登录方式

方式一:
PC端网页:www.rccrc.cn
输入账号密码登录,可将此网址收藏并保存密码方便下次登录

方式二:
手机端网页:www.rccrc.cn
输入账号密码登录,可将此网址添加至手机桌面并保存密码方便下次登录

方式三:
【重症肺言】微信公众号
输入账号密码登录

注:账号具有唯一性,即同一个账号不能在两个地方同时登录。

登录
方式

为重症救治赋能

为患者康复加速

当前位置:首页 重症肺炎 真菌肺炎

真菌分类及少见菌的鉴别

徐和平 厦门大学附属第一医院检验科 发布于2022-09-09 浏览 33673 收藏

作者:徐和平

单位:厦门大学附属第一医院检验科


图片

真菌分类


从实验室诊断的角度出发,我们来认识一下真菌。

当我们拿到一个真菌,首先判断其是酵母样真菌、丝状真菌,还是双相菌。酵母样真菌中包括了念珠菌、隐球菌、毛孢子菌、马拉色菌与肺孢子菌等,双相菌则涵盖了马尔尼菲篮状菌、申克孢子丝菌复合群、组织胞浆菌、球孢子菌、芽生菌、副球孢子菌、伊蒙菌等。

丝状真菌在形态学鉴定方面难度较大,一般通过菌丝颜色、是否分隔来作初步分类,如果菌丝无隔,则划分为虫霉门(耳霉、蛙粪霉)和毛霉门(毛霉、根霉、根毛霉等);如果菌丝有隔,则可分为暗色菌丝(枝孢霉、瓶霉等)、透明菌丝(曲霉、镰刀菌等)和皮肤癣菌三部分。其中皮肤癣菌以前分为三大类,即表皮癣菌、毛癣菌和小孢子菌。随着多项分类法的介入,又将小孢子菌和毛癣菌进行重新分类,因此目前皮肤癣菌包括七大类,即:表皮癣菌、毛癣菌、小孢子菌、冠癣菌、奈尼兹菌、节皮菌、帕氏杆菌。



图片


在重要的医学真菌分类中又包括了担子菌门、子囊菌门、毛霉门和虫霉门。


图片


在念珠菌属中,既往认为白念珠菌为主,非白念珠菌次之,但近年发现非白念珠菌感染在临床上有增多趋势。随着质谱分析和分子测序在临床的广泛应用,我们在做真菌鉴定时会发现一些非常奇怪的名称,例如尼瓦利亚念珠菌(C.nivariensis),它实际上就是以前的光滑念珠菌。念珠菌的分类逐渐细化,种类较多,也出现了很多新的属名,如光滑念珠菌复合群(C.glabrata complex)改名为Nakaseomyces glabrata(尚无中文名称),既往的季也蒙念珠菌(C.guillermondii)现在改为麦尔酵母菌复合群(Meyerozyma complex),克柔念珠菌(C.krusei)也改名为克鲁维毕赤酵母(Pichia kudriavzevii)。


图片


重要的医学真菌分类对于指导临床经验用药具有重要意义。如果明确致病菌是毛霉门真菌,可以选用两性霉素B、艾沙康唑、泊沙康唑等,如果是念珠菌属、酵母菌属,往往选用氟康唑、棘白菌素等。尤其对于丝状真菌,大多依靠经验性用药,了解医学真菌分类,能够帮助临床医生准确选择治疗药物。


图片


图片

少见菌的鉴别


1. 镰刀菌(Fusarium


患儿,男,7岁,1年前诊断为“急性淋巴细胞白血病”。1个月前行“异基因造血干细胞移植术”。10天前开始发热,体温39.1℃,5天前皮肤表面出现出血点及瘀斑。白细胞25.9×109/L,红细胞1.93×1012/L,血小板22×109/L。流式细胞学检查示异常细胞群P1约占有核细胞的72.6%。骨髓象提示有核细胞增生活跃,原始及幼稚淋巴细胞占76.5%。


图片


面部黑痂标本直接涂片发现腊肠样分生孢子和分隔菌丝。此时无需等待培养及NGS结果,可高度怀疑镰刀菌感染。


图片


后经培养证实确为茄病镰刀菌。茄病镰刀菌生长速度快,菌落初为白色,后变为粉色。可见镰刀型的大分生孢子,卵圆形、单或双细胞的小分生孢子,某些种可产生厚壁孢子。


图片


针对镰刀菌的研究,农业部门和林业部门较医学研究更深入,这主要是因为镰刀菌是农林业中的重要病害菌之一。


根据形态学划分,临床常见的镰刀菌种类包括:

茄病镰刀复合群(Fusarium solani species complex,FSSC);
藤仓镰刀复合群(Fusarium fujikuroi species complex,FFSC);
尖孢镰刀复合群(Fusarium oxysporum species complex,FOSC);
双孢镰刀复合群(Fusarium dimerum species complex,FDSC);
厚孢镰刀复合群(Fusarium chlamydosporum species complex,FCSC);
肉色镰刀菌-水贼镰刀菌复合群(Fusarium incarnatum equiseti species complex,FIESC)。


镰刀菌引起的临床感染类型与宿主免疫状态有关,在免疫正常宿主中,镰刀菌感染主要引起角膜炎、甲真菌病、皮损溃烂、足癣、皮肤感染、外科伤口感染等,以局部感染为主。对于免疫抑制宿主,则可引起肺炎、皮肤受累、真菌血症、播散性感染,以及化脓性眼内炎、脑脓肿、腹膜炎等严重的播散性感染为主。


侵袭性镰刀菌病还取决于感染途径,主要感染部位是鼻窦、肺和皮肤。侵袭性镰刀菌病最常见的临床表现是持续发热(持续体温>38℃),伴有深度和长时间的中性粒细胞减少和播散性转移性皮肤病变。


嗜中性白细胞减少症是获得播散性镰刀菌病最重要的危险因素之一。播散性感染主要发生于血液恶性肿瘤患者和造血干细胞移植受者,常伴有血行播散。免疫缺陷最常见的潜在原因是血液恶性肿瘤(63%),包括急性髓样白血病(AML,7例)和急性淋巴样白血病(ALL,7例)。侵袭性镰刀菌病的发生率为14.8例/1000例ALL和13.1例/1000例AML[1]。免疫缺陷患者由于严重和长期的中性粒细胞缺乏症和/或严重的T细胞免疫缺陷而增加了罹患侵袭性镰刀菌病的风险。


皮肤感染表现为红斑或丘疹,通常硬化并伴有中央坏死区疼痛。免疫功能低下患者镰刀菌感染引起的死亡率为50%~70%。Rosa等[1]观察27例造血干细胞移植术后感染真菌患者中,从下肢和上肢皮肤活检、手指、骨碎片、血液、鼻腔和腹水中分离出21株茄病镰刀菌。


肺部镰刀菌感染的放射学主要表现是血管侵犯,结节或肿块,80%的患者没有晕轮征。


对于有皮肤病变的患者,最好对其中至少一个病变部位进行活检,因为这种活检方法简单、快速,即使是血小板减少严重患者也不是禁忌。


图片


镰刀菌病传播与感染方式主要为直接感染、环境感染(如空气传播),其中野生动物(如海龟宠物养殖)在镰刀菌传播中也发挥了很大作用。在血液科和骨髓移植病房患者血液中分离的15株FSSC和3株FFSC,经过MLST分析,与空气中同期分离的104株镰刀菌有同源性[2]。对于侵袭性、播散性真菌感染的患者,常规的需氧血培养瓶在几天内就会报阳,有文献报道镰刀菌血培养报阳时间平均为3天[3](18例侵袭性镰刀菌病)。最近开发了一种多重PCR检测方法来直接检测血液、组织和呼吸道样本中4类常见的丝状真菌(曲霉、镰刀、赛多孢、毛霉)。BALF、组织、血液的敏感性和特异性分别为86%、99%、60%和100%、46%和100%。其中镰刀菌检查下限5个拷贝[4]。还可对石蜡包埋的样品进行原位杂交以确认诊断结果。


血清学联合检测有助于真菌属的鉴别,其与曲霉有相似之处,有一些镰刀菌的GM试验也是阳性。


图片


总之,镰刀菌常见于免疫抑制宿主,粒细胞缺乏是非常重要的危险因素;实体器官移植也是其危险因素。镰刀菌感染的特点为皮肤损害:红斑,结节,溃疡-通常有一个中心焦痂。皮肤损害在真菌血症之前发生,对于免疫抑制患者,一旦发现新的皮肤损害,应进行活检。皮肤或组织活检、培养(免疫抑制患者血培养阳性率高)可作为诊断依据。50%的患者血培养阳性,88%镰刀菌感染发生于皮肤损害的免疫抑制患者。此外,镰刀菌对伊曲康唑、5-氟胞嘧啶、氟康唑、棘白菌素天然耐药。治疗药物可选两性霉素B、伏立康唑、特比萘芬、泊沙康唑等。


2. 赛多孢霉(Scedosporium


患者,女,67岁,因咳嗽、咳痰、发热,收治于呼吸科。20年前诊断为“肺结核”,已治愈。“高血压病”15年,血压控制不佳,肾病综合征,激素使用史10余年。气管镜检查:镜下可见支气管黏膜肥厚,充血水肿,可见大量白色坏死物附壁,钳取坏死组织物和BALF送检细菌、真菌、结核等病原学检测。涂片可见典型的有隔真菌菌丝。


图片

图片


药敏试验显示其对伏立康唑敏感,对两性霉素B不敏感。


图片


赛多孢霉(Scedosporium)隶属于真菌界(Fungi)、子囊菌门(Ascomycota)粪壳菌纲(Sordariomycetes)、小囊菌目(Microascales)、小囊菌科(Microascaceae),有性型为假阿利什霉(Pseudallescheria),但现在根据“one fungus, one name”原则,不再使用"假阿利什霉"这一名称。


可导致人体感染的赛多孢霉有7个种,临床常见有3个种:尖端赛多孢霉(S. apiospermum),桔黄赛多孢霉(S. aurantiacum),波氏赛多孢霉(S. boydii)。


多育赛多孢(S. prolificans)现改名为多育节荚孢霉(Lomentospora prolificans)。


赛多孢菌为淹溺后侵袭性真菌感染最常见的真菌,淹溺后几天至数周发病。见于免疫功能正常者,淹溺后缺氧状态或糖皮质激素治疗吸入性肺炎促进了该菌的入侵和播散。国外文献报道,引起肺部真菌感染中,赛多孢居第二位,仅次于烟曲霉。但临床上实际的分离率远远低于实际感染率。主要原因有[5]:①培养基不适宜;②培养条件不适宜:温度、气体、pH;③杂菌生长太快,抑制了赛多孢的生长;④需要添加促进赛多孢生长的物质。


标本中赛多孢为透明、有隔、分枝菌丝,注意需与曲霉、镰刀菌相鉴别。添加矿物油和木棒可以提高初代标本中赛多孢的分离率。黏液痰的消化能提高检出率。研究发现,在二氧化碳环境和普通空气中培养赛多孢,培养的阳性率存在显著差异。此外,赛多孢在37℃下较21℃生长更好[5]。所以,初代培养首先要添加二氧化碳,其次要提高培养温度(37℃培养环境),第三要增加一些矿物油等油类物质,可以明显提高培养的阳性率。


图片

图源:Med Mycol, 2009, 47(4):415-421.


尖端赛多孢霉(S. apiospermum)培养菌落呈鼠灰色,菌丝顶端产孢,培养时间久会出现粘束产孢,甚至还会有闭囊壳。


图片


桔黄赛多孢霉(S. aurantiacum)主要流行区域是澳大利亚,我国也有,其主要特点是培养菌落呈黄色/桔黄色。


图片


波氏赛多孢霉(S. boydii)与尖端赛多孢霉在形态学上很难区分,如果单株菌出现大量的闭囊壳,则波氏赛多孢霉的可能性很大。


图片


赛多孢霉对两性霉素B、氟胞嘧啶、棘白菌素类、氟康唑、伊曲康唑等均耐药[6]。我们的一项研究中收集了我国45株赛多孢霉,药敏试验提示其对两性霉素B耐药,伏立康唑有一定的抑菌效果,棘白菌素类无效。


图片


图片


图片

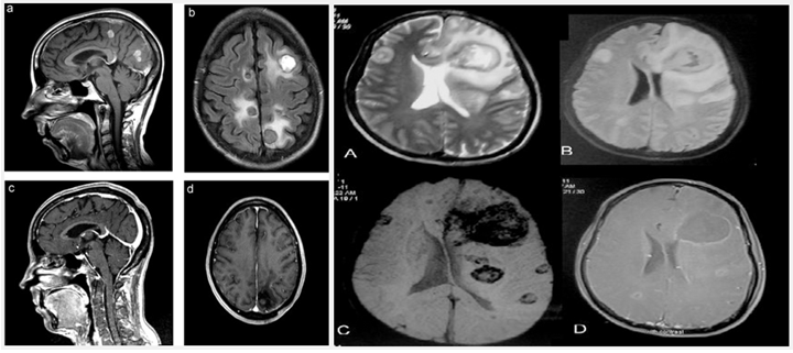
注:溺水后尖端赛多孢引起的致命性的脑脓肿和脑室炎[7]


图片

注:尖端赛多孢引起慢性肉芽肿炎(免疫功能正常患者)[8]


图片

注:尖端赛多孢引起真菌性心内膜炎(心脏移植患者)[9]


总之,赛多孢霉是机会性感染真菌,可引起多器官感染。对于免疫正常患者,多引起足菌肿、关节炎、骨髓炎、耳炎、角膜炎等局部感染。对于免疫抑制患者,则可引起系统或播散性感染。在溺水和雪崩受害者可引起致命性脑感染。此外,在肺部可轻度引起过敏性支气管肺炎症状,与曲霉菌种感染的临床表现相似。赛多孢霉定植是肺移植禁忌证。其与曲霉的不同之处在于,赛多孢霉G试验阳性,GM试验阴性。


3. 马尔尼菲篮状菌


患者,男性,38岁,以“食欲下降4月,发现颈部淋巴结肿大1月余”就诊感染科。查体:神清、消瘦,贫血貌。额头可见散在淡红色丘疹,双肺呼吸音粗。右侧颈部前侧触及多个淋巴结肿大,大的可至2 cm×2 cm。口腔上颚可见白斑。余未见异常。WBC 3.84×109/L,Hb 70.0 g/L(↓),NE% 83.1%,PCT 0.338 ng/ml(↑),CRP 13.84 mg/L(↑)。PET提示:①左颈部、左锁骨区、双侧腋窝、肝门区、腹膜后、肠系膜、盆腔、双侧腹股沟多发高代谢淋巴结,结合病史考虑炎性改变(肉芽肿性病变?其他?);②双肺散在微小结节,代谢不高,建议CT复查;③肝脏增大,轻度脂肪肝,肝内未见异常高代谢病灶;④脾脏增大,腹盆腔少量积液;⑤双肾细小结石;⑥右侧锁骨胸骨端、右侧肩胛骨骨质密度欠均匀,代谢增高。淋巴结穿刺可见腊肠样分生孢子(黑色箭头所示),同时还发现了念珠菌(蓝色箭头所示)。提示临床医生查HIV,结果显示HIV阳性,血培养阴性。


图片


荧光染色可见典型的腊肠样分生孢子(下图中红色箭头所示)。早期文献分析报道中国有组织胞浆菌流行,但最后发现其中很多都是将马尔尼菲篮状菌误诊为组织胞浆菌,在骨髓涂片中,如果不是经验非常丰富临床医生,很容易将组织胞浆菌和马尔尼菲篮状菌混淆而导致误判,但如果在荧光染色下发现腊肠样分隔孢子,则可判断是马尔尼菲篮状菌。组织胞浆菌目前在国内非常罕见。


图片


马尔尼菲篮状菌是一种双相菌,在37℃和人体内呈酵母样;在体外26℃培养时呈丝状真菌,而且会产生酒红色的色素。显微镜下可见帚状枝。


图片


下图分别为皮肤组织培养、血培养和痰标本中的马尔尼菲篮状菌及显微镜下所见。


图片


马尔尼菲篮状菌在形态学上有一些变异,最标准的形态是下图B所示。但无论是否有色素,马尔尼菲篮状菌一定具有双相性,即37℃培养呈酵母样,26℃培养呈丝状真菌样。


图片


但一定要注意,产酒红色色素的篮状菌不一定就是马尔尼菲篮状菌,如下图所见。因此,临床中见到有酒红色色素且有帚状枝的丝状真菌,一定要做双相培养,以免误判。


图片


笔者团队的一项研究发现,两性霉素B、伊曲康唑、泊沙康唑、伏立康唑对马尔尼菲篮状菌的效果较好,但氟胞嘧啶、棘白菌素类药物效果很差。所以目前临床针对马尔尼菲篮状菌,主要选择两性霉素B、伏立康唑及伊曲康唑。


图片


马尔尼菲篮状菌病与患者免疫状态有关。对于免疫正常患者,往往是局部感染,病原菌仅聚集在入侵部位,以原发病症状为主。在免疫低下患者中,多为播散性感染,常累及多个器官系统,严重的全身症状包括高热、肝脾淋巴结肿大。


艾滋病合并马尔尼菲篮状菌感染的临床特征包括起病隐匿,起病到诊断平均超过15天。临床表现不典型,发热、消瘦、乏力、咳嗽、咯血、皮肤多发性脓肿,典型炎症皮疹(坏死性丘疹)发生率低、肝大、脾大、贫血、白细胞降低、GM试验阳性(敏感性和特异性仅为85%),胸片可见肺部浸润性病变。培养时间长达5~14天。


非HIV阴性患者感染马尔尼菲篮状菌主要表现为间歇发热;局部淋巴结肿大、皮下结节或脓肿形成骨痛、溶骨;白细胞增高,超敏C反应蛋白增高;体重下降,低蛋白血症,贫血等全身消耗反应;非HIV感染马尔尼菲篮状菌病的起病较缓,病理特点以肉芽肿改变及化脓性炎症为主。


目前,针对马尔尼菲篮状菌感染的诊断方法仍以培养为主。


参考文献

[1] da Rosa P D, Ramirez-Castrillon M, Borges R, et al. Epidemiological aspects and characterization of the resistance profile of Fusarium spp. in patients with invasive fusariosis[J]. J Med Microbiol, 2019, 68(10):1489-1496.

[2] Moretti M L, Busso-Lopes A F, Tararam C A, et al. Airborne transmission of invasive fusariosis in patients with hematologic malignancies[J]. PLoS One, 2018, 13(4):e0196426.

[3] Nucci M, Carlesse F, Cappellano P, et al. Earlier diagnosis of invasive fusariosis with Aspergillus serum galactomannan testing[J]. PLoS One, 2014, 9(1):e87784.

[4] Gu Z, Buelow D R, Petraitiene R, et al. Quantitative multiplexed detection of common pulmonary fungal pathogens by labeled primer polymerase chain reaction[J]. Arch Pathol Lab Med, 2014, 138(11):1474-1480.

[5] Horré R, Marklein G. Isolation and clinical significance of Pseudallescheria and Scedosporium species[J]. Med Mycol, 2009, 47(4):415-421.

[6] Tortorano A M, Richardson M, Roilides E, et al. ESCMID and ECMM joint guidelines on diagnosis and management of hyalohyphomycosis: Fusarium spp., Scedosporium spp. and others[J]. Clin Microbiol Infect, 2014, 20 Suppl 3:27-46.

[7] Min-gi Lee, et al. http://www.asianjns.org on Tuesday, May 21, 2019, IP: 218.64.91.140.

[8] Gulati V, Bakare S, Tibrewal S, et al. A Rare Presentation of Concurrent Scedosporium apiospermum and Madurella grisea Eumycetoma in an Immunocompetent Host[J]. Case Rep Pathol, 2012, 2012:154201.

[9] Clement M E, Maziarz E K, Schroder J N, et al. Scedosporium apiosermum infection of the "Native" valve: Fungal endocarditis in an orthotopic heart transplant recipient[J]. Med Mycol Case Rep, 2015, 9:34-36.

[10] Fang L L, Liu M X, Huang C L, et al. MALDI-TOF MS-Based Clustering and Antifungal Susceptibility Tests of Talaromyces marneffei Isolates from Fujian and Guangxi (China)[J]. Infect Drug Resist, 2022, 15:3449-3457.


专家简介




图片

徐和平


厦门大学附属第一医院检验科主任技师
厦门大学公共卫生学院副教授
研究方向:微生物检验及细菌耐药监测
中国中西医结合学会检验医学专业委员会感染性疾病实验室诊断学术委员会常务委员
中国医学装备协会检验医学分会临床检验装备学组委员
以第一作者发表SCI、国家及省级论文30余篇
主持和参与多项省级科研课题
主编《医学真菌检验与图解》,副主编及参编多部医学专著
全部评论 0
Copyright©2020-2026 北京医麦斯科技有限公司 版权所有 京ICP备2020034400号-1 京公网安备11010502043983号