登录方式

方式一:
PC端网页:www.rccrc.cn
输入账号密码登录,可将此网址收藏并保存密码方便下次登录

方式二:
手机端网页:www.rccrc.cn
输入账号密码登录,可将此网址添加至手机桌面并保存密码方便下次登录

方式三:
【重症肺言】微信公众号
输入账号密码登录

注:账号具有唯一性,即同一个账号不能在两个地方同时登录。

登录
方式

为重症救治赋能

为患者康复加速

当前位置:首页 脏器支持 气道管理

侵袭性肺真菌病的支气管镜介入综合治疗

牟向东 北京清华长庚医院呼吸与危重症医学科 肺真菌病中心 发布于2025-09-24 浏览 2624 收藏

作者牟向东

单位:北京清华长庚医院呼吸与危重症医学科 肺真菌病中心 北京市临床重点专科

图片

真菌作为地球上古老的生物类群,约10亿年前便已出现,最初主要参与植物到土壤的营养循环。随着进化与环境变化,其致病性逐渐扩展,从感染植物、昆虫等低等生物,逐步演变为能侵袭哺乳动物的病原体。全球变暖使真菌更适应人体温度环境,加之免疫抑制人群增多,侵袭性肺真菌病的发病率逐年上升,其中以念珠菌、隐球菌、曲霉及毛霉感染最为常见,尤以肺毛霉病的高病死率令人瞩目。传统治疗方法病死率仍然很高(40%~80%),故探索高效治疗方案成为临床迫切需求。


一、肺真菌病的流行病学与临床特点

1. 流行病学特征

在新型冠状病毒感染(COVID-19)大流行期间,肺真菌病的危害愈发凸显。2021年6月28日,印度卫生部长哈什·瓦尔丹表示:印度各地已报告超过4万例新冠相关的毛霉(又称黑真菌)感染病例,病死率为60%左右。印度是第一个将毛霉宣布为法定传染病的国家。笔者团队2024年发表的研究显示,在3001例经支气管肺泡灌洗液(BALF)宏基因组二代基因测序(mNGS)诊断的COVID-19患者中,合并毛霉感染的比例为1.10%;北京清华长庚医院846例COVID-19患者中,COVID-19相关肺毛霉病(CAPM)占比1.06%,提示COVID-19可增加肺毛霉病的发病风险

肺真菌病的病死率极高,传统治疗方案下,其病死率可达40%~80%。其中,曲霉病在确诊后3个月的病死率为12%~20%;毛霉病的病死率更高,达40%~50%,若诊断延迟1周,其病死率会超过80%。

2. 高危人群与临床表现

肺真菌病好发于免疫抑制宿主,如糖尿病(尤其是糖尿病酮症酸中毒)、血液系统疾病、实体器官移植受者及长期使用糖皮质激素者。

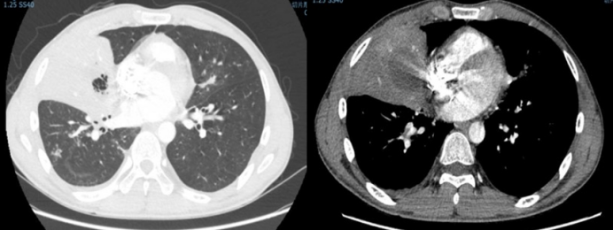
病例1:女性,22岁,既往有1型糖尿病病史,在感染新冠病毒后合并毛霉(米根霉)感染。影像学检查显示双肺存在磨玻璃影,且在此基础上迅速出现实变、空洞及坏死等病变,病情进展极为迅猛(图1)。该患者于2022年底(新冠疫情优化管控后疫情较为严峻时期)从内蒙古前往北京就医,进入急诊室当天便因呼吸衰竭不幸死亡。此病例凸显COVID-19合并毛霉感染的严重性,尤其是对于存在基础疾病(如糖尿病)的患者,病情可快速恶化,致死性极高,也反映出在疫情特殊时期,此类重症感染患者救治面临的严峻挑战。

图片

1  病例1影像学表现

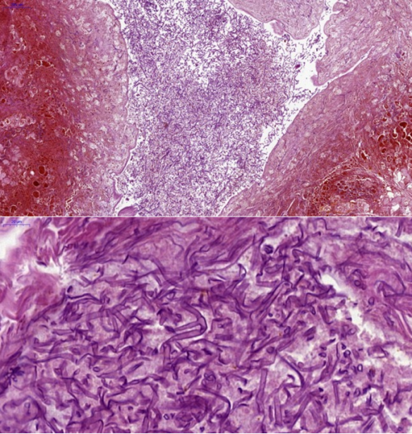
病例2:一例糖尿病酮症酸中毒合并肺毛霉感染患者,病情进展迅猛。此类感染具有显著的特征性表现:与普通细菌感染所致肺炎仅形成肺部阴影不同,毛霉等真菌感染可在肺内或气道中形成侵袭性新生物(图2),这种由大量毛霉菌丝构成的病变组织,相当于在体内生长的"异常生命体"。曾有呼吸科医师曾尝试通过介入技术清除此类病灶,但该操作风险极高。例如本例患者在介入过程中发生大出血,最终死亡。

图片

2  病例2影像学、病理、气管镜下表现

病例3:一例肝移植后毛霉病患者,创面出现感染(图3)快速进展,最终死亡。

图片

3  病例3临床、影像及病理表现

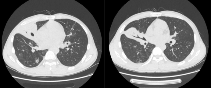
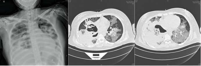
病例4:一例白血病合并毛霉感染患者。影像学检查可见胸膜下反晕征及空气新月征(图4)。该患者经内科治疗病情好转后,接受了手术切除治疗,但术后2周出现感染再次播散,最终不幸死亡。此病例表明,即使采用内科治疗联合手术切除的传统方案,肺毛霉病仍可能因感染播散导致不良结局。

图片

4  病例4手术前后胸部CT



二、肺真菌病治疗挑战与传统方案

1. 治疗难点

肺真菌病,特别是肺毛霉病,具有起病急、进展快、病死率高的特点,未经治疗者病死率达100%,故有“谈毛色变”之说。其高致死性与诊断延迟密切相关,研究显示,诊断后延迟治疗≥6天的患者病死率(82.9%)显著高于及时治疗(诊断后6天内,48.6%)。此外,真菌易形成侵袭性生长,导致组织坏死和血管侵犯,增加治疗难度。

2. 传统治疗方案

2019年欧洲医学真菌学联合会微生物学和传染病学会(ECMM-MSG)指南推荐,疑似或确诊肺毛霉病时,应采取紧急外科清创术联合大剂量抗真菌药物治疗。抗真菌药物以两性霉素B脂质体为首选,初始剂量为5~10 mg/(kg·d),累及脑部时需增至10 mg/(kg·d);对于肾衰竭患者,可选用艾沙康唑或泊沙康唑等三唑类药物。

两性霉素B的分子结构决定了它的特性——同时具有亲水性和亲脂性。从作用机制来看,其亲脂部分能与真菌细胞膜中的麦角固醇直接结合,而亲水部分会借助表面张力形成环形结构,如同一把剑插入细胞膜。这种作用方式会破坏真菌细胞膜的完整性,致使细胞内的Ca2+Na+K+等离子以及蛋白质发生泄漏,最终发挥抗真菌作用。由于两性霉素B可通过破坏细胞膜在局部发挥抗真菌功效,所以支持局部用药。但两性霉素B全身用药时不良反应较为显著,如何降低其全身用药不良反应是临床应用中需要重点探索的问题。

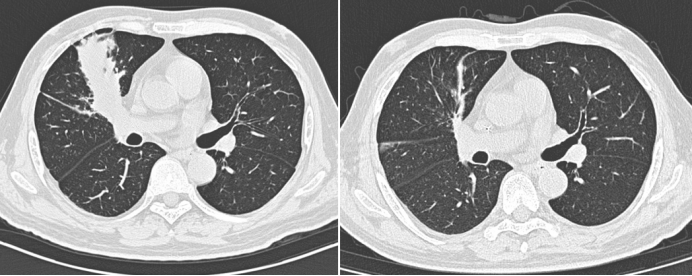
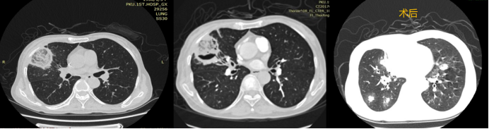
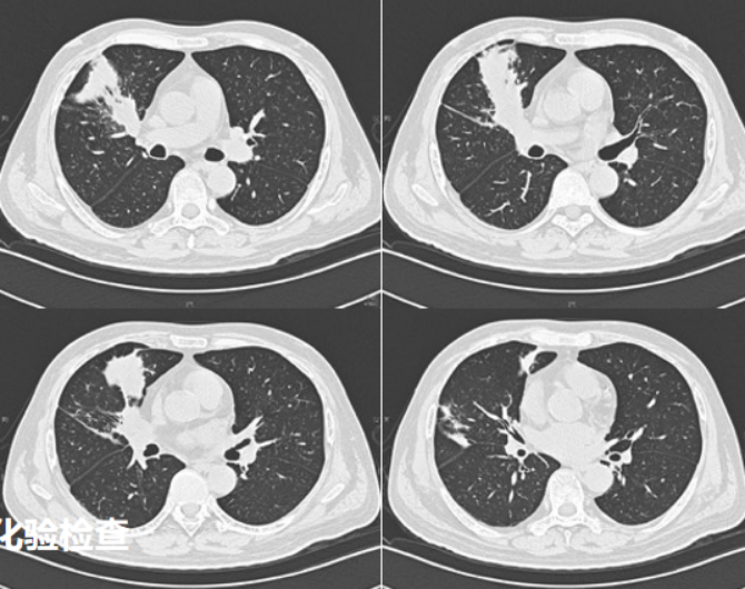
病例5:男性,64岁,主因“咳嗽、咳痰伴双肺多发阴影3个月,咯血1天”于2019年11月14日入院。7月23日因多发肺部结节影,诊断肺结核,予四联抗结核治疗。10月29日因糖尿病酮症酸中毒于我院普内科住院,期间查胸部CT提示双侧胸腔积液,心影增大,考虑合并心功能不全,对症治疗后好转出院。11月13日患者突发咯血,20~30口,鲜血,收入呼吸内科病房。借助导航支气管镜获取组织标本,经冷冻肺活检发现组织内有大量菌丝,同时送检的mNGS检测到毛霉序列,通过组织病理联合组织mNGS,真正意义上实现了毛霉病的确诊。因患者拒绝全身用药,遂实施局部用药方案。在导航支气管镜与超声技术的辅助下精准定位病灶后,对其进行两性霉素B的精准局部灌注治疗。经过两次该治疗,病灶成功消失(图5)

图片

5  病例5治疗前后胸部CT比较

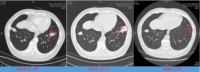
病例6:男性,21岁。主因“间断咳嗽、发热3个月”来我院治疗,伴间断右侧胸痛、夜间盗汗等。既往诊断1型糖尿病2年,血糖控制不佳,糖尿病酮症酸中毒,无外伤手术史,无烟酒嗜好。无家族疾病史。体格检查:一般好,双肺呼吸音清,右中肺野呼吸音稍低,未闻及干湿啰音。双下肢无水肿。T-SPOT-TB、G、GM试验均阴性;痰涂片、痰培养、BALF涂片培养均阴性。胸部CT显示肺部感染,右肺中叶实变;腹腔CT则可见坏死征象(图6)。支气管镜下观察到真菌生长形成新生物(图7),结合临床经验初步判断可能为毛霉感染。随后通过支气管镜介入技术取出该新生物(图8)。过程中引发出血,经抢救患者脱离危险。1周后复查CT,患者在未接受任何全身抗真菌治疗情况下,病灶缩小(图9)。需要注意的是,此类操作具有较大风险。

图片

6  病例6治疗前胸腹部CT

图片

7  病例6支气管镜下所见

图片

8  病例6支气管内取出的新生物及组织病理

图片

9  病例6治疗后复查胸部CT



三、治疗方法新尝试

鉴于局部药物灌注与局部清创均能在毛霉病的治疗中发挥有效作用,将这两种方法联合能否产生更好的治疗效果呢?基于此,笔者尝试了一种全新的治疗方案,即经支气管镜灌注两性霉素B脱氧胆酸盐(AMB-D)联合经支气管镜介入清创术。

病例7男性,52岁。主诉:反复发热2个月。体温最高39℃。外院行胸部CT考虑“肺部感染”,多次查真菌G试验/GM试验均阴性,结核T细胞检测阴性。患者于外院共3次行电子气管镜检查。BALF-mNGS显示为轻链球菌、咽峡炎链球菌、人类疱疹病毒5型。反复抗感染治疗无效。既往史:2021年2月确诊为急性髓系白血病,行化疗4次,2021年4月11日行非血缘脐带血干细胞移植治疗。3个月前有可疑结核接触史。吸烟30余年,约20支/日。2021年6月17日胸部CT示右肺上叶前段、中叶、后叶均可见病变(图10)。组织病理学检查发现大量真菌菌丝及孢子(图11)PAS及GMS染色均呈阳性,结合上述结果可以明确诊断为毛霉感染,后续mNGS进一步印证了该诊断。支气管镜下2次冷冻活检取脓栓(图12)。予右肺上叶前段支气管共灌注两性霉素B 5次,每次15 mg。右肺下叶内基底段共灌注两性霉素B 5次,每次10 mg。经过4周的治疗,患者肺部病变消失(图13)。半年后再次复查支气管镜,镜下表现正常(图14)

图片

10  病例7治疗前胸部CT

图片

11  病例7组织病理

图片

12  病例7支气管镜介入治疗

图片

13  病例7治疗前后胸部CT对比

图片

14  病例7治疗后半年复查气管镜

病例8:男性,51岁,主诉“反复咳嗽、咳痰4月余,间断发热1个月”于2021年12月27日入院。4个月前患者因急性淋巴细胞白血病就诊于某三甲医院行VICLD方案化疗,化疗期间出现咳嗽、咳痰伴间断发热,诊断为肺部感染。胸部CT提示肺部感染,查痰NGS提示小孢根霉;痰培养结果为耐碳青霉烯类鲍曼不动杆菌(CRAB),予抗感染及小剂量激素治疗后体温正常,咳嗽、咳痰好转。既往史:患者于2020年6月确诊为急性B淋巴细胞白血病,2020年7-9月分别行VDLD、CLEA、HD-MTX/VL化疗3次,2021年7月白血病复发。2021年12月28日入院后胸部CT示:左下肺病变严重,增强CT检查在此发挥重要作用,可辅助评估病灶出血风险及制定规避出血的策略。支气管镜检查(图15)及组织病理学(图16)均提示毛霉感染,mNGS进一步明确诊断。由于患者血小板水平极低,一般状况差,无法耐受外科手术,遂采用支气管镜介入清创术(图17)。术中取出的由大量毛霉菌丝杂乱缠绕形成的特殊病变组织,被笔者命名为"毛霉菌丝体(mucormycelium)"(图18)。经规范治疗一个半月后,患者实现彻底治愈。

图片

15  病例8气管镜检查

图片

16  病例8组织病理学结果

图片
图片
图片
图片

17  病例8支气管镜介入清创术

图片
图片

18  笔者命名—毛霉菌丝体(mucormycelium)

病例9:男性,49岁,主诉“反复咳嗽、咳痰、气短、痰中带血3个月”,于2022年4月27日入院。既往史:2022年1月1日大量饮酒后出现呕吐,误吸胃内容物,后出现咳嗽、咳痰,其后出现胸闷、气短,夜间不能平卧。当地乡卫生院查胸部CT:考虑左肺上叶及右肺中上叶肺炎。给予头孢类抗生素效果不佳。于2022年1月19日就诊于当地某医院,胸部CT显示两肺多发病变。在当地医院治疗一段时间后无改善,于北京某三甲医院就诊,BALF病原学和组织病理确诊毛霉病。予两性霉素B脂质体300 mg/d+泊沙康唑300 mg/d静脉滴注,治疗1个月,患者出现咯血,发热,病情加重。转入我院时胸部CT可见右上肺大片实变、坏死(图19)。气管镜下可见新生物形成,于右主支气管预置球囊防止出血,介入清创,出现支气管肺空洞瘘(图20),取出的毛霉菌丝体长约10 cm。治疗2周后复查胸部CT示右上肺病变明显缩小;治疗4周后复查可见病变处形成机化空洞(图21)。治疗期间患者出现咯血,复查支气管镜可见左侧支气管及分支仍有毛霉感染形成的新生物。支气管镜换用细探头和小球囊进一步介入清创(图22)。治疗后复查胸部CT示病变消退。

图片

19  病例9转入时胸部CT

图片
图片

20  病例9气管镜检查及清创

图片

21  病例9治疗后胸部CT

图片
图片

22  病例9左主支气管气管镜检查及清创





四、支气管镜介入综合治疗方案

笔者通过多年经验的积累逐渐探索出了支气管镜介入综合治疗肺真菌病的可行方案。该方案以全身药物治疗为基础、局部介入治疗为核心,通过精准定位病灶,实现局部用药(两性霉素B雾化+支气管镜局部灌注)、充分引流(支气管镜冲洗、灌洗、解除梗阻)及彻底清创(支气管介入清创+胸外科病灶切除),从而提高治疗效果并减少全身不良反应。



五、小结

支气管镜介入综合治疗为侵袭性肺真菌病提供了一种安全、有效的新策略,其通过精准定位、局部药物灌注与清创引流,联合全身抗真菌治疗,显著改善了患者预后,尤其解决了传统治疗高病死率的难题。未来,随着导航技术、介入器械的不断革新及治疗方案的优化,支气管镜介入治疗有望在肺真菌病的早期诊断与精准治疗中发挥更大作用,为更多免疫抑制宿主带来获益。



作者介绍

图片

牟向东

清华大学附属北京清华长庚医院呼吸与危重医学科主任,主任医师、教授,博士研究生导师2005年于北京大学医学部获得博士学位中华医学会呼吸病学分会感染学组委员,北京市医学会呼吸病学分会委员,北京医师协会呼吸专业委员会理事,北京中西医结合学会第二届感染专业委员会副主任委员北京中西医结合学会第五届呼吸内科专业委员会副主任委员及秘书长中国医药教育协会肺癌医学教育委员会委员,北京医学教育协会呼吸学组专科分会委员,北京整合医学学会介入诊疗转化医学分会常务委员北京市昌平区呼吸专委会候任主委;《中华医学杂志英文版、中华结核和呼吸杂志通讯编委和审稿专家,Thorax中文版感染专刊编委在国内外医学期刊第一作者发表论文100余篇2016年荣获“首都十大杰出青年医生”称号,2017年评为第八批中央和国家机关优秀授疆干部人才,2020年清华大学抗击新冠疫情先进个人,2021年北京清华长庚医院优秀科研工作者,2023年北京清华长庚医院“水木杏林好医生”称号,2024年获得清华大学紫荆优秀医师奖,2025年获清华大学卓越学者型医师项目优秀课程奖。


本文仅用于学术内容的探讨和交流,不用于任何商业和推广,亦不作为最终的临床决策。临床实践需根据患者的具体情况选择适宜的处理措施。


点我观看视频.jpg

全部评论 0
Copyright©2020-2026 北京医麦斯科技有限公司 版权所有 京ICP备2020034400号-1 京公网安备11010502043983号