%。从我们国家的相关数据中也可以发现,毛霉病的发病人数随着时间的推移显著增长[2]

多种因素可导致毛霉病发展,例如中性粒细胞减少症、广谱抗生素的使用、糖尿病、器官移植、肾功能不全、血液系统恶性肿瘤等(图1)[3]。毛霉菌主要感染免疫功能低下的严重基础疾病患者,如血液系统恶性肿瘤、实体器官或造血干细胞移植、未被控制的糖尿病和/或伴有酮症酸中毒等[4]。其易感因素或潜在疾病包括糖尿病伴或不伴酮症酸中毒、血液系统恶性肿瘤、其他恶性肿瘤、器官移植、中性粒细胞减少症、长期糖皮质激素的使用、创伤、铁超负荷、非法静脉吸毒、新生儿早产和营养不良等[4]。不同地域毛霉病的潜在原因不同,例如在欧洲为血液系统恶性肿瘤,在印度、伊朗、中东、北非和墨西哥则为糖尿病[3]

图片

图1  毛霉病的危险因素
毛霉病在免疫力低下人群中的发病机制比较复杂。主流观点认为,人体吸入毛霉孢子并在体内传播,毛霉孢子的释放刺激细胞内趋化因子的产生,在糖尿病患者中,酮症酸中毒和高血糖会减少趋化因子,损害中性粒细胞。毛霉孢子在免疫宿主体内迅速传播,毛霉目特应性T细胞触发细胞因子风暴,破坏细胞,引起严重感染(图2)[3]

图片

图2  毛霉病发病机制
毛霉病的死亡率高,治疗成本也高,药物治疗费用占比达到60%。由于药物的副作用较大,很多患者的耐受性欠佳,最终也导致临床治疗结局不尽如人意。不同毛霉病的病死率不同,鼻-眶-脑毛霉病病死率最高,占68.5%;肺毛霉病死率可达41.6%;肺部侵袭性毛霉病如果不积极治疗,病死率近乎100%。毛霉病的治疗成本高,其中抗真菌治疗的药物费用占住院总费用超60%。
国内外文献均显示,COVID-19患者更易患毛霉病。毛霉病已成为COVID-19相关的一种致命并发症[3]。并发毛霉病的COVID-19患者大都合并糖尿病,并因严重急性呼吸系统综合冠状病毒2(SARS-CoV-2)感染而服用类固醇,因此更易罹患毛霉病。极高的死亡率、手术的负面影响和缺乏治疗选择使得制定早期诊断和预防策略至关重要[5]

二、毛霉病的诊断策略

1. 毛霉病的临床表现
毛霉病的临床表现具有高度变异性,可发生于人体多个部位。毛霉病的感染特征是快速进展和血管侵袭,导致广泛的组织坏死以及邻近器官和血管的侵袭,这也是毛霉病的特征。由于毛霉具有嗜铁性,其对血管的侵袭非常明显,在血管内有大量菌丝繁殖,导致动脉栓塞,进一步造成组织坏死和空洞形成,并且容易出现大咯血。肺毛霉病往往进展比较快,留给临床医生诊断的时间比较短。
(1)鼻-眶-脑毛霉病:这种形式的毛霉病有时可能与手术干预有关,因此通过直接接种发生。典型综合征有海绵窦综合征、急性眶尖综合征、眼外肌功能障碍等。
(2)胃肠道毛霉病:感染特征为快速进展伴胃肠道穿孔风险。在免疫功能正常患者中,已描述播散累及肝、肠、腹壁、肾和肺。由于缺乏临床怀疑,胃肠道毛霉病的诊断常被延误或死后确立。在儿童中,尤其是早产新生儿,广谱抗生素、配方奶喂养和腹部肿块的合并存在,特别是在有休克和代谢性酸中毒的情况下,可能提示毛霉病。在有毛霉病潜在风险因素的成人中,腹胀和发热伴胃肠道出血可能提示毛霉病。
(3)皮肤和软组织毛霉病:感染可进展为影响肌肉或骨骼的深层组织。皮肤毛霉病也可发生于免疫功能低下的患者,早期识别和治疗可防止播散。慢性皮肤毛霉病也有描述。
(4)肾和腹部毛霉病:在2例病例中,秀丽隐杆线虫凋亡被确定为孤立性肾毛霉病的病因。免疫功能低下宿主肾脏感染的机制可能来自感染的血管导管的血行播散。
(5)骨和关节毛霉病:颅外骨和关节毛霉病最常通过直接接种于免疫功能正常的宿主发生,尤其是既往遭受创伤/事故或既往手术的患者,随后发生血行播散。在鼻-眶-脑毛霉病过程中也可能发生颅骨感染。
总体而言,鼻窦炎、肺部和皮肤疾病是毛霉病最常见的临床表现。免疫缺陷的性质与感染部位有密切关系。
2. 肺毛霉病的诊断与监测技术—影像学
相关文献报道了肺毛霉病的影像学征象[6],从下图可以看到:【A肺毛霉病患者胸部CT上的晕轮征,结节浸润周围的磨玻璃影环,代表缺血区域,也是侵袭性肺曲霉病的典型特征(箭头)【D&B】CT上的反晕征,磨玻璃样不透明区域,周围有实变环(箭头)。【E】MRI上还可见低密度征,T1加权,肺实变或结节中的中心低密度,对应于血管阻塞引起的坏死中心区,伴有继发性肺梗死和隔离。【C】CT血管造影上的血管闭塞征,定义为局灶性病变边缘的血管中断,未描绘病变内部或病变周围的血管(箭头)。【G】CT上典型的快速进展性肺毛霉病与临床恶化有关。在疾病快速进展过程中,反晕征的范围越来越大。

图片

对于肺毛霉病,首选的初步诊断方法是肺部CT扫描。由于肺毛霉病进展非常快,并且侵袭性非常强,也会造成血管闭塞,所以在诊断过程中,强烈建议每周进行一次CT扫描,尤其是病情不稳定的患者;如出现发热、咳嗽、咯血,需要增加增强CT扫描的密度来进一步判断患者的病情变化。表1总结了不同毛霉病人群影像学检查方法。

表1  不同毛霉病人群影像学检查方法推荐

图片
3. 毛霉病的诊断及鉴别技术
对于毛霉病,我们需要掌握其诊断方法及鉴别诊断技术。表2所列即为毛霉病相关诊断与鉴别技术及其使用建议。在毛霉病的诊断方面,组织病理学至关重要。指南强烈建议,在有此类检测技术的中心,通过培养或应用分子或原位鉴定技术确诊组织中的毛霉病。此外,NGS技术也能为诊断提供强大助力。由于标本的生长周期较长,临床标本有时难以获取活性成分,很多时候取得的标本可能都是坏死物,所以培养和显微镜检查存在一定的难度。基于分子生物学的直接检测方法目前进展非常快,基于新鲜组织标本或石蜡组织标本进行mNGS检测,都取得了不错的效果。

表2  毛霉病相关诊断与鉴别技术

图片
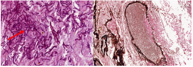
图3所示为我中心曾经收治的一例毛霉病患者,右上叶前段内可见大量的脓性坏死物,吸引坏死物后,在超声小探头下可见周围大量的坏死物填充,右下叶基底段坏死物冷冻取出后可见表面有黑色的坏死血管,其容易导致咯血。取出的脓栓病理结果显示(图4):坏死物切片病理查见及大量真菌菌丝,粗细不均,直径7~25 μm,分支呈直角形,宽大无分隔或很少分隔,壁薄,PAS染色(+),病变区域内包括坏死区、血管壁、血管腔和血栓内均可见大量菌丝,但极少见到肉芽肿,是本病的特征性改变。坏死血管中(右)可见大量的菌丝形成,导致血管栓塞,远端组织坏死。因此操作过程中一定要谨慎,如果操作不当,容易增加大出血风险。该患者石蜡标本mNGS检测出微小根毛霉序列(序列数7,相对丰度1.7%),有助于进一步确诊感染病原。

图片

图3  我中心收治毛霉病患者气管镜检查

图片

图4  患者脓栓病理图片
4. 肺毛霉病
肺毛霉病是一种起病急、进展快、病死率高、较罕见的严重肺部真菌感染,该病可侵袭肺组织、支气管、肺血管等,可导致支气管阻塞和大咯血等并发症。由于此病相对少见,临床医师对其认识不足,容易出现误诊或漏诊,并且治疗极为困难,患者病死率很高,预后较差。
肺毛霉病的临床表现不具备特异性,可有咳嗽、咳痰、胸痛、发热、咯血等症状。当毛霉侵及肺实质时,可形成空洞并发生咯血,累及大血管时可引发致死性大咯血。
从影像学表现来看,毛霉侵犯气道,导致周围出现了渗出、实变、结节,以及阶段性肺出血梗死,坏死物排出后导致厚壁空洞形成。由于肺毛霉病存在气道侵犯及血管浸润,所以多呈现多形态、多肺段、多变化的特点,特异性差。有学者总结了肺毛霉病的影像学表现,包括:①管壁黏膜水肿增厚;②气管周围渗出实变;③小叶中心性结节;④局限性肺不张(分泌物、菌丝等堵塞管腔继发狭窄);⑤磨玻璃影、晕征、反晕征(嗜血管性、坏死性血管炎、微血栓或菌栓);⑥非特异性纵隔淋巴结增大;⑦胸腔积液[8]
5. 毛霉病诊断的新兴技术
目前也有一些新兴技术,例如基质辅助激光解吸飞行时间质谱(MALDI-TOF)技术【鉴定种属特异性真菌肽,在30 min内快速鉴定真菌分离株或直接临床标本】、T2磁共振(T2MR)技术【该技术已用于病原假丝酵母菌的检测,早期(可检测到低水平的真菌细胞)、快速检测引起毛霉病的病原体】、生物传感器技术【对于毛霉病的快速和早期检测具有重要意义,并且还有助于监测基于特定标记分析物的治疗反应】,尽管这些新兴技术已在临床中应用,但目前仍缺乏充足的循证医学证据,期待它们未来能为毛霉病的诊断提供更多思路。

三、毛霉病的治疗策略

1. 毛霉病的治疗原则
毛霉病的临床转归及预后主要取决于4个因[6]:①早期诊断:在诊断5天内尽早启动多烯类药物抗真菌治疗可显著提高患者的生存率;②适当的外科处理:小的局限性病灶在进展播散前进行外科切除;③潜在病因与危险因素的逆转:对糖尿病酮症酸中毒患者,应纠正高血糖和酸中毒;④抗真菌药物治疗:中断去铁敏或免疫抑制治疗,烈推荐糖皮质激素。
2. 毛霉病的治疗手段
毛霉病治疗通常分为抗真菌治疗、手术治疗及其他治疗方法(铁离子螯合剂去铁酮和去铁斯若、高压氧治疗、IFN-γ和GM-CSF治疗)。针对毛霉病的治疗药物目前较少。首选两性霉素B以及两性霉素B相关剂型(脂质体或胆固醇硫酸盐复合物。其次选择泊沙康唑、艾沙康唑等唑类药物。外科手术清创联合有效的抗真菌药物是主要的治疗策略。
在疑似或确诊毛霉病后,应按照急症迅速采取治疗措施,如果病变比较局限,也应尽早请外科介入,也有利于控制病情。
(1)外科手术治疗:手术治疗对局部控制毛霉病很重要。除了全身抗真菌治疗外,指导小组强烈支持尽早对毛霉病进行完全的外科治疗,并且早期手术治疗优于后期手术干预。手术方式包括肺叶切除术、单侧肺切除或楔形切除术。在毛霉病治疗过程中,应及时外科清创去除感染和坏死组织。对于鼻-眶-脑毛霉病患者,早期外科清除鼻窦及眼窝内的感染组织常可有效预防眼球的扩散感染,避免眼球摘除。而对于肺毛霉病患者,与单用抗真菌药物相比,外科处理联合抗真菌治疗可以极大地改善患者的临床预后。
(2)系统性抗真菌治疗:2019年欧洲医学真菌学联合会(ECMM)全球指南[6]建议,在所有器官受累模式中,强烈支持两性霉素B脂质体5~10 mg/(kg·d)的一线治疗。如果发生显著肾毒性,可根据需要降低剂量,但推荐剂量低于5 mg/(kg·d),且仅为临界剂量。对于未累及中枢神经系统的患者,建议使用中等强度的两性霉素B脂质复合物5 mg/(kg·d)。当有替代药物可用时,不鼓励使用两性霉素B脱氧胆酸盐。对于毛霉病的一线治疗,建议使用中等强度的艾沙康唑。该组少量支持使用泊沙康唑口服混悬剂,中度支持使用泊沙康唑缓释片和输注作为一线治疗。艾沙康唑可以作为联合治疗的药物,但由于联合治疗疗效增加的同时,安全性受到更大的挑战,而且经济性也较差,目前联合治疗的证据并不充足。但如果患者两性霉素B不耐受,艾沙康唑和泊沙康唑也是后续治疗的重要选择。另外,两性霉素B目前没有口服制剂,艾沙康唑和泊沙康唑的口服剂型也是序贯治疗的选择方案。
一项前瞻性研究评价两性霉素B脂质制剂的治疗效果。该研究纳入确诊或很可能患有毛霉病的患者40例。患者计划接受10 mg/(kg·d)两性霉素B脂质体单药治疗1个月,适当时进行手术。主要结局是第4周或治疗结束时(如果在第4周前)的缓解率。在第4周,大多数患者的主要基础疾病为血液系统恶性肿瘤(53%),71%的患者接受了治疗性手术,总死亡率为21%。第24周,总死亡率为53%。用药时间越长,患者缓解越明显。研究最终得出结论:毛霉病的高剂量两性霉素B脂质体联合手术治疗的耐受性良好[9]。另一项前瞻性多中心研究纳入60例接合菌病患者,分析两性霉素B脂质体的疗效。其中51例患者接受了抗真菌治疗,其中30例还进行了手术清创。44例患者接受两性霉素B脂质体治疗。结果显示:使用两性霉素B脂质体治疗的患者预后更好,死亡率显著降低。该研究结论为:使用两性霉素B脂质体和手术治疗,有可能改善了接合菌病患者的预后[10]。对于未累及中枢神经系统的毛霉病,两性霉素B脂质体5 mg/(kg·d)治疗能够提高患者的生存率。一项前瞻性多中心研究纳入230例毛霉病患者,比较不同治疗方案的临床效果。最终结论:在可行的情况下,给予两性霉素B和手术可显著提高生存率[11]。基于上述循证医学证据,两性霉素B以及两性霉素B脂质体复合物也被纳入一线治疗推荐。
相较于传统两性霉素B方案,两性霉素B脂质体的不良事件显著更少,安全性更高。由于两性霉素B的肾毒性限制了剂量的爬坡,同样也限制了它的临床疗效。因此,传统两性霉素B的临床应用也受到了很大限制。而两性霉素B脂质体及其脂质复合物的出现,使不良事件显著减少,患者的临床获益进一步提升,而且剂量也更趋近于达标剂量。因此,在临床中,两性霉素B脂质体逐渐取代了传统两性霉素B。
对于抗感染治疗,我们往往寻求不同作用机制的药物适当的联合,能够取得更好的效果。但2019年ECMM全球指南也提出,目前尚无确切数据指导两性霉素B脂质体卡泊芬净的抗真菌联合治疗的使用;有限的数据支持多烯和唑类药物或多烯加棘白菌素类的组合。由于缺乏增加的毒性和可能但未证实的获益,可合理给予联合治疗。然而,数据太有限,无法支持这一建议。
3. 肺毛霉病的治疗
(1)两性霉素B脂质体:优先推荐(A-IIu/A-III),有效剂量为1~10 mg/(kg·d)。临床中我们多应用5 mg/(kg·d)的中位治疗剂量。该药可在肺部有效富集,穿透血-脑脊液屏障,治疗呼吸系统、中枢神经系统感染更具优势。其在肾脏低分布,显著改善肾毒性、低钾血症等不良反应。
(2)艾沙康唑/泊沙康唑:中度推荐一线治疗(B-IIu);中度推荐泊沙康唑缓释片和静脉剂型一线治疗(B-II);泊沙康唑口服悬液证据尚不足(C-IIu)。
对于COVID-19继发毛霉病患者的治疗,两性霉素B是92%的患者给予最多的处方治疗[12]。COVID-19继发毛霉病的管理建议如下[13]:①寻找毛霉病的警示体征和症状;②COVID-19患者发生鼻阻塞或鼻窦炎时的疑似毛霉病;③COVID-19和糖尿病患者注意血糖监测和激素治疗;④在接受长期激素治疗的COVID-19后患者中逐渐减少激素剂量;⑤尽早进行适当的检查(KOH染色和显微镜检查、培养、MALDITOF),以检测真菌感染;⑥在适当时间开始毛霉病治疗,不得延迟治疗。
(3)局部治疗:雾化药物可以直接进入气道作用于靶器官,局部药物浓度更高,理论上是可行性的治疗方法。《雾化吸入疗法合理用药专家共识(2019版)也推荐两性霉素B作为雾化治疗[14]
雾化吸入注射用两性霉素B的配制:取25 mg注射用两性霉素B(1支)用10 ml灭菌注射用水溶解配制,吸取2~4 ml(5~10 mg),氧气雾化吸入,每日2次。临床观察发现雾化吸入能够提升治疗效果,但雾化吸入两性霉素B制剂时要警惕其可能诱发气道高反应,导致气道痉挛。所以在雾化吸入两性霉素B之前,可以先吸入支气管扩张剂,以降低后续出现气道痉挛的风险。对于全身用药不耐受的患者,雾化吸入治疗提供了有利的补充,在联合用药方面也获得了更好的治疗效果。
(4)综合治疗:①系统性用药:首选两性霉素B,两性霉素B脂质体±泊沙康唑。②局部用药:两性霉素B雾化吸入,两性霉素B经支气管镜局部灌注治疗。③介入治疗:支气管镜下清除病灶,术前完善血管造影检查,必要时联合血管介入规避风险。④外科手术:药物治疗效果欠佳时,考虑外科手术治疗,但外科手术主要适用于局限性病灶,对于播散性,外科手术并没有明显的临床获益。所以,肺毛霉病的综合诊疗仍是多种治疗手段的合理组合,目的是取得最佳的治疗效果。
我中心通过导航支气管镜局部灌注方法治疗毛霉病,也取得了较好的临床治疗效果[15]。患者治疗后右肺病变近乎完全吸收,即使没有外科手术,患者右肺病变也得到了极大的改善,并且后续在长达3年的随访中,患者影像学也达到了完全治愈,未再出现了毛霉病复发。该患者经历了系统性治疗联合局部气管镜下灌注药物治疗以及雾化吸入两性霉素B后,达到了完全治愈的目标(图5)

图片

图5  我中心收治毛霉病患者的检查图示

注:①胸部CT显示右肺上叶条索状实变影及肺膨胀不全,支气管阻塞;②胸部CT显示肺下叶内基底段可见斑片状肺内渗出实变;③显示右肺上叶前段支气管分支(3a段)脓栓完全阻塞管腔;④应用活检钳取出胶状脓栓;⑤右肺上叶前段支气管分支恢复通畅;⑥显示右下叶内基底段(7段)栓完全阻塞管腔;⑦应用冷冻取出树枝状支气管管型;⑧右下叶内基底段恢复通畅;⑨组织病理显示炎性渗出背景中见大量真菌菌丝(红色箭头),毛霉菌丝粗细不均,直径7~25 μm,分支呈直角形,宽大无分隔或很少分隔,壁薄,PAS染色(+),六胺银,高倍放大;⑩组织病理显示要标出来血管内大量毛霉菌丝(红色箭头)六胺银,高倍放大;⑪入院时胸部正位片;⑫治疗后复查胸片显示肺部病变较前明显吸收好转。
4. 毛霉病的系统性抗真菌治疗持续时间
2019年ECMM全球指南强烈推荐支持治疗,直至免疫抑制永久逆转和影像学完全缓解,由于瘢痕和术后变化可能难以确定。治疗持续时间需个性化决定。对静脉治疗有适度的支持,直至达到疾病稳定。

四、小结

肺毛霉病是血管侵袭性真菌感染,易引起血栓、菌栓形成及坏死性改变,临床上可导致大咯血,病情凶险。该病预后与基础病相关,恶性血液系统疾病、粒细胞缺乏的患者肺毛霉病进展快、预后差,在积极治疗下,病死率仍高达75%。而单纯合并糖尿病的患者,往往症状相对轻、病死率低于12%。肺毛霉病的诊断仍存在一定困难,组织病理是诊断金标准。mNGS及其他新的技术为诊断提供了有利帮助。目前静脉应用两性霉素B脂质制剂是初始治疗的首选药物。泊沙康唑或艾沙康唑可用作对两性霉素B有反应患者的降阶梯治疗或联合治疗,或用于两性霉素B无反应或不能耐受的患者。在影像学完全改善前及宿主免疫完全重建前,艾沙康唑或泊沙康唑也可作为维持期治疗药物。系统治疗基础上联合多途径用药值得期待。

参考文献

[1] Jeong W, Keighley C, Wolfe R, et al. The epidemiology and clinical manifestations of mucormycosis: a systematic review and meta-analysis of case reports[J]. Clin Microbiol Infect, 2019, 25(1):26-34. 

[2] 孙军平, 汪建新, 张明月, 等. 1980-2020年我国报告的310例毛霉菌病病例分析[J]. 国际呼吸杂志, 2022, 42(4):279-284. 

[3] Mahalaxmi I, Jayaramayya K, Venkatesan D, et al. Mucormycosis: An opportunistic pathogen during COVID-19[J]. Environ Res, 2021, 201:111643.

[4] 杨政, 刘正印. 毛霉菌病的诊断和治疗进展[J]. 中华内科杂志, 2021, 60(11):1013-1016.

[5] Al-Tawfiq JA, Alhumaid S, Alshukairi AN, et al. COVID-19 and mucormycosis superinfection: the perfect storm[J]. Infection, 2021, 49(5):833-853. 

[6] Cornely O A, Alastruey-Izquierdo A, Arenz D, et al. Global guideline for the diagnosis and management of mucormycosis: an initiative of the European Confederation of Medical Mycology in cooperation with the Mycoses Study Group Education and Research Consortium[J]. Lancet Infect Dis, 2019, 19(12):e405-e421.

[7] Skiada A, Lass-Floerl C, Klimko N, et al. Challenges in the diagnosis and treatment of mucormycosis[J]. Med Mycol, 2018, 56(suppl_1):93-101.

[8] 贾坤,余建群,粟丽,等. 肺毛霉菌病的CT影像特点分析[J]. 临床肺科杂志, 2020, 25(5):794-798.

[9] Lanternier F, Poiree S, Elie C, et al. Prospective pilot study of high-dose (10 mg/kg/day) liposomal amphotericin B (L-AMB) for the initial treatment of mucormycosis[J]. J Antimicrob Chemother, 2015, 70(11):3116-2123. 

[10] Pagano L, Valentini CG, Posteraro B, et al. Zygomycosis in Italy: a survey of FIMUA-ECMM (Federazione Italiana di Micopatologia Umana ed Animale and European Confederation of Medical Mycology)[J]. J Chemother. 2009, 21(3):322-329.

[11] Skiada A, Pagano L, Groll A, et al. Zygomycosis in Europe: analysis of 230 cases accrued by the registry of the European Confederation of Medical Mycology (ECMM) Working Group on Zygomycosis between 2005 and 2007[J]. Clin Microbiol Infect, 2011, 17(12):1859-1867. 

[12] SeyedAlinaghi S, Karimi A, Barzegary A, et al. Mucormycosis infection in patients with COVID-19: A systematic review[J]. Health Sci Rep, 2022, 5(2):e529. 

[13] Palanisamy PR, Elango D. COVID19 associated mucormycosis: A review[J]. J Family Med Prim Care, 2022, 11(2):418-423. 

[14] 中华医学会临床药学分会《雾化吸入疗法合理用药专家共识》编写组. 雾化吸入疗法合理用药专家共识(2019年版)[J]. 医药导报, 2019, 38(2):135-146.

[15] 张会娟, 牟向东, 尹洪芳, 等. 经导航支气管镜局部灌注两性霉素B治愈肺毛霉病一例[J]. 中华结核和呼吸杂志, 2021, 44(8):733-735. 

作者简介



图片

牟向东

清华大学附属北京清华长庚医院呼吸与危重医学科主任
主任医师、教授,博士研究生导师
北京医学会呼吸病学分会青年委员会第一届副主任委员
中华医学会呼吸病学分会第十届青年委员会委员
中华医学会呼吸病学分会感染学组委员
伍连德连德基金会呼吸专委会支扩学组组长
中国医药教育协会肺癌医学教育委员会委员
北京医学教育协会呼吸学组专科分会委员
北京整合医学学会介入诊疗转化医学分会常务委员
《中华医学杂志》及其英文版、《中华结核和呼吸杂志》通讯编委和审稿专家,Thorax 中文版感染专刊编委
在国内外医学期刊第一作者发表论文100余篇,其中在NEJM 发表3篇,2016年荣获“首都十大杰出青年医生”称号


图片

赵景全

清华大学附属北京清华长庚医院呼吸与危重症医学科 主治医师

主攻方向:内科胸腔镜,肺结节诊断,晚期肺癌综合诊治及姑息治疗

世界内镜协会呼吸内镜分会委员

北京市慢性病防治研究会肺癌专委会委员

北京医学奖励基金会肺癌医学青年委员会委员

北京市中西医结合学会感染专业委员会青委


全部评论 0
Copyright©2020-2026 北京医麦斯科技有限公司 版权所有 京ICP备2020034400号-1 京公网安备11010502043983号