登录方式
方式一:
PC端网页:www.rccrc.cn
输入账号密码登录,可将此网址收藏并保存密码方便下次登录
方式二:
手机端网页:www.rccrc.cn
输入账号密码登录,可将此网址添加至手机桌面并保存密码方便下次登录
方式三:
【重症肺言】微信公众号
输入账号密码登录
注:账号具有唯一性,即同一个账号不能在两个地方同时登录。
肺曲霉病概述
大多数肺曲霉病患者并无严格意义上的免疫缺陷,37.8%的患者甚至无任何慢性基础疾病。侵袭性肺曲霉菌(invasive pulmonary aspergillosis,IPA)主要见于免疫缺陷患者(粒细胞减低/非粒细胞减低),在大量真菌孢子暴露后,IPA也可以见于免疫缺陷人群。据报道,COVID-19合并IPA的患者为19.6%~33.3%。CPA患者往往没有免疫缺陷但有潜在的肺部疾病,如慢阻肺、支气管扩张、囊性纤维化、结节病等,既往或并发结核病或非结核分枝杆菌病。曲霉性支气管炎可能是导致患者持续呼吸道症状的原因,在没有实质性曲霉病证据的痰液中反复检测到曲霉,尤其是支气管扩张和囊性纤维化患者。
IPA是由曲霉侵入肺组织所引起的深部真菌感染性疾病,发展成坏死性出血性肺炎,形成多发性肺脓肿或肉芽肿,病灶边缘可有小动脉栓塞,病情进展迅速,表现凶险,主要包括气道侵袭性和血管侵袭性。
IPA的高分辨率CT(HRCT)表现
1、血管侵袭型肺曲霉病的HRCT表现
总体来说,血管侵袭性肺曲霉病常见于免疫缺陷人群。
“晕征”中间实性肿块/结节密度相对较高,周围的“晕”可多可少,可清晰也可不清晰,此种类型与腺癌出现的实性结节不同。气腔实变中可见支气管充气征。



悬球征


洞丝征
2、气道侵袭型肺曲霉病的HRCT表现

树芽征

骨髓移植术后,发热、咳嗽
免疫正常患者常见影像 1、气道播散性肺曲霉病(常见于有气道疾病背景者)
细支气管炎或支气管炎;树芽征;非对称团片影或/和双侧向心性实变。
2、慢性肺曲霉病
空洞,伴或不伴空气新月征;与慢性纤维空洞型肺结核相鉴别。
免疫缺陷患者常见影像
1、免疫功能持续低下
晕征;肺梗死样楔形实变影;多发结节。
2、免疫功能重建
空洞或空气新月征;慢性肺曲霉病;内壁不规则的厚壁空洞。

IPA与其他真菌感染的鉴别 1、肺隐球菌病

肺隐球菌病影像学表现
2、肺毛霉菌病
下图为64岁淋巴瘤干细胞移植术后患者,入院第3天出现典型的外周晕征和内部反晕征,厚壁实性环,高度怀疑存在真菌感染。

晕征和反晕征表现(淋巴瘤干细胞移植术后)
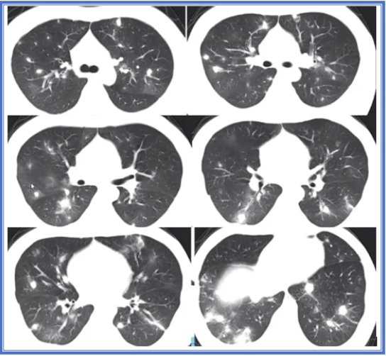
下图为38岁白血病化疗后患者,第2天出现外周反晕征、中间晕征的磨玻璃样改变,快速增大。

晕征和反晕征表现(白血病化疗后)
3、诺卡菌病



本文由重症肺言整理,感谢刘敏教授审阅修改!
后可发表评论
友情链接
联系我们
公众号
客服微信