登录方式

方式一:
PC端网页:www.rccrc.cn
输入账号密码登录,可将此网址收藏并保存密码方便下次登录

方式二:
手机端网页:www.rccrc.cn
输入账号密码登录,可将此网址添加至手机桌面并保存密码方便下次登录

方式三:
【重症肺言】微信公众号
输入账号密码登录

注:账号具有唯一性,即同一个账号不能在两个地方同时登录。

登录
方式

为重症救治赋能

为患者康复加速

当前位置:首页 重症肺炎 真菌肺炎

赛多孢子菌病临床特征及诊治进展

覃莉莎,张建初 华中科技大学同济医学院附属协和医院呼吸与危重症医学科 发布于2022-11-18 浏览 11432 收藏

作者:覃莉莎,张建初

单位:华中科技大学同济医学院附属协和医院呼吸与危重症医学科

图片
一、病例分析

女性患者,42岁,因“间断咯血约2年,再发加重5天”入院。患者2年前不明原因出现咯血,反复多次治疗不佳。5天前再次出现咯血症状,伴咳嗽加重、咳灰褐色脓血样痰,无发热、盗汗、胸闷、胸痛等不适。曾于外院抗感染、抗结核治疗,效果不佳。既往支扩病史。入院后完善检查。

图片

结核相关检查:未见明显异常


图片

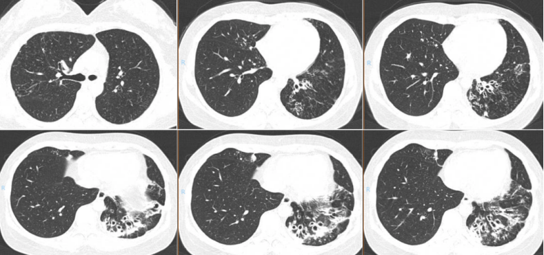
胸部CT:可见左肺下叶支扩明显,周围斑片影,感染较前增多,支气管内黏液栓增多。右肺中叶、左上肺舌段支气管管壁增厚,见点片状、斑片状影;双肺多发树芽征、小叶中心结节。


图片

支气管肺泡灌洗液(BALF)培养:结果提示尖端赛多孢子菌


图片

予以伏立康唑治疗,患者症状较前明显缓解。


图片
二、概述

赛多孢子菌病(Scedosporiosis)是由赛多孢子菌属(Scedosporium spp.)引起的一系列疾病。引起人类感染的主要是尖端赛多孢子菌(Scedosporium Apiospermum)。该病多发生于艾滋病、器官移植、淋巴瘤、白血病、长期应用糖皮质激素或免疫抑制剂等免疫功能缺陷的人群中,也可发生于免疫功能正常者,如创伤、污水淹溺等,可造成肺部、关节、眼部及中枢神经系统等多部位感染。

赛多孢子菌可以定植在既往受损的支气管肺中(如老年肺结核、囊性纤维化或其他病因所致支气管扩张)。感染可以局限于局部,或延伸至周围组织,或传播(经血道)至远处器官。

图片
三、病原学

赛多孢子菌(Scedosporium)隶属于真菌界(Fungi)、子囊菌门(Ascomycota)粪壳菌纲(Sordariomycetes)、小囊菌目(Microascales)、小囊菌科(Microascaceae)。目前赛多孢子菌属至少包括以下10余种:Scedosporium aurantiacumScedosporium minutisporumScedosporium dehoogiiScedosporium desertorumScedosporium cereisporumScedosporium apiospermum(尖端赛多孢子菌),Scedosporium boydiiScedosporium ellipsoideumScedosporium angustum, and Scedosporium fusoideum)。临床可导致人体感染的主要有3种:尖端赛多孢霉(S. apiospermum),桔黄赛多孢(S. aurantiacum),波氏赛多孢(S. boydii)。

图片
注:我院实验室培养的尖端赛多孢子菌

图片
四、流行病学

赛多孢子菌属是普遍存在的真菌,通常从农村土壤、受污染的水、肥堆和牛禽粪便中分离出来,物种分布存在区域差异,主要发现于温带地区;全世界最常见的分离物种是尖端赛多孢子菌和S. boydii

赛多孢子菌为淹溺后侵袭性真菌感染最常见的真菌,淹溺后几天至数周发病。见于免疫功能正常者,淹溺后缺氧状态或糖皮质激素治疗吸入性肺炎促进了病原菌的入侵和播散。临床上实际的分离率远低于实际感染率。主要原因在于:①培养基不适宜;②培养条件不适宜—温度、气体、pH;③杂菌生长太快,抑制了赛多孢子菌生长;④添加促进赛多孢子菌生长的物质。

赛多孢子菌病的诱发因素:①免疫功能低下患者最常见的危险因素是实体器官移植(大多数移植是肾移植或肺移植)和恶性肿瘤(大多数是白血病或淋巴瘤);②在免疫功能正常患者中,手术或创伤是最普遍的危险因素。最常见的创伤事件是眼部撕裂伤和穿透伤。

下图为文献报道和 FungiScope®病例注册研究中确定的赛多孢子菌病例的地理分布,相较于美国和澳大利亚等国,我国的赛多孢子菌病病例相对较少。

图片
图源:Crit Rev Microbiol, 2019, 45(1):1-21.

图片
五、临床表现

Cortez等统计美国德克萨斯医学院真菌学实验室2000—2007年370例赛多孢子菌感染病例,发现主要的感染部位有:肺部222例(60%),骨和关节31例,鼻窦部31例,眼部25例,中枢神经系统11例,其他为手、足、耳等部位。该病主要表现介绍如下。

1. 真菌肿(eumycotic mycetoma)

可由尖端赛多孢子菌或S. boydii引起。发病前通常有外伤史,如异物刺伤、擦伤、农具割伤。足和下肢是最常见的受累部位,偶有上肢和头面部受累。
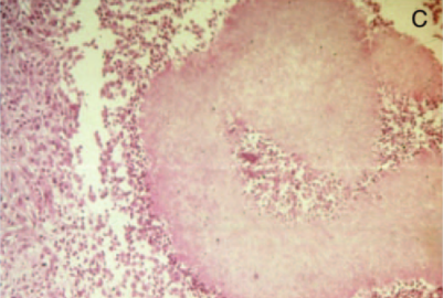
起初创伤部位出现边界清楚的无痛性皮损,生长缓慢、长期不愈,其上可有硬结节,周边可绕以波动性或囊肿性改变。多发性结节可自行破溃流脓,脓液内含有类似无花果籽的质软、黄白色颗粒。皮损在前3个月很少出现窦道,通常在感染1年左右才会出现。脓液排出后窦道可自行闭合,但会再出现新的窦道,与原有窦道相通。随着病情发展,皮损周围的韧带、关节软骨甚至骨骼均可受累,出现溶骨性损害和骨重建,导致严重的畸形和残疾。
该病通常无自觉症状,当继发感染时可能会出现症状。
在临床和放射学方面,赛多孢子菌引起的真菌肿与其他真菌引起的真菌肿相似。与放线菌引起的真菌肿相比,赛多孢子菌引起的真菌肿病程更长,病变部位相对干燥、渗出较少。
应与以下疾病相鉴别:放线菌病、皮肤癣菌肉芽肿、慢性骨髓炎、疣状孢子丝菌病、皮肤结核病、分枝杆菌病、丝虫病、淋巴瘤和皮肤肿瘤性疾病等。


图片
图片
注:尖端赛多孢子菌导致的足菌肿。图中显示了左脚(A)上处于不同进化阶段的几个窦道,以及三个瘘管(B)开口处类似无花果籽的排水白色黄色颗粒。瘘管的横切面显示,瘘管管腔上有几个浅色颗粒和炎性浸润(C)。
图源:doi:10.1128/CMR.00039-07

图片
注:尖端赛多孢子菌导致的足菌肿:MRI显示小腿内侧和外侧的广泛炎症变化和跟骨骨髓炎。
图源:doi:10.1128/CMR.00039-07

2. 肺部感染
尖端赛孢子菌通常可定植于肺部,对于慢性肺部疾病(如囊性纤维化、肺结核、支气管扩张等)患者,亦可引起广泛的肺部疾病,如:过敏性支气管肺真菌病、真菌球、急性支气管内感染和肺炎,也可导致全身性疾病。肺部感染的临床特征主要为发热、咳嗽、胸膜炎性胸痛、咯血、咳痰和呼吸困难。咳嗽是最常见的表现(64%),其次为咯血(59%)和发热(53%)。

慢性肺部疾病者定植常见。西班牙的一项研究纳入了1998—2017年在Gregorio Marañón医院住院并分离出赛多孢子菌/Lomentospora的患者,在67例患者中有一个或多个赛多孢子菌/Lomentospora检出,其中16例(23.9%)患者确定为发生了感染,51例(76.1%)患者为定植。

一项为期3年(2003—2005年)、前瞻性的以人口为基础的调查纳入了澳大利亚各地49个实验室,人群监测发现了180例检出赛多孢子菌的病例,其中118例(65.6%)为定植,62例(34.4%)为感染。

3. 皮肤和皮下感染
与其他真菌相似,赛多孢子菌感染均可表现为瘀斑、坏死性斑丘疹、出血性大疱,也可能出现孤立性溃疡、浸润性红斑斑块和结节、化脓性结节和溃疡。

图片
注:(A)红斑块,左腕背表面有微脓肿,在先前导管插入部位周围。(B)左前臂皮下红斑压痛结节,直径1-2厘米,呈线性分布;有些人有溃疡,排出淡蜂蜜色和凝胶状渗出物。
图源:https://doi.org/10.3109/13693786.2011.639035

4. 眼部感染
角膜炎是赛多孢子菌眼部感染的最常见类型,通常发生在角膜创伤后,临床表现为局部疼痛、畏光、视力下降、流泪、溃疡等;翼状胬肉切除术后可引起赛多孢子菌感染性巩膜炎,表现为眼部疼痛、流泪、眼部流脓和结膜水肿;还可引起眼内炎。

图片
图源:doi 10.1186/s13256-022-03315-9

5. 骨、肌肉、关节感染
局限性感染的深部受累可出现骨髓炎、化脓性关节炎等表现,真菌的血行播散也可出现骨关节受累,临床表现为水肿、红斑、疼痛、皮温升高、活动受限等。早期平片可能正常,但磁共振成像有助于确认临床诊断。

6. 中枢神经系统感染
常见于免疫缺陷患者,也可见于溺水事件后或外伤后;表现为脑脓肿、脑室炎、脑膜炎等。主要为脑脓肿为主的占位性损害引起的症状体征,如头痛、发热、局灶性神经损害等。

7. 心内膜炎和其他血管内感染
在严重免疫功能低下患者和持久风险因素患者(如瓣膜置换术或血管内或腔内装置植入)会发生心内膜炎;在免疫功能低下和免疫功能正常的宿主中可引起致命性真菌性动脉瘤。

8 其他
赛多孢子菌还可以引起鼻-鼻窦炎、耳真菌病、眶尖综合征、肾脏感染、腹膜炎等。

9. 播散性感染
主要见于免疫功能低下患者。肺、中枢神经系统、皮肤和眼睛是播散性疾病中最常受累的器官。

图片
六、辅助检查

1. 组织病理
赛多孢子菌、曲霉、镰刀菌以及其他透明真菌的组织病理表现都十分相似,这些真菌都能产生透明分隔菌丝及锐角分枝;但与曲霉相比,赛多孢子菌的分枝不甚规则,菌丝的顶端或侧面可见分生孢子。

2. 直接镜检
除了常规的10%KOH镜检,还可采用20%的KOH结合免疫荧光显微镜技术,有助于提高直接镜检的检出率。

3. 培养
主要的诊断方法,标本多来于组织、呼吸道样本(包括BALF)、眼睛、血液和皮肤。通常使用半选择性或选择性培养基进行培养。微量肉汤稀释法是真菌体外药敏试验的首选方法。

4. 物种鉴定
包括表型方法、MALDI-TOF MS、分子方法(分离株)鉴定。

5. 分子生物学诊断
包括广范围PCR,随后进行DNA测序和各种形式的物种特异性多重PCR,包括实时PCR和寡核苷酸阵列。

6. 宏基因测序技术(mNGS)
目前mNGS在临床危重、疑难感染患者的诊断中应用日益广泛。在《呼吸系统感染中宏基因组测序技术临床应用与结果解读专家共识》中,mNGS对丝状真菌,包括曲霉、毛霉、赛多孢子菌,与马尔尼菲篮状菌的鉴别存在一定差异。如果在BALF和痰中检出马尔尼菲篮状菌序列,就要考虑其为致病菌,但如果在BALF和痰中检出赛多孢子菌,还要结合临床资料,进一步明确是定植还是感染。如果在经皮肺穿刺组织或经气管镜活检肺组织中检出赛多孢子菌序列,则可作为病原侵袭的证据。

图片

7. 血清学
目前没有赛多孢子菌属的特异性标志物,在赛多孢子菌属感染时血G试验阳性、GM试验阴性。某些赛多孢子菌蛋白如胞浆过氧化氢酶及各种代谢物和铁载体已被研究作为感染的标志物。

8. 影像学
有助于判断是否有骨受累、肺及脑感染。常规X线检查可显示骨膜反应、继发性骨髓炎及溶骨性损害,CT和MRI检查有助于判断疾病的严重程度。

图片
七、临床诊断

赛多孢子菌感染涉及部位多,临床诊断相对困难。其临床特征和组织病理学与曲霉病、镰刀菌病以及其他相对常见的透明丝孢霉病非常相似。根据患者有无免疫缺陷病史或外伤、污水淹溺史、临床发病特点、感染部位、影像学检查、真菌培养及鉴定、病理检查等进行诊断。

图片
诊断侵袭性赛多孢子菌感染的流程
图源:J Antimicrob Chemother. 2021 Dec 24;77(1):253-258.

图片
八、治疗

对于赛多孢子菌病的最佳治疗和治疗持续时间存在争议,也可能取决于患者的免疫状态,目前治疗方法主要有以下:

1. 手术治疗
如果病变局限,手术切除是治疗成功的关键。对感染部位的手术切除,清创或引流。眼部感染患者接受玻璃体切除术、角膜移植术、摘除术或脓肿手术引流。

2. 抗真菌药物治疗
伏立康唑对赛多孢子菌具有显著的活性,以伏立康唑为基础的治疗优于两性霉素B。体外研究发现,与其他药物相比,伏立康唑对赛多孢子菌的MIC更低,而赛多孢子菌对两性霉素B和伊曲康唑具有较高的耐药性。另有研究显示,在208例感染赛多孢子菌的病例中,多数患者接受伏立康唑、两性霉素B制剂或伊曲康唑治疗,最常见的单药治疗是伏立康唑和伊曲康唑,而且在大多数病例中,伏立康唑主要是与特比萘芬或两性霉素B联合治疗。另一项研究表明,对于囊性纤维化肺赛多孢子菌病,联合抗真菌治疗的效果优于单药治疗。

指南推荐伏立康唑为赛多孢子菌病的一线治疗药物。一线可选方案仍是以伏立康唑为基础的联合用药,包括两性霉素脂质体复合物、棘白菌素或特比萘芬等。二线治疗包括艾沙康唑、泊沙康唑及伊曲康唑,不推荐两性霉素B单用,挽救治疗包括伏立康唑、棘白菌素或泊沙康唑等,但仍需更多研究的验证

图片
图源:Lancet Infect Dis. 2021 Aug;21(8):e246-e257

目前还有一些新药尚在研发中。Olorofim(F901318)对赛多孢子菌属具有有效的体外活性,可选择性靶向真菌二氢乳酸脱氢酶,从而影响真菌嘧啶的合成,但不影响宿主嘧啶的合成,其对赛多孢子菌感染的中性粒细胞减少CD-1小鼠有效。Fosmanogepix(APX001)是GPI锚定蛋白抑制剂,可有效治疗感染侵袭性肺赛多孢子菌的免疫功能低下的小鼠。

图片
九、小结

赛多孢子菌是一种条件致病菌,普遍存在于土壤、污水、腐物等受污染的环境中,赛多孢子菌感染多发生于免疫功能缺陷、器官移植人群,也可发生于免疫功能正常者,如创伤、污水淹溺等,可造成肺部、关节、眼部及中枢神经系统等多部位感染。有结构性肺病者,赛多孢子菌可定植、局部感染或经血播散导致全身感染。确诊需真菌培养或分子诊断。治疗方面,首选药物为伏立康唑,亦可选艾沙康唑、泊沙康唑或伊曲康唑,还可以联合使用两性霉素B。

参考文献

[1] Abrantes R A, Refojo N, Hevia A I, et al. Scedosporium spp. from Clinical Setting in Argentina, with the Proposal of the New Pathogenic Species Scedosporium americanum[J]. J Fungi (Basel), 2021, 7(3):160.

[2] Chen S C A, Halliday C L, Hoenigl M, et al. Scedosporium and Lomentospora Infections: Contemporary Microbiological Tools for the Diagnosis of Invasive Disease[J]. J Fungi (Basel), 2021, 7(1):23. 

[3] Luplertlop N. Pseudallescheria/Scedosporium complex species: From saprobic to pathogenic fungus[J].J Mycol Med, 2018, 28(2):249-256.

[4] Hoenigl M, Salmanton-García J, Walsh T J, et al. Global guideline for the diagnosis and management of rare mould infections: an initiative of the European Confederation of Medical Mycology in cooperation with the International Society for Human and Animal Mycology and the American Society for Microbiology[J]. Lancet Infect Dis, 2021, 21(8):e246-e257. 

[5] Seidel D, Meißner A, Lackner M, et al. Prognostic factors in 264 adults with invasive Scedosporium spp. and Lomentospora prolificans infection reported in the literature and FungiScope®[J]. Crit Rev Microbiol, 2019, 45(1):1-21.

[6] Horré R, Marklein G. Isolation and clinical significance of Pseudallescheria and Scedosporium species[J]. Med Mycol, 2009, 47(4):415-421.

[7] Buldain I, Martin-Souto L, Antoran A, et al. The Host Immune Response to Scedosporium/ Lomentospora[J]. J Fungi (Basel), 2021, 7(2):75. 

[8] Ramirez-Garcia A, Pellon A, Rementeria A, et al. Scedosporium and Lomentospora: an updated overview of underrated opportunists[J]. Med Mycol, 2018, 56(suppl_1):102-125. 

[9] Cortez K J, Roilides E, Quiroz-Telles F, et al. Infections caused by Scedosporium spp[J]. Clin Microbiol Rev, 2008, 21(1):157-197. 

[10] Álvarez-Uría A, Guinea J V, Escribano P, et al. Invasive Scedosporium and Lomentosora infections in the era of antifungal prophylaxis: A 20-year experience from a single centre in Spain[J]. Mycoses, 2020 Aug 4. doi: 10.1111/myc.13154. Online ahead of print.

[11] Heath C H, Slavin M A, Sorrell T C, et al. Population-based surveillance for scedosporiosis in Australia: epidemiology, disease manifestations and emergence of Scedosporium aurantiacum infection[J]. Clin Microbiol Infect, 2009, 15(7):689-693. 

[12] Rahman F U, Irfan M, Fasih N, et al. Pulmonary scedosporiosis mimicking aspergilloma in an immunocompetent host: a case report and review of the literature[J]. Infection, 2016, 44(1):127-132. 

[13] Álvarez-Uría A, Guinea J V, Escribano P, et al. Invasive Scedosporium and Lomentosora infections in the era of antifungal prophylaxis: A 20-year experience from a single centre in Spain[J]. Mycoses, 2020 Aug 4. doi: 10.1111/myc.13154. Online ahead of print.

[14] Eldin C, Chiche L, Thomas G, et al. Scedosporium apiospermum catheter-related soft-tissue infection: a case report and review of the literature[J]. Med Mycol, 2012, 50(6):627-630. 

[15] Karaca U. Scedosporium apiospermium keratitis: a case report[J]. J Med Case Rep, 2022, 16(1):91.

[16] Lee M D, Seitzman G D, Schallhorn J M. Atypical Scleral Mass[J]. Ophthalmology, 2019 , 126(12):1614. 

[17] Wei L, Shao J, Song Y, et al. Performance of Matrix-Assisted Laser Desorption Ionization-Time of Flight Mass Spectrometry for Identification of Scedosporium, Acremonium-Like, Scopulariopsis, and Microascus Species[J]. Front Microbiol, 2022, 13:841286.

[18] Lauerer R J, Rosenow E, Beschorner R, et al. Rapid Diagnosis of Central Nervous System Scedosporiosis by Specific Quantitative Polymerase Chain Reaction Applied to Formalin-Fixed, Paraffin-Embedded Tissue[J]. J Fungi (Basel), 2021, 8(1):19.

[19] 中华医学会细菌感染与耐药防治分会. 呼吸系统感染中宏基因组测序技术临床应用与结果解读专家共识[J]. 中华临床感染病杂志, 2022, 15(2):90-102.

[20] Martin-Souto L, Buldain I, Areitio M, et al. ELISA Test for the Serological Detection of Scedosporium/Lomentospora in Cystic Fibrosis Patients[J]. Front Cell Infect Microbiol. 2020 Nov 26;10:602089. doi: 10.3389/fcimb.2020.602089. 

[21] Mina S, Marot-Leblond A, Cimon B, et al. Purification and characterization of a mycelial catalase from Scedosporium boydii, a useful tool for specific antibody detection in patients with cystic fibrosis[J]. Clin Vaccine Immunol, 2015, 22(1):37-45.

[22] Stemler J, Lackner M, Chen S C-A, et al. EQUAL Score Scedosporiosis/Lomentosporiosis 2021: a European Confederation of Medical Mycology (ECMM) tool to quantify guideline adherence[J]. J Antimicrob Chemother, 2021, 77(1):253-258. 

[23] McCarthy M W, Katragkou A, Iosifidis E, et al. Recent Advances in the Treatment of Scedosporiosis and Fusariosis[J]. J Fungi (Basel), 2018, 4(2):73. 

[24] Lackner M, de Hoog G Y, Verweij P E, et al. Species-specific antifungal susceptibility patterns of Scedosporium and Pseudallescheria species[J]. Antimicrob Agents Chemother, 2012, 56(5):2635-2642.

[25] Tortorano A M, Richardson M, Roilides E,  et al. ESCMID and ECMM joint guidelines on diagnosis and management of hyalohyphomycosis: Fusarium spp., Scedosporium spp. and others[J]. Clin Microbiol Infect, 2014, 20 Suppl 3:27-46.

[26] Wiederhold N P, Law D, Birch M. Dihydroorotate dehydrogenase inhibitor F901318 has potent in vitro activity against Scedosporium species and Lomentospora prolificans[J]. J Antimicrob Chemother, 2017, 72(7):1977-1980. 

[27] Seyedmousavi S, Chang Y C, Youn J H, et al. In Vivo Efficacy of Olorofim against Systemic Scedosporiosis and Lomentosporiosis[J]. Antimicrob Agents Chemother, 2021, 65(10):e0043421. 

[28] Kalaria S N, Gopalakrishnan M, Heil E L. A Population Pharmacokinetics and Pharmacodynamic Approach To Optimize Tazobactam Activity in Critically Ill Patients[J]. Antimicrob Agents Chemother, 2020, 64(3):e02093-19.

[29] Schwarz C, Brandt C, Melichar V, et al. Combined antifungal therapy is superior to monotherapy in pulmonary scedosporiosis in cystic fibrosis[J]. J Cyst Fibros, 2019, 18(2):227-232. 


作者简介



图片

张建初 教授


主任医师,博士生导师

中科技大学同济医学院附属协和医院呼吸与危重症医学科副主任

湖北省预防医学会呼吸病预防与控制专委会常务委员

湖北省医学会呼吸病学分会委员

湖北省暨武汉市微生物学会真菌专委会委员

武汉市防痨协会副理事长

武汉医学会呼吸病学分会常务委员

发表SCI等论文40余篇,获省部级科技进步二等奖2项

获2020“全国先进工作者”荣誉称号


图片

覃莉莎


华中科技大学同济医学院附属协和医院呼吸与危重症医学科在读研究生

本科毕业于广西医科大学,获评广西壮族自治区优秀毕业生

曾参与国家、省市级大创项目4项


本文根据“重症肺言之肺部少见真菌感染论坛”整理,感谢张建初教授予以审核。

全部评论 0
Copyright©2020-2026 北京医麦斯科技有限公司 版权所有 京ICP备2020034400号-1 京公网安备11010502043983号