登录方式

方式一:
PC端网页:www.rccrc.cn
输入账号密码登录,可将此网址收藏并保存密码方便下次登录

方式二:
手机端网页:www.rccrc.cn
输入账号密码登录,可将此网址添加至手机桌面并保存密码方便下次登录

方式三:
【重症肺言】微信公众号
输入账号密码登录

注:账号具有唯一性,即同一个账号不能在两个地方同时登录。

登录
方式

为重症救治赋能

为患者康复加速

当前位置:首页 重症肺炎 真菌肺炎

叶枫教授:马尔尼菲篮状菌病的临床特征及诊治进展

叶枫 广州医科大学附属第一医院呼吸与危重症医学科 广州呼吸健康研究院 呼吸疾病国家重点实验室 国家呼吸系统疾病临床医学研究中心,国家呼吸医学中心 发布于2022-12-09 浏览 18517 收藏

作者:叶枫

单位:广州医科大学附属第一医院呼吸与危重症医学科 广州呼吸健康研究院 呼吸疾病国家重点实验室 国家呼吸系统疾病临床医学研究中心,国家呼吸医学中心
图片

一、马尔尼菲篮状菌病的流行病学

马尔尼菲篮状菌病(Talaromycosis,TSM)是由马尔尼菲篮状菌(Talaromyces marneffei,TM)引起的一种严重侵袭性真菌病,东南亚的气候、温度和湿度适合马尔尼菲篮状菌的生长繁殖,因此该病的主要流行区域位于东南亚,我国华南地区(广西、广东、香港等)是我国高发地区,常见于艾滋病患者。研究表明CD4+T淋巴细胞<100个/μl是艾滋病患者感染马尔尼菲篮状菌的主要危险因素。近年来,由于高效抗逆转录病毒治疗(HAART)的广泛使用,使艾滋病宿主免疫重建,CD4+T淋巴细胞可恢复正常,应用标准的抗真菌方案治疗后,预后明显改善,已不再是艾滋病患者死亡的主要原因[3]。然而,越来越多的研究表明,HIV阴性TSM的发病率呈现出逐年上升趋势,其流行区域不断扩大。随着全国多中心研究的不断开展,除广西、广东外的其他21个省市均相继有病例报告。国外一些非流行地区,如澳大利亚、比利时、法国、德国、日本、芬兰、阿曼、瑞士、英国及美国等国家也出现TSM的报道。在我国,TSM主要分布在广西和广东[6,7]Lancet Glob Health杂志在2021年针对TSM这一曾不被重视且极易被误诊漏诊的致命性侵袭性真菌病发起全球性呼吁[2],旨在引起大家的关注。

图片

二、马尔尼菲篮状菌病的发病趋势及特征

TSM曾被认为是艾滋病患者的限定性疾病。亚洲国家艾滋病人群马尔尼菲篮状菌感染的总发病率为3.6%,其中越南最高(6.4%),其次是泰国(3.9%)和中国(3.3%)。我国艾滋病人群马尔尼菲篮状菌感染率以广东省最高(26.5%),其次为广西壮族自治区(12.5%)(图1)。环境与患者感染马尔尼菲篮状菌密切相关。研究显示,温度对马尔尼菲篮状菌的影响明显大于温度和大气压力,马尔尼菲篮状菌合并不同感染,温度的影响大于湿度、空气中SO2及大气压力。

图片

图1  HIV阳性TSM患者的流行病学

研究发现,自2017年开始,HIV阳性患者TSM的发病率有下降趋势(图2),而HIV阴性患者中,TSM报道的病例数却逐渐增多。系统文献及我国多中心回顾性研究分析发现:全球关于HIV阴性TSM患者的文献报道从1994年开始有逐年增加趋势,2010年以后增加更为明显(图3A、3B),而我国则是从2000年开始HIV阴性TSM患者的文献报道才有逐年增加的趋势。HIV阴性TSM患者全球流行区域与既往文献报道的HIV阳性TSM患者基本相似,主要集中东南亚,占比98.46%(图3C);南美洲、北美洲、大洋洲、欧洲均有散在病例报道。3名澳大利亚人、1名法国人、2名日本人和3名美国人在确诊TSM之前,曾有东南亚(如中国南部、越南和泰国)旅行、居住或工作史。而巴西、土耳其、英国和美国出现少数本土感染病例,患者无流行地区接触史或居住史。在我国20个省份及自治区均有HIV阴性TSM病例报道,主要流行区域为广西(57.73%)、广东(18.87%)、香港(5.63%)、福建(3.44%)。

图片

图2  HIV阳性TSM患者的年发病趋势

图片
图3  HIV阴性TSM患者的流行病学

在HIV阳性TSM患者中,男性占比接近80%,远高于女性,并且以中青年患者居多。在HIV阴性TSM患者中:男性占比57.1%,女性占比42.9%;年龄中位数为32岁,年龄分布范围为3个月到77岁,以18~59岁年龄段最常见(图4A)。其中婴幼儿(0~3岁)占比13.21%,学龄前儿童占比1.65%,青少年占比2.39%,成人(≥18岁)占比65.14%(表1)。从职业分布来看,无论男性还是女性患者,均以务农最为常见,这可能与农民需经常接触野外作物,增加其暴露风险有关。

图片

图4   HIV阴性TSM患者的临床特点

表1  545例HIV阴性TSM患者的人口统计学资料
图片

Data was showed as number and percentage. Abbreviations: TSM=Talaromycosis.

HIV阳性TSM患者常急性起病,表现为高热且症状重、病程短、血培养阳性率高,加之既往临床对HIV阳性宿主感染马尔尼菲篮状菌的重视,易于诊断[10]。与HIV阳性TSM患者不同,HIV阴性TSM患者CD4+T淋巴细胞数量正常,甚至无任何基础疾病,其临床表现复杂多样,且缺乏特异性,发热往往不是主要症状,临床表现不典型,病情反复,病程较长,主要表现为多器官功能损害甚至衰竭,出现全身多发溶骨破坏、肝脾大、全身多发淋巴结肿大,常易被误诊为结核、肺炎、淋巴瘤及其他恶性肿瘤并全身多发淋巴结转移[12]。加之目前临床对HIV阴性TSM的临床表现、易感因素、发病机制等认识严重不足,极易被误诊误治(误诊率高达46%),持续感染时间长(最长可达5年以上),播散感染率(73.0%)及复发率(26.0%)均较高,死亡率(44.4%)[4, 13]明显高于HIV阳性TSM患者(24.5%)。

2  HIV阳性TSM患者的临床特点

图片

系统文献复习及多中心回顾性研究发现550.8%的HIV阴性TSM患者合并基础疾病,共发现HIV阴性TSM患者合并的基础疾病有89种,其中抗IFN-γ抗体阳性相关的成人起病免疫缺陷综合征是HIV阴性TSM患者最常见的基础疾病及免疫缺陷疾病。排名前15位的常见基础疾病分别是:抗IFN-γ抗体阳性所致的成人起病免疫缺陷综合征(17.98%)、自身免疫性疾病(17.43%)、糖皮质激素和/或免疫抑制剂长期使用(11.93%)、恶性肿瘤(9.36%)、原发性免疫缺陷(8.07%)、糖尿病(7.01%)、器官移植(5.87%)、巨大手术或创伤(4.04%)、高血压(3.48%)、乙型病毒性肝炎(2.56%)、噬血细胞综合征(2.20%)、慢性阻塞性肺疾病(1.28%)、心血管疾病(1.10%)、支气管扩张症(0.92%)、特发性CD4+T细胞减少症(0.92%)(图6)。自身免疫性疾病中最常见的类型是系统性红斑狼疮,占31.30%;其次为Sweet′s综合征,占18.26%。恶性肿瘤中以血液系统恶性肿瘤最为常见,包括白血病(27.08%)、淋巴瘤(27.08%)。原发性免疫缺陷病又以CD40配体缺陷综合征即高IgM综合征(26.53%)最为常见,其次是低丙种球蛋白血症(16.33%)、STAT-1显性突变(10.02%)及高IgE综合征(10.02%)。
图片
图5  HIV阴性TSM患者的基础疾病谱

不同时间段基础疾病谱存在显著差异(图6)1985—1999年、2000—2010年和2011—2019年,发现三个不同时期的主要潜在基础疾病谱显著不同。在1985—1999年、2000—2010年这两个时间段,仅有8例IFN-γ抗体阳性患者被报道。而在2011—2019年,最常见的潜在基础疾病是抗IFN-γ抗体引起的疾病、自身免疫性疾病、PIDs、糖皮质激素和/或免疫抑制治疗以及恶性肿瘤。

以上数据表明:HIV阴性TSM诊断病例数量越来越多,可能与临床对HIV阴性宿主感染马尔尼菲篮状菌认识的提高,原发性及继发性免疫缺陷疾病筛查及诊断手段如基因检测和免疫诊断方式的进展,新型免疫缺陷疾病的发现,以及糖皮质激素、免疫抑制剂、肿瘤放化疗等治疗增加有关,例如由抗IFN-γ抗体引起的成人发病的免疫缺陷综合征、多种原发性免疫缺陷疾病、多种生物靶向及免疫治疗药物。

图片
图6  HIV阴性TSM患者不同时间段基础疾病谱特点

HIV阴性TSM患者常存在混合感染,尤其是胞内菌,使临床病情更加复杂多变,增加了诊治难度。其中值得关注的是分枝杆菌混合感染,包括结核分枝杆菌和非结核分枝杆菌,此外还有念珠菌、曲霉、鼠伤寒沙门氏菌、病毒等(图7),例如马尔尼菲篮状菌合并隐球菌或曲霉感染等,在临床均不少见。

图片
图7  HIV阴性TSM患者不同时间段基础疾病谱特点
图片

三、马尔尼菲篮状菌病的危险因素

HIV感染及艾滋病患者是马尔尼菲篮状菌感染公认的最主要危险因素。然而,近年研究发现,在HIV阴性宿主中抗IFN-γ自身抗体综合征、器官移植受者、血液系统恶性肿瘤及使用抗肿瘤靶向药物者、特发性CD4+T细胞缺乏者以及其他免疫缺陷患者也逐渐受到关注。

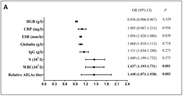
本课题组前期开展了一项TSM患者抗IFN-γ自身抗体的研究,采用ELISA检测血清中抗自身IFN-γ抗体,与健康者相比,马尔尼菲篮状菌感染患者血清中含有高滴度水平的抗IFN-γ抗体,差异具有显著性。经Logistics回归分析发现,高滴度的抗IFN-γ抗体是HIV阴性宿主感染马尔尼菲篮状菌的独立危险因素(图8A)。同时也是HIV阴性TSM患者是否合并感染的独立危险因素(图8B)

图片

图片

图8  HIV阴性TSM患者出现马尔尼菲篮状菌感染及双重或多重感染危险因素分析

此外,我们还关注了高IgE综合征合并TSM,发现在个别TSM患者中,每次出现急性感染时,患者除了发热、肺部阴影,其所有的炎症指标(包括白细胞、中性粒细胞及降钙素原)均显著升高,另外,患者的嗜酸粒细胞也显著升高。通过追溯发现,部分患者的IgE竟然高达5000 mg/L以上。进一步检测发现患者IL-17水平显著下降,STAT3基因位点发生突变(图9),家系基因分析发现,高IgE综合征在部分患者中具有家族遗传特性。我们通过文献复习及回顾性研究共发现12例高IgE综合征合并马尔尼菲篮状菌感染患者。

图片
图9  高IgE综合征合并马尔尼菲篮状菌感染STAT3基因位点图

我们通过多中心临床回顾性研究对HIV阴性TSM患者的实验室检测进行描述,发现HIV阴性TSM患者的白细胞、中性粒细胞、C反应蛋白、降钙素原、血沉等炎症指标显著升高,且常伴有低血红蛋白。在免疫学方面,患者IgG升高,IgA和IgM无明显变化,但部分患者的CD4+T细胞和CD8+T细胞数量下降3

3  104例HIV阴性TSM患者的实验室检查结果

图片

图片

四、马尔尼菲篮状菌病的影像学特征

TSM的影像学表现多种多样。
病例1:患者53岁,主诉反复咳嗽、发作性喘息5月余,加重伴发热5 d。临床表现没有特异性,肺部影像学可见多发结节,有些结节靠近胸膜下,但无明显晕征,有大片实变影,其中可见支气管气象。纵隔窗可见结节及实变影,并未出现明显增强10
图片
图10  TSM患者肺部影像学表现

病例2:女性患者,62岁,反复咳嗽、咯血6年,加重1年。胸部CT可见轻度支气管扩张,肺部病灶不明显,仅有散在的一些小结节样改变及部分粟粒结节(图11)。通常我们认为这就是支气管扩张合并感染,更多会考虑排查结核菌、NTM及诺卡菌,但此例患者BALF培养及BALF NGS均提示马尔尼菲篮状菌。

图片
图11  TSM患者肺部影像学表现

病例3:男性患者,50岁,反复咳嗽、咳痰2月余,胸痛1个月,发热2周。胸部CT示右上肺大片实变影,其内可见支气管气象,且出现坏死,肺结构破坏,下肺有大片散在斑片影(图12)

图片
图12  TSM患者肺部影像学表现
病例4:女性患者,51岁,右锁骨上窝肿物10月余,咳嗽1月余。胸部CT可见肺部阴影,锁骨上肿大淋巴结(图13),同时检测到马尔尼菲篮状菌和曲霉;组织培养提示为混合性真菌感染。
图片
图13  TSM患者肺部影像学表现
病例5:男性患者,39岁,头痛1小时,无太多症状。体检发现肺部多发结节影2月余,可见空洞,内有一不规则物(图14)。经皮肺穿刺活检提示马尔尼菲篮状菌和隐球菌,确诊为混合感染。
图片
图14  TSM患者肺部影像学表现
病例6:男性患者,19岁,反复发热、咳嗽、咳痰5月余。胸部CT见右下肺大片实变影,中间有支气管气象(图15),培养和组织活检均证实为马尔尼菲篮状菌,后续累及气道,导致气道软化和塌陷,预后不良。
图片
图15  TSM患者肺部影像学表现
病例7:男性患者,21岁,反复咳嗽、咳痰、发热2年。胸部CT可见双肺散在结节状阴影,既往曾诊断结核,但在左上肺有一巨大的厚壁空洞,内壁不光整(图16),该患者是马尔尼菲篮状菌和曲霉的混合感染。
图片
图16  TSM患者肺部影像学表现
相关文献也提示,TSM的影像学既可以表现为肺内多发结节,也可以有多发空腔样改变,还可以伴有双侧胸腔积液,甚至引起播散性感染,导致腹腔淋巴结肿大,脾大,脾内多发低密度病灶(图17)。有时PET-CT直接回报肺癌、癌性淋巴管炎、纵隔淋巴结转移,或直接回报疑似淋巴瘤。
图片
图17  TSM患者影像学表现
马尔尼菲篮状菌可以引起溶骨性病变。感染性疾病引起溶骨性破坏及坏死并不多见,包括马尔尼菲篮状菌、诺卡菌、放线菌、分枝杆菌等的感染,尤其是NTM。我们曾有一例年轻女性患者,初始诊断马尔尼菲篮状菌,经过治疗,肺部及原有的皮肤病灶显著改善,但患者突发腰痛,就诊时已无法走路(图18)。后经腰椎穿刺活检及组织培养和病理证实既有马尔尼菲篮状菌,又有堪萨斯分枝杆菌。抗感染治疗效果不理想,患者出现截瘫,后续积极抗感染及手术治疗。我们既往可能不太关注感染性疾病累及的骨性病变,而马尔尼菲篮状菌,尤其是HIV阴性马尔尼菲篮状菌,值得我们更多关注。
图片
图18  HIV阴性TSM患者溶骨破坏影像学表现
从上述病例的影像学可以看到,TSM的影像学表现多种多样,包括大片实变、结节、磨玻璃改变、粟粒样病变、肺门或纵隔淋巴结肿大、胸腔积液、空洞、坏死,以及细菌性肺脓肿,内壁光滑,甚至有气液平面,这与我们既往所认识的真菌影像学特征有所不同。研究显示,大部分HIV阳性患者胸部影像学表现形式多样,45.6%表现为斑片状浸润影或局限性肺实变,较少形成空洞病灶(8.0%)。HIV阴性TSM患者胸部影像学表现与HIV阳性患者相似,主要表现为肺部浸润影伴或不伴间质性改变,亦常出现胸腔积液。
图片

五、马尔尼菲篮状菌病的气管镜下表现

TSM气管镜下表现与其他霉菌有所不同。我们既往在气管镜下所见霉菌感染多数有结节、伪膜、溃疡,甚至焦痂,但TSM累及气道时,通常可见气道内壁光滑的凸起结节(图19)。值得注意的是,曾报道一例HIV阴性宿主因感染马尔尼菲篮状菌后出现气道溶解。近期从外院转来我院一例患者,我们在抢救时发现患者心包中有大量军团菌。该患者在外院曾经考虑是IgG4相关疾病,但患者可能有特殊病原菌的混合感染,导致病情急剧变化。
图片
图19  HIV阴性TSM患者气管镜下表现
图片
六、与其他疾病的鉴别诊断及检测方法
HIV阴性宿主的TSM在诊断方面存在一定困难,不但要与非结核分枝杆菌、结核(肺结核、淋巴结结核、骨结核等)及其他真菌感染相区分,还应与肿瘤(如淋巴瘤、肺癌、多发性骨髓瘤等)、败血症、成人Still病、Sweet综合征等相鉴别。TSM也可与Sweet综合征混合存在。
近年有学者通过ELISA方法检测血清、血浆或尿标本中马尔尼菲篮状菌的抗原和抗体。在国内,我们也开展了一系列临床研究,假阳性率、假阴性率等指标尚可。也有学者针对马尔尼菲篮状菌不同的分子诊断方法进行了比较。一项荟萃分析显示,快速诊断马尔尼菲篮状菌的总敏感性约为80%,特异性相对较高,可以达到90%以上。而mNGS技术也显著提高了TSM的诊断率,一方面,mNGS技术可以缩短诊断时间,获得结果的时间较常规培养更快,并且在BALF和皮肤组织中的阳性率更高,也可以早期诊断低序列数的马尔尼菲篮状菌感染。
图片
七、马尔尼菲篮状菌的生物学特征及组织病理
无菌体液及组织培养仍是诊断马尔尼菲篮状菌的金标准。该菌是温度敏感的双相真菌,菌落呈绒毛丛状,并向培养基中分泌葡萄酒样红色色素,是鉴定该菌的重要特征;显微镜下可见帚状枝(图20)。骨髓和淋巴结培养的阳性率最高,可达100%,其次是皮肤组织(90%)和血液(76%)。无菌性体液除了血培养,还应关注胸腔积液及骨髓的培养。
图片
图20  马尔尼菲篮状菌双相温度培养表现
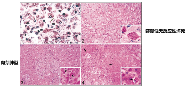
HIV阳性与HIV阴性TSM患者的组织病理学特征有所不同。HIV阳性患者,无反应性坏死,病变部位充满了病原菌;HIV阴性患者活菌数量比较少,通常表现为慢性化脓性肉芽肿性改变,可见大量中性粒细胞浸润(图21),但可能是病原菌较少的原因,没有经验的病理科医生容易漏诊。
图片
图21  马尔尼菲篮状菌病理组织学表现
在1000倍油镜下,可以看到在巨噬细胞内有一些圆形、卵圆形的真菌孢子,荚膜折光比较明显(六胺银染色),中心常有黑色小点,见腊肠状体和横隔(图22)。在组织病理上,易与组织胞浆菌相混淆。因此,必要时需要结合分子生物学以及培养结果进行鉴别。
图片
图22  马尔尼菲篮状菌病理组织学表现
图片
八、马尔尼菲篮状菌病的治疗
对HIV阳性TSM的治疗,相关指南和共识多推荐初始诱导治疗给予两性霉素B,如果两性霉素B不耐受,也可给予伊曲康唑或伏立康唑治疗。在诱导治疗阶段,早期研究建议给予两性霉素B,认为直接用伏立康唑或伊曲康唑,患者的病死率可能会高一些。也有研究认为伏立康唑能更快地改善患者症状,其效果也较为理想。未来也需要更多的研究进一步探讨。如果患者免疫功能低下、累及神经系统(如TSM相关脑膜炎),笔者认为两性霉素B可能更有保障,这也需要更多的循证医学证据。2021年艾滋病诊疗指南对HIV阳性TSM的治疗推荐见表4。
4  艾滋病诊疗指南(2021)中关于HIV阳性TSM患者的治疗建议

图片

尽管《国家抗微生物治疗指南》《热病:桑福德抗微生物治疗指南》等都给予了相应的推荐(表5),但诱导治疗大体上主要建议两性霉素B脂质体或两性霉素B脂质体复合物,遗憾的是,目前我们国家还没有真正的脂质体。两性霉素B包括了四种剂型,分别是单体、胶质分散体、脂质体和脂质体复合物。在治疗重症患者时,我们希望多烯类药物能在短期内快速达到维持剂量,而其疗效是由累积剂量所决定。未来安必松如果能在我国上市,此类患者可能会有更多获益。
5  《国家抗微生物治疗指南》《2022年热病:桑福德抗微生物治疗指南》中关于TSM的治疗建议

图片

图片
九、小结

HIV阴性患者TSM的发病率有所增加,我国以广东、广西多见,福州、湖南、温州等地亦有病例报道。该病多见于男性,临床以咳嗽咳痰、发热、消瘦多见,易累及淋巴结、皮肤。患者免疫指标可见IgG明显升高,CD4+CD8+T细胞减少。需要关注的是,此类患者的抗IFN-γ抗体升高,这对其未来的治疗及预后将会产生很大影响。TSM影像学无特异性,可表现为斑片实变影、多发结节、空洞、脓肿、胸腔积液,诊断有赖于微生物学和病理学,病理组织中活菌数量较少。针对该病,目前尚无标准的治疗方案。

参考文献

[1] Thompson G R, Le T, Chindamporn A, et al. Global guideline for the diagnosis and management of the endemic mycoses: an initiative of the European Confederation of Medical Mycology in cooperation with the International Society for Human and Animal Mycology[J]. Lancet Infect Dis, 2021, 21(12):e364-e374. 

[2] Narayanasamy S, Dat VQ, Thanh NT, et al. A global call for talaromycosis to be recognised as a neglected tropical disease[J]. Lancet Glob Health, 2021, 9(11):e1618-e1622.

[3] Le T, Kinh N V, Cuc N T K, et al. A Trial of Itraconazole or Amphotericin B for HIV-Associated Talaromycosis[J]. N Engl J Med, 2017, 376(24):2329-2340.

[4] Cao C, Xi L, Chaturvedi V. Talaromycosis (Penicilliosis) Due to Talaromyces (Penicillium) marneffei: Insights into the Clinical Trends of a Major Fungal Disease 60 Years After the Discovery of the Pathogen[J]. Mycopathologia, 2019, 184(6):709-720.

[5] Qiu Y, Feng X, Zeng W, et al. Immunodeficiency Disease Spectrum in HIV-Negative Individuals with Talaromycosis[J]. J Clin Immunol, 2021, 41(1):221-223.

[6] Qiu Y, Zhang J Q, Pan M L, et al. Determinants of prognosis in Talaromyces marneffei infections with respiratory system lesions[J]. Chin Med J (Engl), 2019, 132(16):1909-1918. 

[7] Li Z T, Yau L F, Qiu Y, et al. Serum Sphingolipids Aiding the Diagnosis of Adult HIV-Negative Patients with Talaromyces marneffei Infection[J]. Front Cell Infect Microbiol, 2021, 11:701913. 

[8] Li Z, Li Y, Chen Y, et al. Trends of pulmonary fungal infections from 2013 to 2019: an AI-based real-world observational study in Guangzhou, China[J]. Emerg Microbes Infect, 2021, 10(1):450-460.

[9] Ying R S, Le T, Cai W P, et al. Clinical epidemiology and outcome of HIV-associated talaromycosis in Guangdong, China, during 2011-2017[J]. HIV Med, 2020, 21(11):729-738. 

[10] Ying R S, Le T, Cai W P, et al. Clinical epidemiology and outcome of HIV-associated talaromycosis in Guangdong, China, during 2011-2017[J]. HIV Med, 2020, 21(11):729-738.

[11] Qin Y, Huang X, Chen H, et al. Burden of Talaromyces marneffei infection in people living with HIV/AIDS in Asia during ART era: a systematic review and meta-analysis[J]. BMC Infect Dis, 2020, 20(1):551.

[12] Qiu Y, Liao H, Zhang J, et al. Differences in clinical characteristics and prognosis of Penicilliosis among HIV-negative patients with or without underlying disease in Southern China: a retrospective study[J]. BMC Infect Dis, 2015, 15:525.

[13] Jiang J, Meng S, Huang S, et al. Effects of Talaromyces marneffei infection on mortality of HIV/AIDS patients in southern China: a retrospective cohort study[J]. Clin Microbiol Infect, 2019, 25(2):233-241. 

[14] Zeng W, Qiu Y, Tang S, et al Characterization of Anti-Interferon-γ Antibodies in HIV-Negative Patients Infected with Disseminated Talaromyces marneffei and Cryptococcosis[J]. Open Forum Infect Dis, 2019, 6(10): ofz208

[15] Hoenigl M, Salmanton-García J, Walsh T J, et al. Global guideline for the diagnosis and management of rare mould infections: an initiative of the European Confederation of Medical Mycology in cooperation with the International Society for Human and Animal Mycology and the American Society for Microbiology[J]. Lancet Infect Dis, 2021, 21(8):e246-e257.

[16] 中华医学会热带病与寄生虫学分会艾滋病学组. 艾滋病合并侵袭性真菌病诊治专家共识[J]. 中华传染病杂志. 2019, 37(10):581-593. 

作者简介


图片

叶枫 教授


  • 主任医师,博士研究生导师

  • 广州医科大学附属第一医院/广州呼吸健康研究院呼吸内科副主任

  • 中华医学会呼吸病学分会感染学组委员(第7-10届)

  • 中国医师协会呼吸医师分会呼吸系感染工作委员会委员

  • 中国老年医学学会呼吸病学分会呼吸系统感染学术委员

  • 全国结核病防治综合质量控制专家指导委员会委员

  • 中国医院协会抗菌药物合理应用工作委员会委员

  • 广东省女医师协会呼吸与危重症专业委员会副主任委员

  • 广东省精准医学应用学会抗感染分会副主任委员

  • 广东省医学会结核病学分会常务委员

  • 广东省卫生健康委员会免疫规划专家咨询委员会委员

全部评论 0
Copyright©2020-2026 北京医麦斯科技有限公司 版权所有 京ICP备2020034400号-1 京公网安备11010502043983号